CACNB2 Antibody
-
中文名稱:CACNB2兔多克隆抗體
-
貨號:CSB-PA804482LA01HU
-
規格:¥440
-
圖片:
-
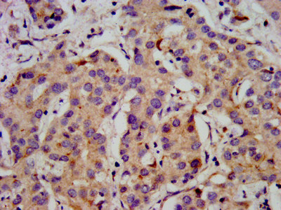
IHC image of CSB-PA804482LA01HU diluted at 1:500 and staining in paraffin-embedded human liver cancer performed on a Leica BondTM system. After dewaxing and hydration, antigen retrieval was mediated by high pressure in a citrate buffer (pH 6.0). Section was blocked with 10% normal goat serum 30min at RT. Then primary antibody (1% BSA) was incubated at 4°C overnight. The primary is detected by a biotinylated secondary antibody and visualized using an HRP conjugated SP system.
-
Immunofluorescence staining of A549 cells with CSB-PA804482LA01HU at 1:166, counter-stained with DAPI. The cells were fixed in 4% formaldehyde, permeabilized using 0.2% Triton X-100 and blocked in 10% normal Goat Serum. The cells were then incubated with the antibody overnight at 4°C. The secondary antibody was Alexa Fluor 488-congugated AffiniPure Goat Anti-Rabbit IgG(H+L).
-
-
其他:
產品詳情
-
產品名稱:Rabbit anti-Homo sapiens (Human) CACNB2 Polyclonal antibody
-
Uniprot No.:
-
基因名:
-
別名:AW060387 antibody; Ca(V) beta 2 antibody; CAB2 antibody; CACB2_HUMAN antibody; CACNB2 antibody; CACNLB2 antibody; Calcium channel voltage dependent subunit beta 2 antibody; Calcium channel voltage-dependent subunit beta 2 antibody; Calcium channel; voltage dependent; beta 2 subunit antibody; CAVB2 antibody; Cavbeta2 antibody; Cchb2 antibody; FLJ23743 antibody; Lambert Eaton Myasthenic syndrome antigen antibody; Lambert Eaton myasthenic syndrome antigen B antibody; Lambert-Eaton myasthenic syndrome antigen B antibody; MGC129334 antibody; MGC129335 antibody; Myasthenic (Lambert Eaton) syndrome antigen B antibody; Myasthenic syndrome antigen B antibody; MYSB antibody; Voltage dependent L type calcium channel subunit beta 2 antibody; Voltage-dependent L-type calcium channel subunit beta-2 antibody
-
宿主:Rabbit
-
反應種屬:Human
-
免疫原:Recombinant Human Voltage-dependent L-type calcium channel subunit beta-2 protein (490-637AA)
-
免疫原種屬:Homo sapiens (Human)
-
標記方式:Non-conjugated
本頁面中的產品,CACNB2 Antibody (CSB-PA804482LA01HU),的標記方式是Non-conjugated。對于CACNB2 Antibody,我們還提供其他標記。見下表:
-
克隆類型:Polyclonal
-
抗體亞型:IgG
-
純化方式:>95%, Protein G purified
-
濃度:It differs from different batches. Please contact us to confirm it.
-
保存緩沖液:Preservative: 0.03% Proclin 300
Constituents: 50% Glycerol, 0.01M PBS, pH 7.4 -
產品提供形式:Liquid
-
應用范圍:ELISA, IHC, IF
-
推薦稀釋比:
Application Recommended Dilution IHC 1:500-1:1000 IF 1:50-1:200 -
Protocols:
-
儲存條件:Upon receipt, store at -20°C or -80°C. Avoid repeated freeze.
-
貨期:Basically, we can dispatch the products out in 1-3 working days after receiving your orders. Delivery time maybe differs from different purchasing way or location, please kindly consult your local distributors for specific delivery time.
-
用途:For Research Use Only. Not for use in diagnostic or therapeutic procedures.
相關產品
靶點詳情
-
功能:The beta subunit of voltage-dependent calcium channels contributes to the function of the calcium channel by increasing peak calcium current, shifting the voltage dependencies of activation and inactivation, modulating G protein inhibition and controlling the alpha-1 subunit membrane targeting.
-
基因功能參考文獻:
- Data show that an indispensable beta-subunit of the voltage-gated Ca(2+) channel Cav1.2 interaction with H-Ras is independently of Ca(2+) flux, suggesting the regulatory role of beta2 in transcriptional activation via the ERK/CREB pathway. PMID: 30150369
- Our study shows that palmitoylation of CaVbeta2a is necessary for CaValpha1 trafficking to the plasma membrane. However, excessive number of palmitoylated CaVbeta2a leads to Ca(2+) overload and beta cell death. PMID: 28739256
- Study showed that CACNB2 is a possible candidate hypertrophy-modifying gene contributing to disease variability of MYBPC3-associated familial hypertrophic cardiomyopathy PMID: 28614222
- Five serious mental disorders and three major cardiovascular diseases have recently been linked to the CACNB2 gene coding for the Cavbeta2 subunits PMID: 25966706
- ADM genotype AA was associated with the highest values of systolic and diastolic blood pressure (BP), while CACNB2 genotype CC carriers had the highest values of diastolic BP in childhood. PMID: 25313554
- In the gene-based analysis, CACNB2 and CTCF showed the strongest evidence for association with schizophrenia in both the present samples and in those of the Psychiatric Genetics Consortium datasets. PMID: 24901509
- Three rare missense mutations of CACNB2 (G167S, S197F, and F240L) found in Autism Spectrum Disorders (ASD)-affected families, are reported. PMID: 24752249
- Association of the SNP rs2932538 in MOV10 and SNP rs4373814 in CACNB2 with an increased risk of hypertension in a Chinese Han population. PMID: 24338417
- Genetic variations in CYP17A1, CACNB2 and PLEKHA7 were related to blood pressure traits and/or hypertension in Chinese She population. PMID: 21963141
- Genetic testing reveals disease-causing mutations in depolarizing sodium (SCN5A) or calcium (CaCNB2b) channels in 5 infants with rapid ventricular tachycardia, conduction abnormalities, and Brugada-like syndrome. PMID: 22090166
- This study provided that cacnb2 are associated with Bipolar I in the Han Chinese population. PMID: 20386566
- that genetic variation within CACNB2 may influence treatment-related outcomes in high-risk patients with hypertension. PMID: 21156931
- CACNB2 is a possible novel early repolarization syndrome susceptibility gene. PMID: 20817017
- We also identified a novel polymorphism (D601E) in CACNB2b that slowed inactivation of L-type calcium current (I(Ca,L)), significantly increased total charge. Slowed conduction was present. PMID: 20025708
- Functional properties of the CaV1.2 calcium channel activated by calmodulin in the absence of alpha2delta subunits. PMID: 19106618
- CACNB2 SNPs show genotypic association with Alzheimer disease. PMID: 19241460
- The first Brugada syndrome mutation in CaCNB2b resulting in accelerated inactivation of L-type calcium channel current, is reported. PMID: 19358333
顯示更多
收起更多
-
相關疾病:Brugada syndrome 4 (BRGDA4)
-
亞細胞定位:Cell membrane, sarcolemma; Peripheral membrane protein; Cytoplasmic side.
-
蛋白家族:Calcium channel beta subunit family
-
組織特異性:Expressed in all tissues.
-
數據庫鏈接:
Most popular with customers
-
-
Phospho-YAP1 (S127) Recombinant Monoclonal Antibody
Applications: ELISA, WB, IHC
Species Reactivity: Human
-
-
-
-
-
-















