CACNB1 Antibody
-
中文名稱:CACNB1兔多克隆抗體
-
貨號:CSB-PA004411DSR1HU
-
規格:¥440
-
圖片:
-
Western blot
All lanes: CACNB1 antibody at 6.68µg/ml + HepG2 whole cell lysate
Secondary
Goat polyclonal to rabbit IgG at 1/10000 dilution
Predicted band size: 66, 58, 54 kDa
Observed band size: 66 kDa -
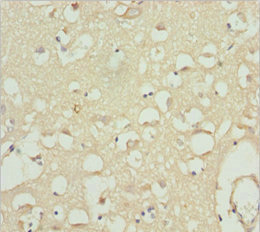
Immunohistochemistry of paraffin-embedded human brain tissue using CSB-PA004411DSR1HU at dilution of 1:100
-
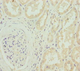
Immunohistochemistry of paraffin-embedded human kidney tissue using CSB-PA004411DSR1HU at dilution of 1:100
-
-
其他:
產品詳情
-
產品名稱:Rabbit anti-Homo sapiens (Human) CACNB1 Polyclonal antibody
-
Uniprot No.:
-
基因名:
-
別名:CAB1 antibody; CACB1_HUMAN antibody; CACNB1 antibody; CACNLB1 antibody; Calcium channel L type beta 1 polypeptide antibody; Calcium channel voltage dependent beta 1 subunit antibody; Calcium channel voltage-dependent subunit beta 1 antibody; CCHLB1 antibody; Dihydropyridine sensitive L type calcium channel beta 1 subunit antibody; MGC41896 antibody; Voltage dependent L type calcium channel beta 1 subunit antibody; Voltage-dependent L-type calcium channel subunit beta-1 antibody
-
宿主:Rabbit
-
反應種屬:Human
-
免疫原:Recombinant Human Voltage-dependent L-type calcium channel subunit beta-1 protein (429-598AA)
-
免疫原種屬:Homo sapiens (Human)
-
標記方式:Non-conjugated
-
克隆類型:Polyclonal
-
抗體亞型:IgG
-
純化方式:Antigen Affinity Purified
-
濃度:It differs from different batches. Please contact us to confirm it.
-
保存緩沖液:PBS with 0.02% sodium azide, 50% glycerol, pH7.3.
-
產品提供形式:Liquid
-
應用范圍:ELISA, WB, IHC
-
推薦稀釋比:
Application Recommended Dilution WB 1:1000-1:5000 IHC 1:20-1:200 -
Protocols:
-
儲存條件:Upon receipt, store at -20°C or -80°C. Avoid repeated freeze.
-
貨期:Basically, we can dispatch the products out in 1-3 working days after receiving your orders. Delivery time maybe differs from different purchasing way or location, please kindly consult your local distributors for specific delivery time.
-
用途:For Research Use Only. Not for use in diagnostic or therapeutic procedures.
相關產品
靶點詳情
-
功能:Regulatory subunit of L-type calcium channels. Regulates the activity of L-type calcium channels that contain CACNA1A as pore-forming subunit. Regulates the activity of L-type calcium channels that contain CACNA1C as pore-forming subunit and increases the presence of the channel complex at the cell membrane. Required for functional expression L-type calcium channels that contain CACNA1D as pore-forming subunit. Regulates the activity of L-type calcium channels that contain CACNA1B as pore-forming subunit.
-
基因功能參考文獻:
- CACNB1, encoding cardiac L-type calcium channel beta 1 subunit, is a potential target for microRNA-328 in transgenic mice. PMID: 21098446
- Data show that the length-dependent mechanism of modulating inactivation kinetics of beta(2) calcium channel subunits can be confirmed and extended to the beta(1) calcium channel subunit. PMID: 19821165
-
亞細胞定位:Cell membrane, sarcolemma; Peripheral membrane protein; Cytoplasmic side. Cell membrane; Peripheral membrane protein.
-
蛋白家族:Calcium channel beta subunit family
-
組織特異性:Detected in heart ventricle (at protein level). Isoform 1 and isoform 3 are expressed in brain, heart, spleen, central nervous system and neuroblastoma cells. Isoform 2 is expressed in skeletal muscle.
-
數據庫鏈接:
Most popular with customers
-
-
YWHAB Recombinant Monoclonal Antibody
Applications: ELISA, WB, IHC, IF, FC
Species Reactivity: Human, Mouse, Rat
-
Phospho-YAP1 (S127) Recombinant Monoclonal Antibody
Applications: ELISA, WB, IHC
Species Reactivity: Human
-
-
-
-
-















