-
中文名稱:CACNA2D2兔多克隆抗體
-
貨號:CSB-PA889145ESR2HU
-
規格:¥440
-
圖片:
-
Western blot
All lanes: CACNA2D2 antibody IgG at 4.51μg/ml + Mouse brain tissue
Secondary
Goat polyclonal to rabbit IgG at 1/10000 dilution
Predicted band size: 130, 123, 131 kDa
Observed band size: 130 kDa -
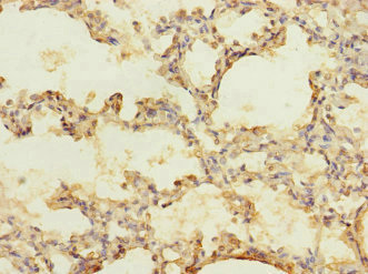
Immunohistochemistry of paraffin-embedded human lung tissue using CSB-PA889145ESR2HU at dilution of 1:100
-
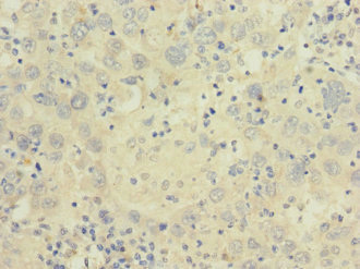
Immunohistochemistry of paraffin-embedded human liver cancer using CSB-PA889145ESR2HU at dilution of 1:100
-
-
其他:
產品詳情
-
產品名稱:Rabbit anti-Homo sapiens (Human) CACNA2D2 Polyclonal antibody
-
Uniprot No.:
-
基因名:
-
別名:Alpha 2 delta calcium channel subunit antibody; CA2D2_HUMAN antibody; CACNA2D antibody; Cacna2d2 antibody; Calcium channel, voltage-dependent, alpha 2/delta subunit 2 antibody; Calcium channel, voltage-dependent, alpha 2/delta subunit 2 gene 26 antibody; Calcium voltage gated channel auxiliary subunit alpha2delta 2 antibody; Gene 26 antibody; KIAA0558 antibody; LUAC11.1 antibody; Voltage-dependent calcium channel subunit alpha-2/delta-2 antibody; Voltage-dependent calcium channel subunit delta-2 antibody; Voltage-gated calcium channel subunit alpha-2/delta-2 antibody
-
宿主:Rabbit
-
反應種屬:Human, Mouse
-
免疫原:Recombinant Human Voltage-dependent calcium channel subunit alpha-2/delta-2 protein (20-200AA)
-
免疫原種屬:Homo sapiens (Human)
-
標記方式:Non-conjugated
-
克隆類型:Polyclonal
-
抗體亞型:IgG
-
純化方式:Antigen Affinity Purified
-
濃度:It differs from different batches. Please contact us to confirm it.
-
保存緩沖液:PBS with 0.02% sodium azide, 50% glycerol, pH7.3.
-
產品提供形式:Liquid
-
應用范圍:ELISA, WB, IHC
-
推薦稀釋比:
Application Recommended Dilution WB 1:1000-1:5000 IHC 1:20-1:200 -
Protocols:
-
儲存條件:Upon receipt, store at -20°C or -80°C. Avoid repeated freeze.
-
貨期:Basically, we can dispatch the products out in 1-3 working days after receiving your orders. Delivery time maybe differs from different purchasing way or location, please kindly consult your local distributors for specific delivery time.
-
用途:For Research Use Only. Not for use in diagnostic or therapeutic procedures.
引用文獻
- Global DNA methylation pattern involved in the modulation of differentiation potential of adipogenic and myogenic precursors in skeletal muscle of pigs Zhang, X,Stem Cell Research & Therapy,2020
相關產品
靶點詳情
-
功能:The alpha-2/delta subunit of voltage-dependent calcium channels regulates calcium current density and activation/inactivation kinetics of the calcium channel. Acts as a regulatory subunit for P/Q-type calcium channel (CACNA1A), N-type (CACNA1B), L-type (CACNA1C OR CACNA1D) and possibly T-type (CACNA1G). Overexpression induces apoptosis.
-
基因功能參考文獻:
- show that the action of alpha2delta2 on tumor development occurs not only through a stimulation of proliferation PMID: 25619833
- The investigation of single nucleotide polymorphisms in three genes that have a functional impact on the opioid response: OPRM1, ABCB1 and the calcium channel complex subunit CACNA2D2, is reported. PMID: 23402298
- CACNA2D2 deletion/methylation is associated with cervical disease progression. PMID: 21809394
- single nucleotide polymorphism identified PMID: 11851383
- role in apoptosis in non-small cell lung cancer cells via association with alterations of the intracellular calcium signaling and disruption of mitochondria membrane integrity PMID: 12555074
- In mice, targeted disruption of Cacna2d2 led to growth retardation, reduced life span, ataxia, enhanced susceptibility to seizures, and cardiac abnormalities. Cacna2d2 may be involved in hereditary cerebellar ataxias and epileptic disorders in humans. PMID: 15331424
- Although transgenic du(2J)/+ mice have a marked reduction in alpha2delta-2 protein, they show no fall in Purkinje somatic calcium currents or increase in cerebellar tyrosine hydroxylase gene expression. PMID: 17135419
顯示更多
收起更多
-
亞細胞定位:Membrane; Single-pass type I membrane protein.
-
蛋白家族:Calcium channel subunit alpha-2/delta family
-
組織特異性:Predominantly present in cerebellar cortex. Present in various lung tumor cell lines, while it is absent in normal lung (at protein level). Highly expressed in heart, lung, testis, pancreas and skeletal muscle. Also expressed in kidney, liver, placenta an
-
數據庫鏈接:
Most popular with customers
-
-
Phospho-YAP1 (S127) Recombinant Monoclonal Antibody
Applications: ELISA, WB, IHC
Species Reactivity: Human
-
-
-
-
-
-















