CERKL Antibody
-
中文名稱:CERKL兔多克隆抗體
-
貨號:CSB-PA083613
-
規格:¥1100
-
圖片:
-
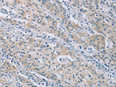
The image on the left is immunohistochemistry of paraffin-embedded Human thyroid cancer tissue using CSB-PA083613(CERKL Antibody) at dilution 1/50, on the right is treated with synthetic peptide. (Original magnification: ×200)
-
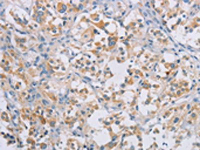
The image on the left is immunohistochemistry of paraffin-embedded Human gastric cancer tissue using CSB-PA083613(CERKL Antibody) at dilution 1/50, on the right is treated with synthetic peptide. (Original magnification: ×200)
-
-
其他:
產品詳情
-
Uniprot No.:
-
基因名:CERKL
-
別名:Ceramide kinase like protein antibody; Ceramide kinase-like protein antibody; CERKL antibody; CERKL_HUMAN antibody; Retinitis pigmentosa 26 (autosomal recessive) antibody; RP26 antibody
-
宿主:Rabbit
-
反應種屬:Human
-
免疫原:Synthetic peptide of Human CERKL
-
免疫原種屬:Homo sapiens (Human)
-
標記方式:Non-conjugated
-
抗體亞型:IgG
-
純化方式:Antigen affinity purification
-
濃度:It differs from different batches. Please contact us to confirm it.
-
保存緩沖液:-20°C, pH7.4 PBS, 0.05% NaN3, 40% Glycerol
-
產品提供形式:Liquid
-
應用范圍:ELISA,IHC
-
推薦稀釋比:
Application Recommended Dilution ELISA 1:1000-1:5000 IHC 1:50-1:200 -
Protocols:
-
儲存條件:Upon receipt, store at -20°C or -80°C. Avoid repeated freeze.
-
貨期:Basically, we can dispatch the products out in 1-3 working days after receiving your orders. Delivery time maybe differs from different purchasing way or location, please kindly consult your local distributors for specific delivery time.
-
用途:For Research Use Only. Not for use in diagnostic or therapeutic procedures.
相關產品
靶點詳情
-
功能:Has no detectable ceramide-kinase activity. Overexpression of CERKL protects cells from apoptosis in oxidative stress conditions.
-
基因功能參考文獻:
- Our report indicates that the first diagnostic test for Finnish patients with sporadic or autosomal recessive retinal dystrophy should be a targeted test for founder mutations in the CERKL. PMID: 29068140
- The initial presenting features of CERKL-related retinopathy are distinct and unusual. Recognition of this initial presenting phenotype can facilitate earlier molecular diagnosis and genetic counseling. PMID: 24547929
- pVHL interacts with CERKL and ubiquitinates it for oxygen dependent proteasomal degradation. PMID: 26296657
- CERKL interacts with TRX2 and plays a novel key role in the regulation of the TRX2 antioxidant pathway. PMID: 24735978
- An unexpected multiplicity of CERKL transcriptional start sites (four in each species) plus a high variety of alternative splicing events primarily affecting the 5' half of the gene generate >20 fully validated mRNA isoforms in human and 23 in mouse. PMID: 21508105
- Observational study of genetic testing. (HuGE Navigator) PMID: 20801516
- Observational study of gene-disease association. (HuGE Navigator) PMID: 19913121
- Observational study of genetic testing. (HuGE Navigator) PMID: 20591486
- Observational study of gene-disease association, gene-environment interaction, and pharmacogenomic / toxicogenomic. (HuGE Navigator) PMID: 20628086
- Observational study of gene-disease association. (HuGE Navigator) PMID: 20677014
- Clinical trial of gene-disease association and gene-environment interaction. (HuGE Navigator) PMID: 20379614
- Novel mutation in CERKL which encompassed 13 exons is identified in retinitis pigmentosa PMID: 14681825
- Data suggest a functional link between CERKL, a new ceramide kinase homolog, and its nucleolar localization. PMID: 15708351
- Identification of a nuclear localization signal that might be responsible for nucleolar retention of CERKL. PMID: 16581028
- c.238+1G>A is the second reported mutation of CERKL and is a prevalent founder mutation that underlies approximately 33% of autosomal recessive retinal degeneration cases in the Yemenite Jewish population. PMID: 18055789
- This study presents the first genotype-phenotype correlation for persons carrying p.Arg257ter mutation and provides clues for a characteristic phenotype of these mutations among persons with autosomal recessive cases. PMID: 18515597
- This is the third reported mutation in CERKL causing retinal degeneration but is the first report to show that a single amino acid change in CERKL, rather than a null mutation, can cause retinal disease. PMID: 18978954
- Retinitis pigmentosa gene ceramide kinase-like (CERKL) was analyzed to determine CERKL function and contribution to pathogenesis. PMID: 19158957
- The Pleckstrin Homology (PH) domain of CERK, which is required for Golgi complex localization, can substitute for the N-terminal region of CERKL and allow for wild-type CERKL localization, which is typified by nucleolar accumulation. PMID: 19501188
- CERKL mutations are associated with widespread retinal degeneration with prominent maculopathy. PMID: 19578027
- Our data indicate that compound heterozygous mutations of CERKL can cause RP. PMID: 19667359
- Clinical trial and genome-wide association study of gene-disease association, gene-environment interaction, and pharmacogenomic / toxicogenomic. (HuGE Navigator) PMID: 18519826
- Genome-wide association study of gene-disease association. (HuGE Navigator) PMID: 18521091
顯示更多
收起更多
-
相關疾?。?/div>Retinitis pigmentosa 26 (RP26)亞細胞定位:Cytoplasm. Nucleus, nucleolus. Note=Enriched in nucleoli. May shuttle between nucleus and cytoplasm. Isoform 5 is not enriched in the nucleoli.; [Isoform 2]: Cytoplasm. Nucleus, nucleolus. Golgi apparatus, trans-Golgi network. Endoplasmic reticulum.組織特異性:Isoform 1 and isoform 2 are expressed in adult retina, liver and pancreas as well as in fetal brain, lung and kidney. Isoform 3 is expressed in adult retina as well as in fetal lung and liver. Isoform 4 is expressed in adult retina, lung and kidney as wel數據庫鏈接:
Most popular with customers
-
-
YWHAB Recombinant Monoclonal Antibody
Applications: ELISA, WB, IHC, IF, FC
Species Reactivity: Human, Mouse, Rat
-
Phospho-YAP1 (S127) Recombinant Monoclonal Antibody
Applications: ELISA, WB, IHC
Species Reactivity: Human
-
-
-
-
-















