CARD11 Antibody
-
中文名稱:CARD11兔多克隆抗體
-
貨號:CSB-PA555338
-
規格:¥1100
-
圖片:
-
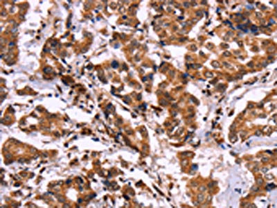
The image on the left is immunohistochemistry of paraffin-embedded Human breast cancer tissue using CSB-PA555338(CARD11 Antibody) at dilution 1/40, on the right is treated with fusion protein. (Original magnification: ×200)
-
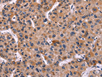
The image on the left is immunohistochemistry of paraffin-embedded Human liver cancer tissue using CSB-PA555338(CARD11 Antibody) at dilution 1/40, on the right is treated with fusion protein. (Original magnification: ×200)
-
-
其他:
產品詳情
-
Uniprot No.:
-
基因名:
-
別名:0610008L17Rik antibody; 2410011D02Rik antibody; Bcl10 interacting maguk protein 3 antibody; BIMP 3 antibody; BIMP3 antibody; CAR11_HUMAN antibody; CARD 11 antibody; CARD containing MAGUK protein 3 antibody; Card maguk protein 1 antibody; CARD-containing MAGUK protein 1 antibody; CARD11 antibody; CARD11 protein antibody; Carma 1 antibody; CARMA1 antibody; Caspase recruitment domain containing protein 11 antibody; Caspase recruitment domain family member 11 antibody; Caspase recruitment domain-containing protein 11 antibody; MGC133069 antibody
-
宿主:Rabbit
-
反應種屬:Human,Mouse
-
免疫原:Fusion protein of Human CARD11
-
免疫原種屬:Homo sapiens (Human)
-
標記方式:Non-conjugated
-
抗體亞型:IgG
-
純化方式:Antigen affinity purification
-
濃度:It differs from different batches. Please contact us to confirm it.
-
保存緩沖液:-20°C, pH7.4 PBS, 0.05% NaN3, 40% Glycerol
-
產品提供形式:Liquid
-
應用范圍:ELISA,IHC
-
推薦稀釋比:
Application Recommended Dilution ELISA 1:2000-1:5000 IHC 1:50-1:200 -
Protocols:
-
儲存條件:Upon receipt, store at -20°C or -80°C. Avoid repeated freeze.
-
貨期:Basically, we can dispatch the products out in 1-3 working days after receiving your orders. Delivery time maybe differs from different purchasing way or location, please kindly consult your local distributors for specific delivery time.
-
用途:For Research Use Only. Not for use in diagnostic or therapeutic procedures.
相關產品
靶點詳情
-
功能:Adapter protein that plays a key role in adaptive immune response by transducing the activation of NF-kappa-B downstream of T-cell receptor (TCR) and B-cell receptor (BCR) engagement. Transduces signals downstream TCR or BCR activation via the formation of a multiprotein complex together with BCL10 and MALT1 that induces NF-kappa-B and MAP kinase p38 (MAPK11, MAPK12, MAPK13 and/or MAPK14) pathways. Upon activation in response to TCR or BCR triggering, CARD11 homooligomerizes to form a nucleating helical template that recruits BCL10 via CARD-CARD interaction, thereby promoting polymerization of BCL10 and subsequent recruitment of MALT1: this leads to I-kappa-B kinase (IKK) phosphorylation and degradation, and release of NF-kappa-B proteins for nuclear translocation. Its binding to DPP4 induces T-cell proliferation and NF-kappa-B activation in a T-cell receptor/CD3-dependent manner. Promotes linear ubiquitination of BCL10 by promoting the targeting of BCL10 to RNF31/HOIP. Stimulates the phosphorylation of BCL10. Also activates the TORC1 signaling pathway.
-
基因功能參考文獻:
- CARMA1 forms CARMA1-BCL10-MALT1-TRAF6 signalosome.CARMA1, the BCL10 nucleator, serves as a hub for formation of star-shaped filamentous networks of BCL10 and significantly decreases the lag period of BCL10 polymerization. PMID: 29382759
- study results suggest variations in the inflammasome, particularly in NLRP1 and CARD11, may be associated with chronic Chagas cardiomyopathy PMID: 29438387
- CARD11, a scaffold protein required for B-cell receptor (BCR)-induced NF-kappaB activation, was screened in an additional 173 MCL samples and mutations were observed in 5.5% of cases. PMID: 27224912
- CARMA1 may be aberrantly upregulated in T-ALL, leading to disease progression and migration of leukemic cells to the CNS PMID: 27698445
- findings indicate that a single hypomorphic mutation in CARD11 can cause potentially correctable cellular defects that lead to atopic dermatitis PMID: 28628108
- NF-kappaB and beta-catenin signaling by gain-of-function mutations in CARMA1 augments WNT stimulation and is required for regulating the expression of distinct NF-kappaB target genes to trigger cell-intrinsic and extrinsic processes that promote DLBCL lymphomagenesis PMID: 26776161
- CARD11 mutations are rare in patients with CD5+ DLBCL. PMID: 27915469
- results define molecular determinants that control the production of Lin(Ub)n-Bcl10, an important signaling intermediate in TCR and oncogenic CARD11 signaling. PMID: 27777308
- We evaluated the relationship between rs4722404 polymorphism in the CARD11 gene, and the risk and clinical features of psoriasis vulgaris in a southern Chinese Han cohort.We identified no association between the SNP and risk of psoriasis vulgaris. PMID: 27421022
- single amino acid oncogenic CARD11 mutations can perturb or bypass the action of redundant inhibitory REs to achieve the level of hyperactive CARD11 signaling required to support lymphoma growth. PMID: 26884334
- Cooperative Control of Caspase Recruitment Domain-containing Protein 11 (CARD11) Signaling by an Unusual Array of Redundant Repressive Elements. PMID: 26884335
- CARMA1- and MyD88-dependent activation of Jun/ATF-type AP-1 complexes is a hallmark of ABC diffuse large B-cell lymphomas. PMID: 26747248
- Data show that caspase recruitment domain-containing protein 11/B-cell CLL/lymphoma 10/mucosa-associated lymphoid tissue lymphoma translocation gene 1 signaling drives lymphoproliferation through NF-kappa B and c-Jun N-terminal kinase activation. PMID: 26668357
- CARD11-mediated alterations in NF-kappaB signaling may be an early event in the development of cutaneous squamous cell carcinoma PMID: 26212909
- Taken together, our data indicate that miR-539 is a novel regulator of migration and invasion in human thyroid cancer cells by targeting CARMA1. PMID: 26206083
- CARMA1 clustering through SH3-GUK domain interactions is required for its activation of NF-kappaB signalling PMID: 25602919
- Both carried homozygous germline mutations in CARD11 (p.Cys150*), impairing NF-kappaB signaling and IL-2 production PMID: 26289640
- Three patients have been described with mild B-cell lymphocytosis and a CARD11 C49Y missense mutation. PMID: 25930198
- Overexpression of CARMA-BCL10-MALT in T-ALL may contribute to the constitutive cleavage and inactivation of A20, which enhances NF-kappaB signaling and may be related to T-ALL pathogenesis. PMID: 25384343
- Data indicate that caspase recruitment domain family, member 11 protein CARD11 has complex 5'UTRs and is sensitive to eIF4A RNA helicase inhibition. PMID: 25320244
- Data indicate that caspase recruitment domain membrane-associated guanylate kinase protein 1 (CARMA1)-silenced cells K562/shCARMA 1-93 showed the greatest inhibition of CARMA 1 gene and protein expressions. PMID: 25001930
- CKIP-1 interacts with CARMA1 and has an inhibitory effect on PKCtheta;-CBM-NF-kappaB signaling. PMID: 24465689
- Data indicate that phosphorylation of Carma1 down-stream of TCR/CD28-dependent NF-kappaB induction is regulated in part by Akt. PMID: 24548923
- CARMA1 CARD was then purified to homogeneity and crystallized at 293 K. Finally, X-ray diffraction data were collected to a resolution of 3.2 A from a crystal belonging to space group P2(1)2(1)2(1) PMID: 23545653
- Combining crystallography, nuclear magnetic resonance, and electron microscopy, we reveal the structure of the Bcl10 CARD filament and the mode of interaction between CARMA1 and Bcl10 PMID: 24074955
- SMO activates trimeric G proteins and CARMA1-associated signaling complex, leading to NF-kappaB activation and results in diffuse large B-cell lymphoma. PMID: 23632891
- distinct CARMA1-dependent control of key cell cycle proteins in T cells is coordinated by ADAP PMID: 22411628
- In patients with CARD11 deficiency, the combination of impaired activation and especially upregulation of inducible T-cell costimulator on T cells. PMID: 23374270
- These data provide the first evidence that ubiquitination of CARMA1 by STUB1 promotes TCR-induced NF-kappaB signaling. PMID: 23322406
- CARD11 gain-of-function mutations selectively confer the ability to associate with Bcl10 and induce K63-linked ubiquitination of Bcl10. PMID: 23149938
- The incidence of CARD11 mutations was 10.7% in Middle Eastern diffuse large B-cell lymphoma. PMID: 22397314
- Findings show that regulation of CARD11 signaling is a critical switch governing the decision between death and proliferation in antigen-stimulated mature B cells. PMID: 23027925
- CARD11 mutations may predispose to B but not T lymphoid malignancy. PMID: 23129749
- The present study failed to find any mut-ation in MYD88, CARD11 or CD79B in ocular MALT lymphoma. PMID: 22808296
- PKCdelta is a negative regulator in T cell activation through inhibiting the assembly of CARMA1 signalosome. PMID: 22528498
- TLR-dependent TRAF6-MKK3-p38 MAPK signaling pathway synergizes with PKCtheta;-MEK-ERK signaling pathway. CARMA1 plays a crucial role in mediating this synergistic effect via TRAF6. PMID: 22303480
- In Jurkat cells, CARMA1 is required for induction of Th2 transcription factors, GATA3 and JunB, and controls IL-4, IL-5, and IL-10 production. PMID: 22371397
- expression of CARMA1 mRNA is likely associated with the expression of MUM1 and shows male predominance in diffuse large B cell lymphoma. PMID: 21569705
- A combination of in vitro and in vivo studies demonstrates that the CARMA1 transgene is required for optimal T cell responses to T cell receptor engagement and development of allergic airway inflammation, after activation of T cells in a murine model. PMID: 22075698
- genetic polymorphism is associated with common variable immunodeficiency PMID: 21905497
- Very low mutation frequency of exons 5-9 in the CARD11 gene from 186 adult acute leukemia and 31 multiple myeloma samples. PMID: 21176849
- PP2A-mediated dephosphorylation of Carma1 is a critical step to limit T-cell activation and effector cytokine production. PMID: 21157432
- CARM1 is transcriptional coactivators that deposit H3R17me2a and H4R3me2a marks, respectively. PMID: 21172665
- results establish a mechanism that explains how diffuse large B cell lymphoma-associated mutations in CARD11 can initiate spontaneous, receptor-independent activation of NF-kappaB PMID: 20799731
- The mutations of the oncogene CARD11 may contribute to NF-kappaB activation and thereby play a role in the pathogenesis of Primary CNS lymphoma. PMID: 20544211
- the ADAP CARMA1 binding site is required for IKK gamma ubiquitination; both TAK1 and CARMA1 binding sites are required for IkappaB alpha phosphorylation and degradation and NF-kappaB nuclear translocation PMID: 20164171
- CARMA1 is an essential signaling component that mediates TCR-induced NF-kappa B activation. PMID: 12154356
- CARMA1 is a critical lipid raft-associated regulator of TCR-induced NF-kappa B activation and CD28 costimulation-dependent Jnk activation. PMID: 12154360
- CARMA1 and CARMA3 bind to Ikappa kinase gamma-NFkappaB in B and T lymphocytes PMID: 15184390
- Phosphorylation of CARMA1 plays a critical role in T Cell receptor-mediated NF-kappaB activation. PMID: 16356856
顯示更多
收起更多
-
相關疾病:B-cell expansion with NFKB and T-cell anergy (BENTA); Immunodeficiency 11 A (IMD11A); Immunodeficiency 11B with atopic dermatitis (IMD11B)
-
亞細胞定位:Cytoplasm. Membrane raft.
-
組織特異性:Detected in adult peripheral blood leukocytes, thymus, spleen and liver. Also found in promyelocytic leukemia HL-60 cells, chronic myelogenous leukemia K-562 cells, Burkitt's lymphoma Raji cells and colorectal adenocarcinoma SW480 cells. Not detected in H
-
數據庫鏈接:
Most popular with customers
-
-
YWHAB Recombinant Monoclonal Antibody
Applications: ELISA, WB, IHC, IF, FC
Species Reactivity: Human, Mouse, Rat
-
Phospho-YAP1 (S127) Recombinant Monoclonal Antibody
Applications: ELISA, WB, IHC
Species Reactivity: Human
-
-
-
-
-















