CAPRIN2 Antibody
-
中文名稱:CAPRIN2兔多克隆抗體
-
貨號:CSB-PA740238OA01HU
-
規格:¥440
-
圖片:
-
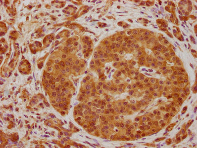
IHC image of CSB-PA740238OA01HU diluted at 1:100 and staining in paraffin-embedded human pancreatic cancer performed on a Leica BondTM system. After dewaxing and hydration, antigen retrieval was mediated by high pressure in a citrate buffer (pH 6.0). Section was blocked with 10% normal goat serum 30min at RT. Then primary antibody (1% BSA) was incubated at 4°C overnight. The primary is detected by a biotinylated secondary antibody and visualized using an HRP conjugated SP system.
-
Immunofluorescence staining of HepG2 cells with CSB-PA740238OA01HU at 1:50, counter-stained with DAPI. The cells were fixed in 4% formaldehyde, permeabilized using 0.2% Triton X-100 and blocked in 10% normal Goat Serum. The cells were then incubated with the antibody overnight at 4°C. The secondary antibody was Alexa Fluor 488-congugated AffiniPure Goat Anti-Rabbit IgG(H+L).
-
-
其他:
產品詳情
-
產品名稱:Rabbit anti-Homo sapiens (Human) CAPRIN2 Polyclonal antibody
-
Uniprot No.:
-
基因名:CAPRIN2
-
別名:C1q domain-containing protein 1 antibody; C1QDC1 antibody; CAPR2_HUMAN antibody; Caprin family member 2 antibody; Caprin-2 antibody; caprin2 antibody; Cytoplasmic activation/proliferation-associated protein 2 antibody; EEG 1 antibody; EEG1 antibody; Gastric cancer multidrug resistance-associated protein antibody; KIAA1873 antibody; Protein EEG-1 antibody; RNA granule protein 140 antibody; RNG140 antibody
-
宿主:Rabbit
-
反應種屬:Human
-
免疫原:Peptide sequence from Human Caprin-2 protein (83-100AA)
-
免疫原種屬:Homo sapiens (Human)
-
標記方式:Non-conjugated
本頁面中的產品,CAPRIN2 Antibody (CSB-PA740238OA01HU),的標記方式是Non-conjugated。對于CAPRIN2 Antibody,我們還提供其他標記。見下表:
-
克隆類型:Polyclonal
-
抗體亞型:IgG
-
純化方式:Antigen Affinity Purified
-
濃度:It differs from different batches. Please contact us to confirm it.
-
保存緩沖液:Preservative: 0.03% Proclin 300
Constituents: 50% Glycerol, 0.01M PBS, pH 7.4 -
產品提供形式:Liquid
-
應用范圍:ELISA, IHC, IF
-
推薦稀釋比:
Application Recommended Dilution IHC 1:20-1:200 IF 1:50-1:200 -
Protocols:
-
儲存條件:Upon receipt, store at -20°C or -80°C. Avoid repeated freeze.
-
貨期:Basically, we can dispatch the products out in 1-3 working days after receiving your orders. Delivery time maybe differs from different purchasing way or location, please kindly consult your local distributors for specific delivery time.
-
用途:For Research Use Only. Not for use in diagnostic or therapeutic procedures.
相關產品
靶點詳情
-
功能:Promotes phosphorylation of the Wnt coreceptor LRP6, leading to increased activity of the canonical Wnt signaling pathway. Facilitates constitutive LRP6 phosphorylation by CDK14/CCNY during G2/M stage of the cell cycle, which may potentiate cells for Wnt signaling. May regulate the transport and translation of mRNAs, modulating for instance the expression of proteins involved in synaptic plasticity in neurons. Involved in regulation of growth as erythroblasts shift from a highly proliferative state towards their terminal phase of differentiation. May be involved in apoptosis.
-
基因功能參考文獻:
- findings revealed an unrecognized role of Caprin-2 in facilitating LRP5/6 constitutive phosphorylation at G2/M through forming a quaternary complex with CDK14, Cyclin Y, and LRP5/6. PMID: 27821587
- Caprin-2 C1q-related domain forms a flexible homotrimer mediated by calcium, and this trimeric assembly is required for the functioning of caprin-2. PMID: 25331957
- regulated expression of EEG-1 is involved in the orchestrated regulation of growth that occurs as erythroblasts shift from a highly proliferative state toward their terminal phase of differentiation. PMID: 14593112
- Caprin-2 promotes activation of the canonical Wnt signaling pathway by regulating LRP5/6 phosphorylation. PMID: 18762581
-
亞細胞定位:[Isoform 1]: Cytoplasm.; [Isoform 2]: Mitochondrion. Cytoplasm. Note=Expressed throughout the cytoplasm.; [Isoform 5]: Mitochondrion. Note=Colocalizes with aggregated mitochondria.; Cell membrane; Peripheral membrane protein.
-
蛋白家族:Caprin family
-
組織特異性:Detected in all tissues tested with highest levels of expression in brain and spleen.
-
數據庫鏈接:
Most popular with customers
-
-
YWHAB Recombinant Monoclonal Antibody
Applications: ELISA, WB, IHC, IF, FC
Species Reactivity: Human, Mouse, Rat
-
Phospho-YAP1 (S127) Recombinant Monoclonal Antibody
Applications: ELISA, WB, IHC
Species Reactivity: Human
-
-
-
-
-















