BUB3 Antibody
-
中文名稱:BUB3兔多克隆抗體
-
貨號:CSB-PA002884LA01HU
-
規格:¥440
-
圖片:
-
Western Blot
Positive WB detected in: Hela whole cell lysate, HEK293 whole cell lysate, MCF-7 whole cell lysate, HepG2 whole cell lysate, Mouse brain tissue
All lanes: BUB3 antibody at 3.4μg/ml
Secondary
Goat polyclonal to rabbit IgG at 1/50000 dilution
Predicted band size: 38, 37 kDa
Observed band size: 38, 37 kDa -
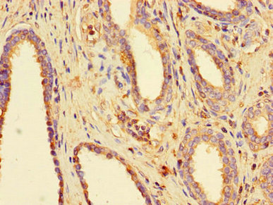
Immunohistochemistry of paraffin-embedded human prostate cancer using CSB-PA002884LA01HU at dilution of 1:100
-
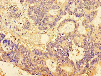
Immunohistochemistry of paraffin-embedded human colon cancer using CSB-PA002884LA01HU at dilution of 1:100
-
-
其他:
產品詳情
-
產品名稱:Rabbit anti-Homo sapiens (Human) BUB3 Polyclonal antibody
-
Uniprot No.:
-
基因名:
-
別名:Aa2-050 antibody; AU019800 antibody; AU021329 antibody; AU043350 antibody; AW146323 antibody; BUB 3 antibody; BUB 3L antibody; BUB3 (budding uninhibited by benzimidazoles 3; yeast) homolog antibody; bub3 antibody; BUB3 budding uninhibited by benzimidazoles 3 homolog antibody; BUB3 mitotic checkpoint protein antibody; BUB3_HUMAN antibody; BUB3L antibody; Budding uninhibited by benomyl antibody; Budding uninhibited by benzimidazoles 3 antibody; Budding uninhibited by benzimidazoles 3 homolog (S. cerevisiae) antibody; Budding uninhibited by benzimidazoles 3 homolog (yeast) antibody; Budding uninhibited by benzimidazoles 3 homolog antibody; Budding uninhibited by benzimidazoles 3; S. cerevisiae; homolog of antibody; C78067 antibody; hBUB3 antibody; Mitotic checkpoint component antibody; Mitotic checkpoint protein bub3 antibody; OTTHUMP00000020679 antibody; OTTHUMP00000020680 antibody; WD repeat type I transmembrane protein A72.5 antibody
-
宿主:Rabbit
-
反應種屬:Human, Mouse
-
免疫原:Recombinant Human Mitotic checkpoint protein BUB3 protein (6-217AA)
-
免疫原種屬:Homo sapiens (Human)
-
標記方式:Non-conjugated
本頁面中的產品,BUB3 Antibody (CSB-PA002884LA01HU),的標記方式是Non-conjugated。對于BUB3 Antibody,我們還提供其他標記。見下表:
-
克隆類型:Polyclonal
-
抗體亞型:IgG
-
純化方式:>95%, Protein G purified
-
濃度:It differs from different batches. Please contact us to confirm it.
-
保存緩沖液:Preservative: 0.03% Proclin 300
Constituents: 50% Glycerol, 0.01M PBS, PH 7.4 -
產品提供形式:Liquid
-
應用范圍:ELISA, WB, IHC
-
推薦稀釋比:
Application Recommended Dilution WB 1:2000-1:5000 IHC 1:20-1:200 -
Protocols:
-
儲存條件:Upon receipt, store at -20°C or -80°C. Avoid repeated freeze.
-
貨期:Basically, we can dispatch the products out in 1-3 working days after receiving your orders. Delivery time maybe differs from different purchasing way or location, please kindly consult your local distributors for specific delivery time.
-
用途:For Research Use Only. Not for use in diagnostic or therapeutic procedures.
相關產品
靶點詳情
-
功能:Has a dual function in spindle-assembly checkpoint signaling and in promoting the establishment of correct kinetochore-microtubule (K-MT) attachments. Promotes the formation of stable end-on bipolar attachments. Necessary for kinetochore localization of BUB1. Regulates chromosome segregation during oocyte meiosis. The BUB1/BUB3 complex plays a role in the inhibition of anaphase-promoting complex or cyclosome (APC/C) when spindle-assembly checkpoint is activated and inhibits the ubiquitin ligase activity of APC/C by phosphorylating its activator CDC20. This complex can also phosphorylate MAD1L1.
-
基因功能參考文獻:
- Small sequence differences in Bub1 and BubR1 direct Bub3 to different phosphorylated targets in the spindle assembly checkpoint signaling cascade. PMID: 28943088
- The integrity of the mitotic checkpoint complex depends on the specific recognition between BubR1 and Bub3, for which the BubR1 Gle2 binding sequence motif is essential. PMID: 27030009
- We show that kinetochore recruitment of BUBR1 and BUB3 by BUB1 is dispensable for SAC activation PMID: 26148513
- a mutual antagonism exists between Bub3 and dynein to ensure optimal KT-MT attachments PMID: 26526612
- the mechanisms of BUB3 in mitotic checkpoint signaling PMID: 25814666
- Data show sequential multisite regulation of the microtubule-associated protein KNL1-kinase-adaptor complex BUB1/BUB3 interaction. PMID: 25661489
- Data indicate that cell cycle protein Bub3-mediated kinetochore recruitment of BubR1 kinase enhances mitotic checkpoint signaling. PMID: 25246557
- Results suggest that these USP7-dependent effects are mediated by decreased levels of spindle assembly checkpoint (SAC) component Bub3. PMID: 25003721
- Mutations targeting the Bub3 interface prevent kinetochore recruitment of the SAC kinase Bub1. Crucially, they also cause a checkpoint defect, showing that recognition of phosphorylated targets by Bub3 is required for checkpoint signaling PMID: 24066227
- Results showed that neither variants in BUB3 nor variants in MAD2L1 caused any significant effect on the risk of breast cancer PMID: 24711138
- Mutations in BUB1 and BUB3 cause mosaic variegated aneuploidy and increase the risk of colorectal cancer at a young age. PMID: 23747338
- These results indicate that Bub3 and Cdc20 play additional roles in the integration of cell cycle arrest as transcriptional repressors. PMID: 15388328
- Allelic loss at 10q26 in osteosarcoma is reported in the region of BUB3. PMID: 15796961
- subpopulation of dynein, containing the DYNLT3 light chain, may be important for chromosome congression, in addition to having a role in the transport of checkpoint proteins from the kinetochore to the spindle pole PMID: 17289665
- Using RNA interference and high-resolution microscopy, we analyzed kinetochore-microtubule attachments in Bub3-depleted cells and compared them to those in Bub1- or BubR1-depleted cells. PMID: 18199686
- Results suggest a novel molecular mechanism leading to aneuploidy involving interference of TAp73alpha with Bub1 and Bub3 resulting in an altered mitotic checkpoint. PMID: 19182530
顯示更多
收起更多
-
亞細胞定位:Nucleus. Chromosome, centromere, kinetochore.
-
蛋白家族:WD repeat BUB3 family
-
數據庫鏈接:
Most popular with customers
-
-
YWHAB Recombinant Monoclonal Antibody
Applications: ELISA, WB, IHC, IF, FC
Species Reactivity: Human, Mouse, Rat
-
Phospho-YAP1 (S127) Recombinant Monoclonal Antibody
Applications: ELISA, WB, IHC
Species Reactivity: Human
-
-
-
-
-















