CCDC59 Antibody
-
中文名稱:CCDC59兔多克隆抗體
-
貨號:CSB-PA882165LA01HU
-
規格:¥440
-
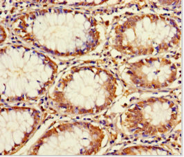
圖片:
-
其他:
產品詳情
-
產品名稱:Rabbit anti-Homo sapiens (Human) CCDC59 Polyclonal antibody
-
Uniprot No.:
-
基因名:CCDC59
-
別名:CCDC59 antibody; BR22 antibody; TAP26 antibody; HSPC128 antibody; Thyroid transcription factor 1-associated protein 26 antibody; TTF-1-associated protein 26 antibody; Coiled-coil domain-containing protein 59 antibody; TTF-1-associated protein BR2 antibody
-
宿主:Rabbit
-
反應種屬:Human
-
免疫原:Recombinant Human Thyroid transcription factor 1-associated protein 26 protein (1-241AA)
-
免疫原種屬:Homo sapiens (Human)
-
標記方式:Non-conjugated
本頁面中的產品,CCDC59 Antibody (CSB-PA882165LA01HU),的標記方式是Non-conjugated。對于CCDC59 Antibody,我們還提供其他標記。見下表:
-
克隆類型:Polyclonal
-
抗體亞型:IgG
-
純化方式:>95%, Protein G purified
-
濃度:It differs from different batches. Please contact us to confirm it.
-
保存緩沖液:Preservative: 0.03% Proclin 300
Constituents: 50% Glycerol, 0.01M PBS, PH 7.4 -
產品提供形式:Liquid
-
應用范圍:ELISA, IHC
-
推薦稀釋比:
Application Recommended Dilution IHC 1:20-1:200 -
Protocols:
-
儲存條件:Upon receipt, store at -20°C or -80°C. Avoid repeated freeze.
-
貨期:Basically, we can dispatch the products out in 1-3 working days after receiving your orders. Delivery time maybe differs from different purchasing way or location, please kindly consult your local distributors for specific delivery time.
-
用途:For Research Use Only. Not for use in diagnostic or therapeutic procedures.
相關產品
靶點詳情
-
功能:Component of the transcription complexes of the pulmonary surfactant-associated protein-B (SFTPB) and -C (SFTPC). Enhances homeobox protein Nkx-2.1-activated SFTPB and SFTPC promoter activities.
-
亞細胞定位:Nucleus.
-
蛋白家族:TAP26 family
-
組織特異性:Ubiquitously expressed. In lung, expression is restricted to the alveolar epithelial cells.
-
數據庫鏈接:
Most popular with customers
-
-
YWHAB Recombinant Monoclonal Antibody
Applications: ELISA, WB, IHC, IF, FC
Species Reactivity: Human, Mouse, Rat
-
-
-
-
-
-















