CCL25 Antibody
-
中文名稱:CCL25兔多克隆抗體
-
貨號:CSB-PA118672
-
規格:¥1100
-
圖片:
-
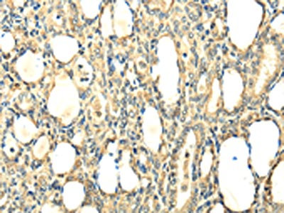
The image on the left is immunohistochemistry of paraffin-embedded Human thyroid cancer tissue using CSB-PA118672(CCL25 Antibody) at dilution 1/20, on the right is treated with fusion protein. (Original magnification: ×200)
-
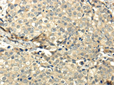
The image on the left is immunohistochemistry of paraffin-embedded Human breast cancer tissue using CSB-PA118672(CCL25 Antibody) at dilution 1/20, on the right is treated with fusion protein. (Original magnification: ×200)
-
-
其他:
產品詳情
-
Uniprot No.:
-
基因名:
-
別名:A130072A22Rik antibody; C-C motif chemokine 25 antibody; CCL 25 antibody; CCL25 antibody; CCL25_HUMAN antibody; Chemokine (C C motif) ligand 25 antibody; Chemokine (CC motif) ligand 25 antibody; Chemokine C C motif ligand 25 antibody; Chemokine CC motif ligand 25 antibody; Chemokine TECK antibody; Ck beta 15 antibody; Ckb 15 antibody; Ckb15 antibody; MGC125074 antibody; MGC150327 antibody; SCY A25 antibody; SCYA 25 antibody; SCYA25 antibody; Small inducible cytokine A25 antibody; Small inducible cytokine A25 isoform 1 precursor antibody; Small inducible cytokine A25 isoform 2 precursor antibody; Small inducible cytokine subfamily A (Cys Cys) member 25 antibody; Small inducible cytokine subfamily A Cys Cys member 25 antibody; Small inducible cytokine subfamily A; member 25 antibody; Small-inducible cytokine A25 antibody; TECK antibody; TECKvar antibody; Thymus expressed chemokine antibody; Thymus-expressed chemokine antibody
-
宿主:Rabbit
-
反應種屬:Human
-
免疫原:Fusion protein of Human CCL25
-
免疫原種屬:Homo sapiens (Human)
-
標記方式:Non-conjugated
-
抗體亞型:IgG
-
純化方式:Antigen affinity purification
-
濃度:It differs from different batches. Please contact us to confirm it.
-
保存緩沖液:-20°C, pH7.4 PBS, 0.05% NaN3, 40% Glycerol
-
產品提供形式:Liquid
-
應用范圍:ELISA,IHC
-
推薦稀釋比:
Application Recommended Dilution ELISA 1:2000-1:5000 IHC 1:25-1:100 -
Protocols:
-
儲存條件:Upon receipt, store at -20°C or -80°C. Avoid repeated freeze.
-
貨期:Basically, we can dispatch the products out in 1-3 working days after receiving your orders. Delivery time maybe differs from different purchasing way or location, please kindly consult your local distributors for specific delivery time.
-
用途:For Research Use Only. Not for use in diagnostic or therapeutic procedures.
相關產品
靶點詳情
-
功能:Potentially involved in T-cell development. Recombinant protein shows chemotactic activity on thymocytes, macrophages, THP-1 cells, and dendritics cells but is inactive on peripheral blood lymphocytes and neutrophils. Binds to CCR9. Isoform 2 is an antagonist of isoform 1. Binds to atypical chemokine receptor ACKR4 and mediates the recruitment of beta-arrestin (ARRB1/2) to ACKR4.
-
基因功能參考文獻:
- CCL25 was able to induce proteoglycan and collagen type I production in anulus fibrosus-derived cells. PMID: 30060561
- It plays a pathogenic role in liver diseases and it will be a therapeutic target of the diseases. PMID: 27795503
- TECK was shown to be expressed by osteoblasts, and its receptor, CCR9, by osteoclast precursors. TECK increased P. gingivalis LPS-induced osteoclast numbers in an in vitro osteoclast formation assay using osteoclast precursors. T PMID: 26921718
- that CCL25/CCR9 signal may provide cancer cells with chemotactic abilities through influencing several epithelial-mesenchymal transitionmarkers PMID: 27008282
- CCR9/CCL25 interactions are not only involved in colitis pathogenesis but also correlate with colonic inflammatory burden; further supporting the existence of overlapping mucosal lymphocyte recruitment pathways between the inflamed colon and liver. PMID: 26873648
- CpG methylation is reduced in gingival biopsies of patients with periodontitis PMID: 26472015
- Studies indicate important roles played by chemokine ligand 25 (CCL25)/chemokine receptor 9 (CCR9) in tumorigenesis, tumor chemoresistance and metastasis. PMID: 26879872
- CCL25 mRNA and protein levels were significantly increased in the nasopharyngeal carcinoma group compared with the control group. PMID: 26279399
- CCR9-CCL25 interaction promoted proliferation and suppressed apoptosis of non-small cell lung cancer cells by activating the PI3K/Akt pathway. PMID: 25691296
- High CCL25 expression is associated with the pathogenesis of ulcerative colitis. PMID: 24936795
- Expression of CCR9 and CCL25, the only natural ligand of CCR9, was significantly higher (p<0.0001) in NSCLC tissues and serum respectively, compared to their respective controls. PMID: 25296976
- TECK derived from endometrial stromal cell and macrophages upregulates the number and function of Tregs in the ectopic milieu. PMID: 25275597
- CCL25 is an antimicrobial protein with bacteriocidal activity against E. coli and S. aureus. PMID: 12949249
- CCL25 and CCR9 regulate colorectal cancer progression and invasion. PMID: 22863617
- cell migration assays revealed that mesenchymal stromal cells (MSCs) have tropism toward multiple myeloma (MM) cells, and CCL25 was identified as a major MM cell-produced chemoattractant for MSCs. PMID: 22102554
- We provide the first evidence that CCR9 and its natural ligand CCL25 are highly expressed by ovarian cancer tissue and their expression correlates with histological subtypes. PMID: 21637913
- CCL25 enhanced the expression of MMP-1, -9, -11 and -13 active proteins by BrCa cells in a CCR9-dependent fashion. PMID: 21344163
- CCL25 may be involved in the differentiation of monocytes to macrophages particularly in rheumatoid arthritis PMID: 20738854
- over-expressed TECK interacts with CCR9 on the endometrial stromal cells in the endometriotic milieu, which may contribute to the onset and progression of endometriosis. PMID: 20081876
- demonstrate a unique pattern of regulation for CCL25 and suggest a role for caudal type homeo box proteins in regulating CCL25 transcription PMID: 16517733
- Intracellular signaling required for CCL25-stimulated T cell adhesion mediated by the integrin alpha4beta1. PMID: 17510295
- High expression may explain high incidence of melanoma metastis to the small intestine. PMID: 18245522
- There was a robust migration of specific IgA- and IgM-antibody-secreting cells induced by Salmonella vaccination toward the mucosal chemokines CCL25 and CCL28 PMID: 19003934
顯示更多
收起更多
-
亞細胞定位:Secreted.
-
蛋白家族:Intercrine beta (chemokine CC) family
-
組織特異性:Specifically expressed by thymic dendritic cells. High levels in thymus and small intestine.
-
數據庫鏈接:
Most popular with customers
-
-
YWHAB Recombinant Monoclonal Antibody
Applications: ELISA, WB, IHC, IF, FC
Species Reactivity: Human, Mouse, Rat
-
Phospho-YAP1 (S127) Recombinant Monoclonal Antibody
Applications: ELISA, WB, IHC
Species Reactivity: Human
-
-
-
-
-















