CDK1 Antibody
-
中文名稱:CDK1兔多克隆抗體
-
貨號:CSB-PA361848LA01HU
-
規格:¥440
-
圖片:
-
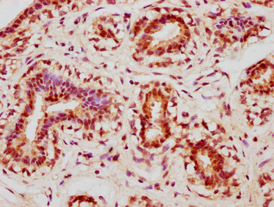
IHC image of CSB-PA361848LA01HU diluted at 1:400 and staining in paraffin-embedded human breast cancer performed on a Leica BondTM system. After dewaxing and hydration, antigen retrieval was mediated by high pressure in a citrate buffer (pH 6.0). Section was blocked with 10% normal goat serum 30min at RT. Then primary antibody (1% BSA) was incubated at 4°C overnight. The primary is detected by a biotinylated secondary antibody and visualized using an HRP conjugated SP system.
-
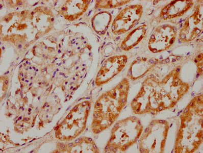
IHC image of CSB-PA361848LA01HU diluted at 1:400 and staining in paraffin-embedded human kidney tissue performed on a Leica BondTM system. After dewaxing and hydration, antigen retrieval was mediated by high pressure in a citrate buffer (pH 6.0). Section was blocked with 10% normal goat serum 30min at RT. Then primary antibody (1% BSA) was incubated at 4°C overnight. The primary is detected by a biotinylated secondary antibody and visualized using an HRP conjugated SP system.
-
-
其他:
產品詳情
-
產品名稱:Rabbit anti-Homo sapiens (Human) CDK1 Polyclonal antibody
-
Uniprot No.:
-
基因名:
-
別名:Cdc 2 antibody; Cdc2 antibody; CDC28A antibody; CDK 1 antibody; CDK1 antibody; CDK1_HUMAN antibody; CDKN1 antibody; CELL CYCLE CONTROLLER CDC2 antibody; Cell division control protein 2 antibody; Cell division control protein 2 homolog antibody; Cell division cycle 2 G1 to S and G2 to M antibody; Cell division protein kinase 1 antibody; Cell Divsion Cycle 2 Protein antibody; Cyclin Dependent Kinase 1 antibody; Cyclin-dependent kinase 1 antibody; DKFZp686L20222 antibody; MGC111195 antibody; p34 Cdk1 antibody; p34 protein kinase antibody; P34CDC2 antibody
-
宿主:Rabbit
-
反應種屬:Human
-
免疫原:Recombinant Human Cyclin-dependent kinase 1 protein (9-101AA)
-
免疫原種屬:Homo sapiens (Human)
-
標記方式:Non-conjugated
本頁面中的產品,CDK1 Antibody (CSB-PA361848LA01HU),的標記方式是Non-conjugated。對于CDK1 Antibody,我們還提供其他標記。見下表:
-
克隆類型:Polyclonal
-
抗體亞型:IgG
-
純化方式:>95%, Protein G purified
-
濃度:It differs from different batches. Please contact us to confirm it.
-
保存緩沖液:Preservative: 0.03% Proclin 300
Constituents: 50% Glycerol, 0.01M PBS, pH 7.4 -
產品提供形式:Liquid
-
應用范圍:ELISA, IHC
-
推薦稀釋比:
Application Recommended Dilution IHC 1:200-1:500 -
Protocols:
-
儲存條件:Upon receipt, store at -20°C or -80°C. Avoid repeated freeze.
-
貨期:Basically, we can dispatch the products out in 1-3 working days after receiving your orders. Delivery time maybe differs from different purchasing way or location, please kindly consult your local distributors for specific delivery time.
-
用途:For Research Use Only. Not for use in diagnostic or therapeutic procedures.
相關產品
靶點詳情
-
功能:Plays a key role in the control of the eukaryotic cell cycle by modulating the centrosome cycle as well as mitotic onset; promotes G2-M transition, and regulates G1 progress and G1-S transition via association with multiple interphase cyclins. Required in higher cells for entry into S-phase and mitosis. Phosphorylates PARVA/actopaxin, APC, AMPH, APC, BARD1, Bcl-xL/BCL2L1, BRCA2, CALD1, CASP8, CDC7, CDC20, CDC25A, CDC25C, CC2D1A, CENPA, CSNK2 proteins/CKII, FZR1/CDH1, CDK7, CEBPB, CHAMP1, DMD/dystrophin, EEF1 proteins/EF-1, EZH2, KIF11/EG5, EGFR, FANCG, FOS, GFAP, GOLGA2/GM130, GRASP1, UBE2A/hHR6A, HIST1H1 proteins/histone H1, HMGA1, HIVEP3/KRC, LMNA, LMNB, LMNC, LBR, LATS1, MAP1B, MAP4, MARCKS, MCM2, MCM4, MKLP1, MYB, NEFH, NFIC, NPC/nuclear pore complex, PITPNM1/NIR2, NPM1, NCL, NUCKS1, NPM1/numatrin, ORC1, PRKAR2A, EEF1E1/p18, EIF3F/p47, p53/TP53, NONO/p54NRB, PAPOLA, PLEC/plectin, RB1, TPPP, UL40/R2, RAB4A, RAP1GAP, RCC1, RPS6KB1/S6K1, KHDRBS1/SAM68, ESPL1, SKI, BIRC5/survivin, STIP1, TEX14, beta-tubulins, MAPT/TAU, NEDD1, VIM/vimentin, TK1, FOXO1, RUNX1/AML1, SAMHD1, SIRT2 and RUNX2. CDK1/CDC2-cyclin-B controls pronuclear union in interphase fertilized eggs. Essential for early stages of embryonic development. During G2 and early mitosis, CDC25A/B/C-mediated dephosphorylation activates CDK1/cyclin complexes which phosphorylate several substrates that trigger at least centrosome separation, Golgi dynamics, nuclear envelope breakdown and chromosome condensation. Once chromosomes are condensed and aligned at the metaphase plate, CDK1 activity is switched off by WEE1- and PKMYT1-mediated phosphorylation to allow sister chromatid separation, chromosome decondensation, reformation of the nuclear envelope and cytokinesis. Inactivated by PKR/EIF2AK2- and WEE1-mediated phosphorylation upon DNA damage to stop cell cycle and genome replication at the G2 checkpoint thus facilitating DNA repair. Reactivated after successful DNA repair through WIP1-dependent signaling leading to CDC25A/B/C-mediated dephosphorylation and restoring cell cycle progression. In proliferating cells, CDK1-mediated FOXO1 phosphorylation at the G2-M phase represses FOXO1 interaction with 14-3-3 proteins and thereby promotes FOXO1 nuclear accumulation and transcription factor activity, leading to cell death of postmitotic neurons. The phosphorylation of beta-tubulins regulates microtubule dynamics during mitosis. NEDD1 phosphorylation promotes PLK1-mediated NEDD1 phosphorylation and subsequent targeting of the gamma-tubulin ring complex (gTuRC) to the centrosome, an important step for spindle formation. In addition, CC2D1A phosphorylation regulates CC2D1A spindle pole localization and association with SCC1/RAD21 and centriole cohesion during mitosis. The phosphorylation of Bcl-xL/BCL2L1 after prolongated G2 arrest upon DNA damage triggers apoptosis. In contrast, CASP8 phosphorylation during mitosis prevents its activation by proteolysis and subsequent apoptosis. This phosphorylation occurs in cancer cell lines, as well as in primary breast tissues and lymphocytes. EZH2 phosphorylation promotes H3K27me3 maintenance and epigenetic gene silencing. CALD1 phosphorylation promotes Schwann cell migration during peripheral nerve regeneration. CDK1-cyclin-B complex phosphorylates NCKAP5L and mediates its dissociation from centrosomes during mitosis. Regulates the amplitude of the cyclic expression of the core clock gene ARNTL/BMAL1 by phosphorylating its transcriptional repressor NR1D1, and this phosphorylation is necessary for SCF(FBXW7)-mediated ubiquitination and proteasomal degradation of NR1D1. Phosphorylates EML3 at 'Thr-881' which is essential for its interaction with HAUS augmin-like complex and TUBG1.; (Microbial infection) Acts as a receptor for hepatitis C virus (HCV) in hepatocytes and facilitates its cell entry.
-
基因功能參考文獻:
- Our results indicate that MCM7 may exert certain functions on spindle formation to prevent cytokinesis during early mitosis by regulating CDK1 activity. PMID: 28588300
- Results demonstrated that CDK1 was increased in human breast cancer and promotes cell proliferation and cell cycle in breast cancer cell lines. PMID: 30272324
- A CDK1-dependent regulation of the WRN-DNA2-mediated resection and identify a new function of WRN as a DSB repair pathway switch are reported. PMID: 27634057
- High CDK1 expression is associated with HIV-1 infection. PMID: 29084722
- the miR-181a was down-regulated in NSCLC and miR-181a inhibited the cell proliferation by regulating CDK1 expression. PMID: 28946554
- Thus, Cyclin A/Cdk1 phosphorylation primes MYPT1 for Plk1 binding. These data demonstrate cross-regulation between Cyclin A/Cdk1-dependent and Plk1-dependent phosphorylation of substrates during mitosis to ensure efficient correction of kinetochore microtubule attachment errors necessary for high mitotic fidelity. PMID: 29154753
- It has been suggested that through interaction with miR-490-3p DLEU1 may influence the expression of CDK1, CCND1 and SMARCD1 protein, subsequently promoting the development and progression of ovarian carcinoma. PMID: 28598010
- The present study suggested that abnormal activation of CDK1 was implicated in the proliferation and apoptosis regulation of ovarian cancer cells, which might due to the aberrant regulations of the upstream Chk1-CDC25C and P53-P21WAF1 signaling pathway. PMID: 28899430
- CDK1-mediated mitotic phosphorylation of PDZ-binding kinase is involved in cytokinesis and inhibits its oncogenic activity. PMID: 28780319
- DNM2 is a substrate for CDK1-dependent phosphorylation, which plays an important role in the regulation of human sperm acrosomal exocytosis. PMID: 29044420
- These findings suggest that Cdc2 is positively associatd with the development of taxol resistance. The Cdc2 inhibitor, purvalanol A, enhanced the cytotoxic effects of taxol through Op18/stathmin. PMID: 28534969
- With tissue microarrays of hepatocellular carcinoma (HCC) patients, we determined the prognostic values of the core genes in the network and found that RAD21, CDK1, and HDAC2 expression levels were negatively associated with overall survival for HCC patients. The multivariate Cox regression analyses suggested that CDK1 was an independent prognostic factor, which was validated in an independent case cohort. PMID: 28434945
- this study shows that CDK1 is a prognostic biomarker for lung adenocarcinoma PMID: 27835911
- cytoplasmic Cdk1 expression is elevated in ovarian cancer and predicts a poor overall survival PMID: 27385216
- findings demonstrate the involvement of consensus Cdk1 phosphorylation sites on Mis18 complex assembly and thus provide a rationale for cell cycle-regulated timing of Mis18 assembly and CENP-A deposition PMID: 28377371
- S130 of p21 is phosphorylated by Cdk1/cyclin B1 during mitosis, which reduces p21's stability and binding affinity to Cdk1/cyclin B1 PMID: 27384476
- Findings suggest that mitotic CDK1-directed phosphorylation of delta-4E-BP1 may yield a gain of function, distinct from translation regulation, that may be important in tumorigenesis and mitotic centrosome function. PMID: 27402756
- The authors demonstrate that CDK1 controls Mis18 complex recruitment to centromeres by regulating oligomerization of M18BP1 through the Mis18alpha:Mis18beta scaffold. PMID: 28059702
- These data show that complementary mechanisms, such as mother-daughter centriole proximity and CDK1-CyclinB interaction with centriolar components, ensure that centriole biogenesis occurs once and only once per cell cycle, raising parallels to the cell-cycle regulation of DNA replication and centromere formation. PMID: 27112295
- Residual Cdk1/Cdk2 activity after DNA damage promotes cell senescence. PMID: 28345297
- evidence that CDK1/2 participate in the regulation of constitutive pre-mRNA splicing by EGF stimulation in MDA-MB-468 cells. PMID: 27109354
- our study demonstrate that KCTD12 binds to CDC25B and activates CDK1 and Aurora A to facilitate the G2/M transition and promote tumorigenesis and that Aurora A phosphorylates KCTD12 at serine 243 to trigger a positive feedback loop, thereby potentiating the effects of KCTD12. Thus, the KCTD12-CDC25B-CDK1-Aurora A axis has important implications for cancer diagnoses and prognoses. PMID: 28869606
- FOXM1 may play a central role in the skp2-cdk1 loop driving tumor progression. PMID: 27684411
- TRAP1 is relevant in the control of key cell cycle regulators in tumor cells. TRAP1/TBP7 quality control of CDK1 and MAD2 contributes mechanistically to the regulation of mitotic entry and transit. PMID: 28678347
- The Vgll4 is phosphorylated in vitro and in vivo by cyclin-dependent kinase 1 (CDK1) during antimitotic drug-induced mitotic arrest and also in normal mitosis. PMID: 28739871
- Results suggest that the cyclin-dependent kinase I (CDK1) phosphotyrosine (pTyr15) protein is a potential indicator of the progression of colorectal cancer. PMID: 27383761
- These results suggest that inhibition of CDK-1 in G2 causes unpredicted effects in mitosis, even after CDK-1 inhibition is relieved. PMID: 27281342
- Date show that when Wee1 alone is inhibited, Chk1 suppresses CDC45 loading and thereby limits the extent of unscheduled replication initiation and subsequent S-phase DNA damage, despite very high CDK-activity. PMID: 28030798
- CDK1 is a positive regulator of the IFN signaling pathway. The overexpression of CDK1 might contribute to the abnormally amplified type I IFN signaling in systemic lupus erythematosus. PMID: 26663909
- the mechanism of Plk1 activation and the potential role of Bora phosphorylation by Cdk1, is reported. PMID: 27831827
- The data presented here suggest that the temporal separation of pro- and anti-apoptotic pathways by selective inhibition of CDK2 disrupts coherent signaling modules and may synergize with anti-proliferative drugs, averting toxic side effects from CDK1 inhibition. PMID: 27831832
- Study greatly increases the known substrate space of Cdk1 and adds to the understanding of how mitotic progression is regulated by Cdk1-dependent phosphorylation pathways. PMID: 27134283
- periodic phosphorylation of Ku70 by cyclin-cyclin dependent kinases prevents the interaction of Ku with replication origin after initiation events in S-phase. PMID: 27402161
- inhibition of sumoylation increases the activity of CDK1. PMID: 27520372
- Cdk1-induced desmin phosphorylation is required for efficient separation of desmin-IFs and generally detected in muscular mitotic cells in vivo. PMID: 27565725
- the level of Cdc6 phosphorylation at serine 54 (S54P) was increased in E7-expressing cells. S54P was associated with an increase in the total amount of Cdc6 and chromatin-bound Cdc6. DNA damage-enhanced upregulation and chromatin binding of Cdc6 appeared to be due to downregulation of cyclin-dependent kinase 1 (Cdk1) as Cdk1 knockdown increased Cdc6 levels PMID: 27207654
- The data support a model where Cdc7 (de)phosphorylation is the molecular switch for the activation and inactivation of DNA replication in mitosis, directly connecting Cdc7 and PP1a/Cdk1 to the regulation of once-per-cell cycle DNA replication in mammalian cells. PMID: 27105124
- The Hippo signaling pathway was significantly associated with ER-negative breast cancer (pathway level P = 0.02). Gene-based analyses revealed that CDH1 was responsible for the pathway association (P < 0.01),corrected P = 0.02). rs142697907 in PTPN14 was associated with ER-positive breast cancer and rs2456773 in CDK1 with ER-negativity in case-only analysis after gene-level correction PMID: 27485598
- colon cancer-associated transcript 1/miR-490-3p/cyclin-dependent kinase 1 regulatory pathway promotes the progression of hepatocellular carcinoma. PMID: 28381168
- our results suggest that alteration of CDK1 expression on both mRNA and protein level probably appears on the very early step of carcinogenesis in laryngeal squamous cell carcinoma PMID: 26912061
- Ajuba is phosphorylated in vitro and in vivo by cyclin-dependent kinase 1 (CDK1) at Ser(119) and Ser(175) during the G2/M phase of the cell cycle PMID: 27226586
- These results reveal a crucial and conserved role of phosphorylation of the N terminus of Bora for Plk1 activation and mitotic entry. PMID: 27068477
- Aurora B may prefer Cdk1-phosphorylated Sororin as a substrate. PMID: 26177583
- we discovered a novel mechanism mediated by Smad4 to trigger 5-FU chemosensitivity through cell cycle arrest by inhibiting the PI3K/Akt/CDC2/survivin cascade. PMID: 26647806
- These findings indicate that NSun2-mediated mRNA methylation regulates p27 and CDK1 levels during replicative senescence. PMID: 26687548
- FGFR1 contributes to cell proliferation in osteosarcoma MG63 cells, and FGFR1 mediated cell proliferation may be attributed to the regulation of the cell cycle regulator, CDK1. PMID: 26648125
- that leukemia-associated Rho guanine-nucleotide exchange factor can be directly phosphorylated by cyclin-dependent kinase 1 PMID: 26483157
- These results demonstrate a mechanism...by which CDK1 boosts mitochondrial bioenergetics to meet the increased cellular fuel demand for DNA repair and cell survival under genotoxic stress conditions PMID: 26670043
- CDK1 plays a comprehensive role in mediating genetic networks implicated in the progression of cervical cancer. PMID: 25786624
- Aurora B and CDK1 temporally regulate the binding affinity of EB2 for microtubules, thereby ensuring kinetochore microtubule dynamics, proper mitotic progression and genome stability. PMID: 27030108
顯示更多
收起更多
-
亞細胞定位:Nucleus. Cytoplasm. Mitochondrion. Cytoplasm, cytoskeleton, microtubule organizing center, centrosome. Cytoplasm, cytoskeleton, spindle. Note=Cytoplasmic during the interphase. Colocalizes with SIRT2 on centrosome during prophase and on splindle fibers during metaphase of the mitotic cell cycle. Reversibly translocated from cytoplasm to nucleus when phosphorylated before G2-M transition when associated with cyclin-B1. Accumulates in mitochondria in G2-arrested cells upon DNA-damage.
-
蛋白家族:Protein kinase superfamily, CMGC Ser/Thr protein kinase family, CDC2/CDKX subfamily
-
組織特異性:Isoform 2 is found in breast cancer tissues.
-
數據庫鏈接:
Most popular with customers
-
YWHAB Recombinant Monoclonal Antibody
Applications: ELISA, WB, IHC, IF, FC
Species Reactivity: Human, Mouse, Rat
-
Phospho-YAP1 (S127) Recombinant Monoclonal Antibody
Applications: ELISA, WB, IHC
Species Reactivity: Human
-
-
-
-
-
-















