CELSR1 Antibody
-
中文名稱:CELSR1兔多克隆抗體
-
貨號:CSB-PA868360NA01HU
-
規格:¥440
-
圖片:
-
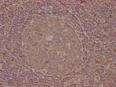
IHC image of CSB-PA868360NA01HU diluted at 1:100 and staining in paraffin-embedded human tonsil tissue performed on a Leica BondTM system. After dewaxing and hydration, antigen retrieval was mediated by high pressure in a citrate buffer (pH 6.0). Section was blocked with 10% normal goat serum 30min at RT. Then primary antibody (1% BSA) was incubated at 4°C overnight. The primary is detected by a biotinylated secondary antibody and visualized using an HRP conjugated SP system.
-
-
其他:
產品詳情
-
產品名稱:Rabbit anti-Homo sapiens (Human) CELSR1 Polyclonal antibody
-
Uniprot No.:
-
基因名:
-
別名:CELSR1 antibody; CDHF9 antibody; FMI2Cadherin EGF LAG seven-pass G-type receptor 1 antibody; Cadherin family member 9 antibody; Flamingo homolog 2 antibody; hFmi2 antibody
-
宿主:Rabbit
-
反應種屬:Human
-
免疫原:Peptide sequence from Human Cadherin EGF LAG seven-pass G-type receptor 1 protein (345-363AA)
-
免疫原種屬:Homo sapiens (Human)
-
標記方式:Non-conjugated
本頁面中的產品,CELSR1 Antibody (CSB-PA868360NA01HU),的標記方式是Non-conjugated。對于CELSR1 Antibody,我們還提供其他標記。見下表:
-
克隆類型:Polyclonal
-
抗體亞型:IgG
-
純化方式:Antigen Affinity Purified
-
濃度:It differs from different batches. Please contact us to confirm it.
-
保存緩沖液:Preservative: 0.03% Proclin 300
Constituents: 50% Glycerol, 0.01M PBS, pH 7.4 -
產品提供形式:Liquid
-
應用范圍:ELISA, IHC
-
推薦稀釋比:
Application Recommended Dilution IHC 1:20-1:200 -
Protocols:
-
儲存條件:Upon receipt, store at -20°C or -80°C. Avoid repeated freeze.
-
貨期:Basically, we can dispatch the products out in 1-3 working days after receiving your orders. Delivery time maybe differs from different purchasing way or location, please kindly consult your local distributors for specific delivery time.
-
用途:For Research Use Only. Not for use in diagnostic or therapeutic procedures.
相關產品
靶點詳情
-
功能:Receptor that may have an important role in cell/cell signaling during nervous system formation.
-
基因功能參考文獻:
- Patients with CELSR1 mutations and spina bifida can have significant renal malformations. PMID: 27597235
- This single-nucleotide polymorphism-by-sex genome-wide association analysis identified the fetal lung development gene, CELSR1, as a potential sex-specific risk factor for Chronic obstructive pulmonary disease. PMID: 27854507
- Upregulating CELSR1 expression significantly promoted cell growth, while knocking down CELSR1 inhibited the growth and decreased tube formation. PMID: 27301287
- Single nucleotide polymorphisms in nNOS, renalase, MTHFR, CELSR1 and XYLB genes were found significantly associated with ischemic stroke in Chinese patients. PMID: 25855559
- the present study has proven for the first time that CELSR1 is a susceptibility gene for ischaemic stroke in the Chinese Han population, especially for large artery atherosclerosis. PMID: 25117632
- CELSR1 mutations contribute to the risk of spina bifida in a cohort of spina bifida patients from California PMID: 24632739
- Celsr1 regulates dynamic cell movements by inhibiting stabilization of VE-cadherin and maturation of adherens junctions. PMID: 23792146
- CELSR1 is a risk factor for neural tube defects or caudal agenesis via pathogenic role of planar cell polarity signaling in these malformations. PMID: 22371354
- Missense variants in CELSR1 may represent a cause of craniorachischisis in humans, as in mice, with defective planar cell polarity protein trafficking to the plasma membrane a likely pathogenic mechanism. PMID: 22095531
- CELSR1 may have a role in ischemic stroke, as shown in a Portuguese case-control cohort PMID: 21511255
- The planar cell polarity genes Celsr1 and Vangl2 are required for normal lung branching morphogenesis. PMID: 20223754
- Identification of CELSR1 as a susceptibility gene for ischemic stroke in Japanese individuals by a genome-wide association study. PMID: 19403135
- exclusion as a candidate gene for schizophrenia-- a cadhrin gene PMID: 11807409
- Variations in the nine ectodomains of CELSR1 do not increase susceptibility to schizophrenia. PMID: 12782967
顯示更多
收起更多
-
相關疾病:Neural tube defects (NTD)
-
亞細胞定位:Cell membrane; Multi-pass membrane protein.
-
蛋白家族:G-protein coupled receptor 2 family, LN-TM7 subfamily
-
數據庫鏈接:
Most popular with customers
-
YWHAB Recombinant Monoclonal Antibody
Applications: ELISA, WB, IHC, IF, FC
Species Reactivity: Human, Mouse, Rat
-
-
-
-
-
-
-















