CEP126 Antibody
-
中文名稱:CEP126兔多克隆抗體
-
貨號:CSB-PA868394LA01HU
-
規格:¥440
-
圖片:
-
其他:
產品詳情
-
產品名稱:Rabbit anti-Homo sapiens (Human) CEP126 Polyclonal antibody
-
Uniprot No.:
-
基因名:CEP126
-
別名:CEP126 antibody; KIAA1377 antibody; Centrosomal protein of 126 kDa antibody
-
宿主:Rabbit
-
反應種屬:Human
-
免疫原:Recombinant Human Centrosomal protein of 126 kDa protein (559-670AA)
-
免疫原種屬:Homo sapiens (Human)
-
標記方式:Non-conjugated
本頁面中的產品,CEP126 Antibody (CSB-PA868394LA01HU),的標記方式是Non-conjugated。對于CEP126 Antibody,我們還提供其他標記。見下表:
-
克隆類型:Polyclonal
-
抗體亞型:IgG
-
純化方式:>95%, Protein G purified
-
濃度:It differs from different batches. Please contact us to confirm it.
-
保存緩沖液:Preservative: 0.03% Proclin 300
Constituents: 50% Glycerol, 0.01M PBS, PH 7.4 -
產品提供形式:Liquid
-
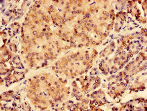
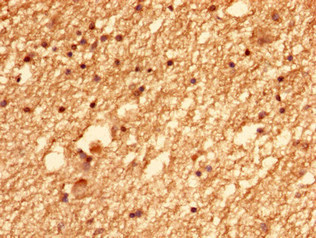
應用范圍:ELISA, IHC
-
推薦稀釋比:
Application Recommended Dilution IHC 1:20-1:200 -
Protocols:
-
儲存條件:Upon receipt, store at -20°C or -80°C. Avoid repeated freeze.
-
貨期:Basically, we can dispatch the products out in 1-3 working days after receiving your orders. Delivery time maybe differs from different purchasing way or location, please kindly consult your local distributors for specific delivery time.
-
用途:For Research Use Only. Not for use in diagnostic or therapeutic procedures.
相關產品
靶點詳情
-
功能:Participates in cytokinesis. Necessary for microtubules and mitotic spindle organization. Involved in primary cilium formation.
-
基因功能參考文獻:
- CEP126 is a regulator of microtubule organisation at the centrosome that acts through modulation of the transport of pericentriolar satellites, and consequently, of the organisation of cell structure PMID: 24867236
- KIAA1377 and C5orf42 gene synergistically play a role as susceptibility genes for monomelic amyotrophy. PMID: 22264561
-
亞細胞定位:Midbody. Cytoplasm, cytoskeleton, microtubule organizing center, centrosome. Cytoplasm, cytoskeleton, cilium basal body.
-
組織特異性:Expressed in brain, lung, skeletal muscle, kidney, pancreas, testis and ovary.
-
數據庫鏈接:
Most popular with customers
-
-
YWHAB Recombinant Monoclonal Antibody
Applications: ELISA, WB, IHC, IF, FC
Species Reactivity: Human, Mouse, Rat
-
Phospho-YAP1 (S127) Recombinant Monoclonal Antibody
Applications: ELISA, WB, IHC
Species Reactivity: Human
-
-
-
-
-















