CABLES1 Antibody
-
中文名稱:CABLES1兔多克隆抗體
-
貨號:CSB-PA904720
-
規格:¥1100
-
圖片:
-
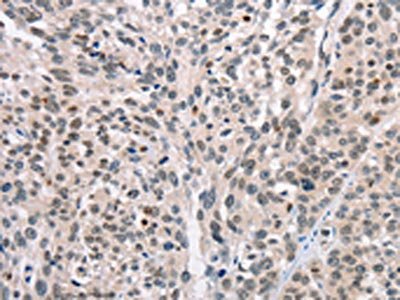
The image on the left is immunohistochemistry of paraffin-embedded Human prostate cancer tissue using CSB-PA904720(CABLES1 Antibody) at dilution 1/15, on the right is treated with fusion protein. (Original magnification: ×200)
-
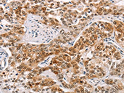
The image on the left is immunohistochemistry of paraffin-embedded Human esophagus cancer tissue using CSB-PA904720(CABLES1 Antibody) at dilution 1/15, on the right is treated with fusion protein. (Original magnification: ×200)
-
Gel: 6%SDS-PAGE, Lysate: 40 μg, Lane 1-3: Mouse brain tissue, Mouse heart tissue, mouse liver tissue, Primary antibody: CSB-PA904720(CABLES1 Antibody) at dilution 1/350, Secondary antibody: Goat anti rabbit IgG at 1/8000 dilution, Exposure time: 1 minute
-
-
其他:
產品詳情
-
Uniprot No.:
-
基因名:CABLES1
-
別名:CABL1_HUMAN antibody; CABLES antibody; Cables1 antibody; Cdk5 and Abl enzyme substrate 1 antibody; CDK5 and ABL1 enzyme substrate 1 antibody; FLJ35924 antibody; HsT2563 antibody; IK3 1 antibody; Ik3-1 antibody; Interactor with CDK3 1 antibody
-
宿主:Rabbit
-
反應種屬:Human,Mouse
-
免疫原:Fusion protein of Human CABLES1
-
免疫原種屬:Homo sapiens (Human)
-
標記方式:Non-conjugated
-
抗體亞型:IgG
-
純化方式:Antigen affinity purification
-
濃度:It differs from different batches. Please contact us to confirm it.
-
保存緩沖液:-20°C, pH7.4 PBS, 0.05% NaN3, 40% Glycerol
-
產品提供形式:Liquid
-
應用范圍:ELISA,WB,IHC
-
推薦稀釋比:
Application Recommended Dilution ELISA 1:2000-1:5000 WB 1:500-1:2000 IHC 1:25-1:100 -
Protocols:
-
儲存條件:Upon receipt, store at -20°C or -80°C. Avoid repeated freeze.
-
貨期:Basically, we can dispatch the products out in 1-3 working days after receiving your orders. Delivery time maybe differs from different purchasing way or location, please kindly consult your local distributors for specific delivery time.
-
用途:For Research Use Only. Not for use in diagnostic or therapeutic procedures.
相關產品
靶點詳情
-
功能:Cyclin-dependent kinase binding protein. Enhances cyclin-dependent kinase tyrosine phosphorylation by nonreceptor tyrosine kinases, such as that of CDK5 by activated ABL1, which leads to increased CDK5 activity and is critical for neuronal development, and that of CDK2 by WEE1, which leads to decreased CDK2 activity and growth inhibition. Positively affects neuronal outgrowth. Plays a role as a regulator for p53/p73-induced cell death.
-
基因功能參考文獻:
- We have identified four potentially pathogenic missense CABLES1 variants as a novel, although infrequent, cause of Cushing's Disease in children and young adults. PMID: 28533356
- miR199a-3p and P53 are coupled through CABLES1 and comprise a novel negative feedback loop that likely contributes to cardiac c-kit(+) cell proliferation and apoptosis. PMID: 28583208
- Cables1/p21 pathway has a strong effect on the induction of cell senescence and inhibition of cell growth, and acts as a novel regulatory mechanism in which p21 is probably one of several downstream effector molecules to mediate Cables1. PMID: 28118639
- CABLES1 is a critical regulator of corticotrope proliferation that defines a pathway often inactivated in Cushing disease PMID: 26695862
- the results suggest Cables1 as a novel p21 regulator through maintaining p21 stability and support the model that the tumor-suppressive function of Cables1 occurs at least in part through enhancing the tumor-suppressive activity of p21. PMID: 24975575
- Results illuminated a dynamic regulatory system through which activated Akt and 14-3-3 work directly together to neutralize a potent tumor suppressor function of Cables1. PMID: 25361894
- The results did not detect a significant association. It indicated that common genetic variations in CDK5 genes might not play a role in the genetic predisposition to autism. PMID: 21890215
- Analysis of the RT-PCR prducts of the CABLES1 gene showed eight intragenic deletions in its mRNA transcripts; 5/8 are the result of RNA splicing. PMID: 16177568
- Loss of Cables expression in 65% of CRCs suggests that it is a common event in colonic carcinogenesis, with promoter methylation and LOH appearing to be important mechanisms of Cables gene inactivation. PMID: 17982127
- Mechanisms of CABLES1 gene inactivation in ovarian cancer development are reported. PMID: 18059193
顯示更多
收起更多
-
亞細胞定位:Nucleus. Cytoplasm.
-
蛋白家族:Cyclin family
-
組織特異性:Expressed in breast, pancreas, colon, head and neck (at protein level). Strongly decreased in more than half of cases of atypical endometrial hyperplasia and in more than 90% of endometrial cancers.
-
數據庫鏈接:
Most popular with customers
-
-
YWHAB Recombinant Monoclonal Antibody
Applications: ELISA, WB, IHC, IF, FC
Species Reactivity: Human, Mouse, Rat
-
Phospho-YAP1 (S127) Recombinant Monoclonal Antibody
Applications: ELISA, WB, IHC
Species Reactivity: Human
-
-
-
-
-















