CD63 Antibody
-
中文名稱:CD63兔多克隆抗體
-
貨號:CSB-PA120615
-
規格:¥1100
-
圖片:
-
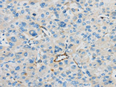
The image on the left is immunohistochemistry of paraffin-embedded Human liver cancer tissue using CSB-PA120615(CD63 Antibody) at dilution 1/35, on the right is treated with synthetic peptide. (Original magnification: ×200)
-
The image on the left is immunohistochemistry of paraffin-embedded Human brain tissue using CSB-PA120615(CD63 Antibody) at dilution 1/35, on the right is treated with synthetic peptide. (Original magnification: ×200)
-
Gel: 12%SDS-PAGE,Lysate: 40 μg,,Primary antibody: CSB-PA120615(CD63 Antibody) at dilution 1/200 dilution,Secondary antibody: Goat anti rabbit IgG at 1/8000 dilution,Exposure time: 2 minutes
-
-
其他:
產品詳情
-
Uniprot No.:
-
基因名:CD63
-
別名:CD63; MLA1; TSPAN30; CD63 antigen; Granulophysin; Lysosomal-associated membrane protein 3; LAMP-3; Lysosome integral membrane protein 1; Limp1; Melanoma-associated antigen ME491; OMA81H; Ocular melanoma-associated antigen; Tetraspanin-30; Tspan-30; CD antigen CD63
-
宿主:Rabbit
-
反應種屬:Human
-
免疫原:Synthetic peptide of Human CD63
-
免疫原種屬:Homo sapiens (Human)
-
標記方式:Non-conjugated
-
抗體亞型:IgG
-
純化方式:Antigen affinity purification
-
濃度:It differs from different batches. Please contact us to confirm it.
-
保存緩沖液:-20°C, pH7.4 PBS, 0.05% NaN3, 40% Glycerol
-
產品提供形式:Liquid
-
應用范圍:ELISA,WB,IHC
-
推薦稀釋比:
Application Recommended Dilution ELISA 1:1000-1:2000 WB 1:200-1:1000 IHC 1:25-1:100 -
Protocols:
-
儲存條件:Upon receipt, store at -20°C or -80°C. Avoid repeated freeze.
-
貨期:Basically, we can dispatch the products out in 1-3 working days after receiving your orders. Delivery time maybe differs from different purchasing way or location, please kindly consult your local distributors for specific delivery time.
-
用途:For Research Use Only. Not for use in diagnostic or therapeutic procedures.
相關產品
靶點詳情
-
功能:Functions as cell surface receptor for TIMP1 and plays a role in the activation of cellular signaling cascades. Plays a role in the activation of ITGB1 and integrin signaling, leading to the activation of AKT, FAK/PTK2 and MAP kinases. Promotes cell survival, reorganization of the actin cytoskeleton, cell adhesion, spreading and migration, via its role in the activation of AKT and FAK/PTK2. Plays a role in VEGFA signaling via its role in regulating the internalization of KDR/VEGFR2. Plays a role in intracellular vesicular transport processes, and is required for normal trafficking of the PMEL luminal domain that is essential for the development and maturation of melanocytes. Plays a role in the adhesion of leukocytes onto endothelial cells via its role in the regulation of SELP trafficking. May play a role in mast cell degranulation in response to Ms4a2/FceRI stimulation, but not in mast cell degranulation in response to other stimuli.
-
基因功能參考文獻:
- Signaling focal contacts via CD63 were identified to facilitate cell adhesion, migration and mediate extracellular matrix-physical cues to modulate hematopoietic stem cells and progenitor cells function. PMID: 28566689
- Human CD63-GFP expression was controlled under the rat Sox2 promoter (Sox2/human CD63-GFP), and it was expressed in undifferentiated fetal brains. PMID: 29208635
- our results identify the CD63-syntenin-1-ALIX complex as a key regulatory component in post-endocytic HPV trafficking. PMID: 27578500
- CD63 and exosome expression is altered in scleroderma dermal fibroblasts PMID: 27443953
- CD63 is a critical player in LMP1 exosomal trafficking and LMP1-mediated enhancement of exosome production and may play further roles in limiting downstream LMP1 signaling. PMID: 27974566
- TIMP1 signaling via CD63 leads to activation of hepatic stellate cells, which create an environment in the liver that increases its susceptibility to pancreatic tumor cells. PMID: 27506299
- Concentrations of Cd63 were elevated in gingival crevicular fluid of patients with pre-eclampsia. PMID: 26988336
- CD163(+) TAMs in oral premalignant lesions coexpress CD163 and STAT1, suggesting that the TAMs in oral premalignant lesions possess an M1 phenotype in a Th1-dominated micromilieu. PMID: 26242181
- Our findings reveal that elevated levels of TIMP-1 impact on neutrophil homeostasis via signaling through CD63. PMID: 26001794
- These findings indicate that rhTIMP-1 promotes clonogenic expansion and survival in human progenitors via the activation of the CD63/PI3K/pAkt signaling pathway PMID: 26213230
- It was shown that treatment of macrophages with anti-CD63 inhibits CCR5-mediated virus infection in a cell type-specific manner, but that no inhibition of CXCR4-tropic viruses occurs. PMID: 25658293
- TM4SF5 interacted with CD151, and caused the internalization of CD63 from the cell surface. PMID: 25033048
- Diesel exhaust exposure during exercise induces platelet activation as illustrated by a dose-response increase in the release of CD62P and CD63. PMID: 25297946
- Data show that CD63 is a crucial player in the regulation of the tumor cell-intrinsic metastatic potential by affecting cell plasticity. PMID: 25354204
- CD63 tetraspanin is a negative driver of epithelial-to-mesenchymal transition in human melanoma cells. PMID: 24940653
- these results indicated that high glycosylation of CD63 by RPN2 is implicated in clinical outcomes in breast cancer patients PMID: 24884960
- Collectively, these findings indicate that CD63 may support Env-mediated fusion as well as a late (post-integration) step in the HIV-1 replication cycle. PMID: 24507450
- Data suggest that TIMP1 (tissue inhibitor of metalloproteinase-1) acts as chemoattractant for neural stem cells (NSC); TIMP1 enhances NSC adhesion, migration, and cytoskeletal reorganization; these effects are dependent on CD63/CD29 (integrin beta1). PMID: 24635319
- Timp1 is assembled in a supramolecular complex containing CD63 and beta1-integrins along melanoma genesis and confers anoikis resistance by activating PI3-K signaling pathway. PMID: 23522389
- Antigen-induced p38 MAPK phosphorylation in human basophils essentially contributes to CD63 upregulation PMID: 18727065
- Loss of CD63 has a similar phenotype to loss of P-selectin itself, thus CD63 is an essential cofactor to P-selectin. PMID: 21803846
- shRNA knockdown in B lymphoblastoid cell line results to increased CD4(+) T-cell recognition PMID: 21660937
- decreased levels of CD63 were associated with distant and lymph node metastasis status and does play a direct role in human gastric carcinogenesis. PMID: 21521534
- C-terminal modifications that retain LMP1 in Golgi compartments preclude assembly within CD63-enriched domains and/or exosomal discharge leading to NF-kappaB overstimulation. PMID: 21527913
- These findings suggest that CD63 plays an early post-entry role prior to or at the reverse transcription step. PMID: 21315401
- ameloblastin is expressed in osteoblasts and functions as a promoting factor for osteogenic differentiation via a novel pathway through the interaction between CD63 and integrin beta1 PMID: 21149578
- Surface expression of the novel CD63 variant is a distinguishing feature of mast cells, which are are stable, multiple-use cells capable of surviving and delivering several consecutive hits PMID: 20337613
- this work provides the first evidence of a TIMP-4/CD63 association in astrocytoma tumor cells PMID: 20693981
- CD63 expression results from only the anaphylactic degranulation form of histamine release. PMID: 20633031
- Serum sCD163 is a homogenous protein covering more than 94% of the CD163 ectodomain including the haptoglobin-hemoglobin -binding region. PMID: 19581020
- Results show that AP-3 is absolutely required for the delivery of CD63 to lysosomes via the trans-Golgi network. PMID: 11907283
- downregulation of CD63 antigen is associated with breast tumor progression PMID: 12579280
- possible role in HIV-1 infections specific for macrophages PMID: 12610138
- Post-translational modification of CD63 may be involved in the functional and morphological changes of MHC class II compartments that occur during dendritic cell maturation PMID: 12755696
- relationships between the expression levels of CD61, CD63, and PAC-1 on the platelet surface and the incidences of acute rejection and tubular necrosis as well as the recovery of graft function after renal transplantation PMID: 12826159
- Upon platelet interaction with fibrinogen, cholesterol accumulated at the tips of filopodia and at the leading edge of spreading cells; cholesterol-rich raft aggregation was accompanied by concentration of c-Src and CD63 in these cell domains PMID: 12871315
- The study on CD63 included its chemistry eg. if it had and O-linked carbohydrate that was digested with O-glycanase. PMID: 12974720
- CD63 serves as an adaptor protein that links its interaction partners to the endocytic machinery of the cell. PMID: 14660791
- results suggest that CD9, CD63, CD81, and CD82 could play a role in modulating the interactions between immature DCs and their environment, slowing their migratory ability. However, only CD63 would intervene in the internalization of complex antigens PMID: 15130945
- Constitutive expression of CD63 may indicate that this factor does not play a direct role in thyroid carcinogenesis PMID: 15375577
- CD63 represents an activation-induced reinforcing element, whose triggering promotes sustained and efficient T cell activation and expansion. PMID: 15528334
- The linkage of CD63 with PI 4-kinase may result in the recruitment of this signaling enzyme to specific membrane locations in the platelet where it influences phosphoinositide-dependent signaling and platelet spreading. PMID: 15711748
- This study identifies a trafficking pathway from CD63-positive multivesicular bodies to the bacterial inclusion, a novel interaction that provides essential lipids necessary for maintenance of a productive intracellular infection. PMID: 16410552
- CD63 is recruited to already-budded Weibel-Palade bodies by an AP-3-dependent route PMID: 16683915
- CD63-syntenin-1 complex is abundant on the plasma membrane PMID: 16908530
- CD63 is a cell surface binding partner for TIMP-1, regulating cell survival and polarization via TIMP-1 modulation of tetraspanin/integrin signaling complex. PMID: 16917503
- Chronic urticaria serum-induced CD63 expression assay performed on atopic whole blood by means of tricolor flow cytometry could be the most useful tool for identification of a subset of patients with autoimmune chronic urticaria. PMID: 16918509
- In conclusion, using well-defined experimental conditions, the measurement of CD203c up-regulation on basophils in response to specific allergens is as reliable as CD63-BAT for the in vitro diagnosis of patients with IgE-mediated allergy. PMID: 17275019
- positive correlation between CD63 and erythrocyte sedimentation rate in rheumatoid arthritis PMID: 17279322
- Results suggest that CD63 can be a biomarker for predicting the prognosis in early stages of lung adenocarcinoma. PMID: 17350713
顯示更多
收起更多
-
亞細胞定位:Cell membrane; Multi-pass membrane protein. Lysosome membrane; Multi-pass membrane protein. Late endosome membrane; Multi-pass membrane protein. Endosome, multivesicular body. Melanosome. Secreted, extracellular exosome. Cell surface.
-
蛋白家族:Tetraspanin (TM4SF) family
-
組織特異性:Detected in platelets (at protein level). Dysplastic nevi, radial growth phase primary melanomas, hematopoietic cells, tissue macrophages.
-
數據庫鏈接:
Most popular with customers
-
-
YWHAB Recombinant Monoclonal Antibody
Applications: ELISA, WB, IHC, IF, FC
Species Reactivity: Human, Mouse, Rat
-
Phospho-YAP1 (S127) Recombinant Monoclonal Antibody
Applications: ELISA, WB, IHC
Species Reactivity: Human
-
-
-
-
-















