CEP97 Antibody
-
中文名稱:CEP97兔多克隆抗體
-
貨號:CSB-PA186887
-
規格:¥1100
-
圖片:
-
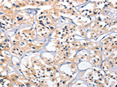
The image on the left is immunohistochemistry of paraffin-embedded Human thyroid cancer tissue using CSB-PA186887(CEP97 Antibody) at dilution 1/25, on the right is treated with fusion protein. (Original magnification: ×200)
-
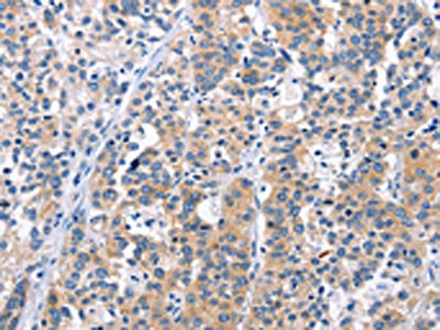
The image on the left is immunohistochemistry of paraffin-embedded Human esophagus cancer tissue using CSB-PA186887(CEP97 Antibody) at dilution 1/25, on the right is treated with fusion protein. (Original magnification: ×200)
-
Gel: 6%SDS-PAGE, Lysate: 40 μg, Lane 1-5: 293T cells, hela cells, PC3 cells, lovo cells, A172 cells, Primary antibody: CSB-PA186887(CEP97 Antibody) at dilution 1/500, Secondary antibody: Goat anti rabbit IgG at 1/8000 dilution, Exposure time: 30 seconds
-
-
其他:
產品詳情
-
Uniprot No.:
-
基因名:CEP97
-
別名:2810403B08Rik antibody; 4932439K18Rik antibody; AA437768 antibody; Centrosomal protein 97kDa antibody; Centrosomal protein of 97 kDa antibody; CEP 97 antibody; Cep97 antibody; CEP97_HUMAN antibody; E130116N02Rik antibody; FLJ23047 antibody; FLJ26462 antibody; Leucine rich repeat and IQ domain containing protein 2 antibody; Leucine rich repeats and IQ motif containing 2 antibody; Leucine-rich repeat and IQ domain-containing protein 2 antibody; LRRIQ2 antibody; RGD1307400 antibody
-
宿主:Rabbit
-
反應種屬:Human
-
免疫原:Fusion protein of Human CEP97
-
免疫原種屬:Homo sapiens (Human)
-
標記方式:Non-conjugated
-
抗體亞型:IgG
-
純化方式:Antigen affinity purification
-
濃度:It differs from different batches. Please contact us to confirm it.
-
保存緩沖液:-20°C, pH7.4 PBS, 0.05% NaN3, 40% Glycerol
-
產品提供形式:Liquid
-
應用范圍:ELISA,WB,IHC
-
推薦稀釋比:
Application Recommended Dilution ELISA 1:2000-1:5000 WB 1:500-1:2000 IHC 1:25-1:100 -
Protocols:
-
儲存條件:Upon receipt, store at -20°C or -80°C. Avoid repeated freeze.
-
貨期:Basically, we can dispatch the products out in 1-3 working days after receiving your orders. Delivery time maybe differs from different purchasing way or location, please kindly consult your local distributors for specific delivery time.
-
用途:For Research Use Only. Not for use in diagnostic or therapeutic procedures.
相關產品
靶點詳情
-
功能:Acts as a key negative regulator of ciliogenesis in collaboration with CCP110 by capping the mother centriole thereby preventing cilia formation. Required for recruitment of CCP110 to the centrosome.
-
亞細胞定位:Cytoplasm, cytoskeleton, microtubule organizing center, centrosome.
-
數據庫鏈接:
Most popular with customers
-
-
YWHAB Recombinant Monoclonal Antibody
Applications: ELISA, WB, IHC, IF, FC
Species Reactivity: Human, Mouse, Rat
-
Phospho-YAP1 (S127) Recombinant Monoclonal Antibody
Applications: ELISA, WB, IHC
Species Reactivity: Human
-
-
-
-
-















