CCL16 Antibody
-
中文名稱:CCL16兔多克隆抗體
-
貨號:CSB-PA940582
-
規格:¥1100
-
圖片:
-
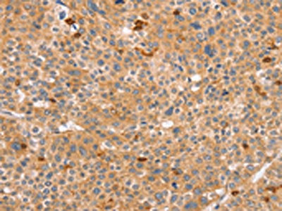
The image on the left is immunohistochemistry of paraffin-embedded Human thyroid cancer tissue using CSB-PA940582(CCL16 Antibody) at dilution 1/60, on the right is treated with synthetic peptide. (Original magnification: ×200)
-
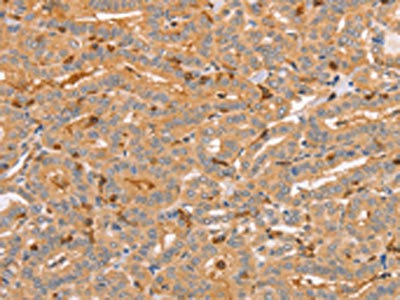
The image on the left is immunohistochemistry of paraffin-embedded Human liver cancer tissue using CSB-PA940582(CCL16 Antibody) at dilution 1/60, on the right is treated with synthetic peptide. (Original magnification: ×200)
-
-
其他:
產品詳情
-
Uniprot No.:
-
基因名:
-
別名:C-C motif chemokine 16 antibody; CCL16 antibody; CCL16_HUMAN antibody; Chemokine (C-C motif) ligand 16 antibody; Chemokine CC-4 antibody; Chemokine LEC antibody; CKb12 antibody; HCC-4 antibody; HCC4 antibody; IL-10-inducible chemokine antibody; IL10 inducible chemokine antibody; IL10 inducible chemokine antibody; ILINCK antibody; LCC-1 antibody; LCC1 antibody; Liver CC chemokine 1 precursor antibody; Liver expressed chemokine antibody; Liver-expressed chemokine antibody; LMC antibody; Lymphocyte and monocyte chemoattractant antibody; Monotactin 1 antibody; Monotactin-1 antibody; MTN-1 antibody; Mtn1 antibody; NCC-4 antibody; NCC4 antibody; New CC chemokine 4 antibody; SCYA16 antibody; SCYL4 antibody; Small inducible cytokine A16 precursor antibody; Small inducible cytokine A16 precursor antibody; Small inducible cytokine subfamily A (Cys Cys) member 16 antibody; Small-inducible cytokine A16 antibody
-
宿主:Rabbit
-
反應種屬:Human
-
免疫原:Synthetic peptide of Human CCL16
-
免疫原種屬:Homo sapiens (Human)
-
標記方式:Non-conjugated
-
抗體亞型:IgG
-
純化方式:Antigen affinity purification
-
濃度:It differs from different batches. Please contact us to confirm it.
-
保存緩沖液:-20°C, pH7.4 PBS, 0.05% NaN3, 40% Glycerol
-
產品提供形式:Liquid
-
應用范圍:ELISA,IHC
-
推薦稀釋比:
Application Recommended Dilution ELISA 1:2000-1:10000 IHC 1:100-1:300 -
Protocols:
-
儲存條件:Upon receipt, store at -20°C or -80°C. Avoid repeated freeze.
-
貨期:Basically, we can dispatch the products out in 1-3 working days after receiving your orders. Delivery time maybe differs from different purchasing way or location, please kindly consult your local distributors for specific delivery time.
-
用途:For Research Use Only. Not for use in diagnostic or therapeutic procedures.
相關產品
靶點詳情
-
功能:Shows chemotactic activity for lymphocytes and monocytes but not neutrophils. Also shows potent myelosuppressive activity, suppresses proliferation of myeloid progenitor cells. Recombinant SCYA16 shows chemotactic activity for monocytes and THP-1 monocytes, but not for resting lymphocytes and neutrophils. Induces a calcium flux in THP-1 cells that were desensitized by prior expression to RANTES.
-
基因功能參考文獻:
- Overexpression of miR-1247 may alleviate LPS-induced A549 cell injury through targeting CCL16. PMID: 29768218
- Single nucleotide polymorphism (SNPs) located in and around the C-C motif chemokine ligand 16 (CCL16) gene are associated with CCL16 protein levels in blood plasma, and rs80329614 is the SNP most strongly associated with CCL16 protein levels in plasma. PMID: 27357396
- High umbilical artery CCL16 is prominently detected in preterm preeclamptic pregnancies with severe growth restriction. PMID: 22857868
- Data show that CCL-16 gene expression was upregulated by 7.46-fold in IBS patients when compared with controls and suggest a subclinical inflammatory component underlying IBS. PMID: 21951809
- Low umbilical cord blood chemokine CCL16 associates with spontaneous preterm birth PMID: 21288736
- Recombinant CCL16 significantly enhances the effector and the antigen-presenting function of macrophages and augments T cell lytic activity. PMID: 14525962
- An adenoviral vector encoding human CCL16 injected into mice with pre-established mammary carcinoma induces strong antitumor response; when given before surgical excision of primary lesions, the treatment prevents metastatic spread and cures 63% of mice. PMID: 15034014
- CCL16 induced efficient migratory responses in human and mouse eosinophils. CCL16 is a novel functional ligand for H4 and may have a role in trafficking of eosinophils. PMID: 15265943
- CC chemokine-4 (HCC-4)/CCL16 transduces signals differently from other CCR1-dependent chemokines and may play different roles in the immune response. PMID: 16226254
- Elevated concentrations in bronchoalveolar lavage fluid from patients with eosinophilic pneumonia PMID: 19494526
顯示更多
收起更多
-
亞細胞定位:Secreted.
-
蛋白家族:Intercrine beta (chemokine CC) family
-
組織特異性:Mainly expressed in liver, also found in spleen and thymus. Highly expressed in LPS- and IFN-gamma-activated monocytes, weakly in some lymphocytes, including natural killer cells, gamma-delta T-cells, and some T-cell clones.
-
數據庫鏈接:
Most popular with customers
-
-
YWHAB Recombinant Monoclonal Antibody
Applications: ELISA, WB, IHC, IF, FC
Species Reactivity: Human, Mouse, Rat
-
-
-
-
-
-















