CBX5 Antibody
-
中文名稱:CBX5兔多克隆抗體
-
貨號:CSB-PA004601HA01HU
-
規格:¥440
-
圖片:
-
Western blot
All lanes: CBX5 antibody at 9µg/ml
Lane 1: K562 whole cell lysate
Lane 2: MCF-7 whole cell lysate
Lane 3: 293T whole cell lysate
Lane 4: Hela whole cell lysate
Secondary
Goat polyclonal to rabbit IgG at 1/10000 dilution
Predicted band size: 23 kDa
Observed band size: 23 kDa -
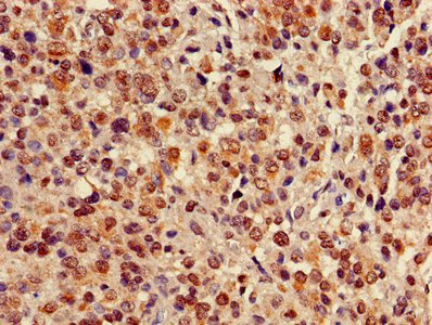
Immunohistochemistry of paraffin-embedded human brain tissue using CSB-PA004601HA01HU at dilution of 1:100
-
Immunohistochemistry of paraffin-embedded human glioma using CSB-PA004601HA01HU at dilution of 1:100
-
-
其他:
產品詳情
-
產品名稱:Rabbit anti-Homo sapiens (Human) CBX5 Polyclonal antibody
-
Uniprot No.:
-
基因名:CBX5
-
別名:Antigen p25 antibody; CBX5 antibody; CBX5_HUMAN antibody; CG8409 antibody; Chromobox 5 antibody; Chromobox homolog 5 (HP1 alpha homolog; Drosophila) antibody; Chromobox homolog 5 antibody; Chromobox protein homolog 5 antibody; Epididymis luminal protein 25 antibody; HEL25 antibody; Heterochromatin protein 1 alpha antibody; Heterochromatin protein 1 antibody; Heterochromatin protein 1 homolog alpha antibody; HP1 alpha antibody; HP1 alpha homolog antibody; HP1 antibody; HP1A antibody; HP1Hs alpha antibody; Su(var)205 antibody
-
宿主:Rabbit
-
反應種屬:Human
-
免疫原:Recombinant Human Chromobox protein homolog 5 protein (1-191AA)
-
免疫原種屬:Homo sapiens (Human)
-
標記方式:Non-conjugated
本頁面中的產品,CBX5 Antibody (CSB-PA004601HA01HU),的標記方式是Non-conjugated。對于CBX5 Antibody,我們還提供其他標記。見下表:
-
克隆類型:Polyclonal
-
抗體亞型:IgG
-
純化方式:>95%, Protein G purified
-
濃度:It differs from different batches. Please contact us to confirm it.
-
保存緩沖液:Preservative: 0.03% Proclin 300
Constituents: 50% Glycerol, 0.01M PBS, PH 7.4 -
產品提供形式:Liquid
-
應用范圍:ELISA, WB, IHC
-
推薦稀釋比:
Application Recommended Dilution WB 1:500-1:2000 IHC 1:20-1:200 -
Protocols:
-
儲存條件:Upon receipt, store at -20°C or -80°C. Avoid repeated freeze.
-
貨期:Basically, we can dispatch the products out in 1-3 working days after receiving your orders. Delivery time maybe differs from different purchasing way or location, please kindly consult your local distributors for specific delivery time.
-
用途:For Research Use Only. Not for use in diagnostic or therapeutic procedures.
相關產品
靶點詳情
-
功能:Component of heterochromatin that recognizes and binds histone H3 tails methylated at 'Lys-9' (H3K9me), leading to epigenetic repression. In contrast, it is excluded from chromatin when 'Tyr-41' of histone H3 is phosphorylated (H3Y41ph). Can interact with lamin-B receptor (LBR). This interaction can contribute to the association of the heterochromatin with the inner nuclear membrane. Involved in the formation of functional kinetochore through interaction with MIS12 complex proteins.
-
基因功能參考文獻:
- We have focused on interactions between HP1alpha and the chromosomal passenger complex (CPC) in mitosis and interphase. Our studies artificially tethering HP1alpha to centromeres revealed a robust interaction between this protein and the CPC. PMID: 29467217
- These data indicates that up-regulated HP1alpha, SUV39H1, and H3K9me3 in glioma cells are functionally associated with glioma pathogenesis and progression, and may serve as novel biomarkers for future diagnostic and therapeutic targeting of brain tumors. PMID: 28946550
- Data suggest that SUMOylated heterochromatin protein 1-alpha (HP1alpha)alpha is a critical epigenetic-regulator of DNA-repair in breast cancer (BCa) that could define chemotherapy responsiveness. PMID: 27107417
- findings suggest that heterochromatin-mediated gene silencing may occur in part through sequestration of compacted chromatin in phase-separated HP1 droplets, which are dissolved or formed by specific ligands on the basis of nuclear context PMID: 28636604
- Data show that SALL4 promotes the expression of Glut1 and open chromatin through a HP1alpha-dependent mechanism. PMID: 28759035
- These data suggests that up-regulated HP1A and H3K9me3 in glioma cells are functionally associated with glioma pathogenesis and progression. PMID: 28623138
- Loss of HP1alpha and gamma isoforms inhibits the upregulation of Suv39h1 and H3K9me3 that is observed under stress conditions. PMID: 28059589
- we showed the essential role of HP1 in regulating HR through BRCA1/BARD1-mediated accumulation of FANCJ and CtIP at DSB sites. This mechanism may affect tumorigenesis and chemosensitivity and is thus of high clinical significance. PMID: 27399284
- the dynamic string-like behavior of HP1alpha's N-terminal tail underlies the enhancement in H3 binding due to phosphorylation. PMID: 26934956
- We demonstrate that an hnRNPA1 and CBX5 bi-directional core promoter fragment does not comprise intrinsic capacity for specific CBX5 down-regulation in metastatic cells PMID: 26791953
- HP1alpha plays an important role in the differentiation and angiogenic function of Endothelial Progenitor Cells. PMID: 25588582
- Jra recruits the HP1a/KDM4A complex to its gene body region upon osmotic stress to reduce H3K36 methylation levels and disrupt H3K36 methylation-dependent histone deacetylation PMID: 25945750
- HP1 regulates this gene's alternative splicing in a methylation-dependent manner by recruiting splicing factors to its methylated form. PMID: 25704815
- PIP5K1A modulates ribosomal RNA gene silencing through its interaction with histone H3 lysine 9 trimethylation and heterochromatin protein HP1-alpha. PMID: 26157143
- Paternal heterochromatin formation in human embryos is H3K9/HP1 directed and primed by sperm-derived histone modifications. PMID: 25519718
- The results suggested that HP1 phosphorylation has an evolutionarily conserved role in HP1's recognition of H3K9me-marked nucleosomes. PMID: 25332400
- Heterochromatin protein 1 (HP1) is an evolutionarily conserved chromosomal protein that binds lysine 9-methylated histone H3 (H3K9me), a hallmark of heterochromatin, and plays a crucial role in forming higher-order chromatin structures. PMID: 24825911
- CRL4B promotes tumorigenesis by coordinating with SUV39H1/HP1/DNMT3A in DNA methylation-based epigenetic silencing PMID: 24292684
- RAD6 physically interacts with heterochromatin protein 1alpha and ubiquitinates HP1alpha at residue K154, thereby promoting heterochromatin protein 1alpha degradation through the autophagy pathway PMID: 25384975
- These findings reveal a previously unrecognized but direct link between HP1 and CPC localization in the centromere and illustrate the critical role of borealin-HP1 interaction in orchestrating an accurate cell division. PMID: 24917673
- Spatiotemporal dynamics of HP1A localization to centromere is governed by two distinct structural determinants. PMID: 25104354
- The phosphorylation-dephosphorylation cycle of HP1alpha orchestrates accurate progression of cells through mitosis. PMID: 24786771
- Binding of HP1alpha, HP1beta, and HP1gamma to the globular domain of histone H3 is differentially regulated by phosphorylation of residues H3T45 and H3S57. PMID: 24820035
- CTCF may regulate vigilin behavior and thus indirectly influence the binding of HP1alpha to the satellite 2 locus. PMID: 24561205
- these findings demonstrate that HP1(Hsalpha)-nucleosome interactions cause chromatin condensation, a process that regulates many chromosome events. PMID: 24415761
- HP1alpha mutation W174A, which disrupts interactions with proteins containing the PxVxL motif did not affect interactions with the BZip protein. The HP1alpha W41A mutation, which prevents binding to methylated histones, exhibited greatly reduced FRET efficiency. PMID: 23392382
- HP-1alpha/beta may be useful in the differential diagnosis of renal tumors, especially in the differentiation of chromophobe RCC and oncocytoma PMID: 23142018
- We have identified CBX5 as a potential target regulating lung cancer survivals and the stem-like properties of lung CD133+- tumor stem-like cells (TSLCs). PMID: 22900142
- The hinge region (HR) connecting the CD and C-terminal chromoshadow domain (CSD), and the CSD contributed to the selective binding of HP1alpha to histone H3 with trimethylated lysine 9 through weak DNA binding and by suppressing the DNA binding, respectively. PMID: 23142645
- HP1-alpha and PADI4 are regulators of both immune genes and HERVs, and that multiple events of transcriptional reactivation in Multiple Sclerosis patients can be explained by the deficiency of a single mechanism of gene silencing. PMID: 23028349
- Downregulation of the telomeric noncoding RNA requires SUV39H1 and HP1A. PMID: 22922742
- These studies reveal a novel role for HP1 as a cofactor in tumor suppression, expand our mechanistic understanding of a KLF associated to human disease. PMID: 22318730
- HP1 increases the chromatin association of VHL. PMID: 22234250
- The finding that HP1 alpha is down-regulated primarily at the transcriptional level provides a new insight for the further elucidation of the detailed molecular mechanisms causing the HP1 alpha down-regulation in invasive breast cancer cells. PMID: 21374739
- A link between mutant codanin-1 and the aberrant localization of HP1 alpha is supported by the finding that codanin-1 can be coimmunoprecipitated by anti-HP1 alpha antibodies erythroblasts from patients with congenital dyserythropoietic anemia type 1. PMID: 21364188
- HP1alpha binding by INCENP or Shugoshin 1 (Sgo1) is dispensable for centromeric cohesion protection during mitosis of human cells, but might regulate yet unknown interphase functions of the chromosome passenger complex (CPC) or Sgo1 at the centromeres. PMID: 21346195
- Recent findings and controversies concerning HP1 functions in mammalian cells in comparison to studies in other organisms, are reviewed. PMID: 20421743
- ATRX185 is required for HP1a deposition in pericentric beta-heterochromatin of the X chromosome PMID: 20154359
- The assembly of HP1 in the inner centromere and the localization of hMis14 at the kinetochore are mutually dependent in human chromosomes. PMID: 20231385
- data suggest that HP1 chromoshadow-domains can benefit from the opening of nucleosomal structures to bind chromatin and that HP1 proteins use this property to detect and arrest unwanted chromatin remodeling PMID: 20011120
- HP1alpha expression regulation is dependent on cell proliferation. PMID: 20049717
- Heterochromatin protein 1 is extensively decorated with histone code-like post-translational modifications PMID: 19567367
- reduction of YY1 expression in breast cancer cells could contribute to the acquisition of an invasive phenotype through increased cell migration as well as by reduced expression of HP1alpha PMID: 19566924
- These results suggested that, although the majority of HP1alpha diffuses into the cytoplasm, some populations are retained in the centromeric region and involved in the association and segregation of sister kinetochores during mitosis. PMID: 11942629
- identification of three amino acid residues I113, A114 and C133 in HP1alpha that are essential for the selective interaction of HP1alpha with BRG1 PMID: 12411497
- developmentally regulated ARL5, with its distinctive nuclear/nucleolar localization and interaction with HP1alpha, may play a role(s) in nuclear dynamics and/or signaling cascades during embryonic development PMID: 12414990
- histone H3 methylase Suv39h1 and the methyl lysine-binding protein HP1alpha directly interact with MBD of MBD1 in vitro and in cells PMID: 12711603
- HP1 has a role in the recruitment but not in the stable association of Orc1p with heterochromatin PMID: 15454574
- HP1alpha recruits endogenous HP1beta to the chromatin and this induces heterochromatin formation and enhanced histone lysine methylation. PMID: 15899859
- Results describe the predominant nuclear localization of another Arp subfamily, Arp6, in vertebrate cells, and show its colocalization with heterochromatin protein 1 orthologs in pericentric heterochromatin. PMID: 16487625
顯示更多
收起更多
-
亞細胞定位:Nucleus. Chromosome. Chromosome, centromere.
-
數據庫鏈接:
Most popular with customers
-
-
YWHAB Recombinant Monoclonal Antibody
Applications: ELISA, WB, IHC, IF, FC
Species Reactivity: Human, Mouse, Rat
-
Phospho-YAP1 (S127) Recombinant Monoclonal Antibody
Applications: ELISA, WB, IHC
Species Reactivity: Human
-
-
-
-
-















