C1D Antibody
-
中文名稱:C1D兔多克隆抗體
-
貨號:CSB-PA03474A0Rb
-
規格:¥440
-
圖片:
-
Western Blot
Positive WB detected in: Hela whole cell lysate
All lanes: C1D antibody at 3.2µg/ml
Secondary
Goat polyclonal to rabbit IgG at 1/50000 dilution
Predicted band size: 17 kDa
Observed band size: 17 kDa -
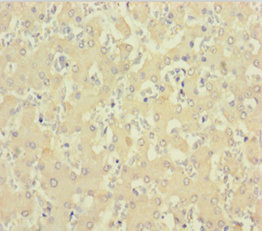
Immunohistochemistry of paraffin-embedded human liver tissue using CSB-PA03474A0Rb at dilution of 1:100
-
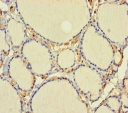
Immunohistochemistry of paraffin-embedded human thyroid tissue using CSB-PA03474A0Rb at dilution of 1:100
-
Immunofluorescence staining of Hela cells with CSB-PA03474A0Rb at 1:533, counter-stained with DAPI. The cells were fixed in 4% formaldehyde, permeabilized using 0.2% Triton X-100 and blocked in 10% normal Goat Serum. The cells were then incubated with the antibody overnight at 4°C. The secondary antibody was Alexa Fluor 488-congugated AffiniPure Goat Anti-Rabbit IgG(H+L).
-
-
其他:
產品詳情
-
產品名稱:Rabbit anti-Homo sapiens (Human) C1D Polyclonal antibody
-
Uniprot No.:
-
基因名:C1D
-
別名:1110036E10Rik antibody; AI875855 antibody; C1D antibody; C1D DNA binding protein antibody; C1D_HUMAN antibody; hC1D antibody; LRP1 antibody; MGC12261 antibody; MGC14659 antibody; MGC188504 antibody; Nuclear DNA binding protein antibody; Nuclear nucleic acid binding protein C1D antibody; Nuclear nucleic acid-binding protein C1D antibody; rCG23324 antibody; RGD1560600 antibody; Small unique nuclear receptor corepressor antibody; SUNCOR antibody
-
宿主:Rabbit
-
反應種屬:Human
-
免疫原:Recombinant Human Nuclear nucleic acid-binding protein C1D protein (1-135AA)
-
免疫原種屬:Homo sapiens (Human)
-
標記方式:Non-conjugated
本頁面中的產品,C1D Antibody (CSB-PA03474A0Rb),的標記方式是Non-conjugated。對于C1D Antibody,我們還提供其他標記。見下表:
-
克隆類型:Polyclonal
-
抗體亞型:IgG
-
純化方式:>95%, Protein G purified
-
濃度:It differs from different batches. Please contact us to confirm it.
-
保存緩沖液:Preservative: 0.03% Proclin 300
Constituents: 50% Glycerol, 0.01M PBS, PH 7.4 -
產品提供形式:Liquid
-
應用范圍:ELISA, WB, IHC, IF
-
推薦稀釋比:
Application Recommended Dilution WB 1:2000-1:10000 IHC 1:50-1:500 IF 1:500-1:1000 -
Protocols:
-
儲存條件:Upon receipt, store at -20°C or -80°C. Avoid repeated freeze.
-
貨期:Basically, we can dispatch the products out in 1-3 working days after receiving your orders. Delivery time maybe differs from different purchasing way or location, please kindly consult your local distributors for specific delivery time.
-
用途:For Research Use Only. Not for use in diagnostic or therapeutic procedures.
相關產品
靶點詳情
-
功能:Plays a role in the recruitment of the RNA exosome complex to pre-rRNA to mediate the 3'-5' end processing of the 5.8S rRNA; this function may include MPHOSPH6. Can activate PRKDC not only in the presence of linear DNA but also in the presence of supercoiled DNA. Can induce apoptosis in a p53/TP53 dependent manner. May regulate the TRAX/TSN complex formation. Potentiates transcriptional repression by NR1D1 and THRB.
-
基因功能參考文獻:
- C1D is associated with the DNA repair complex and may promote repair of ultraviolet irradiation-induced DNA damage. PMID: 20530579
- Results are consistent with a role for the exosome-associated protein C1D in the recruitment of the exosome to pre-rRNA to mediate the 3' end processing of the 5.8S rRNA. PMID: 17412707
- Anti-C1D autoantibodies were observed in patients with polymyositis-scleroderma overlap syndrome. PMID: 17599775
- TRAX enhances the DNA binding capacity of Translin, that binds to recombination regions in some malignancies. C1D interacts with TRAX following g-irradiation and prevents formation of TRAX/Translin complex, thereby inhibits any unwanted recombination. PMID: 11801738
- The C1D protein interacts with the catalytic subunit of DNA-PK and is a very effective substrate for DNA-PK in vitro. Moreover, C1D directs the activation of DNA-PK in a manner that does not require DNA termini, suggesting a role for C1D in DNA repair. PMID: 9679063
顯示更多
收起更多
-
亞細胞定位:Nucleus. Cytoplasm. Nucleus, nucleolus.
-
蛋白家族:C1D family
-
組織特異性:Ubiquitous. Expressed at very high levels in the hippocampus, medulla oblongata, mammary gland, thyroid and salivary gland. Expressed at high levels in the fetal; lung, liver and kidney. Expressed at low levels in skeletal muscle, appendix, heart, lung an
-
數據庫鏈接:
Most popular with customers
-
-
YWHAB Recombinant Monoclonal Antibody
Applications: ELISA, WB, IHC, IF, FC
Species Reactivity: Human, Mouse, Rat
-
Phospho-YAP1 (S127) Recombinant Monoclonal Antibody
Applications: ELISA, WB, IHC
Species Reactivity: Human
-
-
-
-
-















