CD300LG Antibody
-
中文名稱:CD300LG兔多克隆抗體
-
貨號:CSB-PA751016LA01HU
-
規格:¥440
-
圖片:
-
Western Blot
Positive WB detected in: Rat kidney tissue
All lanes: CD300LG antibody at 6μg/ml
Secondary
Goat polyclonal to rabbit IgG at 1/50000 dilution
Predicted band size: 37, 27, 25, 34, 30 kDa
Observed band size: 37 kDa -
Immunofluorescence staining of 293 cells with CSB-PA751016LA01HU at 1:66, counter-stained with DAPI. The cells were fixed in 4% formaldehyde, permeabilized using 0.2% Triton X-100 and blocked in 10% normal Goat Serum. The cells were then incubated with the antibody overnight at 4°C. The secondary antibody was Alexa Fluor 488-congugated AffiniPure Goat Anti-Rabbit IgG(H+L).
-
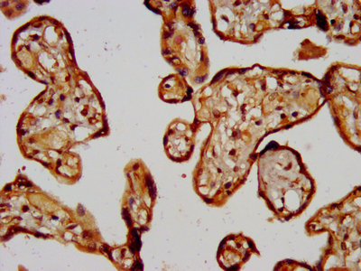
IHC image of CSB-PA751016LA01HU diluted at 1:200 and staining in paraffin-embedded human placenta tissue performed on a Leica BondTM system. After dewaxing and hydration, antigen retrieval was mediated by high pressure in a citrate buffer (pH 6.0). Section was blocked with 10% normal goat serum 30min at RT. Then primary antibody (1% BSA) was incubated at 4°C overnight. The primary is detected by a biotinylated secondary antibody and visualized using an HRP conjugated SP system.
-
-
其他:
產品詳情
-
產品名稱:Rabbit anti-Homo sapiens (Human) CD300LG Polyclonal antibody
-
Uniprot No.:
-
基因名:CD300LG
-
別名:CD300 antigen-like family member G antibody; CD300 molecule like family member g antibody; CD300g antibody; Cd300lg antibody; CLM-9 antibody; CLM9 antibody; CLM9_HUMAN antibody; CMRF35-like molecule 9 antibody; Nepmucin antibody; TREM-4 antibody; TREM4 antibody; Triggering receptor expressed on myeloid cells 4 antibody
-
宿主:Rabbit
-
反應種屬:Human, Rat
-
免疫原:Recombinant Human CMRF35-like molecule 9 protein (128-241AA)
-
免疫原種屬:Homo sapiens (Human)
-
標記方式:Non-conjugated
本頁面中的產品,CD300LG Antibody (CSB-PA751016LA01HU),的標記方式是Non-conjugated。對于CD300LG Antibody,我們還提供其他標記。見下表:
-
克隆類型:Polyclonal
-
抗體亞型:IgG
-
純化方式:>95%, Protein G purified
-
濃度:It differs from different batches. Please contact us to confirm it.
-
保存緩沖液:Preservative: 0.03% Proclin 300
Constituents: 50% Glycerol, 0.01M PBS, pH 7.4 -
產品提供形式:Liquid
-
應用范圍:ELISA, WB, IHC, IF
-
推薦稀釋比:
Application Recommended Dilution WB 1:500-1:5000 IHC 1:200-1:500 IF 1:50-1:200 -
Protocols:
-
儲存條件:Upon receipt, store at -20°C or -80°C. Avoid repeated freeze.
-
貨期:Basically, we can dispatch the products out in 1-3 working days after receiving your orders. Delivery time maybe differs from different purchasing way or location, please kindly consult your local distributors for specific delivery time.
-
用途:For Research Use Only. Not for use in diagnostic or therapeutic procedures.
相關產品
靶點詳情
-
功能:Receptor which may mediate L-selectin-dependent lymphocyte rollings. Binds SELL in a calcium dependent manner. Binds lymphocyte.
-
基因功能參考文獻:
- Both mRNA and protein levels of CD300LG-g in pulmonary carcinoma tissues were significantly lower than that in tumor-adjacent tissues, which might lead to inhibition of killing function of immunocytes, resulting in immune escape of lung cancer cells. PMID: 26977771
- Blood pressure, measured with a sensitive method, in a small sample of CD300LG rs72836561 CT-carriers was higher than in CC-carriers. PMID: 25314291
-
亞細胞定位:Apical cell membrane; Single-pass type I membrane protein. Basolateral cell membrane; Single-pass type I membrane protein. Endosome, multivesicular body membrane; Single-pass type I membrane protein.
-
蛋白家族:CD300 family
-
組織特異性:Highly expressed in heart, skeletal muscle and placenta.
-
數據庫鏈接:
Most popular with customers
-
YWHAB Recombinant Monoclonal Antibody
Applications: ELISA, WB, IHC, IF, FC
Species Reactivity: Human, Mouse, Rat
-
Phospho-YAP1 (S127) Recombinant Monoclonal Antibody
Applications: ELISA, WB, IHC
Species Reactivity: Human
-
-
-
-
-
-















