CDK12 Antibody
-
中文名稱:CDK12兔多克隆抗體
-
貨號:CSB-PA998940
-
規格:¥1100
-
圖片:
-
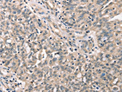
The image on the left is immunohistochemistry of paraffin-embedded Human ovarian cancer tissue using CSB-PA998940(CDK12 Antibody) at dilution 1/30, on the right is treated with synthetic peptide. (Original magnification: ×200)
-
The image on the left is immunohistochemistry of paraffin-embedded Human cervical cancer tissue using CSB-PA998940(CDK12 Antibody) at dilution 1/30, on the right is treated with synthetic peptide. (Original magnification: ×200)
-
-
其他:
產品詳情
-
Uniprot No.:
-
基因名:
-
別名:arginine/serine-rich antibody; Cdc2 related kinase arginine/serine rich antibody; CDC2 related protein kinase 7 antibody; Cdc2-related kinase antibody; CDC2-related protein kinase 7 antibody; Cdk12 antibody; CDK12_HUMAN antibody; Cell division cycle 2 related protein kinase 7 antibody; Cell division cycle 2-related protein kinase 7 antibody; Cell division protein kinase 12 antibody; CRK7 antibody; CRKR antibody; CrkRS antibody; Cyclin-dependent kinase 12 antibody; EC 2.7.11.22 antibody; hCDK12 antibody; kiaa0904 antibody; Pksc antibody
-
宿主:Rabbit
-
反應種屬:Human,Mouse,Rat
-
免疫原:Synthetic peptide of Human CDK12
-
免疫原種屬:Homo sapiens (Human)
-
標記方式:Non-conjugated
-
抗體亞型:IgG
-
純化方式:Antigen affinity purification
-
濃度:It differs from different batches. Please contact us to confirm it.
-
保存緩沖液:-20°C, pH7.4 PBS, 0.05% NaN3, 40% Glycerol
-
產品提供形式:Liquid
-
應用范圍:ELISA,IHC
-
推薦稀釋比:
Application Recommended Dilution ELISA 1:1000-1:2000 IHC 1:25-1:100 -
Protocols:
-
儲存條件:Upon receipt, store at -20°C or -80°C. Avoid repeated freeze.
-
貨期:Basically, we can dispatch the products out in 1-3 working days after receiving your orders. Delivery time maybe differs from different purchasing way or location, please kindly consult your local distributors for specific delivery time.
-
用途:For Research Use Only. Not for use in diagnostic or therapeutic procedures.
相關產品
靶點詳情
-
功能:Cyclin-dependent kinase that phosphorylates the C-terminal domain (CTD) of the large subunit of RNA polymerase II (POLR2A), thereby acting as a key regulator of transcription elongation. Regulates the expression of genes involved in DNA repair and is required for the maintenance of genomic stability. Preferentially phosphorylates 'Ser-5' in CTD repeats that are already phosphorylated at 'Ser-7', but can also phosphorylate 'Ser-2'. Required for RNA splicing, possibly by phosphorylating SRSF1/SF2. Involved in regulation of MAP kinase activity, possibly leading to affect the response to estrogen inhibitors.
-
基因功能參考文獻:
- Cyclin K expression positively correlates with cell proliferation; knockdown of cyclin K or its cognate kinase CDK12 prevents the assembly of prereplicative complex in the G1 cell cycle phase. PMID: 29760377
- CDK12 regulates prereplicative complex assembly to promote mammalian cell proliferation. PMID: 29760377
- CDK12 gene amplification can contribute to the pathogenesis of breast cancer. PMID: 28334900
- BRCA1 downregulation combined with CHK1 inhibition induced excessive amounts of DNA damage, resulting in an inability to complete the S-phase. Therefore, we suggest CHK1 inhibition as a strategy for targeting BRCA1- or CDK12-deficient tumors. PMID: 29025359
- In Ovarian Cancer patients CDK12 loss is consistently associated with a particular genomic instability pattern characterized by hundreds of tandem duplications PMID: 26787835
- Structures of CDK12/CycK complexes solved in the presence of AMP-PNP. PMID: 26597175
- Data show that most mutations prevent formation of the cyclin-dependent kinase 12 (Cdk12)/cyclin K (CycK) complex, rendering the kinase inactive. PMID: 25712099
- CDK12 affects RNA processing events in two distinct ways: Indirectly through generating factor-binding phospho-epitopes on the CTD of elongating RNAPII and directly through binding to specific factors PMID: 25429106
- CDK12 and CDK13 losses in HCT116 cells preferentially affect expression of DNA damage response. PMID: 25561469
- CDK12 plays an important role in cotranscriptional processing of c-FOS transcripts PMID: 25384976
- CDK12 has properties that should confirm interest in its use as a biomarker. PMID: 24240700
- many CDK12 mutations are an unrecognized cause of HR defects in ovarian cancers PMID: 24554720
- CDK12 interacts with cyclin K and is required to maintain embryonnic stem cell self-renewal. PMID: 22547058
- Cyclin K1 is the primary cyclin partner for CDK12/CrkRS and it is required for activation of CDK12/CrkRS to phosphorylate the C-terminal domain of RNA Pol II. PMID: 22988298
- through regulation of expression of DNA damage response genes, CycK/Cdk12 protects cells from genomic instability PMID: 22012619
- Data show that siRNA knockdown of hCDK12 in HeLa cells results in alterations in the CTD phosphorylation state. PMID: 20952539
- CRK7 modifies MAP kinases regulation and resistance to estrogen signaling inhibitors in breast cancers. PMID: 19651820
顯示更多
收起更多
-
相關疾病:Chromosomal aberrations involving CDK12 may be a cause gastric cancer. Deletions within 17q12 region producing fusion transcripts with ERBB2, leading to CDK12-ERBB2 fusion leading to trunctated CDK12 protein not in-frame with ERBB2.
-
亞細胞定位:Nucleus. Nucleus speckle. Note=Colocalized with nuclear speckles throughout interphase.
-
蛋白家族:Protein kinase superfamily, CMGC Ser/Thr protein kinase family, CDC2/CDKX subfamily
-
組織特異性:Ubiquitously expressed.
-
數據庫鏈接:
Most popular with customers
-
-
YWHAB Recombinant Monoclonal Antibody
Applications: ELISA, WB, IHC, IF, FC
Species Reactivity: Human, Mouse, Rat
-
Phospho-YAP1 (S127) Recombinant Monoclonal Antibody
Applications: ELISA, WB, IHC
Species Reactivity: Human
-
-
-
-
-















