CENPA (Ab-7) Antibody
-
中文名稱:CENPA (Ab-7)兔多克隆抗體
-
貨號:CSB-PA005205OA07nphHU
-
規格:¥660
-
圖片:
-
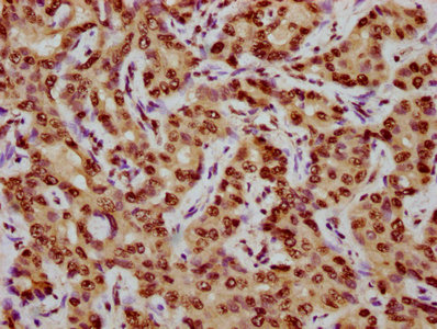
IHC image of CSB-PA005205OA07nphHU diluted at 1:10 and staining in paraffin-embedded human liver cancer performed on a Leica BondTM system. After dewaxing and hydration, antigen retrieval was mediated by high pressure in a citrate buffer (pH 6.0). Section was blocked with 10% normal goat serum 30min at RT. Then primary antibody (1% BSA) was incubated at 4°C overnight. The primary is detected by a biotinylated secondary antibody and visualized using an HRP conjugated SP system.
-
IHC image of CSB-PA005205OA07nphHU diluted at 1:10 and staining in paraffin-embedded human cervical cancer performed on a Leica BondTM system. After dewaxing and hydration, antigen retrieval was mediated by high pressure in a citrate buffer (pH 6.0). Section was blocked with 10% normal goat serum 30min at RT. Then primary antibody (1% BSA) was incubated at 4°C overnight. The primary is detected by a biotinylated secondary antibody and visualized using an HRP conjugated SP system.
-
-
其他:
產品詳情
-
產品名稱:Rabbit anti-Homo sapiens (Human) CENPA Polyclonal antibody
-
Uniprot No.:
-
基因名:CENPA
-
別名:CENP A antibody; CENP-A antibody; cenpa antibody; CENPA_HUMAN antibody; Centromere autoantigen A antibody; Centromere protein A 17kDa antibody; Centromere protein A antibody; Histone H3 like centromeric protein A antibody; Histone H3-like centromeric protein A antibody
-
宿主:Rabbit
-
反應種屬:Human
-
免疫原:Peptide sequence around site of Ser (7) derived from Human Histone H3-like centromeric protein A
-
免疫原種屬:Homo sapiens (Human)
-
標記方式:Non-conjugated
-
克隆類型:Polyclonal
-
抗體亞型:IgG
-
純化方式:Antigen Affinity Purified
-
濃度:It differs from different batches. Please contact us to confirm it.
-
保存緩沖液:Preservative: 0.03% Proclin 300
Constituents: 50% Glycerol, 0.01M PBS, pH 7.4 -
產品提供形式:Liquid
-
應用范圍:ELISA, IHC
-
推薦稀釋比:
Application Recommended Dilution IHC 1:10-1:100 -
Protocols:
-
儲存條件:Upon receipt, store at -20°C or -80°C. Avoid repeated freeze.
-
貨期:Basically, we can dispatch the products out in 1-3 working days after receiving your orders. Delivery time maybe differs from different purchasing way or location, please kindly consult your local distributors for specific delivery time.
-
用途:For Research Use Only. Not for use in diagnostic or therapeutic procedures.
相關產品
靶點詳情
-
功能:Histone H3-like nucleosomal protein that is specifically found in centromeric nucleosomes. Replaces conventional H3 in the nucleosome core of centromeric chromatin at the inner plate of the kinetochore. The presence of CENPA subtly modifies the nucleosome structure and the way DNA is wrapped around the nucleosome and gives rise to protruding DNA ends that are less well-ordered and rigid compared to nucleosomes containing histone H3. May serve as an epigenetic mark that propagates centromere identity through replication and cell division. Required for recruitment and assembly of kinetochore proteins, and as a consequence required for progress through mitosis, chromosome segregation and cytokinesis.
-
基因功能參考文獻:
- Aurora A-dependent phosphorylation of CENP-A at the inner centromere protects chromosomes against tension-induced cohesion fatigue until the last kinetochore is attached to spindle microtubules. PMID: 29760389
- CENP-A undergoes alpha-amino trimethylation by the enzyme NRMT in vivo. PMID: 28266506
- H4K5ac and H4K12ac, mediated by RbAp46/48, facilitates efficient CENP-A deposition into centromeres. PMID: 27811920
- Collectively, these studies clarify how CENP-N and CENP-C decode and stabilize the non-canonical CENP-A nucleosome to enforce epigenetic centromere specification and kinetochore assembly. PMID: 29280735
- the SGT1-HSP90 complex contributes to the E3 ligase activity of the CUL4A complex that is necessary for CENP-A ubiquitylation and CENP-A deposition at the centromere. PMID: 28816574
- during the CENP-A/H4 deposition process, the chaperone HJURP protects various substructures of the dimer, serving both as a folding and binding chaperone PMID: 27454815
- This study provides insights into how overexpression of CENP-A may contribute to CIN in cancers and underscore the importance of understanding the pathways that prevent CENP-A mislocalization for genome stability. PMID: 28596481
- Findings indicate the role of the amino-terminus of centromere protein A (CENP-A) in localization. PMID: 28489565
- Levels of centromere aberrations increase upon depletion of CENP-A, CENP-C, and CENP-T/W, during replicative senescence, and in cancer cells. PMID: 28167779
- Upon cross-linking, the entire CENPA/CENPB/CENPC/CENPT complex is nuclease-protected over an alpha-satellite dimer that comprises the fundamental unit of centromeric chromatin. We conclude that CENPA/CENPC and CENPT pathways for kinetochore assembly are physically integrated over young alpha-satellite dimers. PMID: 27384170
- we review our current understanding of CENP-A evolution in relation to centromere drive and discuss classical and recent advances, including new evidence implicating CENP-A chaperones in this conflict. PMID: 28069312
- there is a reciprocal interdependency of CENP-A chromatin and the underlying repetitive centromere DNA sequences bound by CENP-B in the maintenance of human chromosome segregation. PMID: 27880912
- Identify the licensing factor M18BP1 and the CENP-A chaperone HJURP as the two key targets of Cdk-based inhibition sufficient for maintenance of strict cell-cycle control of CENP-A assembly. PMID: 28017591
- CENP-A specifically binds alpha satellite non-coding RNAs. Loss of CENP-A does not affect transcript abundance or stability. PMID: 28787590
- Evolutionarily conserved flexible ends of the CENP-A nucleosomes are essential to ensure the fidelity of the mitotic pathway. PMID: 27499292
- These data implicate the insulin-FoxM1/PLK1/CENP-A pathway-regulated mitotic cell-cycle progression as an essential component in the beta cell adaptation to delay and/or prevent progression to diabetes. PMID: 28286049
- Findings indicate that expression of the scleroderma autoantigens IFI-16 and CENPs, which are associated with severe vascular disease, is increased in vascular progenitors and mature endothelial cells. High level, lineage-enriched expression of autoantigens may explain the striking association between clinical phenotypes and the immune targeting of specific autoantigens. PMID: 27159521
- KAT7-containing acetyltransferases associating with the Mis18 complex provides competence for histone turnover/exchange activity on alphoid DNA and prevents Suv39h1-mediated heterochromatin invasion into centromeres. PMID: 27270040
- CENP-A mutants that cannot be phosphorylated at Ser68 or ubiquitinated at Lys124 assemble efficiently at centromeres during G1, mediate early events in centromere establishment at an ectopic chromosomal locus, and maintain centromere function indefinitely. PMID: 28073008
- elevated CENP-A expression is coupled to malignant progression of numerous types of cancer. It may be useful as a biomarker of poor patient prognosis and as a predictive biomarker for taxane-based chemotherapy. PMID: 27062469
- CENP-C and CENP-I are key factors connecting kinetochore to CENP-A assembly. PMID: 26527398
- The authors found that the nucleosome shape change directed by CENP-A is dominated by lateral passing of two DNA gyres (gyre sliding). PMID: 26878239
- the CRL4 complex containing RBBP7 (CRL4(RBBP7)) might regulate mitosis by promoting ubiquitin-dependent loading of newly synthesized CENP-A during the G1 phase of the cell cycle. PMID: 25795299
- The DNA ends of the CENP-A nucleosome are more flexible than those of the H3 nucleosome. PMID: 25786215
- We used a synthetic system to dissect how CenH3(CENP-A) contributes to the accumulation of CENP-C and CENP-T, two key components that are necessary for the formation of functional kinetochores PMID: 25843710
- The CENP-A/histone H3.3 nucleosome forms an unexpectedly stable structure and allows the binding of the essential centromeric protein, CENP-C, which is ectopically mislocalized in the chromosomes of CENP-A overexpressing tumor cells. PMID: 25408271
- CENP-B directly binds both CENP-A's amino-terminal tail and CENP-C, a key nucleator of kinetochore assembly PMID: 25942623
- CENP-C depletion leads to rapid removal of CENP-A from centromeres, indicating their collaboration in maintaining centromere identity. PMID: 25954010
- The study describes a novel function for human centromeric long non-coding RNAs in the recruitment of HJURP and CENP-A, implicating RNA-based chaperone targeting in histone variant assembly. PMID: 25117489
- results indicate that the regions of CENP-A required for early events in centromere establishment differ from those that are required for maintaining centromere identity. PMID: 25713413
- our results demonstrate that elevated CENP-A expression is significantly associated with osteosarcoma progression PMID: 24440098
- Study identifies Plk1 as a centromere-localized regulator required to initiate CENP-A deposition in human cells and faithful CENP-A deposition requires integrated signals from Plk1 and CDK, with Plk1 promoting the localization of the key CENP-A deposition factor, the Mis18 complex, and CDK inhibiting Mis18 complex assembly. PMID: 25036634
- Ser7 phosphorylated CENP-A acts as a chromosomal passenger protein and may play an important role in cytokinesis. PMID: 23890477
- DAXX has a role in misregulation of localization of the centromeric histone variant CenH3/CENP-A PMID: 24530302
- CENP-A could play an important role in epithelial ovarian cancer and might serve as a valuable prognostic marker and potential target for gene therapy. PMID: 23712606
- anti-CENP-A(1-17) antibodies are generated independently from anti-CENP-B antibodies PMID: 23613856
- This study found that that octameric CENP-A nucleosomes mark the centromeric region to ensure proper epigenetic inheritance and kinetochore assembly. PMID: 23623556
- a mechanism whereby the CENP-A pre-nucleosomal complex achieves assembly of the octameric CENP-A nucleosome through the dimerization of the CENP-A chaperone HJURP. PMID: 23771058
- Posttranslational modification of CENP-A influences the conformation of centromeric chromatin. PMID: 23818633
- Data indicate that G1-phase histone assembly is restricted to CENP-A and H4. PMID: 23363600
- Authors show that the predominant form of the CENP-A particle at human centromeres is an octameric nucleosome. PMID: 23644596
- Authors demonstrate that octameric CENP-A nucleosomes assembled in vitro exhibit reduced heights, indicating that they are physically distinct from H3 nucleosomes and negating the need to invoke the presence of hemisomes. PMID: 23644598
- 14-3-3 proteins could act as specific mitotic "bridges," linking phosphorylated CENP-A and CENP-C, which are necessary for the platform function of CENP-A centromeric chromatin PMID: 23657009
- And-1 together with HJURP regulates the assembly of new CENP-A onto centromeres. PMID: 23184928
- study found CENP-A to be a strong prognostic marker for distant relapse in ER-positive breast cancer. Even when known clinical factors such as Ki-67 and grade are considered, CENP-A remains an independent prognostic marker for relapse. PMID: 22559056
- CENP-A and/or B status is predictive of the extent of skin involvement over time in systemic sclerosis. PMID: 22467948
- structural comparison between CENP-A and H3 in nucleosomes PMID: 22127263
- Our results demonstrate that elevated CENP-A expression is closely associated with lung adenocarcinoma progression and has an independent prognostic value in predicting overall survival for patients with lung adenocarcinoma. PMID: 22542705
- Whereas canonical H3 nucleosomes have octameric dimensions throughout the cell cycle, CENP-A nucleosomes are predominantly tetramers in early G1 phase, alter to octamers at the end of G1 through S phase, and revert to tetramers after replication. PMID: 22817894
- The authors report that de novo CENP-A assembly and kinetochore formation on human centromeric alphoid DNA arrays is regulated by a histone H3K9 acetyl/methyl balance. PMID: 22473132
顯示更多
收起更多
-
亞細胞定位:Nucleus. Chromosome, centromere, kinetochore. Chromosome, centromere.
-
蛋白家族:Histone H3 family
-
數據庫鏈接:
Most popular with customers
-
-
YWHAB Recombinant Monoclonal Antibody
Applications: ELISA, WB, IHC, IF, FC
Species Reactivity: Human, Mouse, Rat
-
-
-
-
-
-















