CDKN1B Antibody
-
中文名稱:CDKN1B兔多克隆抗體
-
貨號:CSB-PA869915
-
規格:¥1100
-
圖片:
-
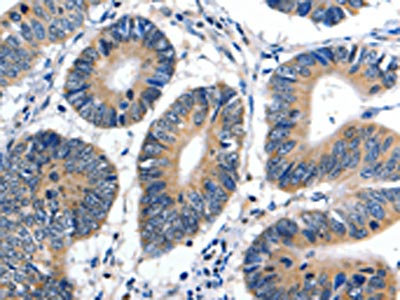
The image on the left is immunohistochemistry of paraffin-embedded Human colon cancer tissue using CSB-PA869915(CDKN1B Antibody) at dilution 1/20, on the right is treated with fusion protein. (Original magnification: ×200)
-
Gel: 10%SDS-PAGE, Lysate: 40 μg, Lane: Lncap cells, Primary antibody: CSB-PA869915(CDKN1B Antibody) at dilution 1/300, Secondary antibody: Goat anti rabbit IgG at 1/8000 dilution, Exposure time: 2 minutes
-
-
其他:
產品詳情
-
Uniprot No.:
-
基因名:
-
別名:AA408329 antibody; AI843786 antibody; Cdki1b antibody; CDKN 1B antibody; CDKN 4 antibody; CDKN1B antibody; CDKN4 antibody; CDN1B_HUMAN antibody; Cyclin Dependent Kinase Inhibitor 1B antibody; Cyclin dependent kinase inhibitor p27 antibody; Cyclin-dependent kinase inhibitor 1B (p27; Kip1) antibody; Cyclin-dependent kinase inhibitor 1B antibody; Cyclin-dependent kinase inhibitor p27 antibody; Cyclin-dependent kinase inhibitor p27 Kip1 antibody; KIP 1 antibody; KIP1 antibody; MEN1B antibody; MEN4 antibody; OTTHUMP00000195098 antibody; OTTHUMP00000195099 antibody; p27 antibody; p27 Kip1 antibody; P27-like cyclin-dependent kinase inhibitor antibody; p27Kip1 antibody
-
宿主:Rabbit
-
反應種屬:Human,Mouse
-
免疫原:Fusion protein of Human CDKN1B
-
免疫原種屬:Homo sapiens (Human)
-
標記方式:Non-conjugated
-
抗體亞型:IgG
-
純化方式:Antigen affinity purification
-
濃度:It differs from different batches. Please contact us to confirm it.
-
保存緩沖液:-20°C, pH7.4 PBS, 0.05% NaN3, 40% Glycerol
-
產品提供形式:Liquid
-
應用范圍:ELISA,WB,IHC
-
推薦稀釋比:
Application Recommended Dilution ELISA 1:1000-1:2000 WB 1:200-1:1000 IHC 1:10-1:50 -
Protocols:
-
儲存條件:Upon receipt, store at -20°C or -80°C. Avoid repeated freeze.
-
貨期:Basically, we can dispatch the products out in 1-3 working days after receiving your orders. Delivery time maybe differs from different purchasing way or location, please kindly consult your local distributors for specific delivery time.
-
用途:For Research Use Only. Not for use in diagnostic or therapeutic procedures.
相關產品
靶點詳情
-
功能:Important regulator of cell cycle progression. Inhibits the kinase activity of CDK2 bound to cyclin A, but has little inhibitory activity on CDK2 bound to SPDYA. Involved in G1 arrest. Potent inhibitor of cyclin E- and cyclin A-CDK2 complexes. Forms a complex with cyclin type D-CDK4 complexes and is involved in the assembly, stability, and modulation of CCND1-CDK4 complex activation. Acts either as an inhibitor or an activator of cyclin type D-CDK4 complexes depending on its phosphorylation state and/or stoichometry.
-
基因功能參考文獻:
- the p27 gene rs34330 polymorphism might increase the cancer susceptibility, especially in Asians. PMID: 28317869
- our study identified that p27 expression was transcriptionally upregulated by enhancing the binding of FOXO1 to its promoter and post-transcriptionally induced through decreasing binding of miR-182 to its mRNA 3'-UTR upon isorhapontigenin treatment PMID: 29409027
- Cholangiocarcinoma growth is associated with nuclear export of P27 that is due to AKT-mediated phosphorylation of P27 at T157. PMID: 29428513
- Multiple function of p27 in cell cycle regulation, apoptosis, epigenetic modifications and post- translational modification are reviewed, and the mechanisms and factors that have important roles in p27 functions are briefly discussed. PMID: 30075372
- Data show that fluid shear stress activates NOTCH signaling, which upregulates GJA4 (commonly, Cx37) and downstream cell cycle inhibitor CDKN1B (p27). PMID: 29247167
- High KIP1 expression is associated with multiple endocrine neoplasia type 1-related pancreatic neuroendocrine tumors. PMID: 29134609
- Meta-analysis failed to validate any association between p27-V109G and prostate cancer risk. PMID: 29750086
- after irradiation, loss of p27 is associated to accumulation of residual DNA damage and increased number of mitotic aberration. We show that p27 expression is necessary to preserve genomic integrity and for correct recognition and clearing-out of aberrant cells. PMID: 28377607
- FoxO3a overexpression increased the transcription and protein expression of Bcl2like protein 11 and cyclindependent kinase inhibitor 1B, and inhibited cyclin D1 transcription and expression. PMID: 29257235
- Results suggest that CacyBP/SIP plays an important role in inhibiting glioma cell migration and invasion through promoting the degradation of cytoplasmic p27. PMID: 29024247
- The functional variant rs34330 of CDKN1B is associated with risk of neuroblastoma. PMID: 28667701
- FLT3 and FLT3-ITD can directly bind and selectively phosphorylate p27kip1 on tyrosine residue 88 in acute myeloid leukemia. Inhibition of FLT3-ITD in cell lines strongly reduced p27 tyrosine 88 phosphorylation and resulted in increased p27 levels and cell cycle arrest PMID: 28522571
- Our results suggest that oxidised photoreceptor outer segments -induced retinal pigment epithelial cell cytokinesis failure is, at least in part, due to the upregulation of p27kip1 through activating the PKC, particularly PKCzeta pathway PMID: 29016360
- p27Kip1-838C>A; rs36228499 is functional in human venous smooth muscle cells (SMCs) and in adventitial cells. The AA genotype is associated with stronger expression of the p27 gene and p27 protein. Only the adventitial cells, and not the SMCs, are responsive to the inhibitory effects of the protective AA genotype in cell growth. PMID: 28526559
- Overview of CDKN1B mutations in MEN4 (review) PMID: 28824003
- Taken together, these data clearly show that FKBP3/Sp1/HDAC2/p27 control cell proliferation during non-small cell lung cancer development. PMID: 28839465
- Sumoylation of K73 site of cyclin-dependent kinase inhibitor 1B (p27kip1) is critical to the nuclear-cytoplasmic translocation of p27kip1, which is mediated by RAN binding protein 2 and CRM1 protein. Sumoylation of p27kip1 promotes the proliferation of cholangiocarcinoma QBC939 cells PMID: 28882106
- loss of CDKN1B increased the prevalence of cell cycle regulator defects in immature T-ALL, usually only ascribed to CDKN2A/B deletions, and that CDKN1B deletions frequently coincide with expression of MEF2C, considered as one of the driving oncogenes in immature early T-cell precursor (ETP) ALL PMID: 28482719
- This study reveals a molecular pathway involving lncRNA GAS5/E2F1/P27(Kip1) which regulates cell proliferation and could be a potential therapeutic target in prostate cancer. PMID: 28396462
- miR-155-5p promotes fibroblast cell proliferation and inhibits FOXO signaling pathway by negative modulation of both FOXO3 and CDKN1B in vulvar lichen sclerosis PMID: 29339071
- We demonstrate that E6AP regulates p27 expression by inhibiting its transcription in an E2F1-dependent manner. Concomitant knockdown of E6AP and p27 partially restores PC cell growth, supporting the contribution of p27 to the overall effect of E6AP on prostate tumorigenesis. PMID: 28477016
- SIRT1-mediated downregulation of p27Kip1 is essential for overcoming contact inhibition of Kaposi's sarcoma-associated herpesvirus transformed cells PMID: 27708228
- we suggest that gastrin contributes to the emergence of MDR of SGC7901 cells via the degradation of p27Kip1 PMID: 28498440
- this studies show that p27kip1 is an important regulator of Ras induced neoplastic transformation PMID: 27579539
- Loss of p27kip1 expression is frequently found in papillary thyroid carcinoma (PTC) compared with benign lesions and normal thyroid tissue. When present in PTC, it is correlated with aggressive tumor behavior. PMID: 27834461
- Overall, the authors find that p27 directly promotes cell invasion by facilitating invadopodia turnover via the Rac1/PAK1/Cortactin pathway. PMID: 28287395
- Upon binding to p27(Kip1) 3'UTR, CPEB1 promotes elongation of poly-A tail and the subsequent translation of p27(Kip1) mRNA. This leads to higher levels of p27(Kip1) in the cell, in turn significantly inhibiting cell proliferation, and confers to CPEB1 a potential value as a tumor suppressor in Glioblastoma. PMID: 27142352
- p27(kip1) overexpression regulates IL-1beta in the microenvironment of stem cells and eutopic endometriosis PMID: 26817396
- Data suggest that NOX5 expression in melanoma cells could contribute to cell proliferation due, in part, to the generation of high local concentrations of extracellular ROS that modulate multiple pathways that regulate HIF-1alpha and networks that signal through Akt/GSK3beta/p27(Kip1) . PMID: 28762556
- SNHG6 acted as an oncogene in gastric cancer cells through regulating miR-101-3p/ZEB1 at a post-transcriptional level and silencing expression at a transcriptional level by recruiting enhancer of zeste homolog 2 (EZH2) to the promoter of p27. PMID: 28683446
- PCTAIRE1 has a role in regulating p27, c-Myc levels and tumor growth in cutaneous cutaneous squamous cell carcinoma cells PMID: 28274513
- Low P27KIP1 expression is associated with Non Small Cell Lung Cancer. PMID: 27880728
- Results show that that Id2 was directly upregulated by BMP4, resulting in the mediated expression of cell cycle regulatory protein of CDKN1B. PMID: 28543546
- p27 and its cognate ubiquitin ligases, Skp2/KPC/Pirh2, are specifically involved in determining the clinical profiles of lung carcinomas. PMID: 28601655
- In thyroid cancer cells, oncogene activation prevented TGF-beta/SMAD-dependent p27 repression, and CDK2/SMAD3 phosphorylation, leading to p65 NFkappaB upregulation which repressed BAX, induced cyclin D1 and promoted TGF-beta-dependent growth. PMID: 27452523
- PTEN loss and p27 loss differ among morphologic patterns of prostate cancer. PMID: 28504208
- These findings provide a new understanding of the effects of oxLDL on endothelial proliferation, which is essential for developing new treatments against neovascularization and progression of atherosclerosis. PMID: 28701359
- abnormal levels of Skp2 and p27(KIP1) have probably been involved in the pathogenesis of ADH and DCIS. Thus, Skp2 and p27(KIP1) may serve as important diagnosis markers. PMID: 28514182
- Cip2a markedly decreased the expression and nuclear localization of p27Kip1 and this is critical for the ability of Cip2a to promote Triple-negative breast cancer progression. PMID: 27694903
- These results indicate that the dynamic interplay between O-GlcNAcylation and cyclin dependent kinase inhibitor p27 phosphorylation coordinates and regulates cell proliferation in hepatocellular carcinoma. PMID: 27175940
- Besides controlling cyclin/CDK kinase activity, p27 also regulates cytoskeletal dynamics, cell motility and cell invasion. Following processing by caspases, p27 fails to bind to RhoA and to inhibit its activation, and thereby abolishes the ability of p27 to stimulate cell migration and invasion PMID: 26829051
- p27 is a key target of MDM4 oncogenic activity in breast cancer (BC) with mutant p53. PMID: 28097652
- a mechanism of transcriptional regulation mediated by p27, Pax5, and PCAF PMID: 28158851
- Our study has confirmed that altered expressions of the p16 and p27 proteins might be useful biomarkers in the progression of laryngeal squamous cell carcinomas PMID: 28476808
- This study to analyses cytoplasmic localization of p27 in OSCC and correlates it with prognosis. Cytoplasmic localization is associated with poor prognosis in OSCC with lymph node metastasis. PMID: 26750594
- Results show that AMPKa2 regulates cellular proliferation in bladder cancer through p27 and that AMPK-mediated control of p27 is SKP2 dependent. PMID: 27638620
- High KIP1 expression is associated with Metastasis in Osteosarcoma. PMID: 27197201
- The lack of somatic CDKN1B mutations in our samples points to a rare involvement in parathyroid adenomas, despite the frequent loss of nuclear p27 expression. MEN1 biallelic inactivation seems to be directly related to down-regulation of p27 expression through the inhibition of CDKN1B gene transcription. PMID: 27038812
- our results provide strong evidence that CD244 co-operates with c-Kit to regulate leukemogenesis through SHP-2/p27 signaling. PMID: 28126968
- The anti-proliferative effect of silibinin on LX-2 human stellate cells is via the inhibition of the expressions of various cell cycle targets including TP53, p27, Akt and sirtuins. PMID: 28119262
顯示更多
收起更多
-
相關疾病:Multiple endocrine neoplasia 4 (MEN4)
-
亞細胞定位:Nucleus. Cytoplasm. Endosome.
-
蛋白家族:CDI family
-
組織特異性:Expressed in all tissues tested. Highest levels in skeletal muscle, lowest in liver and kidney.
-
數據庫鏈接:
Most popular with customers
-
YWHAB Recombinant Monoclonal Antibody
Applications: ELISA, WB, IHC, IF, FC
Species Reactivity: Human, Mouse, Rat
-
Phospho-YAP1 (S127) Recombinant Monoclonal Antibody
Applications: ELISA, WB, IHC
Species Reactivity: Human
-
-
-
-
-
-















