CAMK2A Antibody
-
中文名稱:CAMK2A兔多克隆抗體
-
貨號:CSB-PA892176HA01HU
-
規格:¥440
-
圖片:
-
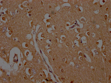
IHC image of CSB-PA892176HA01HU diluted at 1:200 and staining in paraffin-embedded human brain tissue performed on a Leica BondTM system. After dewaxing and hydration, antigen retrieval was mediated by high pressure in a citrate buffer (pH 6.0). Section was blocked with 10% normal goat serum 30min at RT. Then primary antibody (1% BSA) was incubated at 4°C overnight. The primary is detected by a Goat anti-rabbit polymer IgG labeled by HRP and visualized using 0.05% DAB.
-
Immunofluorescence staining of Hela cells with CSB-PA892176HA01HU at 1:100, counter-stained with DAPI. The cells were fixed in 4% formaldehyde and blocked in 10% normal Goat Serum. The cells were then incubated with the antibody overnight at 4°C. The secondary antibody was Alexa Fluor 488-congugated AffiniPure Goat Anti-Rabbit IgG(H+L).
-
-
其他:
產品詳情
-
產品名稱:Rabbit anti-Homo sapiens (Human) CAMK2A Polyclonal antibody
-
Uniprot No.:
-
基因名:
-
別名:Calcium/calmodulin dependent protein kinase II alpha antibody; Calcium/calmodulin dependent protein kinase II beta antibody; Calcium/calmodulin dependent protein kinase II delta antibody; Calcium/calmodulin dependent protein kinase II gamma antibody; Calcium/calmodulin-dependent protein kinase type II subunit alpha antibody; CaM kinase II alpha antibody; CaM kinase II antibody; CaM kinase II beta antibody; CaM kinase II delta antibody; CaM kinase II gamma antibody; CaM kinase II subunit alpha antibody; CaMK-II subunit alpha antibody; CAMK2 antibody; Camk2a antibody; CAMK2B antibody; CAMK2D antibody; CAMK2G antibody; CAMKA antibody; KCC2A_HUMAN antibody
-
宿主:Rabbit
-
反應種屬:Human
-
免疫原:Recombinant Human Calcium/calmodulin-dependent protein kinase type II subunit alpha protein (321-478AA)
-
免疫原種屬:Homo sapiens (Human)
-
標記方式:Non-conjugated
本頁面中的產品,CAMK2A Antibody (CSB-PA892176HA01HU),的標記方式是Non-conjugated。對于CAMK2A Antibody,我們還提供其他標記。見下表:
-
克隆類型:Polyclonal
-
抗體亞型:IgG
-
純化方式:>95%, Protein G purified
-
濃度:It differs from different batches. Please contact us to confirm it.
-
保存緩沖液:Preservative: 0.03% Proclin 300
Constituents: 50% Glycerol, 0.01M PBS, PH 7.4 -
產品提供形式:Liquid
-
應用范圍:ELISA, IHC, IF
-
推薦稀釋比:
Application Recommended Dilution IHC 1:200-1:500 IF 1:100-1:500 -
Protocols:
-
儲存條件:Upon receipt, store at -20°C or -80°C. Avoid repeated freeze.
-
貨期:Basically, we can dispatch the products out in 1-3 working days after receiving your orders. Delivery time maybe differs from different purchasing way or location, please kindly consult your local distributors for specific delivery time.
-
用途:For Research Use Only. Not for use in diagnostic or therapeutic procedures.
相關產品
靶點詳情
-
功能:Calcium/calmodulin-dependent protein kinase that functions autonomously after Ca(2+)/calmodulin-binding and autophosphorylation, and is involved in synaptic plasticity, neurotransmitter release and long-term potentiation. Member of the NMDAR signaling complex in excitatory synapses, it regulates NMDAR-dependent potentiation of the AMPAR and therefore excitatory synaptic transmission. Regulates dendritic spine development. Also regulates the migration of developing neurons. Phosphorylates the transcription factor FOXO3 to activate its transcriptional activity. Acts as a negative regulator of 2-arachidonoylglycerol (2-AG)-mediated synaptic signaling via modulation of DAGLA activity.
-
基因功能參考文獻:
- SK current is increased via the enhanced activation of CaMKII in patients with atrial fibrillation. PMID: 29737974
- Study first demonstrated that CaMKII-alpha was over-expressed in human colon cancers and was associated with cancer differentiation. PMID: 28970726
- oxidative stress activates the TRPM2-Ca(2+)-CAMK2 cascade to phosphorylate BECN1 resulting in autophagy inhibition PMID: 27245989
- two peptides (SIAPNV(-COOH) and SIVMNV(-COOH)) were identified to have considerably improved affinity with K d increase by ~tenfold relative to wild type peptide. Thus, the two peptides are considered as promising lead entities to develop therapeutic molecular agents with high efficacy and specificity to target CaMKIIalpha-MUPP1 interaction. PMID: 26984442
- The importance of CAMK2A and CAMK2B and their auto-phosphorylation in human brain function. PMID: 29100089
- This study demonstrate that this ASD-linked de novo CAMK2A mutation disrupts multiple CaMKII functions, induces synaptic deficits, and causes ASD-related behavioral alterations. PMID: 28130356
- CaMKII-mediated recruitment and upregulation of CYLD is expected to remove K63-linked polyubiquitins and facilitate proteasomal degradation at the postsynaptic density. PMID: 24614225
- CAMK2A SNPs were associated with Alzheimer disease and mild cognitive impairment. AG genotype at the CAMK2A-rs3822606 was associated with AD risk. PMID: 24384746
- CaMKII phosphorylates SCN5A in vitro on 23 novel serine sites as was identified by mass spectrometry; reduced S516 phosphorylation has been found in human heart failure. PMID: 25815641
- Ca2+/calmodulin-dependent protein kinase-II (CaMKII) has a key role in the plasticity of glutamatergic synapses of the brain. PMID: 25290264
- we describe for the first time, two patients with MFD and ID and for whom a deletion encompassing TCOF1 and CAMK2A has been identified PMID: 23695276
- a novel regulation of CaMKII by another second messenger system and indicate its involvement in excitotoxic neuronal cell death. PMID: 24855644
- Overexpression of a T253D phosphomimic form of calcium/calmodulin-dependent protein kinase type II subunit alpha significantly decreases proliferation, and cells accumulate in mitosis, specifically in metaphase. PMID: 24407174
- results suggest that the CAMK2A gene may influence spatial and non-SWM performance in humans without any corresponding gross changes in frontal cortex or hippocampal anatomy. PMID: 22824813
- found seven significant associations between CAMK2A SNPs and alcohol dependence, one of which in an autophosphorylation-related area of the gene. PMID: 23459588
- These results suggest that Osterix is a novel target of CaMKII and the activity of Osterix can be modulated by a novel mechanism involving CaMKII during osteoblast differentiation. PMID: 23402759
- Rem2 has a role in neuronal plasticity hrough co-trafficking with CaMKIIa PMID: 22815963
- The decrease in CaMKII signaling in the absence of CAPN3 is associated with a reduction of muscle adaptation response. PMID: 22505582
- The role of CaMKII in regulating GLUT4 expression in skeletal muscle. PMID: 22496345
- Findigs show that the F-actin-binding protein alpha-actinin-2 targets CaMKIIalpha to F-actin in cells by binding to the CaMKII regulatory domain. PMID: 22427672
- Inactivating the alphaCamKII transgene eliminates both the IA-type potassium current-mediated firing decrease and the elevated behavioral response to cocaine. PMID: 22573680
- Kv4.3 K channels contribute to cell apoptosis and necrosis through activating CaMKII. PMID: 22023388
- Characterization of a central Ca2+/calmodulin-dependent protein kinase IIalpha/beta binding domain in densin that selectively modulates glutamate receptor subunit phosphorylation. PMID: 21610080
- 20 single nucleotide polymorphisms had suggestive associations with conduct disorder, nine of which were located in known genes, including CAMK2A PMID: 21611732
- Mice heterozygous for a null mutation of the alpha-isoform of calcium/calmodulin-dependent protein kinase II (alpha-CaMKII+/-) have profoundly dysregulated behaviours and impaired neuronal development in the dentate gyrus PMID: 18803808
- Knockdown of spinal CaMKIIalpha attentuates opioid-induced hyperalgesia. PMID: 20053885
- Four distinct isoforms of CAMKII were isolated. Two of them were characterized as CaMKII alpha and beta subunits.CaMKII expression is developmentally regulated in human fetal and adult brain PMID: 11710563
- the NPY Y(1) receptor induces the expression of CRE containing target genes through the CaM kinase-CREB pathway PMID: 11814622
- role in cell communication PMID: 11889801
- CaMKII alpha mRNA expression is significantly reduced in the prefrontal cortex of patients with bipolar illness. PMID: 11930170
- Calcium/calmodulin-dependent protein kinase II binds to Raf-1 and modulates integrin-stimulated ERK activation PMID: 12954639
- measured differences in CaMKII binding affinities for CaM play a minor role in the autophosphorylation of the enzyme, largely dictated by autophosphorylation rate for alpha, beta, gamma and delta isoforms PMID: 14722083
- CaMKII-alpha may be related with beta-amyloid more closely than being involved in tau hyperphosphorylation in Alzheimer's disease PMID: 15621017
- novel mechanism for Ca2+-dependent negative-feedback regulation of NR2B-containing NMDARs in a CaMKII activity- and autophosphorylation-dependent manner that may modulate NMDAR-mediated synaptic plasticity PMID: 15866054
- activation of the IKK/NFkappaB signaling cascade by SSTR2 requires a complicated network consisting of Galpha(14), protein kinase C, CamkII, ERK, and c-Src PMID: 16115892
- EGF has the ability to abrogate the PP2A function in the maintenance of beta1 integrin-mediated cell adhesion by dissociation of PP2A-IQGAP1-CaMKII from beta1 integrin-Rac through activation of CaMKII PMID: 16557530
- CD44 interaction with LARG and EGFR plays a pivotal role in Rho/Ras co-activation, PLC epsilon-Ca2+ signaling, and Raf/ERK up-regulation required for CaMKII-mediated cytoskeleton function and in head and neck squamous cell carcinoma progression PMID: 16565089
- To characterize the human alphaCaMKII promoter, a promoter-reporter gene assay using different cell lines, was developed. PMID: 17221287
- Skeletal muscle CaMKII kinase isoform expression and serum response factor phosphorylation is higher with endurance-type exercise training, adaptations that are restricted to active muscle. PMID: 17627985
- alpha-CaMKII controls the growth of human osteosarcoma by regulating cell cycle progression PMID: 17632540
- These findings revealed that TNF-alpha induced VCAM-1 expression via multiple signaling pathways. PMID: 18227124
- hCaMKIINalpha suppresses tumor growth by inducing cell cycle arrest via p27 stabilization PMID: 18305109
- Phosphorylation or a phosphorylation mimicking mutation on NR2B (NR2B-S1303D) abolishes the Ca(2+)/calmodulin-independent binding whereas it allows the Ca(2+)/calmodulin-dependent binding of alpha-CaMKII in vitro. PMID: 19453375
- Data show that data provide a novel mechanism whereby CaMKII may regulate the proteasome in neurons to facilitate remodeling of synaptic connections through protein degradation. PMID: 19638347
- Amphetamine sensitization in rats, an animal model of schizophrenia, results in significant increase in CaMKII beta and a nonsignificant increase in CaMKII alpha mRNA. PMID: 17603807
- The expression of CaMKIIalpha is significantly elevated in depression (29%), but not in schizophrenia or bipolar disorder, compared to healthy controls. PMID: 16247765
- The expression of CaMKII alpha was significantly elevated in depression. PMID: 16247765
顯示更多
收起更多
-
亞細胞定位:Cell junction, synapse. Cell junction, synapse, postsynaptic density. Cell projection, dendritic spine. Cell projection, dendrite.
-
蛋白家族:Protein kinase superfamily, CAMK Ser/Thr protein kinase family, CaMK subfamily
-
數據庫鏈接:
Most popular with customers
-
-
YWHAB Recombinant Monoclonal Antibody
Applications: ELISA, WB, IHC, IF, FC
Species Reactivity: Human, Mouse, Rat
-
Phospho-YAP1 (S127) Recombinant Monoclonal Antibody
Applications: ELISA, WB, IHC
Species Reactivity: Human
-
-
-
-
-















