CAPN7 Antibody
-
中文名稱:CAPN7兔多克隆抗體
-
貨號:CSB-PA346002
-
規格:¥1100
-
圖片:
-
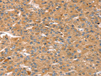
The image on the left is immunohistochemistry of paraffin-embedded Human liver cancer tissue using CSB-PA346002(CAPN7 Antibody) at dilution 1/20, on the right is treated with fusion protein. (Original magnification: ×200)
-
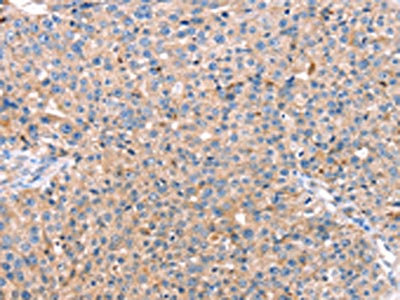
The image on the left is immunohistochemistry of paraffin-embedded Human breast cancer tissue using CSB-PA346002(CAPN7 Antibody) at dilution 1/20, on the right is treated with fusion protein. (Original magnification: ×200)
-
Gel: 6%SDS-PAGE, Lysate: 40 μg, Lane 1-3: Mouse heart tissue, HT29 cells, mouse liver tissue, Primary antibody: CSB-PA346002(CAPN7 Antibody) at dilution 1/300, Secondary antibody: Goat anti rabbit IgG at 1/8000 dilution, Exposure time: 1 second
-
-
其他:
產品詳情
-
Uniprot No.:
-
基因名:CAPN7
-
別名:CAPN7 antibody; PALBHCalpain-7 antibody; EC 3.4.22.- antibody; PalB homolog antibody; PalBH antibody
-
宿主:Rabbit
-
反應種屬:Human,Mouse
-
免疫原:Fusion protein of Human CAPN7
-
免疫原種屬:Homo sapiens (Human)
-
標記方式:Non-conjugated
-
抗體亞型:IgG
-
純化方式:Antigen affinity purification
-
濃度:It differs from different batches. Please contact us to confirm it.
-
保存緩沖液:-20°C, pH7.4 PBS, 0.05% NaN3, 40% Glycerol
-
產品提供形式:Liquid
-
應用范圍:ELISA,WB,IHC
-
推薦稀釋比:
Application Recommended Dilution ELISA 1:2000-1:5000 WB 1:500-1:2000 IHC 1:25-1:100 -
Protocols:
-
儲存條件:Upon receipt, store at -20°C or -80°C. Avoid repeated freeze.
-
貨期:Basically, we can dispatch the products out in 1-3 working days after receiving your orders. Delivery time maybe differs from different purchasing way or location, please kindly consult your local distributors for specific delivery time.
-
用途:For Research Use Only. Not for use in diagnostic or therapeutic procedures.
相關產品
靶點詳情
-
功能:Calcium-regulated non-lysosomal thiol-protease.
-
基因功能參考文獻:
- The proteolytic activity of CAPN7 is important for the acceleration of EGFR degradation via the endosomal sorting pathway. PMID: 24953135
- Data indicate that CAPN 7 promotes endometrial stromal cell (hESC) migration and invasion by increasing the activity of MMP-2 via an increased ratio of MMP-2 to TIMP-2. PMID: 23855590
- Mutational analysis of calpain-7 reveals the importance of not only the N-terminal microtubule-interacting and trafficking domains but also the C-terminal C2 domain-like domains for proteolytic activity. PMID: 23497113
- The detected enhancement of autolysis of mGFP-fused calpain-7 by coexpression with CHMP1B and observed further activation by additional coexpression of IST1 in HEK293T cells. PMID: 21616915
- Results demonstrate that human calpain 7 is proteolytically active, and imply that calpain 7 is activated by ESCRT-III-related protein IST1. PMID: 20849418
顯示更多
收起更多
-
亞細胞定位:Nucleus.
-
蛋白家族:Peptidase C2 family
-
組織特異性:Ubiquitous.
-
數據庫鏈接:
Most popular with customers
-
YWHAB Recombinant Monoclonal Antibody
Applications: ELISA, WB, IHC, IF, FC
Species Reactivity: Human, Mouse, Rat
-
Phospho-YAP1 (S127) Recombinant Monoclonal Antibody
Applications: ELISA, WB, IHC
Species Reactivity: Human
-
-
-
-
-
-















