CALCA Antibody
-
中文名稱:CALCA兔多克隆抗體
-
貨號:CSB-PA182905
-
規格:¥1100
-
圖片:
-
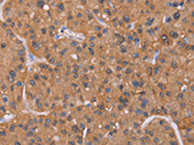
The image on the left is immunohistochemistry of paraffin-embedded Human liver cancer tissue using CSB-PA182905(CALCA Antibody) at dilution 1/25, on the right is treated with synthetic peptide. (Original magnification: ×200)
-
The image on the left is immunohistochemistry of paraffin-embedded Human brain tissue using CSB-PA182905(CALCA Antibody) at dilution 1/25, on the right is treated with synthetic peptide. (Original magnification: ×200)
-
-
其他:
產品詳情
-
Uniprot No.:
-
基因名:
-
別名:CALCA antibody; CALC1Calcitonin gene-related peptide 1 antibody; Alpha-type CGRP antibody; Calcitonin gene-related peptide I antibody; CGRP-I antibody
-
宿主:Rabbit
-
反應種屬:Human
-
免疫原:Synthetic peptide of Human CALCA
-
免疫原種屬:Homo sapiens (Human)
-
標記方式:Non-conjugated
-
抗體亞型:IgG
-
純化方式:Antigen affinity purification
-
濃度:It differs from different batches. Please contact us to confirm it.
-
保存緩沖液:-20°C, pH7.4 PBS, 0.05% NaN3, 40% Glycerol
-
產品提供形式:Liquid
-
應用范圍:ELISA,IHC
-
推薦稀釋比:
Application Recommended Dilution ELISA 1:1000-1:2000 IHC 1:25-1:100 -
Protocols:
-
儲存條件:Upon receipt, store at -20°C or -80°C. Avoid repeated freeze.
-
貨期:Basically, we can dispatch the products out in 1-3 working days after receiving your orders. Delivery time maybe differs from different purchasing way or location, please kindly consult your local distributors for specific delivery time.
-
用途:For Research Use Only. Not for use in diagnostic or therapeutic procedures.
相關產品
靶點詳情
-
功能:CGRP induces vasodilation. It dilates a variety of vessels including the coronary, cerebral and systemic vasculature. Its abundance in the CNS also points toward a neurotransmitter or neuromodulator role. It also elevates platelet cAMP.
-
基因功能參考文獻:
- CGRP expression in the infrapatellar fat pad of knee osteoarthritis patients is regulated by the COX-2/mPGES-1/PGE2 pathway. PMID: 30205824
- PCT may not be sufficiently used as a sole marker of sepsis in neonates compared to CRP. PCT in conjunction with CRP and other tests for septic screen can aid in better diagnosis of neonatal sepsis. PMID: 29567889
- Levels of CRP and PCT in CSF did not present greater accuracy in differentiating bacterial from viral meningitis compared to serum levels. PMID: 30143494
- Medullary thyroid carcinoma (MTC) was histologically confirmed in all patients with positive procalcitonin (PCT) but not found in patients with negative PCT. Serum PCT levels were significantly higher in patients with MTC than in those without. PMID: 29635700
- This is the largest data set evaluating PCT in neonatal and pediatric patients on extracorporeal membrane oxygenation (ECMO). A PCT value of 0.5 ng/mL had the most utility for determining the absence or presence of a bacterial infection in the setting of ECMO with a high sensitivity and negative predictive values. PMID: 29153041
- The data shows a subgroup of patients 17/34 (50%) have either elevated PCT or CRP levels. This study is the first to report PCT values in antipsychotic drug-free patients with schizophrenia. PMID: 29723719
- Procalcitonin is reliable in discriminating medullary thyroid carcinoma patients with active disease from those with no evidence of disease. PMID: 29707993
- This retrospective cohort study aimed to identify the early postoperative kinetics of C-reactive protein (CRP) and procalcitonin (PCT) in children undergoing tetralogy of Fallot (ToF) correction. PMID: 29111402
- PCT could be a promising marker of clinical deterioration to septic shock in acute cholangitis. Therefore, PCT might be used as a decision-supporting biomarker for urgent biliary decompression. PMID: 29480416
- this study shows that pre-eclampsia affects procalcitonin production in placental tissue PMID: 29427369
- peripheral concentration of procalcitonin (both immediate and average levels) might be an independent predictor for prognosis in myocardial infarction patients. PMID: 29179592
- Patients with procalcitonin (PCT) above 0.25 mug/L are unlikely to have a unique diagnosis of flu. PMID: 28010128
- The cut-off point of procalcitonin level for diagnosing sepsis in the meta-static solid tumor was higher compared to the standard value. PMID: 29382396
- PCT is a useful marker for diagnosis of among catheter-related blood stream infection hemodialysis patients. PMID: 28777420
- PCT is a useful diagnostic predictor of intra-abdominal infection after colorectal surgery. PMID: 29305753
- It is unclear the receptor responsible by CGRP effects, as well as whether this neuropeptide acts directly or indirectly in liver, muscle and adipose tissue--{REVIEW} PMID: 28884411
- The aim of the study was to define basal serum calcitonin (bCT) cut-off thresholds for diagnosing medullary thyroid cancer. PMID: 29169190
- Serum levels of PCT and PSP are promising biomarkers for early diagnosis of pediatric acute osteomyelitis. PMID: 29091592
- Procalcitonin and CRP serum levels are associated with the appearance of intra-abdominal infection after colorectal cancer surgery. PMID: 28918433
- PCT distinguished sepsis and non-septic ICU patients. PMID: 28898742
- Levels of procalcitonin are significantly elevated in subjects with diabetic foot ulcers and are correlated with clinical indices such as glycemic index and HbA1c level. PMID: 28736121
- Serum procalcitonin can be used as a promising single biomarker, easily done in all setup with better accuracy. And it is comparable to computed tomography severity index and Ranson's scores in earlier prediction of severity of acute pancreatitis. PMID: 29446357
- PCT showed statistically significant differences between the groups of septic and non-septic burn patients. PMID: 28454850
- This study reports the transition dipole strengths and frequencies of the amyloid beta-sheet amide I mode for the aggregated proteins amyloid-beta1-40, calcitonin, alpha-synuclein, and glucagon. PMID: 28851219
- Inhibition of SP through use of a neurokinin 1 (NK1) antagonist is highly beneficial following both traumatic brain injury (TBI) and ischaemic stroke in pre-clinical models. The role of CGRP is more unclear, especially with respect to TBI, with both elevations and reductions in CGRP levels reported following trauma PMID: 28817088
- targeted non-alanine substitution analysis method and molecular modelling to the functionally important residues of extracellular loop 2 (ECL2) of the calcitonin gene related peptide (CGRP) receptor to reveal key molecular interactions. PMID: 28572046
- Patients with lower gastrointestinal perforation (GIP) exhibited significantly higher APACHE II score, SOFA score and serum PCT level than patients with upper GIP. PMID: 28706425
- PCT was an accurate predictor for the diagnosis of bacterial infection only in patients with acute liver failure unrelated to acetaminophen intoxication. PMID: 28272093
- The maintenance of a high level of procalcitonin within 7 days after surgery and/or a second increase in procalcitonin between the fourth and the seventh postoperative day correlated with postoperative infection after pediatric cardiac surgery. PMID: 28266954
- Systemic inflammation moderately occurs in the white coat hypertension. PCT monitoring may be a useful biomarker in inflammation related to atherosclerosis and early stage HT. PMID: 26040439
- initial serum levels of procalcitonin might be used as an indicator for aggravation in patients with hepatobiliary tract infection at the emergency department, even though there is hemodynamic stability. PMID: 26096246
- Serum procalcitonin levels are elevated in bacteremia. PMID: 28182347
- Procalcitonin levels are an early indicator of complications in ICU patients with multiple trauma and patients undergoing major surgery. PMID: 28164563
- These results establish that calcitonin gene-related peptide (CGRP) regulates HIV-1 degradation in Langerhans cells (LCs). As CGRP contributes to the sexual response and present within mucosal epithelia, HIV-1 proteasomal degradation in LCs might predominate in vivo and should be enhanced clinically. PMID: 28904199
- Diagnostic value of sTREM-1, IL-8, PCT, and CRP in febrile neutropenia after autologous stem cell transplantation PMID: 28920169
- PCT and CRP are reliable markers of infection and correlate with infection severity in children with liver disease. PMID: 26933799
- The intrapatellar fat pad of knee osteoarthritis patients produces relatively high levels of CGRP. PMID: 28431586
- CGRP and IL-4 positively regulated APN/CD13 expression and activity in psoriatic fibroblasts. PMID: 28387421
- Elevated levels of procalcitonin in the early phase after pediatric cardiac surgery are associated with increased risk for major adverse events and postoperative renal failure and increased postoperative morbidity. PMID: 27124563
- The results indicate a central role of neuroendocrine peptide aminoprocalcitonin (NPCT) in Alzheimer disease pathogenesis and suggest NPCT as a potential biomarker and therapeutic target. PMID: 27497681
- Preoperative calcitonin levels were correlated with the presence of tumor, whereas alkaline phosphatase (ALP) levels were not. There were no significant associations between tumor volume and ALP or calcitonin levels in the preoperative or postoperative periods. During long-term follow-up, serum ALP was significantly associated with tumor recurrence, but serum calcitonin was not. PMID: 27922893
- PCT median values were significantly higher in patients with sepsis than without during the first 10 postoperative days after cardiac surgery. PMID: 28550906
- Point-of-care procalcitonin test can be used to substantially reduce antibiotic exposure in patients hospitalized with acute exacerbation of COPD. PMID: 27382274
- Data suggest CGRP receptor (CGRPR) ECL2 (extracellular loop 2 domain) enables interaction with N-terminal residues of CGRP; this provides evidence for dual involvement of ECL2 in two-domain binding model of CGRP/CGRPR interaction; CGRPR is obligate heterodimer of CLR/RAMP1. (CGRP = calcitonin gene-related peptide; CLR = calcitonin receptor-like receptor; RAMP1 = receptor [calcitonin] activity modifying protein 1) PMID: 28691801
- Elevated Expression of PCT is associated with Sepsis. PMID: 28005932
- Serum procalcitonin levels were not increased in patients with ankylosing spondylitis. PMID: 24798190
- Both procalcitonin levels and white blood cell counts were significantly higher in patients with postoperative intraabdominal infections (IAIs) than those in patients without IAIs on postoperative day (POD) 1, POD 3, and POD 5, whereas C-reactive protein levels differed significantly on POD 3 and POD 5. PMID: 27884320
- High Procalcitonin expression is associated with engraftment syndrome. PMID: 27762068
- In mammalian neuromuscular junctions, different isoforms of exogenously applied calcitonin gene-related peptide uniformly potentiate amplitudes of evoked and spontaneous postsynaptic potentials acting presynaptically via an increase in acetylcholine quantal size. PMID: 27288020
- Mouse and human heart valves expressed mRNAs for the CRL ligands adrenomedullin (AM), adrenomedullin-2 (AM-2) and calcitonin gene-related peptide (CGRP) and for their receptor components, i.e., CRL and receptor-activity-modifying proteins 1-3. PMID: 27553639
顯示更多
收起更多
-
亞細胞定位:Secreted.
-
蛋白家族:Calcitonin family
-
數據庫鏈接:
Most popular with customers
-
-
YWHAB Recombinant Monoclonal Antibody
Applications: ELISA, WB, IHC, IF, FC
Species Reactivity: Human, Mouse, Rat
-
Phospho-YAP1 (S127) Recombinant Monoclonal Antibody
Applications: ELISA, WB, IHC
Species Reactivity: Human
-
-
-
-
-















