CASQ2 Antibody
-
中文名稱:CASQ2兔多克隆抗體
-
貨號:CSB-PA060691
-
規格:¥1100
-
圖片:
-
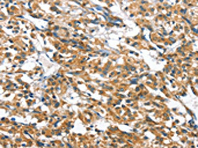
The image on the left is immunohistochemistry of paraffin-embedded Human thyroid cancer tissue using CSB-PA060691(CASQ2 Antibody) at dilution 1/30, on the right is treated with fusion protein. (Original magnification: ×200)
-
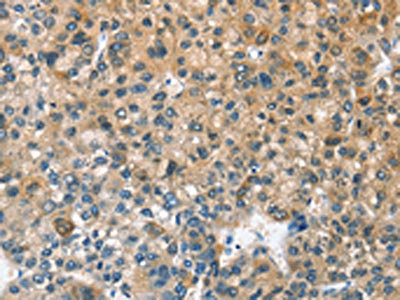
The image on the left is immunohistochemistry of paraffin-embedded Human liver cancer tissue using CSB-PA060691(CASQ2 Antibody) at dilution 1/30, on the right is treated with fusion protein. (Original magnification: ×200)
-
-
其他:
產品詳情
-
Uniprot No.:
-
基因名:CASQ2
-
別名:AA033488 antibody; AW146219 antibody; Calsequestrin 2 (cardiac muscle) antibody; Calsequestrin 2 fast twitch cardiac muscle antibody; Calsequestrin antibody; Calsequestrin cardiac muscle isoform antibody; Calsequestrin fast twitch cardiac muscle antibody; Calsequestrin-2 antibody; Calsequestrin2 antibody; cardCSQ antibody; Cardiac calsequestrin 2 antibody; cardiac muscle isoform antibody; CASQ 2 antibody; CASQ2 antibody; CASQ2_HUMAN antibody; cCSQ antibody; ESTM52 antibody; FLJ26321 antibody; FLJ93514 antibody; PDIB2 antibody
-
宿主:Rabbit
-
反應種屬:Human,Mouse,Rat
-
免疫原:Fusion protein of Human CASQ2
-
免疫原種屬:Homo sapiens (Human)
-
標記方式:Non-conjugated
-
抗體亞型:IgG
-
純化方式:Antigen affinity purification
-
濃度:It differs from different batches. Please contact us to confirm it.
-
保存緩沖液:-20°C, pH7.4 PBS, 0.05% NaN3, 40% Glycerol
-
產品提供形式:Liquid
-
應用范圍:ELISA,IHC
-
推薦稀釋比:
Application Recommended Dilution ELISA 1:2000-1:5000 IHC 1:25-1:100 -
Protocols:
-
儲存條件:Upon receipt, store at -20°C or -80°C. Avoid repeated freeze.
-
貨期:Basically, we can dispatch the products out in 1-3 working days after receiving your orders. Delivery time maybe differs from different purchasing way or location, please kindly consult your local distributors for specific delivery time.
-
用途:For Research Use Only. Not for use in diagnostic or therapeutic procedures.
相關產品
靶點詳情
-
功能:Calsequestrin is a high-capacity, moderate affinity, calcium-binding protein and thus acts as an internal calcium store in muscle. Calcium ions are bound by clusters of acidic residues at the protein surface, especially at the interface between subunits. Can bind around 60 Ca(2+) ions. Regulates the release of lumenal Ca(2+) via the calcium release channel RYR2; this plays an important role in triggering muscle contraction. Plays a role in excitation-contraction coupling in the heart and in regulating the rate of heart beats.
-
基因功能參考文獻:
- We show for the first time a heterozygous CASQ2 variant causing autosomal dominant CPVT in a large family with a severe phenotype. PMID: 27157848
- a direct interaction exists between RyR2 and CSQ2, is reported. PMID: 27609834
- induced Pluripotent Stem Cell-derived cardiomyocytes are useful for investigating the similarities/differences in the pathophysiological consequences of RyR2 versus CASQ2 mutations underlying Catecholaminergic polymorphic ventricular tachycardia. PMID: 26153920
- Mutations in the MYBPC3 and CASQ2 genes and six combinations between loci in the MYBPC3, MYH7 and CASQ2 genes were responsible for cardiomyopathy risk in a studied cohort. PMID: 25892673
- We observed association between a CASQ2 polymorphism and SCA due to VA in patients with CAD adjusting for CHF and independent associations between CASQ2 SNPs and CHF adjusting for SCA. PMID: 24444446
- Molecular analysis of the CASQ2 gene in 43 probands with Catecholaminergic polymorphic ventricular tachycardia were performed and eight mutations in five patients, were identified. PMID: 21618644
- Genetic background of catecholaminergic polymorphic ventricular tachycardia in Japan. PMID: 23595086
- In a consanguineous family, a novel homozygous CASQ2 mutation (p.L77P) was identified in a child with CPVT who required implantation of a cardioverter defibrillator due to episodes of syncope while on medical therapy PMID: 22650415
- A review of the physiology of Casq2 in cardiac Ca2+ handling and discuss pathophysiological mechanisms that lead to catecholaminergic polymorphic ventricular tachycardia caused by CASQ2 mutations. PMID: 22421959
- patients with CASQ2-associated CPVT should be recommended to receive ICDs to prevent sudden death when medical therapy is not effective. PMID: 22481011
- Aspartate to histidine casq2 mutation causes arrhythmia in cardiomyocytes generated from catecholaminergic polymorphic ventricular tachycardia patients. PMID: 22050625
- Ca(2+) and JNT-dependent disassembly of the CSQ2 polymer PMID: 22123818
- Two causative genes of CPVT have been identified: RYR2, encoding the cardiac ryanodine receptor (RyR2) Ca(2+) release channel, and CASQ2, encoding cardiac calsequestrin. Their mutation have been found in 60% of patients with CPVT. PMID: 21872879
- Common variations in or near CASQ2, GPD1L, and NOS1AP are associated with increased risk of sudden cardiac death in patients with coronary artery disease PMID: 21685173
- Studies identified two phosphorylation sites, Ser(385) and Ser(393 in hCASQ2 by mass-spectroscopy. PMID: 21416293
- Catecholaminergic polymorphic ventricular tachycardia (CPTV) mutations modify CASQ2 behaviour, including folding, aggregation/polymerization and selectivity towards Ca2+. PMID: 21265816
- up-regulation of casq2 gene in the thyroid of patients with Graves' Hyperthyroidism may lead to the production of autoantibodies and sensitized T-lymphocytes, which cross-react with calsequestrin of patients who develop ophthalmopathy. PMID: 20039900
- A regulatory role of CASQ2 on cytosolic Ca(2+) and hERG channels which may contribute to the etiology of CPVT. PMID: 21063088
- The human CASQ2 mutation K206N is associated with hyperglycosylation and altered cellular calcium handling. PMID: 20302875
- missense mutation in a highly conserved region of CASQ2 is associated with autosomal recessive catecholamine-induced polymorphic ventricular tachycardia in Bedouin families from Israel PMID: 11704930
- calsequestrin 2 mutations causes severe forms of catecholaminergic polymorphic ventricular tachycardia PMID: 12386154
- missense mutation in the CASQ2 gene is associated with autosomal-recessive CPVT(catecholamine-induced polymorphic ventricular tachycardia). PMID: 12732448
- A missense mutation in a highly conserved region of CASQ2 is associated with autosomal recessive catecholamine-induced polymorphic ventricular tachycardia in Bedouin families from Israel. PMID: 12858557
- Intracellular Ca2+ cycling in normal heart relies on intricate interplay of CASQ2 with proteins of RyR2 channel complex, and disruption of these interactions can lead to cardiac arrhythmia. PMID: 16601229
- CASQ2 mutations identified in polymorphic ventricular tachycardia create distinct abnormalities that lead to abnormal intracellular calcium regulation, thus facilitating the development of tachyarrhythmias. PMID: 16908766
- CSQ was a highly phosphorylated protein with a glycan structure predictive of ER-retained proteins. PMID: 17045261
- A variant was identified in CASQ2. PMID: 17655857
- Data show that all three CPVT-related missense mutations lead to significant reduction in Ca2+-binding capacity and scattering experiments confirm that the linear polymerization behavior of CSQ is linked directly to its high-capacity Ca2+ binding. PMID: 17881003
- analysis of how human and rat CASQ2 ventricular tachycardia-related mutations R33Q and L167H alter calcium sensitivity PMID: 18399795
- study concludes CASQ2 in the sarcoplasmic reticulum (SR )determines magnitude & duration of Ca release from each SR terminal; 2 CPVT-inducing CASQ2 mutations lead to increased diastolic SR Ca release events and exhibit a similar CPVT disease phenotype PMID: 18469084
- A novel mutation of F189L in the CASQ2 gene was identified in families with catecholaminergic polymorphic ventricular tachycardia. PMID: 18543230
- REVIEW of Casq2 mutations that cause catecholaminergic polymorphic ventricular tachycardia and their effects on Casq2 function and Ca handling PMID: 18669926
- Facilitated maturation of Ca2+ handling properties of human embryonic stem cell-derived cardiomyocytes by calsequestrin expression. PMID: 19357236
- Data suggest that calsequestrin (CSQ)2 facilitates Ca(2+) release through RyR2 during systole, while CSQ1 curtails RyR1 opening to maintain Ca(2+) and allow repeated release/ graded activation with increased stimulation frequency. PMID: 19376574
- Cardiac and fatal or near-fatal events were not rare in both catecholaminergic polymorphic ventricular tachycardia RYR2 and a CASQ2 mutation probands and affected family members during the long-term follow-up PMID: 19398665
顯示更多
收起更多
-
相關疾病:Ventricular tachycardia, catecholaminergic polymorphic, 2 (CPVT2)
-
亞細胞定位:Sarcoplasmic reticulum lumen.
-
蛋白家族:Calsequestrin family
-
數據庫鏈接:
Most popular with customers
-
-
YWHAB Recombinant Monoclonal Antibody
Applications: ELISA, WB, IHC, IF, FC
Species Reactivity: Human, Mouse, Rat
-
Phospho-YAP1 (S127) Recombinant Monoclonal Antibody
Applications: ELISA, WB, IHC
Species Reactivity: Human
-
-
-
-
-















