CEBPG Antibody
-
中文名稱:CEBPG兔多克隆抗體
-
貨號:CSB-PA251962
-
規格:¥1100
-
圖片:
-
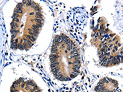
The image on the left is immunohistochemistry of paraffin-embedded Human colon cancer tissue using CSB-PA251962(CEBPG Antibody) at dilution 1/25, on the right is treated with fusion protein. (Original magnification: ×200)
-
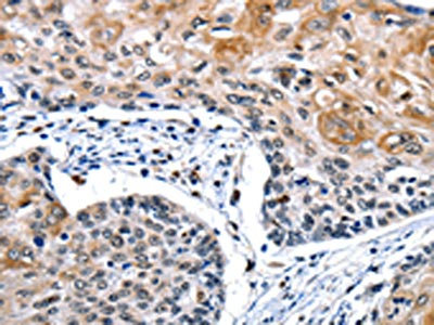
The image on the left is immunohistochemistry of paraffin-embedded Human cervical cancer tissue using CSB-PA251962(CEBPG Antibody) at dilution 1/25, on the right is treated with fusion protein. (Original magnification: ×200)
-
-
其他:
產品詳情
-
Uniprot No.:
-
基因名:CEBPG
-
別名:C/EBP gamma antibody; CCAAT/enhancer binding protein (C/EBP) gamma antibody; CCAAT/enhancer binding protein gamma antibody; CCAAT/enhancer-binding protein gamma antibody; CEBPG antibody; CEBPG_HUMAN antibody; GPE1BP antibody; IG/EBP 1 antibody; IG/EBP1 antibody
-
宿主:Rabbit
-
反應種屬:Human,Mouse,Rat
-
免疫原:Fusion protein of Human CEBPG
-
免疫原種屬:Homo sapiens (Human)
-
標記方式:Non-conjugated
-
抗體亞型:IgG
-
純化方式:Antigen affinity purification
-
濃度:It differs from different batches. Please contact us to confirm it.
-
保存緩沖液:-20°C, pH7.4 PBS, 0.05% NaN3, 40% Glycerol
-
產品提供形式:Liquid
-
應用范圍:ELISA,IHC
-
推薦稀釋比:
Application Recommended Dilution ELISA 1:2000-1:5000 IHC 1:25-1:100 -
Protocols:
-
儲存條件:Upon receipt, store at -20°C or -80°C. Avoid repeated freeze.
-
貨期:Basically, we can dispatch the products out in 1-3 working days after receiving your orders. Delivery time maybe differs from different purchasing way or location, please kindly consult your local distributors for specific delivery time.
-
用途:For Research Use Only. Not for use in diagnostic or therapeutic procedures.
相關產品
靶點詳情
-
功能:Transcription factor that binds to the promoter and the enhancer regions of target genes. Binds to the enhancer element PRE-I (positive regulatory element-I) of the IL-4 gene. Binds to the promoter and the enhancer of the immunoglobulin heavy chain. Binds to GPE1, a cis-acting element in the G-CSF gene promoter.
-
基因功能參考文獻:
- These findings suggest that CEBPG may play an oncogenic role in BCP-ALL and relies on a mechanism different from CEBPA. PMID: 25669928
- High CEBPG expression correlated with poorer clinical prognoses in several human cancers, and C/EBP gamma depletion decreased proliferation and induced senescence in lung tumor cells. PMID: 23775115
- CEBPG mediates the myeloid differentiation arrest induced by CEBPA deficiency in acute myeloid leukemia. PMID: 23160200
- C/EBPgamma positively regulates wound repair both in vitro and in vivo, at least in part, by affecting EGFR signaling. PMID: 22437320
- Ig/EBP (C/EBPgamma)is constitutively multiubiquitinated & then degraded by the proteasome. Ubiquitination and degradation are suppressed by forming dimers through the leucine zipper domains. PMID: 12618752
- CEBPG is the transcription factor primarily responsible for regulating transcription of key antioxidant and DNA repair genes in non-bronchogenic carcinoma individuals PMID: 16255782
- CEBPG regulates ERCC5 expression and this regulation is modified by E2F1/YY1 interactions. PMID: 17893230
顯示更多
收起更多
-
亞細胞定位:Nucleus.
-
蛋白家族:BZIP family, C/EBP subfamily
-
數據庫鏈接:
Most popular with customers
-
-
YWHAB Recombinant Monoclonal Antibody
Applications: ELISA, WB, IHC, IF, FC
Species Reactivity: Human, Mouse, Rat
-
Phospho-YAP1 (S127) Recombinant Monoclonal Antibody
Applications: ELISA, WB, IHC
Species Reactivity: Human
-
-
-
-
-















