CAMKK2 Antibody
-
中文名稱:CAMKK2兔多克隆抗體
-
貨號:CSB-PA822299LA01HU
-
規格:¥440
-
圖片:
-
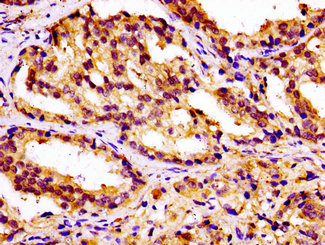
IHC image of CSB-PA822299LA01HU diluted at 1:100 and staining in paraffin-embedded human prostate cancer performed on a Leica BondTM system. After dewaxing and hydration, antigen retrieval was mediated by high pressure in a citrate buffer (pH 6.0). Section was blocked with 10% normal goat serum 30min at RT. Then primary antibody (1% BSA) was incubated at 4°C overnight. The primary is detected by a biotinylated secondary antibody and visualized using an HRP conjugated SP system.
-
-
其他:
產品詳情
-
產品名稱:Rabbit anti-Homo sapiens (Human) CAMKK2 Polyclonal antibody
-
Uniprot No.:
-
基因名:
-
別名:Calcium/calmodulin dependent protein kinase beta antibody; Calcium/calmodulin dependent protein kinase kinase 2 antibody; Calcium/calmodulin dependent protein kinase kinase 2 beta antibody; Calcium/calmodulin dependent protein kinase kinase beta antibody; Calcium/calmodulin-dependent protein kinase kinase 2 antibody; Calcium/calmodulin-dependent protein kinase kinase beta antibody; CaM kinase kinase beta antibody; CaM KK beta antibody; CaM-kinase kinase 2 antibody; CaM-kinase kinase beta antibody; CaM-KK 2 antibody; CaM-KK beta antibody; CaMKK 2 antibody; CAMKK antibody; CaMKK beta antibody; CAMKK beta protein antibody; Camkk2 antibody; CAMKKB antibody; KKCC2_HUMAN antibody
-
宿主:Rabbit
-
反應種屬:Human
-
免疫原:Recombinant Human Calcium/calmodulin-dependent protein kinase kinase 2 protein (5-148AA)
-
免疫原種屬:Homo sapiens (Human)
-
標記方式:Non-conjugated
本頁面中的產品,CAMKK2 Antibody (CSB-PA822299LA01HU),的標記方式是Non-conjugated。對于CAMKK2 Antibody,我們還提供其他標記。見下表:
-
克隆類型:Polyclonal
-
抗體亞型:IgG
-
純化方式:>95%, Protein G purified
-
濃度:It differs from different batches. Please contact us to confirm it.
-
保存緩沖液:Preservative: 0.03% Proclin 300
Constituents: 50% Glycerol, 0.01M PBS, pH 7.4 -
產品提供形式:Liquid
-
應用范圍:ELISA, IHC
-
推薦稀釋比:
Application Recommended Dilution IHC 1:20-1:200 -
Protocols:
-
儲存條件:Upon receipt, store at -20°C or -80°C. Avoid repeated freeze.
-
貨期:Basically, we can dispatch the products out in 1-3 working days after receiving your orders. Delivery time maybe differs from different purchasing way or location, please kindly consult your local distributors for specific delivery time.
-
用途:For Research Use Only. Not for use in diagnostic or therapeutic procedures.
相關產品
靶點詳情
-
功能:Calcium/calmodulin-dependent protein kinase belonging to a proposed calcium-triggered signaling cascade involved in a number of cellular processes. Isoform 1, isoform 2 and isoform 3 phosphorylate CAMK1 and CAMK4. Isoform 3 phosphorylates CAMK1D. Isoform 4, isoform 5 and isoform 6 lacking part of the calmodulin-binding domain are inactive. Efficiently phosphorylates 5'-AMP-activated protein kinase (AMPK) trimer, including that consisting of PRKAA1, PRKAB1 and PRKAG1. This phosphorylation is stimulated in response to Ca(2+) signals. Seems to be involved in hippocampal activation of CREB1. May play a role in neurite growth. Isoform 3 may promote neurite elongation, while isoform 1 may promoter neurite branching.
-
基因功能參考文獻:
- Silencing of TRPC5 and inhibition of autophagy reverses adriamycin drug resistance in breast carcinoma via CaMKKbeta/AMPKalpha/mTOR pathway. PMID: 28600513
- results demonstrated that SSd induces autophagy through the CaMKKbeta-AMPK-mTOR signalling pathway in Autosomal dominant polycystic kidney disease (ADPKD) cells, indicating that SSd might be a potential therapy for ADPKD and that SERCA might be a new target for ADPKD treatment. PMID: 29675630
- Three single nucleotide polymorphisms (SNPs) within P2X4R and two SNPs within CAMKK2 influenced concentrations of TNFalpha in peripheral blood mononuclear cells, but these SNP did not associate with risk for HIV-associated sensory neuropathy in South Africans. PMID: 29428485
- Serum CAMKK2 was downregulated in female schizophrenic patients compared with female healthy individuals. PMID: 29992499
- This study provides insight into functionally disruptive, rare-variant mutations in human CaMKK2, which have the potential to influence risk and burden of disease associated with aberrant CaMKK2 activity in human populations carrying these variants. PMID: 28230171
- 14-3-3gamma protein directly interacts with the kinase domain of CaMKK2 and the region containing the inhibitory phosphorylation site Thr(145) within the N-terminal extension. CaMKK isoforms differ in their 14-3-3-mediated regulations and the interaction between 14-3-3 protein and the N-terminal 14-3-3-binding motif of CaMKK2 might be stabilized by small-molecule compounds. PMID: 29649512
- CAMKK2 exhibited the strongest associations with HIV-associated sensory neuropathy (HIV-SN), with two SNPs and six haplotypes predicting SN status in black Southern Africans. PMID: 26785644
- Study used three cognitive tasks and fMRI to provide convergent evidence of a link between the rs1063843 SNP of CAMKK2 and the function of the dorsolateral prefrontal cortex. In addition, this polymorphism was associated with the function of the striatum during a working memory task. PMID: 27004598
- Data suggest that CAMKK2 is highly expressed in high-grade ovarian cancer and ovarian cancer cell lines; CAMKK2 directly activates Akt1 by phosphorylation at Thr-308 in a Ca2+/calmodulin-dependent manner; CAMKK2 knockdown or inhibition decreases Akt1 phosphorylation at Thr-308 and Ser-473. (CAMKK2 = calcium/calmodulin dependent protein kinase kinase 2; AKT1 = AKT serine/threonine kinase 1) PMID: 28634229
- Single nucleotide polymorphism in CAMKK2 gene is associated with pulmonary non-tuberculous mycobacterial disease. PMID: 28233049
- This study showed that the expression level of CAMKK2 could be regulated by promoter methylation. CAMKK2 serves as a prognostic marker in gliomas and could be a potential therapeutic target in gliomas. PMID: 27012733
- For the first time, we showed that rs1063843, a single nucleotide polymorphism located in the CAMKK2 gene, is highly associated with bipolar disorder PMID: 26354101
- Site-directed mutagenesis analysis revealed that Leu(358) in CaMKKbeta/Ile(322) in CaMKKalpha confer, at least in part, a distinct recognition of AMPK but not of CaMKIalpha. PMID: 27151216
- Clopidogrel diminishes TNFalpha-stimulated VCAM-1 expression at least in part via HO-1 induction and CaMKKbeta/AMPK/Nrf2 pathway in endothelial cells. PMID: 26824050
- CaMKK2 (and Nup62) are required for optimal androgen receptor transcriptional activity in castrate resistant prostate cancer cells. PMID: 26552607
- Silencing of CAMKK2 using siRNA significantly reduced cell proliferation, colony formation and invasion of gastric cancer cells. PMID: 25756516
- CaMKKbeta-AMPKalpha2 signaling contributes to mitotic Golgi fragmentation and the G2/M transition in mammalian cells. PMID: 25590814
- CAMKK2 protein is highly up regulated in hepatocellular carcinoma. PMID: 25847065
- CaMKK2 plays a pivotal role in the calcium signaling cascade regulating adrenal aldosterone production. PMID: 25679868
- PCa patients with miR-224-low/CAMKK2-high expression more frequently had shorter overall survival. PMID: 25394900
- evidence supports that CAMKK2 is a novel schizophrenia susceptibility gene. PMID: 23958956
- CaMKIIalpha phosphorylation was enhanced by S-Allyl cysteine treatment in a concentration- and time-dependent manner, which paralleled AMPK activation. PMID: 23465592
- Pulsatile shear stress mimicking atheroprotective flow increases the level of sirtuin (SIRT)1 in cultured endothelial cells by enhancing its stability, an effect abolished by inhibition or knockdown of CaMKKbeta. PMID: 23754392
- CaMKKbeta is involved in AMP-activated protein kinase activation by baicalin in LKB1 deficient cell lines. PMID: 23110126
- amino acid starvation regulates autophagy in part through an increase in cellular Ca(2+) that activates a CaMKK-beta-AMPK pathway and inhibits mTORC1, which results in ULK1 stimulation PMID: 23027865
- Calcium/calmodulin-dependent protein kinase kinase 2 has roles in signaling and pathophysiology [review] PMID: 22778263
- Results suggest that in PCa progression, CaMKK2 and the AR are in a feedback loop in which CaMKK2 is induced by the AR to maintain AR activity, AR-dependent cell cycle control, and continued cell proliferation. PMID: 22654108
- Data show that protein kinase A (PKA) regulates the alternative splicing of Ca(2)/calmodulin-dependent protein kinase kinase 2 (CaMKK2) to produce variants that differentially modulate neuronal differentiation. PMID: 21957496
- phosphorylation of CaMKKbeta regulates its half-life. PMID: 21669867
- Our results demonstrate that CaMKKbeta and AMP-activated protein kinase form a unique signaling complex PMID: 21807092
- Findings reveal that hypoxia can trigger AMPK activation in the apparent absence of increased [AMP] through ROS-dependent CRAC channel activation, leading to increases in cytosolic calcium that activate the AMPK upstream kinase CaMKKbeta. PMID: 21670147
- These results suggest that CaMKK is an important factor for human cytomegalovirus replication and human cytomegalovirus-mediated glycolytic activation. PMID: 21084482
- CaMKK is involved in both S1P receptor- and SR-BI-mediated phosphorylation of AMPK, Akt, and eNOS. PMID: 20018878
- ERK activation and cell growth require CaM kinases in MCF-7 breast cancer cells PMID: 19763792
- Calmodulin-dependent protein kinase kinase-beta activates AMPK without forming a stable complex. There is a synergistic effects of Ca2+ and AMP. PMID: 19958286
- There is a significant basal activity and phosphorylation of AMPK in LKB1-deficient cells that can be stimulated by Ca2+ ionophores, and studies using the CaMKK inhibitor STO-609 and isoform-specific siRNAs show that CaMKKbeta is required for this effect PMID: 16054095
- Overexpression of CaMKKbeta in mammalian cells increases AMPK activity, whereas pharmacological inhibition of CaMKK, or downregulation of CaMKKbeta using RNA interference, almost completely abolishes AMPK activation PMID: 16054096
- Endothelial cells possess two pathways to activate AMPK, one Ca2+/CaMKKbeta dependent and one AMP/LKB1 dependent. PMID: 16880506
- a prominent association found between severity of panic- and agoraphobia symptoms and an exonic SNP (rs3817190) in the CaMKKb gene and a trend for association with an exonic SNP in P2RX7 (rs1718119) with severity scores in the panic- and agoraphobia scale PMID: 17197037
- modulating basal AMPK and CAMKKB activity in the hypothalamus is essential for maintaining tight regulation of pathways contributing to food intake PMID: 18436530
- Growth of cervical cancer cells was inhibited through activation of CAMKK2 and LBK1. PMID: 19407487
- Data show that that the prototypical CaM target sequence skMLCK, a fragment from skeletal muscle myosin light chain kinase, binds to CaM in a highly cooperative way, while only a lower degree of interdomain binding cooperativity emerges for CaMKK. PMID: 19667195
顯示更多
收起更多
-
亞細胞定位:Nucleus. Cytoplasm. Cell projection, neuron projection.
-
蛋白家族:Protein kinase superfamily, Ser/Thr protein kinase family
-
組織特異性:Ubiquitously expressed with higher levels in the brain. Intermediate levels are detected in spleen, prostate, thyroid and leukocytes. The lowest level is in lung.
-
數據庫鏈接:
Most popular with customers
-
-
YWHAB Recombinant Monoclonal Antibody
Applications: ELISA, WB, IHC, IF, FC
Species Reactivity: Human, Mouse, Rat
-
Phospho-YAP1 (S127) Recombinant Monoclonal Antibody
Applications: ELISA, WB, IHC
Species Reactivity: Human
-
-
-
-
-















