CEBPB Antibody
-
中文名稱:CEBPB兔多克隆抗體
-
貨號:CSB-PA268568
-
規格:¥1100
-
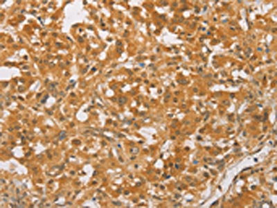
圖片:
-
The image on the left is immunohistochemistry of paraffin-embedded Human thyroid cancer tissue using CSB-PA268568(CEBPB Antibody) at dilution 1/60, on the right is treated with synthetic peptide. (Original magnification: ×200)
-
The image on the left is immunohistochemistry of paraffin-embedded Human brain tissue using CSB-PA268568(CEBPB Antibody) at dilution 1/60, on the right is treated with synthetic peptide. (Original magnification: ×200)
-
-
其他:
產品詳情
-
Uniprot No.:
-
基因名:
-
別名:AGP/EBP antibody; C EBP beta antibody; C/EBP beta antibody; C/EBP related protein 2 antibody; CCAAT Enhancer Binding Protein beta antibody; CCAAT/enhancer-binding protein beta antibody; CEBPB antibody; CEBPB_HUMAN antibody; CRP2 antibody; IL 6DBP antibody; IL6DBP antibody; Interleukin 6 dependent binding protein antibody; LAP antibody; Liver activator protein antibody; Liver enriched transcriptional activator antibody; NF IL6 antibody; NFIL6 antibody; Nuclear factor NF IL6 antibody; Nuclear factor NF-IL6 antibody; SF B antibody; SFB antibody; Silencer factor B antibody; TCF-5 antibody; TCF5 antibody; Transcription factor 5 antibody
-
宿主:Rabbit
-
反應種屬:Human,Mouse,Rat
-
免疫原:Synthetic peptide of Human CEBPB
-
免疫原種屬:Homo sapiens (Human)
-
標記方式:Non-conjugated
-
抗體亞型:IgG
-
純化方式:Antigen affinity purification
-
濃度:It differs from different batches. Please contact us to confirm it.
-
保存緩沖液:-20°C, pH7.4 PBS, 0.05% NaN3, 40% Glycerol
-
產品提供形式:Liquid
-
應用范圍:ELISA,IHC
-
推薦稀釋比:
Application Recommended Dilution ELISA 1:1000-1:5000 IHC 1:50-1:200 -
Protocols:
-
儲存條件:Upon receipt, store at -20°C or -80°C. Avoid repeated freeze.
-
貨期:Basically, we can dispatch the products out in 1-3 working days after receiving your orders. Delivery time maybe differs from different purchasing way or location, please kindly consult your local distributors for specific delivery time.
-
用途:For Research Use Only. Not for use in diagnostic or therapeutic procedures.
相關產品
靶點詳情
-
功能:Important transcription factor regulating the expression of genes involved in immune and inflammatory responses. Plays also a significant role in adipogenesis, as well as in the gluconeogenic pathway, liver regeneration, and hematopoiesis. The consensus recognition site is 5'-TEssential for gene expression induction in activated macrophages. Plays a major role in immune responses such as CD4(+) T-cell response, granuloma formation and endotoxin shock. Not essential for intracellular bacteria killing.; Acts as a dominant negative through heterodimerization with isoform 2. Promotes osteoblast differentiation and osteoclastogenesis.
-
基因功能參考文獻:
- CEBPbeta enhances platinum resistance of ovarian cancer cells by reprogramming H3K79 methylation. PMID: 29712898
- Our data suggest that activation of the GPR91-ERK1/2-C/EBP beta (c-Fos, HIF-1a) signaling pathway plays a tonic role in regulating VEGF transcription in rat retinal ganglion cells. PMID: 28374767
- C/EBPbeta contributes to all-trans retinoic acid-induced activation of NEAT1 during acute promyelocytic leukemia cell differentiation. PMID: 29111326
- Palmitate can induce lipid accumulation in HepG2 cells by activating C/EBPbeta-mediated G0S2 expression. PMID: 29209111
- Anti-tumor effect of Rg3, which is mediated by inhibition of C/EBPbeta/NF-kappaB signaling. PMID: 29169725
- C/EBPbeta upregulation promoted tumor cell invasion in an MMP3-dependent manner in vitro and was associated with metastatic status in colorectal cancer PMID: 29172775
- findings support the hypothesis that maternal diabetes-induced ER stress increases CHOP expression which represses PGC-1alpha through suppressing the C/EBPbeta transcriptional activity, subsequently induces mitochondrial dysfunction and ultimately results in NTDs PMID: 28482072
- Studies indicate that CCAAT enhancer binding protein beta (C/EBPB)-transcription factor CITED4 (CITED4) signaling is a pathway in cardioprotection mediating benefits of exercise in heart. PMID: 29098625
- C/EBP beta LAP isoform expression was increased and LIP/TNFAIP3/TNIP1 expression was decreased in systemic lupus erythematosus (SLE) patients. LAP expression was positively correlated with SLE disease activity; TNFAIP3 and TNIP1 expression was negatively correlated with SLE disease activity. PMID: 27659348
- Overexpression of C/EBPbeta-1 increases transformation, upregulates expression of the cancer stem cell marker ALDH1A1, and leads to chemoresistance. PMID: 28148901
- Elevated expression of CEBPB were associated with a decreased risk of hepatocellular carcinoma. PMID: 28321907
- C/EBPbeta overexpression or knockdown did not change the levels of IL-1beta-induced SOCS1. SOCS1 regulated the levels of C/EBPbeta mRNA by ubiquitination of C/EBPbeta as well as transcriptional regulation in human chondrocytes. PMID: 27339399
- C/EBPbeta suppresses miR-17-92 via two pathways - indirectly through induction of PU.1 expression, where it functions as an activator, and more efficiently, through direct interaction with the miR-17-92 promoter. PMID: 26868909
- p300-dependent histone H3 acetylation and C/EBPbeta-regulated IKKbeta expression contribute to thrombin-induced IL-8/CXCL8 expression in human lung epithelial cells. PMID: 28428115
- C/EBPbeta negatively regulates PR-B expression in glioblastoma cells. PMID: 27663075
- High CEBPB expression is associated with recurrence in Glioma. PMID: 28754668
- Study results show the role of WT1 in regulating decidualization in human endometrial stromal cells. C/EBPbeta is an upstream gene that regulates WT1 expression by binding to the novel enhancer region. PMID: 28977591
- EGFR and C/EBP-beta oncogenic signaling is bidirectional in human glioma and varies with the C/EBP-beta isoform PMID: 27572958
- expressed in intervertebral discs PMID: 26505752
- Data show that in an in vitro acute lung injury model established by lipopolysaccharide induction, phosphorylation of C/EBP beta was decreased and bioinformatics analysis discovered a putative binding site of C/EBP beta in CCSP1 promoter; LPS stimulation reduced C/EBP beta phosphorylation and suppressed the transcription of CCSP1. PMID: 28760550
- Increased polyamine metabolism in CRC could be driven by c-Myc and C/EBPbeta rather than Bacteroides fragilis infection. PMID: 27433286
- A transcription factor complex consisting of ATF6 (an endoplasmic reticulum-resident factor) and C/EBP-beta is required for the IFN-gamma-induced expression of DAPK1 IFN-gamma-induced proteolytic processing of ATF6 and phosphorylation of C/EBP-beta are obligatory for the formation of this transcriptional complex PMID: 27590344
- Data show that CCAAT/enhancer-binding protein beta (C/EBP beta) expression is increased in endothelial cells and retinal pigment epithelial cells infected by Toxoplasma gondii, resulting in the activation of autophagy in host cells by inhibiting mechanistic target of rapamycin protein (mTOR) pathway. PMID: 28092463
- Data suggest that melatonin down-regulates adipogenesis via reduction of (a) cAMP synthesis, (b) reactive oxygen species synthesis, (c) phosphorylation of CEBPB (CCAAT-enhancer-binding protein-beta), and (d) activation of GSK3B (glycogen synthase kinase 3 beta); primary mesenchymal stem cells cultured in adipogenic differentiation media were used in these studies. PMID: 26797706
- we concluded that staurosporine enhanced ATRAinduced granulocytic differentiation in U937 cells via MEK/ERK-mediated modulation of the protein level of C/EBPs PMID: 27665842
- C/EBPbeta-Thr217 phosphorylation is essential for the activation of the inflammasome in liver macrophages and for the hepatocyte apoptosis induced by hepatotoxins that results in liver injury. PMID: 27067260
- The study aimed to identify a small set of genetic signatures that may reliably predict the individuals with a high genetic propensity to heroin addiction. A set of 4 genes (JUN, CEBPB, PRKCB, ENO2, or CEBPG) could predict the diagnosis of heroin addiction with the accuracy rate around 85% in our dataset. PMID: 27495086
- The increase of nuclear C/EBPbeta protein was dependent on p38. PMID: 27833915
- ER stress appears to play a regulatory role in the inflammatory response and extracellular matrix degradation in human periodontal ligament cells in response to LPS stimuli by activating C/EBP beta expression. PMID: 27011164
- our data demonstrate that C/EBPbeta plays a central role in controlling Gadd45beta gene expression in articular chondrocytes PMID: 26896926
- CREB is a transcriptional regulator of C/EBPbeta in gastric cancer cells. PMID: 25740226
- C/EBPbeta and NFkappaB inhibition by melatonin may impede both gastric tumor growth and peritoneal dissemination by inducing ER stress and inhibiting EMT. PMID: 26514342
- C/EBPbeta promotes autophagy in PC3 cells by augmenting REDD1 expression. PMID: 26968249
- TNF-a induced MMP1/3 expression, which was abrogated by C/EBPb knockdown or p38 MAPK inhibition. PMID: 25959126
- Loss of C/EBPbeta expression in primary myoblasts rescues differentiation under cachectic conditions without restoring myotube size, indicating that C/EBPbeta is an important inhibitor of myogenesis in cancer cachexia. PMID: 26709824
- Letter: elevated C/EBPbeta in advanced COPD may be an indication of a breakdown of regulatory mechanisms and excessive inflammation. PMID: 26511475
- the oxidative stress-induced overexpression of C/EBPbeta might influence the activity of MMPs by regulating the Wnt/beta-catenin signaling pathway to affect the invasion of trophoblast cells, and participate in the pathogenesis of preeclampsia. PMID: 26166436
- This study established a correlation between miR-155 and TLR7 during hepatitis B virus infection and also demonstrated in vitro that increased miR-155 level could help to reduce viral load by targeting C/EBP-beta. PMID: 25720442
- Low CEBPB expression is associated with metastasis in hepatocellular carcinoma. PMID: 25965830
- Global profiling in human mesenchymal stem cells and a novel cell-free assay reveals that ATF4 requires C/EBPbeta for genomic binding at a motif distinct from that bound by the C/EBPbeta homodimer. PMID: 26111340
- High CEBPB expression is associated with prostate cancer. PMID: 25772238
- C/EBPbeta could promote the invasion and migration of human renal carcinoma 786-O cells, and had an inducing effect on nuclear translocation of NF-kappaB in 786-O cells. PMID: 26522356
- C/EBPbeta induces growth arrest in a colorectal cancer cell line and that its expression is negatively correlated with the miR-191 level in patient samples. PMID: 25784653
- CCAAT/enhancer binding protein beta is dispensable for development of lung adenocarcinoma. PMID: 25767874
- C/EBPbeta was the main regulator of P2X7 receptor expression in response to a glucose challenge. C/EBPalpha and the C/EBPbeta-LIP isoform blocked the C/EBPbeta-dependent regulation of P2X7 receptor transcription. PMID: 25403356
- these studies show that C/EBPbeta increases S100A4 levels by directly activating S100A4 promoter expression in glioblastoma cells and provide evidence that S100A4 may contribute to the C/EBPbeta-induced invasiveness. PMID: 25738360
- EGF up-regulates miR-31 through the C/EBPbeta signal cascade in oral carcinoma PMID: 25229239
- The results found that C/EBP-beta is an important transcription factor within the metabolic disturbances of the metabolic system. PMID: 25699273
- C/EBPbeta, especially C/EBPbeta-LIP in cooperation with ATF4, is involved in osteoclast formation by regulating RANKL expression in RA-FLS. These findings suggest that C/EBPbeta plays a crucial role in bone destruction in RA joints PMID: 25811130
- The C/EBPbeta transcription factor plays a role in hematological malignancies of both myeloid and lymphoid lineage origin. [Review] PMID: 25940801
顯示更多
收起更多
-
亞細胞定位:Nucleus. Cytoplasm.
-
蛋白家族:BZIP family, C/EBP subfamily
-
組織特異性:Expressed at low levels in the lung, kidney and spleen.
-
數據庫鏈接:
Most popular with customers
-
YWHAB Recombinant Monoclonal Antibody
Applications: ELISA, WB, IHC, IF, FC
Species Reactivity: Human, Mouse, Rat
-
Phospho-YAP1 (S127) Recombinant Monoclonal Antibody
Applications: ELISA, WB, IHC
Species Reactivity: Human
-
-
-
-
-
-















