CCDC88A Antibody
-
中文名稱:CCDC88A兔多克隆抗體
-
貨號:CSB-PA123254
-
規格:¥1100
-
圖片:
-
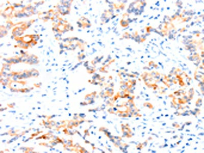
The image on the left is immunohistochemistry of paraffin-embedded Human cervical cancer tissue using CSB-PA123254(CCDC88A Antibody) at dilution 1/50, on the right is treated with synthetic peptide. (Original magnification: ×200)
-
The image on the left is immunohistochemistry of paraffin-embedded Human colon cancer tissue using CSB-PA123254(CCDC88A Antibody) at dilution 1/50, on the right is treated with synthetic peptide. (Original magnification: ×200)
-
-
其他:
產品詳情
-
Uniprot No.:
-
基因名:CCDC88A
-
別名:AKT iphosphorylation enhancer antibody; Akt phosphorylation enhancer antibody; APE antibody; Ccdc88a antibody; Coiled coil domain containing 88A antibody; Coiled coil domain containing protein 88A antibody; Coiled-coil domain-containing protein 88A antibody; FLJ10392 antibody; G alpha interacting vesicle associated protein antibody; G alpha-interacting vesicle-associated protein antibody; Galpha interacting vesicle associated protein antibody; Girders of actin filament antibody; Girdin antibody; GIV antibody; GRDN antibody; GRDN_HUMAN antibody; HkRP1 antibody; Hook related protein 1 antibody; Hook-related protein 1 antibody; KIAA1212 antibody
-
宿主:Rabbit
-
反應種屬:Human,Mouse
-
免疫原:Synthetic peptide of Human CCDC88A
-
免疫原種屬:Homo sapiens (Human)
-
標記方式:Non-conjugated
-
抗體亞型:IgG
-
純化方式:Antigen affinity purification
-
濃度:It differs from different batches. Please contact us to confirm it.
-
保存緩沖液:-20°C, pH7.4 PBS, 0.05% NaN3, 40% Glycerol
-
產品提供形式:Liquid
-
應用范圍:ELISA,IHC
-
推薦稀釋比:
Application Recommended Dilution ELISA 1:1000-1:5000 IHC 1:50-1:200 -
Protocols:
-
儲存條件:Upon receipt, store at -20°C or -80°C. Avoid repeated freeze.
-
貨期:Basically, we can dispatch the products out in 1-3 working days after receiving your orders. Delivery time maybe differs from different purchasing way or location, please kindly consult your local distributors for specific delivery time.
-
用途:For Research Use Only. Not for use in diagnostic or therapeutic procedures.
相關產品
靶點詳情
-
功能:Bifunctional modulator of guanine nucleotide-binding proteins (G proteins). Acts as a non-receptor guanine nucleotide exchange factor which binds to and activates guanine nucleotide-binding protein G(i) alpha subunits. Also acts as a guanine nucleotide dissociation inhibitor for guanine nucleotide-binding protein G(s) subunit alpha GNAS. Essential for cell migration. Interacts in complex with G(i) alpha subunits with the EGFR receptor, retaining EGFR at the cell membrane following ligand stimulation and promoting EGFR signaling which triggers cell migration. Binding to Gi-alpha subunits displaces the beta and gamma subunits from the heterotrimeric G-protein complex which enhances phosphoinositide 3-kinase (PI3K)-dependent phosphorylation and kinase activity of AKT1/PKB. Phosphorylation of AKT1/PKB induces the phosphorylation of downstream effectors GSK3 and FOXO1/FKHR, and regulates DNA replication and cell proliferation. Binds in its tyrosine-phosphorylated form to the phosphatidylinositol 3-kinase (PI3K) regulatory subunit PIK3R1 which enables recruitment of PIK3R1 to the EGFR receptor, enhancing PI3K activity and cell migration. Plays a role as a key modulator of the AKT-mTOR signaling pathway, controlling the tempo of the process of newborn neuron integration during adult neurogenesis, including correct neuron positioning, dendritic development and synapse formation. Inhibition of G(s) subunit alpha GNAS leads to reduced cellular levels of cAMP and suppression of cell proliferation. Essential for the integrity of the actin cytoskeleton. Required for formation of actin stress fibers and lamellipodia. May be involved in membrane sorting in the early endosome. Plays a role in ciliogenesis and cilium morphology and positioning and this may partly be through regulation of the localization of scaffolding protein CROCC/Rootletin.
-
基因功能參考文獻:
- Results showed a role of Girdin in the collective invasion of skin cancer cells, where it interacts with beta-catenin. Also, Girdin is indispensable for stable cell-cell interaction, supracellular cytoskeletal organization, and the collective migration of cancer. PMID: 30194792
- Study revealed that the downregulation of the expression of Girdin can inhibit the proliferation, invasion and migration of colorectal cancer cells through decrease in proinflammatory cytokine production and inhibition of JAK/STAT signaling. PMID: 29989653
- Girdin may regulate cell processes. PMID: 29901184
- The engulfment of platelets assisted in delaying the aging of endothelial cells via girdin and pgirdin, in which the AKT signal was involved. PMID: 29786109
- Girdin can regulate glycolysis in hepatocellular carcinoma cells through the PI3K/AKT/HIF-1alpha signaling pathway, which decreases the sensitivity of tumor cells to radiotherapy. PMID: 28810896
- Girdin expression may serve as a useful prognostic factor for invasive breast cancer, especially for the HER2 subtype. PMID: 28818465
- The present study therefore suggests a role for Girdin as a novel therapeutic target for breast cancer, independent of subtype. PMID: 28713924
- GIV is a bifunctional modulator of G proteins; it serves as a guanine nucleotide dissociation inhibitor (GDI) for Galphas using the same motif that allows it to serve as a guanine-nucleotide exchange factor for Galphai PMID: 27621449
- GIV (Girdin) expression status predicts recurrence risk in patients with T3 pMMR stage II colon cancer. PMID: 27029492
- Results show that high CCDC88A expression in human pancreatic ductal adenocarcinoma (PDAC) tissues is correlated with poor prognosis. Also, the findings suggest that CCDC88A can promote PDAC cell migration and invasion through a signaling pathway that involves phosphorylation/dephosphorylation of many proteins. PMID: 27919290
- Here, theauthors identify GIV/Girdin as a novel effector of AMPK, whose phosphorylation at a single site is both necessary and sufficient for strengthening mammalian epithelial tight junctions and preserving cell polarity and barrier function in the face of energetic stress. PMID: 27813479
- On the basis of the differential prognostic impact of tGIV/pYGIV within each molecular subtype, we propose a diagnostic algorithm PMID: 27440794
- Results show that Girdin is important for formation and function of invadopodia enhanced by Dlg5-silencing in hepatocellular carcinoma cells. PMID: 28390157
- Tyrosine Phosphorylation of an Actin-Binding Protein Girdin Specifically Marks Tuft Cells in Human and Mouse Gut PMID: 28375676
- Overexpression of girdin is associated with invasion of hepatocellular carcinoma. PMID: 27623945
- Heterotrimeric G protein signaling via GIV/Girdin is a ubiquitous mechanism in health and disease, and can be a target for molecular therapies. (Review) PMID: 26879989
- miR-101 inhibits cell proliferation, migration and invasion in hepatocellular carcinoma through downregulating Girdin. PMID: 26743900
- Phosphorylation of GIV at Tyr-1764/Tyr-1798 is also required to enhance PI3K-Akt signaling and tumor cell migration in response to integrin stimulation, indicating that GIV functions in Tyr(P)-dependent integrin signaling. PMID: 26887938
- CCDC88A is essential for multiple aspects of normal development and loss of CCDC88A is a cause of the PEHO syndrome phenotype. PMID: 26917597
- GIV is an essential upstream component that couples InsR to G-protein signaling to enhance the metabolic insulin response, and impairment of such coupling triggers IR. PMID: 26378251
- Girdin regulates the migration and invasion of glioma cells via the PI3K-Akt signaling pathway. PMID: 26151295
- The expression of Girdin protein in invasive breast cancer is strongly associated with lymph node metastasis. PMID: 24155038
- GIV expression is up-regulated in liver after fibrotic injury and is required for hepatic stellate cells activation.Girdin is a central hub for profibrogenic signalling networks during liver fibrosis. PMID: 25043713
- TAT-GIV peptides provide a novel and versatile tool to manipulate Galphai activation downstream of growth factors in a diverse array of pathophysiologic conditions. PMID: 25926659
- transcriptional upregulation of Girdin expression and Girdin-Galphai3 signaling play crucial roles in regulating epithelial apicobasal polarity through the PAR complex. PMID: 25977476
- GIV directly and constitutively binds the exocyst complex subunit Exo-70 and also associates with GLUT4-storage vesicles (GSVs) exclusively upon insulin stimulation. PMID: 26514725
- Expression of tumor necrosis factor receptor-assicated factor 4 correlates with expression of Girdin and promotes nuclear translocation of Girdin in breast cancer PMID: 25591657
- GIV and its substrate Galphai3 are recruited to active integrin complexes PMID: 26391662
- the positive expression rate of Girdin in hepatocellular carcinoma tissues was 67.5%, higher than that found in adjacent tissues of 16.7% PMID: 25755745
- findings suggest that the STAT3/Girdin/Akt pathway activates in osteoblasts in response to mechanical stimulation and may play a significant role in triggering osteoblast proliferation and migration during orthodontic treatment PMID: 26163263
- Girdin regulates the trafficking of VE-cadherin in synergy with R-Ras. PMID: 25869066
- Both SH2 and GEF domains of GIV are required for the formation of a ligand-activated ternary complex between GIV, Galphai3, and EGFR. PMID: 25187647
- The study shows that girdin is phosphorylated on tyrosine 1798 when associated with structures required for migration. PMID: 25707853
- The review discusses how GIV assembles alternative signaling pathways by sensing cues from various classes of surface receptors and relaying them via G protein activation. The dysregulation of this mechanism in disease is discussed. [review] PMID: 25605737
- Findings demonstrate that Dlg5 interacts with and inhibits the activity of Girdin, thereby suppressing the migration of prostate cancer cells. PMID: 24662825
- Girdin knockdown enhances chemosensitivity of colorectal cancer cells to oxaliplatin via TOP2B down-regulation. PMID: 25009397
- This study showed that reduction of Girdin, an actin-binding protein, leads to impaired cell migration, adhesion, and invasion of human glioblastoma cells. PMID: 25060559
- These results reveal that girdin regulates selective clathrin-mediated endocytosis via a mechanism involving dynamin 2, but not by operating as a cargo-specific adaptor. PMID: 25061227
- This study identified a novel GWS association (1.17 x 10(-10)) mapped to chromosome 2 at rs1437396, between MTIF2 and CCDC88A, across all of the EA and AA cohorts. PMID: 24166409
- Girdin was identified as a new and major regulator of the insulin signal in myoblasts and skeletal muscle. PMID: 23886629
- Up-regulated autophagy was negatively associated with Girdin level. There was a significant correlation between Girdin expression and lymph nodes metastasis in invasive ductal breast carcinoma. PMID: 24326843
- The levels of Girdin expression correlated inversely with the survival of esophageal squamous cell carcinoma patients. PMID: 23588413
- These results demonstrate that girdin and its phosphorylation play an important role in neonatal vascular development and in pathological neovascularization in the retina. PMID: 23195430
- Girdin protein may be a potential new distant metastasis biomarker of breast cancer PMID: 22116776
- Our findings define EEA1 endosomes as major sites for proliferative signaling and establish that Galphas and GIV regulate EEA1 but not APPL endosome maturation PMID: 23051738
- p-Girdin expression is closely correlated with the malignant progression of breast cancer. PMID: 22780975
- STAT3 activation is directly integrated with the receptor tyrosine kinase-GIV-G protein signaling axis. PMID: 23066027
- The Girdin protein may be a potential new early liver metastasis biomarker of colorectal cancer. PMID: 22714912
- These data demonstrate that Girdin is important for efficient cell division PMID: 22755556
- Girdin regulates cell movement in biological contexts that require directional cell movement PMID: 22574214
顯示更多
收起更多
-
相關疾病:PEHO-like syndrome (PEHOL)
-
亞細胞定位:Cell membrane; Peripheral membrane protein. Cytoplasm, cytosol. Cytoplasmic vesicle. Cell projection, lamellipodium. Cytoplasm, cytoskeleton, cilium basal body. Cytoplasm, cytoskeleton, microtubule organizing center, centrosome, centriole.
-
蛋白家族:CCDC88 family
-
組織特異性:Expressed ubiquitously.
-
數據庫鏈接:
Most popular with customers
-
YWHAB Recombinant Monoclonal Antibody
Applications: ELISA, WB, IHC, IF, FC
Species Reactivity: Human, Mouse, Rat
-
Phospho-YAP1 (S127) Recombinant Monoclonal Antibody
Applications: ELISA, WB, IHC
Species Reactivity: Human
-
-
-
-
-
-















