CBR1 Antibody
-
中文名稱:CBR1兔多克隆抗體
-
貨號:CSB-PA016670
-
規格:¥1100
-
圖片:
-
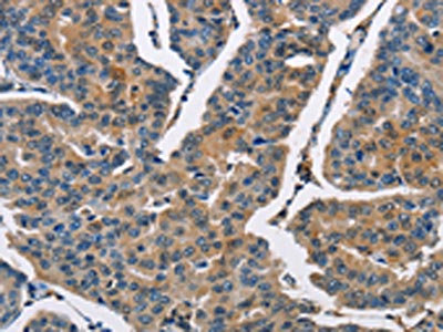
The image on the left is immunohistochemistry of paraffin-embedded Human breast cancer tissue using CSB-PA016670(CBR1 Antibody) at dilution 1/40, on the right is treated with fusion protein. (Original magnification: ×200)
-
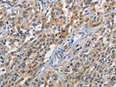
The image on the left is immunohistochemistry of paraffin-embedded Human esophagus cancer tissue using CSB-PA016670(CBR1 Antibody) at dilution 1/40, on the right is treated with fusion protein. (Original magnification: ×200)
-
Gel: 15%SDS-PAGE, Lysate: 40 μg, Lane 1-5: Mouse liver tissue, human fetal lung tissue, hela cells, mouse kidney tissue, human brain malignant glioma tissue, Primary antibody: CSB-PA016670(CBR1 Antibody) at dilution 1/900, Secondary antibody: Goat anti rabbit IgG at 1/8000 dilution, Exposure time: 10 seconds
-
-
其他:
產品詳情
-
Uniprot No.:
-
基因名:CBR1
-
別名:15 hydroxyprostaglandin dehydrogenase [NADP+] antibody; 15-hydroxyprostaglandin dehydrogenase [NADP+] antibody; Carbonyl reductase [NADPH] 1 antibody; Carbonyl Reductase 1 antibody; CBR 1 antibody; CBR1 antibody; CBR1_HUMAN antibody; CRN antibody; NADPH dependent carbonyl reductase 1 antibody; NADPH-dependent carbonyl reductase 1 antibody; Prostaglandin 9 ketoreductase antibody; Prostaglandin 9-ketoreductase antibody; Prostaglandin E(2) 9 reductase antibody; Prostaglandin-E(2) 9-reductase antibody; SDR21C1 antibody
-
宿主:Rabbit
-
反應種屬:Human,Mouse,Rat
-
免疫原:Fusion protein of Human CBR1
-
免疫原種屬:Homo sapiens (Human)
-
標記方式:Non-conjugated
-
抗體亞型:IgG
-
純化方式:Antigen affinity purification
-
濃度:It differs from different batches. Please contact us to confirm it.
-
保存緩沖液:-20°C, pH7.4 PBS, 0.05% NaN3, 40% Glycerol
-
產品提供形式:Liquid
-
應用范圍:ELISA,WB,IHC
-
推薦稀釋比:
Application Recommended Dilution ELISA 1:2000-1:10000 WB 1:1000-1:5000 IHC 1:50-1:200 -
Protocols:
-
儲存條件:Upon receipt, store at -20°C or -80°C. Avoid repeated freeze.
-
貨期:Basically, we can dispatch the products out in 1-3 working days after receiving your orders. Delivery time maybe differs from different purchasing way or location, please kindly consult your local distributors for specific delivery time.
-
用途:For Research Use Only. Not for use in diagnostic or therapeutic procedures.
相關產品
靶點詳情
-
功能:NADPH-dependent reductase with broad substrate specificity. Catalyzes the reduction of a wide variety of carbonyl compounds including quinones, prostaglandins, menadione, plus various xenobiotics. Catalyzes the reduction of the antitumor anthracyclines doxorubicin and daunorubicin to the cardiotoxic compounds doxorubicinol and daunorubicinol. Can convert prostaglandin E to prostaglandin F2-alpha. Can bind glutathione, which explains its higher affinity for glutathione-conjugated substrates. Catalyzes the reduction of S-nitrosoglutathione.
-
基因功能參考文獻:
- This study examined the impact of the functional single nucleotide polymorphism CBR1 rs9024 on the bioactivation of loxoprofen in a collection of human liver samples and tumor cell lines. PMID: 29851133
- CRB1 is an efficient catalyst for the reduction of glutathionylated aldehydes derived from lipid peroxidation. PMID: 27562619
- The ability of human carbonyl reductase 1 to efficiently catalyze the reduction of glutathionylated aldehydes derived from lipid peroxidation, that in the case of glutathionylated-4-hydroxyalkanals is associated to the ability to oxidize the hemiacetal hydroxyl group PMID: 28274719
- Data suggest that fatty acids and acyl-CoAs bind competitively with respect to substrate binding to carbonyl reductase 1 (CBR1), an enzyme involved in first-pass drug metabolism in intestinal mucosa; inhibition of CBR1 by these products of digestion may lead to food-drug interactions. PMID: 28450226
- AKR1C3 is the primary enzyme and CBR1 is a minor enzyme responsible for warfarin reduction in human liver cytosol. PMID: 27055738
- These results suggest that CR1 induces apoptosis by activating the caspase pathway via binding to TNFR1. PMID: 26499922
- Results demonstrate a trend toward decreased functional expression of selective hepatic reductases in ESRD livers. PMID: 26282591
- Critical insights into the substrate selectivity of hCBR1 and the interaction between hCBR1 and glutathione. PMID: 26381805
- Up-Regulation of Carbonyl Reductase 1 Renders Development of Doxorubicin Resistance in Human Gastrointestinal Cancers PMID: 26328486
- CBR1 decreases promoted tumor proliferation and growth as well as invasion and metastasis; CBR1 has potential to become a new candidate for molecular targeting therapy. PMID: 25572536
- Inhibition of CBR1 may increase the efficacy of daunorubicin in cancer tissue. PMID: 25541467
- Protein products of AKR1C1, AKR1C2, AKR7A3, CYP3A4, and carbonyl reductase (CBR1) were found in tumors and those of AKR1C1, AKR7A3, and CBR1 correlated with their transcript levels. PMID: 25526449
- we suggest that PEP-1-CBR1 protein may be a therapeutic agent for the treatment of ischemic injuries as well as oxidative-stress-induced cell damage and death. PMID: 24440593
- The stimulatory effect of cortisol on CBR1 expression may partly explain the concurrent increases of cortisol and prostaglandin PGF2alpha in human amnion tissue prior to the onset of labor PMID: 24654784
- Nrf2 is a novel transcriptional regulator of CBR1 genes in humans. PMID: 23247010
- GSNO-induced covalent modification of cysteine residues affects the kinetic mechanism of CBR1. PMID: 23295225
- regulation of human CBR1 expression by hsa-miR-574-5p and hsa-miR-921 depends upon rs9024 genotype status PMID: 23133646
- This pilot study suggests that CBR1 RNA expression may be helpful in identifying AML patients at risk of developing resistance or toxicity to daunorubicin due to increased formation of daunorubicinol. PMID: 22562609
- CBR1 regulates cancer cell invasion in endometrial adenocarcinomas by regulating the epithelial mesenchymal transition PMID: 22542806
- Polymorphisms in CBR1 gene did not increase risk of cardiomyopathy after anthracycline treatment of childhood cancers. PMID: 22124095
- a physiological role of CBR1, but not for CBR3, in S-nitrosoglutathione reduction and thus ultimately in regulation of NO signaling PMID: 21256830
- This protein has been found differentially expressed in thalami from patients with schizophrenia. PMID: 20471030
- analysis of the structural basis for substrate specificity in human monomeric carbonyl reductases CBR1 PMID: 19841672
- the functional genetic determinant of CBR1 activity toward relevant physiological and pharmacological substrates PMID: 17344335
- The functional characterization of the promoter of CBR1 is reported. PMID: 17569794
- Carbonyl reductase-1 (CBR1), microsomal prostaglandin E synthase-1 and 2 (mPGES-1, mPGES-2), cytosolic prostaglandin E synthase (cPGES), aldoketoreductase (AKR1C1) and prostaglandin F synthase (AKR1C3) were all expressed in hair follicles. PMID: 17697149
- These results suggested that hCBR3 and hCBR1 play distinct physiological roles. PMID: 18493841
- Human carbonyl reductase 1 is an S-nitrosoglutathione reductase PMID: 18826943
- CBR1 polymorphisms have a significant influence on the pharmacokinetics of doxorubicin in Asian breast cancer patients. PMID: 19016765
- the nonsynonymous single nucleotide polymorphisms generating mutations OF CBR1 may alter bioavailability of anthracyclines in cancer patients PMID: 19204081
顯示更多
收起更多
-
亞細胞定位:Cytoplasm.
-
蛋白家族:Short-chain dehydrogenases/reductases (SDR) family
-
組織特異性:Expressed in kidney (at protein level).
-
數據庫鏈接:
Most popular with customers
-
-
YWHAB Recombinant Monoclonal Antibody
Applications: ELISA, WB, IHC, IF, FC
Species Reactivity: Human, Mouse, Rat
-
-
-
-
-
-















