CCDC6 Antibody
-
中文名稱:CCDC6兔多克隆抗體
-
貨號:CSB-PA623068LA01HU
-
規格:¥440
-
圖片:
-
Western Blot
Positive WB detected in: MCF-7 whole cell lysate
All lanes: CCDC6 antibody at 3µg/ml
Secondary
Goat polyclonal to rabbit IgG at 1/50000 dilution
Predicted band size: 54 kDa
Observed band size: 54 kDa -
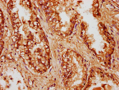
IHC image of CSB-PA623068LA01HU diluted at 1:500 and staining in paraffin-embedded human prostate cancer performed on a Leica BondTM system. After dewaxing and hydration, antigen retrieval was mediated by high pressure in a citrate buffer (pH 6.0). Section was blocked with 10% normal goat serum 30min at RT. Then primary antibody (1% BSA) was incubated at 4°C overnight. The primary is detected by a biotinylated secondary antibody and visualized using an HRP conjugated SP system.
-
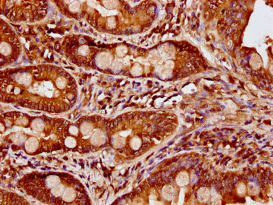
IHC image of CSB-PA623068LA01HU diluted at 1:500 and staining in paraffin-embedded human small intestine tissue performed on a Leica BondTM system. After dewaxing and hydration, antigen retrieval was mediated by high pressure in a citrate buffer (pH 6.0). Section was blocked with 10% normal goat serum 30min at RT. Then primary antibody (1% BSA) was incubated at 4°C overnight. The primary is detected by a biotinylated secondary antibody and visualized using an HRP conjugated SP system.
-
Immunofluorescence staining of MCF-7 cells with CSB-PA623068LA01HU at 1:166, counter-stained with DAPI. The cells were fixed in 4% formaldehyde, permeabilized using 0.2% Triton X-100 and blocked in 10% normal Goat Serum. The cells were then incubated with the antibody overnight at 4°C. The secondary antibody was Alexa Fluor 488-congugated AffiniPure Goat Anti-Rabbit IgG(H+L).
-
-
其他:
產品詳情
-
產品名稱:Rabbit anti-Homo sapiens (Human) CCDC6 Polyclonal antibody
-
Uniprot No.:
-
基因名:
-
別名:CCDC 6 antibody; CCDC6 antibody; CCDC6_HUMAN antibody; Coiled coil domain containing 6 antibody; Coiled coil domain containing protein 6 antibody; Coiled-coil domain-containing protein 6 antibody; D10S170 antibody; FLJ32286 antibody; H4 antibody; Papillary thyroid carcinoma encoded protein antibody; Papillary thyroid carcinoma-encoded protein antibody; Protein H4 antibody; PTC antibody; TPC antibody; TST 1 antibody; TST1 antibody
-
宿主:Rabbit
-
反應種屬:Human
-
免疫原:Recombinant Human Coiled-coil domain-containing protein 6 protein (347-440AA)
-
免疫原種屬:Homo sapiens (Human)
-
標記方式:Non-conjugated
本頁面中的產品,CCDC6 Antibody (CSB-PA623068LA01HU),的標記方式是Non-conjugated。對于CCDC6 Antibody,我們還提供其他標記。見下表:
-
克隆類型:Polyclonal
-
抗體亞型:IgG
-
純化方式:>95%, Protein G purified
-
濃度:It differs from different batches. Please contact us to confirm it.
-
保存緩沖液:Preservative: 0.03% Proclin 300
Constituents: 50% Glycerol, 0.01M PBS, pH 7.4 -
產品提供形式:Liquid
-
應用范圍:ELISA, WB, IHC, IF
-
推薦稀釋比:
Application Recommended Dilution WB 1:500-1:5000 IHC 1:500-1:1000 IF 1:50-1:200 -
Protocols:
-
儲存條件:Upon receipt, store at -20°C or -80°C. Avoid repeated freeze.
-
貨期:Basically, we can dispatch the products out in 1-3 working days after receiving your orders. Delivery time maybe differs from different purchasing way or location, please kindly consult your local distributors for specific delivery time.
-
用途:For Research Use Only. Not for use in diagnostic or therapeutic procedures.
相關產品
靶點詳情
-
基因功能參考文獻:
- FGFR inhibitors, particularly BGJ398, are therapeutic options for cholangiocarcinoma patients harboring FGFR2-CCDC6 fusions. PMID: 27216979
- Our findings nevertheless suggest that CCDC6-RET fusions identified by multiplex testing are potential targets for nintedanib therapy. PMID: 26787234
- we propose that the amount of CCDC6 protein in primary tumors, as reported in lung, may depend on the impairment of the CCDC6 turnover due to altered protein-protein interaction and post-translational modifications PMID: 25885523
- Results show that RNA-binding protein EWS binds and regulates CCDC6 expression at RNA and protein levels. PMID: 25751255
- CCDC6 levels provide valuable insight for OS. PMID: 25302833
- the loss of CCDC6 could aid the spermatogonial cells to be part of a pro-survival pathway that helps to evade the toxic effects of endogenous oxidants and contributes to testicular neoplastic growth. PMID: 24059746
- Expression of the CCDC6-RET fusion gene in LC-2/ad cells was demonstrated by the mRNA and protein levels, and the genomic break-point was confirmed by genomic DNA sequencing. PMID: 23578175
- CCDC6 is associated with cAMP signaling by fine regulating CREB1 transcriptional activity in normal and transformed thyroid cells. PMID: 23145146
- CCDC6-RET fusion is associated with lung adenocarcinoma. PMID: 23154560
- It was shown that FBXW7 interacts with and targets CCDC6 for ubiquitin-mediated proteasomal degradation. FBXW7-mediated CCDC6 degradation was impaired in response to DNA damage. PMID: 23108047
- Following genotoxic stress, loss or inactivation of CCDC6 in cancers that carry the CCDC6 fusion, accelerates the dephosphorylation of pH2AX S139, resulting in defective G2 arrest and premature mitotic entry. PMID: 22655027
- CCDC6 plays a key role in cell cycle control. PMID: 22363533
- we discovered previously unidentified kinase fusions that may be promising for molecular-targeted therapy, kinesin family member 5B (KIF5B)-ret proto-oncogene (RET) and coiled-coil domain containing 6 (CCDC6)-RET, in 14 adenocarcinomas PMID: 22327623
- down-regulation of 14-3-3sigma in the absence of CCDC6 demonstrated their direct association and supports the notion that CCDC6 contributes to cancer development, possibly through malignant pathways involving 14-3-3sigma PMID: 22399611
- repression of CREB1 activity by CCDC6 has a critical function in the development of human thyroid papillary carcinomas carrying RET/PTC1 activation. PMID: 20498639
- H4(D10S170) is involved in the cellular response to ataxia telangectasia mutated (ATM) kinase; impairment of H4(D10S170) gene function might have a role in thyroid carcinogenesis. PMID: 17420723
- frequency of the occurrence of BRAF mutation and/or RET/PTC in H4-PTEN positive tumors was extremely high (75%) in papillary thyroid carcinoma PMID: 18226854
- PTC1 and PTC3 are highly oncogenic proteins when overexpressed, but result in indolent disease compared with RET-related MTCs due to their relatively low expression from the NCOA4 and CCDC6 promoters in vivo. PMID: 19487296
顯示更多
收起更多
-
相關疾?。?/div>A chromosomal aberration involving CCDC6 is found in papillary thyroid carcinomas (PTCs). Inversion inv(10)(q11.2;q21) generates the RET/CCDC6 (PTC1) oncogene.亞細胞定位:Cytoplasm. Cytoplasm, cytoskeleton. Note=May be a cytoskeletal protein.組織特異性:Ubiquitously expressed.數據庫鏈接:
Most popular with customers
-
-
YWHAB Recombinant Monoclonal Antibody
Applications: ELISA, WB, IHC, IF, FC
Species Reactivity: Human, Mouse, Rat
-
Phospho-YAP1 (S127) Recombinant Monoclonal Antibody
Applications: ELISA, WB, IHC
Species Reactivity: Human
-
-
-
-
-















