CFHR1 Antibody
-
中文名稱:CFHR1兔多克隆抗體
-
貨號:CSB-PA589025
-
規格:¥1100
-
圖片:
-
The image on the left is immunohistochemistry of paraffin-embedded Human brain tissue using CSB-PA589025(CFHR1 Antibody) at dilution 1/40, on the right is treated with fusion protein. (Original magnification: ×200)
-
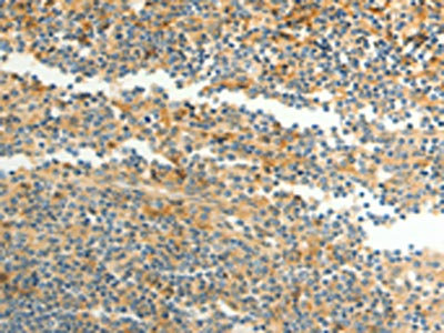
The image on the left is immunohistochemistry of paraffin-embedded Human tonsil tissue using CSB-PA589025(CFHR1 Antibody) at dilution 1/40, on the right is treated with fusion protein. (Original magnification: ×200)
-
Gel: 10%SDS-PAGE, Lysate: 40 μg, Lane: Human liver cancer tissue, Primary antibody: CSB-PA589025(CFHR1 Antibody) at dilution 1/300, Secondary antibody: Goat anti rabbit IgG at 1/8000 dilution, Exposure time: 30 seconds
-
-
其他:
產品詳情
-
Uniprot No.:
-
基因名:CFHR1
-
別名:CFHL antibody; CFHL1 antibody; CFHL1P antibody; CFHR1 antibody; CFHR1P antibody; Complement factor H related 1 antibody; Complement factor H related 1 pseudogene antibody; Complement factor H related protein 1 precursor antibody; Complement factor H-related protein 1 antibody; FHR 1 antibody; FHR-1 antibody; FHR1 antibody; FHR1_HUMAN antibody; H factor (complement) like 1 antibody; H factor (complement) like 2 antibody; H factor like protein 1 antibody; H factor-like protein 1 antibody; H-factor-like 1 antibody; H36 1 antibody; H36 2 antibody; H36 antibody; HFL1 antibody; HFL2 antibody; MGC104329 antibody
-
宿主:Rabbit
-
反應種屬:Human
-
免疫原:Fusion protein of Human CFHR1
-
免疫原種屬:Homo sapiens (Human)
-
標記方式:Non-conjugated
-
抗體亞型:IgG
-
純化方式:Antigen affinity purification
-
濃度:It differs from different batches. Please contact us to confirm it.
-
保存緩沖液:-20°C, pH7.4 PBS, 0.05% NaN3, 40% Glycerol
-
產品提供形式:Liquid
-
應用范圍:ELISA,WB,IHC
-
推薦稀釋比:
Application Recommended Dilution ELISA 1:2000-1:5000 WB 1:500-1:2000 IHC 1:50-1:200 -
Protocols:
-
儲存條件:Upon receipt, store at -20°C or -80°C. Avoid repeated freeze.
-
貨期:Basically, we can dispatch the products out in 1-3 working days after receiving your orders. Delivery time maybe differs from different purchasing way or location, please kindly consult your local distributors for specific delivery time.
-
用途:For Research Use Only. Not for use in diagnostic or therapeutic procedures.
相關產品
靶點詳情
-
功能:Involved in complement regulation. The dimerized forms have avidity for tissue-bound complement fragments and efficiently compete with the physiological complement inhibitor CFH. Can associate with lipoproteins and may play a role in lipid metabolism.
-
基因功能參考文獻:
- Novel genetic rearrangement generated from a heterozygous deletion spanning 146 Kbp involving multiple CFHR genes leading to a CFHR1-R5 hybrid protein. This deletion was found in four family members presenting with a familial dominant glomerulopathy. PMID: 28729035
- Plasma FHR-1 and the FHR-1/fH ratio were elevated in IgA nephropathy and associated with progressive disease. PMID: 28673452
- A role of FHR-1 in IgA nephropathy pathogenesis is to compete with complement regulation by factor H. PMID: 28637589
- We conclude that the relationship between complement-regulatory proteins CFHR1 and CFHR3 and response to anti-CD20 mAb therapy varies based on the specific anti-CD20 mAb used. PMID: 27528699
- To our knowledge, this is the first evaluation of the involvement of the CFHR3/CFHR1 deletion and age-related macular degeneration in CFH Y402H polymorphism Brazilian patients. PMID: 26942649
- These results identify C-reactive protein as a ligand for FHR-1 and suggest that FHR-1 enhances, rather than inhibits, complement activation, which may explain the protective effect of FHR-1 deficiency in age-related macular degeneration. PMID: 28533443
- The CFHR1 level in plasma of T2DM patients were significantly higher than that of the healthy controls. PMID: 28604974
- CFHL-1 is a CFH gene splice variant. PMID: 27814381
- We investigated whether the causal sequence variant resides in the CFH gene or the neighboring complement factor H-related 1 (CFHR1) gene, and fine mapping Implicates a deletion of CFHR1 in protection from IgA nephropathy in Han Chinese PMID: 26940089
- Next-generation sequencing of the CFH region identified putatively functional variants (missense, splice site and indel) on the four common haplotypes. We found no expression of any of the five CFH-related genes in the retina or RPE/Choroid/Sclera, in contrast to the liver, which is the main source of the circulating proteins. [CFHR1] PMID: 27196323
- Studies indicate that complement factor H-related proteins (FHR1-5) may enhance complement activation, with important implications for the role of these proteins in disease. PMID: 25979655
- These results suggest that the combination of quantitative and qualitative variations in the complement proteins encoded by CFH, CFHR3 and CFHR1 genes is key for the association of these haplotypes with disease. PMID: 26163426
- Genetic variants in CFH, CFHR3, and CFHR1 affect complement activation and thereby predispose patients to develop IgA nephropathy. PMID: 25205734
- An average of 15.2% of factor H-autoantibody positive individuals with rheumatic diseases or hemolytic uremic syndrome had homozygous deficiency of CFHR1. PMID: 22894814
- Data indicate that the autoantigenic epitope of complement factor H (CFH) and its homologous site in CFH-related protein-1(CFHR1) are structurally different PMID: 25659429
- Prompt use of immunosuppressive agents and plasma exchanges are useful for improving outcomes in pediatric patients with anti-complement factor H-associated HUS. PMID: 24088957
- Atypical haemolytic-uraemic syndrome due to heterozygous mutations of CFH/CFHR1-3 and complement factor H 479. PMID: 24333077
- Factor H and the alternative spliced product FHL-1 are expressed in RPE cells. PMID: 24280833
- we have assessed the relationship between GA and previously identified AMD-associated variants of genes (CFH, CFB, C3, FHR1, FRH3, and ARMS2/HTRA). PMID: 24557084
- Results show non-coding CFH SNP (rs6677604) and the common deletion CNP147 were strongly correlated both with each other and with plasma CFH and CFHR1 concentrations in patients with age-related macular degeneration. PMID: 23873044
- The CFHR1/complement factor H hybrid gene fusion protein contains the first three short consensus repeats of CFHR1 PMID: 23880784
- These results provide evidence for a role of CFH and FHL-1 in cutaneous squamous cell carcinoma progression and identify them as progression markers and potential therapeutic targets. PMID: 23938460
- Homozygous deletion in CFHR1 is strongly associated with occurrence of CFH antibodies in pediatric patients with atypical hemolytic uremic syndrome. PMID: 23243267
- Identification and characterization of a unique CFHR1 mutation provides insights into the biology and pathogenic mechanisms underlying C3 glomerulopathy. PMID: 23728178
- Lpd is a novel surface-exposed virulence factor of P. aeruginosa that binds Factor H, FHL-1, CFHR1, and plasminogen, and the Lpd-attached regulators are relevant for innate immune escape and most likely contribute to tissue invasion. PMID: 23071278
- genetic variations in CFH and its related genes may contribute to hypertension risk in Chinese Hans PMID: 22848687
- A hybrid CFHR3-1 gene causes familial C3 glomerulopathy. PMID: 22626820
- we show that native factor H, factor H-like protein 1, and factor H-related protein 1 (CFHR1) bind to PTX3 PMID: 22786770
- A significant association with deletion of CFHR1-4 was identified in patients who presented with bilateral geographic atrophy. PMID: 22558131
- Reduced expression of the CFHR1 allele has been associated with higher risk to atypical Haemolytic Uraemic Syndrome in Spanish patients. PMID: 22136554
- Analysis of the CFHR1 genotypes provide sufficient information to delineate the individual risk of developing age-related macular degeneration. PMID: 22247456
- Data show that 698 CNPs loci overlap with known disease-associated or pharmacogenetic-related genes such as CFHR3, CFHR1, GSTTI and UGT2B17. PMID: 21677662
- In this matched subset of Age-Related Eye Disease Study (AREDS) subjects, after adjusting for 2 known risk variants in CFH, CNP147 deletion statistically associates with diminished risk for AMD. PMID: 21856016
- Anti-factor H autoantibodies in patients with autoimmune form of atypical hemolytic uremic syndrome crossreact with CFHR1. PMID: 21677636
- Combined deletion of CFHR3 and CFHR1 is associated with a decreased risk of developing age-related macular degeneration. PMID: 21850184
- A change in gene dosage of the encoded proteins CFHR3 and CFHR1 might account for the increased systemic lupus erythematosus. risk PMID: 21637784
- deficiency of CFHR3 and CFHR1 results in a loss of complement control but enhances local regulation by factor H; alludes to critical balance between CFHR3, CFHR1 and factor H and emphasize role of complement regulation in age-related macular degeneration PMID: 20843825
- Studies indicated that atypical HUS was linked with a complement alternative pathway dysregulation due to genetic defects but also to development of autoantibodies to factor H (FH). PMID: 20865640
- Binding of the human complement regulators CFHR1 and factor H by streptococcal collagen-like protein 1 (Scl1) via their conserved C termini allows control of the complement cascade at multiple levels. PMID: 20855886
- Data from haplotype analysis demonstrates the relationship between the CFH rs10737680 association and the CFHR1-3Delta association in age-related macular degeneration. PMID: 20581873
- CFH and CFHR1, when bound on the surface of C. albicans, enhance antimicrobial activity of human neutrophils. PMID: 20008295
- Association of factor H autoantibodies with deletions of CFHR1, CFHR3, CFHR4, and with mutations in CFH, CFI, CD46, and C3 in patients with atypical hemolytic uremic syndrome. PMID: 19861685
- Human complement regulatory factor H-like protein 1 (FHL-1) binds to Streptococcal pyogenes M18 surface protein Emm18. PMID: 15557185
- the primary function of FHL-1 binding by T. denticola might be to facilitate adherence to FHL-1 present on anchorage-dependent cells and in the extracellular matrix PMID: 16239506
- Deletion of two closely related genes, complement factor H-related 1 (CFHR1) and complement factor H-related 3 (CFHR3), increases the risk of atypical hemolytic uremic syndrome. PMID: 17367211
- we have identified factor H-related protein 1 (FHR-1) as a novel protein that binds to Borrelia burgdorferi via CRASP-3, -4, and -5. PMID: 17538892
- either lacked the CFHR1/CFHR3 completely (n = 14) or showed extremely low CFHR1/CFHR3 plasma levels (n = 2) are positive for factor H (CFH) autoantibodies PMID: 18006700
- The binding of factor H and factor H-like protein 1 (FHL-1) from human sera to Aspergillus fumigatus conidia was shown by adsorption assays and immunostaining. PMID: 18039838
- Deletion of CFHR1 and CFHR3 may account for a small portion of the protection from age-related macular degeneration associated with particular haplotypes in complement factor H. PMID: 18084039
- CFH/CFHL1 binding site within borrelial BbCRASP-2 and identified single amino acid residues potentially involved in the interaction with both complement regulators PMID: 18824548
顯示更多
收起更多
-
亞細胞定位:Secreted.
-
組織特異性:Expressed by the liver and secreted in plasma.
-
數據庫鏈接:
Most popular with customers
-
Phospho-YAP1 (S127) Recombinant Monoclonal Antibody
Applications: ELISA, WB, IHC
Species Reactivity: Human
-
-
-
-
-
-
-















