CENPU Antibody
-
中文名稱:CENPU兔多克隆抗體
-
貨號:CSB-PA994661
-
規格:¥1100
-
圖片:
-
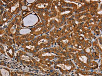
The image on the left is immunohistochemistry of paraffin-embedded Human thyroid cancer tissue using CSB-PA994661(CENPU Antibody) at dilution 1/30, on the right is treated with fusion protein. (Original magnification: ×200)
-
The image on the left is immunohistochemistry of paraffin-embedded Human brain tissue using CSB-PA994661(CENPU Antibody) at dilution 1/30, on the right is treated with fusion protein. (Original magnification: ×200)
-
-
其他:
產品詳情
-
Uniprot No.:
-
基因名:CENPU
-
別名:CENP U antibody; CENP-50 antibody; CENP-U antibody; CENP50 antibody; CENPU antibody; CENPU_HUMAN antibody; CENPU50 antibody; centromere protein of 50 kDa antibody; Centromere protein U antibody; FLJ23468 antibody; HHV8 LNAIP1 antibody; ICEN24 antibody; Interphase centromere complex protein 24 antibody; Kaposi Sarcoma Herpesvirus latent nuclear antigen interacting protein 1 antibody; KLIP-1 antibody; KLIP1 antibody; KSHV latent nuclear antigen interacting protein 1 antibody; KSHV latent nuclear antigen-interacting protein 1 antibody; KSHV LNAIP1 antibody; LNAIP 1 antibody; LNAIP-1 antibody; MLF1-interacting protein antibody; MLF1IP antibody; MLF1IP1 antibody; PBIP1 antibody; Polo-box-interacting protein 1 antibody
-
宿主:Rabbit
-
反應種屬:Human
-
免疫原:Fusion protein of Human CENPU
-
免疫原種屬:Homo sapiens (Human)
-
標記方式:Non-conjugated
-
抗體亞型:IgG
-
純化方式:Antigen affinity purification
-
濃度:It differs from different batches. Please contact us to confirm it.
-
保存緩沖液:-20°C, pH7.4 PBS, 0.05% NaN3, 40% Glycerol
-
產品提供形式:Liquid
-
應用范圍:ELISA,IHC
-
推薦稀釋比:
Application Recommended Dilution ELISA 1:2000-1:5000 IHC 1:50-1:200 -
Protocols:
-
儲存條件:Upon receipt, store at -20°C or -80°C. Avoid repeated freeze.
-
貨期:Basically, we can dispatch the products out in 1-3 working days after receiving your orders. Delivery time maybe differs from different purchasing way or location, please kindly consult your local distributors for specific delivery time.
-
用途:For Research Use Only. Not for use in diagnostic or therapeutic procedures.
相關產品
靶點詳情
-
功能:Component of the CENPA-NAC (nucleosome-associated) complex, a complex that plays a central role in assembly of kinetochore proteins, mitotic progression and chromosome segregation. The CENPA-NAC complex recruits the CENPA-CAD (nucleosome distal) complex and may be involved in incorporation of newly synthesized CENPA into centromeres. Plays an important role in the correct PLK1 localization to the mitotic kinetochores. A scaffold protein responsible for the initial recruitment and maintenance of the kinetochore PLK1 population until its degradation. Involved in transcriptional repression.
-
基因功能參考文獻:
- In-depth IPA analysis revealed that CENPU was associated with the HMGB1 signaling pathway. qPCR and western blot analysis demonstrated that in the HMGB1 signaling pathway, CENPU knockdown downregulated expression levels of ILB, CXCL8, RAC1 and IL1A PMID: 28677729
- This study provides new insights and evidences that MLF1IP over-expression plays important roles in progression of luminal breast cancer. However, the precise cellular mechanisms for MLF1IP in luminal breast cancer need to be further explored. PMID: 27378428
- MLF1IP promotes normal erythroid proliferation and is involved in the pathogenesis of polycythemia vera. PMID: 28173615
- MLF1IP significantly promotes prostate cancer cell proliferation and colony formation and significantly inhibits apoptosis without affecting cell cycle phase arrest in prostate cancer cell lines PMID: 25572810
- CENP-U is a novel microtubule binding protein and plays an important role in kinetochore-microtubule attachment through its interaction with Hec1 PMID: 21056971
- a possible role for MLF1IP deregulation in the genesis of erythroleukemias PMID: 15116101
- MLF1IP was found in glioblastomas where it was co-localized with MLF1 and nestin. Moreover, it was elevated in the contralateral brain where no tumor cells occurred, suggesting a role in glioma pathogenesis and potentially in other types of malignancies. PMID: 15893739
- Plk1 self-regulates the Plk1-PBIP1 interaction to timely localize to the kinetochores and promote proper chromosome segregation. PMID: 17081991
- Deletion mutants of MLF1IP revealed that the N-terminal bipartite nuclear localization signal (NLS) was responsible for nucleolar targeting. PMID: 17595757
顯示更多
收起更多
-
亞細胞定位:Cytoplasm. Nucleus. Chromosome, centromere, kinetochore. Note=Localizes in the kinetochore domain of centromeres. Colocalizes with PLK1 at the interzone between the inner and the outer kinetochore plates.
-
蛋白家族:CENP-U/AME1 family
-
組織特異性:Expressed at high levels in the testis, fetal liver, thymus, bone marrow and at lower levels in the lymph nodes, placenta, colon and spleen. Present in all cell lines examined, including B-cells, T-cells, epithelial cells and fibroblast cells. Expressed a
-
數據庫鏈接:
Most popular with customers
-
YWHAB Recombinant Monoclonal Antibody
Applications: ELISA, WB, IHC, IF, FC
Species Reactivity: Human, Mouse, Rat
-
Phospho-YAP1 (S127) Recombinant Monoclonal Antibody
Applications: ELISA, WB, IHC
Species Reactivity: Human
-
-
-
-
-
-















