CDO1 Antibody
-
中文名稱:CDO1兔多克隆抗體
-
貨號:CSB-PA438445
-
規格:¥1100
-
圖片:
-
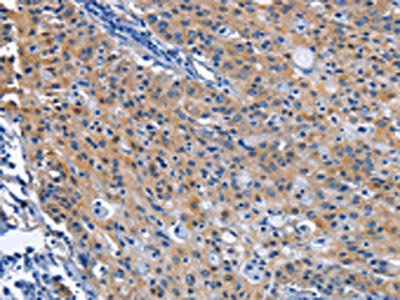
The image on the left is immunohistochemistry of paraffin-embedded Human gastic cancer tissue using CSB-PA438445(CDO1 Antibody) at dilution 1/40, on the right is treated with fusion protein. (Original magnification: ×200)
-
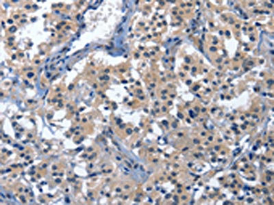
The image on the left is immunohistochemistry of paraffin-embedded Human thyroid cancer tissue using CSB-PA438445(CDO1 Antibody) at dilution 1/40, on the right is treated with fusion protein. (Original magnification: ×200)
-
-
其他:
產品詳情
-
Uniprot No.:
-
基因名:CDO1
-
別名:CDO 1 antibody; CDO antibody; CDO I antibody; CDO-I antibody; Cdo1 antibody; CDO1_HUMAN antibody; CDOI antibody; Cysteine dioxygenase type 1 antibody; Cysteine dioxygenase type I antibody; Cytosolic cysteine dioxygenase antibody
-
宿主:Rabbit
-
反應種屬:Human,Mouse,Rat
-
免疫原:Fusion protein of Human CDO1
-
免疫原種屬:Homo sapiens (Human)
-
標記方式:Non-conjugated
-
抗體亞型:IgG
-
純化方式:Antigen affinity purification
-
濃度:It differs from different batches. Please contact us to confirm it.
-
保存緩沖液:-20°C, pH7.4 PBS, 0.05% NaN3, 40% Glycerol
-
產品提供形式:Liquid
-
應用范圍:ELISA,IHC
-
推薦稀釋比:
Application Recommended Dilution ELISA 1:1000-1:2000 IHC 1:25-1:100 -
Protocols:
-
儲存條件:Upon receipt, store at -20°C or -80°C. Avoid repeated freeze.
-
貨期:Basically, we can dispatch the products out in 1-3 working days after receiving your orders. Delivery time maybe differs from different purchasing way or location, please kindly consult your local distributors for specific delivery time.
-
用途:For Research Use Only. Not for use in diagnostic or therapeutic procedures.
相關產品
靶點詳情
-
功能:Initiates several important metabolic pathways related to pyruvate and several sulfurate compounds including sulfate, hypotaurine and taurine. Critical regulator of cellular cysteine concentrations. Has an important role in maintaining the hepatic concentation of intracellular free cysteine within a proper narrow range.
-
基因功能參考文獻:
- High CDO1 methylation is associated with colorectal cancer progression. PMID: 29746493
- Promoter NA methylation of CDO1 was demonstrated for the first time to be a cancer-associated methylation in primary gallbladder cancer(GBC), and it has the potential to be a prognostic biomarker of GBC for high-risk patients with stage II GBC. PMID: 29161283
- CDO1 methylation could be a potent prognostic predictor in primary esophageal squamous cell carcinoma and have great potential as a prognostic factor to guide the treatment of patients who need adjuvant chemotherapy. PMID: 27629777
- High methylation of CDO1 gene is responsible of the development of the esophageal adenocarcinoma. PMID: 28184414
- CDO1 promoter methylation is involved in gene regulation and is a potential prognostic biomarker for BCR-free survival in prostate cancer (PC) patients following radical prostatectomy. Further studies are needed to validate CDO1 methylation assays and to evaluate the clinical utility of CDO1 methylation for the management of PCa PMID: 27689475
- methylation of the CDO1 gene promoter could be strong prognostic indicator in primary BC without preoperative treatment. PMID: 26785325
- CDO1 promoter methylation may not substitute common prognostic makers to predict ccRCC survival, but offers additional, relevant prognostic information, indicating that it might be a novel molecular marker to determine ccRCC prognosis PMID: 25904753
- Decreased expression of CDO1 is associated with esophageal squamous cell carcinoma. PMID: 25903467
- A structural role of the Cys-Tyr cofactor coordinates the ferrous iron in the active site of CDO1. PMID: 25261132
- A high negative correlation between promoter DNA methylation and gene expression was observed for CDO1, ZNF331 and ZSCAN18 in gastrointestinal tumors. PMID: 24948044
- TGF-b1 suppressed Cdo1 gene transcription through the MEK/ERK pathway. PMID: 24553827
- we define a three-gene panel, CDO1, HOXA9, and TAC1, which we subsequently validate in two independent cohorts of primary NSCLC samples PMID: 24486589
- methylation status of serum CDO1 gene promoter may be helpful in the diagnosis of hepatocellular carcinoma (HCC) and the estimation of the HCC stages. PMID: 24646840
- Our study shows the importance of CDO1 inactivation in breast cancer and its clinical potential as a biomarker and therapeutic target to overcome resistance to anthracyclines. PMID: 23630167
- CDO1 as a novel tumor suppressor gene and a potentially valuable molecular marker for human cancer PMID: 23028699
- We confirmed that the expression of CDO1 in squamous cell carcinoma is regulated by DNA methylation of its specific promoter region. PMID: 22011669
- Cysteine dioxygenase contains a 3His ligand motif rather than 2His/1Asp. The former is essential for optimal dioxygenation activity. Mutants with a 2His/1Asp motif may give sulfoxides as byproduct due to incomplete dioxygenation. PMID: 19199799
- DNA methylation of CDO1 predicted distant recurrence in lymph node-positive patients with estrogen receptor-positive tumors treated with adjuvant anthracycline containing therapy. PMID: 20515469
- CDO is capable of altering intracellular cysteine levels as well as glutathione levels. PMID: 17327371
- Upon comparison of PBMC and skin samples of Sezary syndrome versus mycosis fungoides, CDO1 and DNM3 were found upregulated only in Sezary syndrome. PMID: 18033314
顯示更多
收起更多
-
蛋白家族:Cysteine dioxygenase family
-
組織特異性:Highly expressed in liver and placenta. Low expression in heart, brain and pancreas. Also detected in hepatoblastoma Hep-G2 cells.
-
數據庫鏈接:
Most popular with customers
-
-
YWHAB Recombinant Monoclonal Antibody
Applications: ELISA, WB, IHC, IF, FC
Species Reactivity: Human, Mouse, Rat
-
Phospho-YAP1 (S127) Recombinant Monoclonal Antibody
Applications: ELISA, WB, IHC
Species Reactivity: Human
-
-
-
-
-















