CENPM Antibody
-
中文名稱:CENPM兔多克隆抗體
-
貨號:CSB-PA437170
-
規格:¥1100
-
圖片:
-
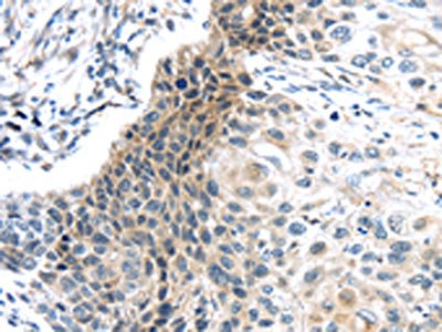
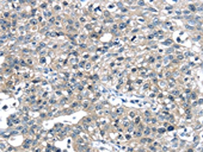
The image on the left is immunohistochemistry of paraffin-embedded Human esophagus cancer tissue using CSB-PA437170(CENPM Antibody) at dilution 1/20, on the right is treated with fusion protein. (Original magnification: ×200)
-
The image on the left is immunohistochemistry of paraffin-embedded Human breast cancer tissue using CSB-PA437170(CENPM Antibody) at dilution 1/20, on the right is treated with fusion protein. (Original magnification: ×200)
-
-
其他:
產品詳情
-
Uniprot No.:
-
基因名:CENPM
-
別名:CENPM antibody; C22orf18 antibody; ICEN39 antibody; PANE1Centromere protein M antibody; CENP-M antibody; Interphase centromere complex protein 39 antibody; Proliferation-associated nuclear element protein 1 antibody
-
宿主:Rabbit
-
反應種屬:Human
-
免疫原:Full length fusion protein
-
免疫原種屬:Homo sapiens (Human)
-
標記方式:Non-conjugated
-
抗體亞型:IgG
-
純化方式:Antigen affinity purification
-
濃度:It differs from different batches. Please contact us to confirm it.
-
保存緩沖液:-20°C, pH7.4 PBS, 0.05% NaN3, 40% Glycerol
-
產品提供形式:Liquid
-
應用范圍:ELISA,IHC
-
推薦稀釋比:
Application Recommended Dilution ELISA 1:1000-1:2000 IHC 1:10-1:50 -
Protocols:
-
儲存條件:Upon receipt, store at -20°C or -80°C. Avoid repeated freeze.
-
貨期:Basically, we can dispatch the products out in 1-3 working days after receiving your orders. Delivery time maybe differs from different purchasing way or location, please kindly consult your local distributors for specific delivery time.
-
用途:For Research Use Only. Not for use in diagnostic or therapeutic procedures.
相關產品
靶點詳情
-
功能:Component of the CENPA-NAC (nucleosome-associated) complex, a complex that plays a central role in assembly of kinetochore proteins, mitotic progression and chromosome segregation. The CENPA-NAC complex recruits the CENPA-CAD (nucleosome distal) complex and may be involved in incorporation of newly synthesized CENPA into centromeres.
-
基因功能參考文獻:
- CENP-M is crucially required for the assembly and stability of a tetramer also comprising CENP-I, CENP-H, and CENP-K, the HIKM complex, which we extensively characterize through a combination of structural, biochemical, and cell biological approaches. PMID: 25006165
- Expression of the human PANE1 gene was detected preferentially in immune cells PMID: 15183305
- an alternative transcript of the proliferation-associated nuclear element 1 (PANE1) gene encodes a novel (HLA)-A(*)0301-restricted mHAg that is selectively expressed in B-lymphoid cells PMID: 16391015
- PANE1 localizes to the centromere throughout the cell cycle and its localization is dependent on the centromere specific histone variant CENP-A. PMID: 16622419
-
亞細胞定位:Nucleus. Cytoplasm. Chromosome, centromere, kinetochore.
-
組織特異性:Isoform 3 is highly expressed in spleen, and intermediately in heart, prostate and ovary. Isoform 3 is highly expressed in resting CD19 B-cells and B-lineage chronic lymphocytic leukemia (B-CLL) cells and weakly expressed in activated B-cells. Isoform 1 i
-
數據庫鏈接:
Most popular with customers
-
-
YWHAB Recombinant Monoclonal Antibody
Applications: ELISA, WB, IHC, IF, FC
Species Reactivity: Human, Mouse, Rat
-
Phospho-YAP1 (S127) Recombinant Monoclonal Antibody
Applications: ELISA, WB, IHC
Species Reactivity: Human
-
-
-
-
-















