CD160 Antibody
-
中文名稱:CD160兔多克隆抗體
-
貨號:CSB-PA787597
-
規格:¥1100
-
圖片:
-
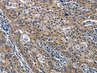
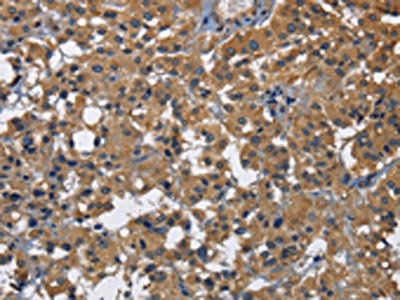
The image on the left is immunohistochemistry of paraffin-embedded Human thyroid cancer tissue using CSB-PA787597(CD160 Antibody) at dilution 1/30, on the right is treated with fusion protein. (Original magnification: ×200)
-
The image on the left is immunohistochemistry of paraffin-embedded Human gastric cancer tissue using CSB-PA787597(CD160 Antibody) at dilution 1/30, on the right is treated with fusion protein. (Original magnification: ×200)
-
Gel: 10%SDS-PAGE, Lysate: 40 μg, Lane: Hela cells, Primary antibody: CSB-PA787597(CD160 Antibody) at dilution 1/250, Secondary antibody: Goat anti rabbit IgG at 1/8000 dilution, Exposure time: 40 seconds
-
-
其他:
產品詳情
-
Uniprot No.:
-
基因名:
-
別名:BY55 antibody; BY55_HUMAN antibody; CD160 antibody; CD160 antigen [Precursor] antibody; CD160 antigen antibody; CD160 delta Ig antibody; CD160 molecule antibody; CD160 transmembrane isoform antibody; FLJ46513 antibody; Natural killer cell receptor BY55 antibody; Natural killer cell receptor; immunoglobulin superfamily member antibody; NK1 antibody; NK28 antibody
-
宿主:Rabbit
-
反應種屬:Human
-
免疫原:Fusion protein of Human CD160
-
免疫原種屬:Homo sapiens (Human)
-
標記方式:Non-conjugated
-
抗體亞型:IgG
-
純化方式:Antigen affinity purification
-
濃度:It differs from different batches. Please contact us to confirm it.
-
保存緩沖液:-20°C, pH7.4 PBS, 0.05% NaN3, 40% Glycerol
-
產品提供形式:Liquid
-
應用范圍:ELISA,WB,IHC
-
推薦稀釋比:
Application Recommended Dilution ELISA 1:2000-1:5000 WB 1:500-1:2000 IHC 1:25-1:100 -
Protocols:
-
儲存條件:Upon receipt, store at -20°C or -80°C. Avoid repeated freeze.
-
貨期:Basically, we can dispatch the products out in 1-3 working days after receiving your orders. Delivery time maybe differs from different purchasing way or location, please kindly consult your local distributors for specific delivery time.
-
用途:For Research Use Only. Not for use in diagnostic or therapeutic procedures.
相關產品
靶點詳情
-
功能:Receptor on immune cells capable to deliver stimulatory or inhibitory signals that regulate cell activation and differentiation. Exists as a GPI-anchored and as a transmembrane form, each likely initiating distinct signaling pathways via phosphoinositol 3-kinase in activated NK cells and via LCK and CD247/CD3 zeta chain in activated T cells. Receptor for both classical and non-classical MHC class I molecules. In the context of acute viral infection, recognizes HLA-C and triggers NK cell cytotoxic activity, likely playing a role in anti-viral innate immune response. On CD8+ T cells, binds HLA-A2-B2M in complex with a viral peptide and provides a costimulatory signal to activated/memory T cells. Upon persistent antigen stimulation, such as occurs during chronic viral infection, may progressively inhibit TCR signaling in memory CD8+ T cells, contributing to T cell exhaustion. On endothelial cells, recognizes HLA-G and controls angiogenesis in immune privileged sites. Receptor or ligand for TNF superfamily member TNFRSF14, participating in bidirectional cell-cell contact signaling between antigen presenting cells and lymphocytes. Upon ligation of TNFRSF14, provides stimulatory signal to NK cells enhancing IFNG production and anti-tumor immune response. On activated CD4+ T cells, interacts with TNFRSF14 and downregulates CD28 costimulatory signaling, restricting memory and alloantigen-specific immune response. In the context of bacterial infection, acts as a ligand for TNFRSF14 on epithelial cells, triggering the production of antimicrobial proteins and proinflammatory cytokines.; The soluble GPI-cleaved form, usually released by activated lymphocytes, might play an immune regulatory role by limiting lymphocyte effector functions.
-
基因功能參考文獻:
- CD160 and CD200 are expressed in B cells in chronic lymphocytic leukemia and are absent in other mature B-cell neoplasms. PMID: 25470765
- Data suggest that CD160 may become a useful marker in the clinical diagnosis and prognosis of chronic lymphocytic leukemia. PMID: 24882258
- elevated CD160 expression on natural killer (NK) cells plays an important role in NK cell loss in atherosclerosis. PMID: 26071079
- CD160-expressing human NK cells are costimulated by HVEM expressed in the environment to enhance cytolytic function and cytokine production. PMID: 23761635
- analysis of how NK1 receptor Gs versus Gq proteins and beta-arrestin signaling is determined by interactions in the water hydrogen bond network PMID: 26269596
- identified 13 ADCC-activated genes. Six gene expression assays including 8 of the 13 genes (CCL3, CCL4/CCL4L1/CCL4L2, CD160, IFNG, NR4A3 and XCL1/XCL2) were analyzed in 127 kidney biopsies PMID: 25449536
- CD160FCA offers a simple assay for minimal residual disease detection in CLL and gives prognostic information across different CLL risk groups. PMID: 25615279
- report high frequencies of CD160 on CD8+ T cells, with significantly higher levels on HTLV-1 specific CD8+ T cells PMID: 25277889
- A population of CD4+ CD160+ T lymphocytes was identified in circulating cutaneous T cells. PMID: 25044837
- Antibodies targeting CD160-GPI complement the blockade of PD-1 to enhance HIV-specific T-cell responses and warrant further investigation in the development of novel immunotherapeutic approaches. PMID: 25179432
- CD160 and PD-1 co-expression on HIV-specific CD8 T cells defines a subset with advanced dysfunction. PMID: 22916009
- results indicate that CD160+ lymphocytes could be able to play a role in the maintenance of healthy pregnancy PMID: 21276121
- circulating NK cells from PNH patients exhibit a self-MHC class I molecule reactive effector function, which could be mediated through the recruitment of CD160-TM receptor. PMID: 22172098
- The results of a mutagenesis study of HVEM suggest that the CD160 binding region on HVEM was slightly different from, but overlapped with, the BTLA binding site. PMID: 21959263
- demonstrated CD160 expression in 98% of chronic lymphocytic leukemia cases, 100% of hairy cell leukemia cases, 15% of mantle cell lymphoma in the leukemic phase, and 16% of other B-cell lymphoproliferative disorders PMID: 21715317
- A novel antiangiogenic and vascular normalization therapy targeted against human CD160 receptor. PMID: 21482699
- soluble CD160, produced by mast cells, may have a role in T-cell-mast cell interactions in vivo PMID: 21191401
- Activation through CD160 leads to PI3K-dependent chronic lymphocytic leukemia protection from spontaneous in vitro apoptosis, as well as cellular activation with cell cycle progression and cytokine production. PMID: 20164468
- BY55 functions as a co-receptor in TCR signal transduction of a human cytotoxic effector T lymphocyte subset lacking CD28 expression PMID: 11978774
- CD94-expressing cells with cytolytic activity against the recipient's leukemic and tumor cells without enhancement of alloresponse might be able to be expanded from donor G-PBMCs. PMID: 15073036
- The CD160 receptor represents a unique triggering surface molecule expressed by cytotoxic NK cells that participates in the inflammatory response and determines the type of subsequent specific immunity. PMID: 15494480
- We report that CD160 acts as a co-activator receptor for CD3-induced proliferation of CD4+ CD160+ T cells isolated from inflammatory skin lesions. PMID: 17218942
- short-time incubation of NK lymphocytes with IL-15 converts the membrane-bound CD160 to a soluble form; activated NK lymphocytes release a soluble form of CD160 that functionally impairs the MHC-I-specific cytotoxic CD8(+) T lymphocyte responsiveness PMID: 17237375
- CD160 serves as a negative regulator of CD4+ T cell activation through its interaction with HVEM. PMID: 18193050
- Apart from CD160 mRNA, three additional transcripts generated through alternative splicings of the CD160 gene can be detected in peripheral blood natural killer (NK) cells but not in peripheral blood CD8-positive T cells, upon activation. PMID: 19109136
- Site-directed mutagenesis showed that the predicted AML-1 site is essential for the regulation of CD160 gene expression. PMID: 19626042
顯示更多
收起更多
-
亞細胞定位:[CD160 antigen]: Cell membrane; Lipid-anchor, GPI-anchor.; [CD160 antigen, soluble form]: Secreted.
-
組織特異性:Expression is restricted to functional NK and cytotoxic T lymphocytes. Expressed in viral-specific effector memory and terminally differentiated effector memory CD8+ T cells. Expressed in memory and activated CD4+ T cell subsets (at protein level). Expres
-
數據庫鏈接:
Most popular with customers
-
-
Phospho-YAP1 (S127) Recombinant Monoclonal Antibody
Applications: ELISA, WB, IHC
Species Reactivity: Human
-
-
-
-
-
-















