BTF3 Antibody
-
中文名稱:BTF3兔多克隆抗體
-
貨號:CSB-PA01714A0Rb
-
規格:¥440
-
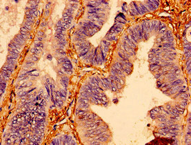
圖片:
-
其他:
產品詳情
-
產品名稱:Rabbit anti-Homo sapiens (Human) BTF3 Polyclonal antibody
-
Uniprot No.:
-
基因名:BTF3
-
別名:Basic transcription factor 3 antibody; BETA NAC antibody; BTF 3 antibody; btf3 antibody; BTF3_HUMAN antibody; BTF3a antibody; BTF3b antibody; NACB antibody; Nascent polypeptide associated complex beta polypeptide antibody; RNA polymerase B transcription factor 3 antibody; Transcription factor BTF3 antibody
-
宿主:Rabbit
-
反應種屬:Human
-
免疫原:Recombinant Human Transcription factor BTF3 protein (48-206AA)
-
免疫原種屬:Homo sapiens (Human)
-
標記方式:Non-conjugated
本頁面中的產品,BTF3 Antibody (CSB-PA01714A0Rb),的標記方式是Non-conjugated。對于BTF3 Antibody,我們還提供其他標記。見下表:
-
克隆類型:Polyclonal
-
抗體亞型:IgG
-
純化方式:>95%, Protein G purified
-
濃度:It differs from different batches. Please contact us to confirm it.
-
保存緩沖液:Preservative: 0.03% Proclin 300
Constituents: 50% Glycerol, 0.01M PBS, PH 7.4 -
產品提供形式:Liquid
-
應用范圍:ELISA, IHC, IF
-
推薦稀釋比:
Application Recommended Dilution IHC 1:20-1:200 IF 1:50-1:200 -
Protocols:
-
儲存條件:Upon receipt, store at -20°C or -80°C. Avoid repeated freeze.
-
貨期:Basically, we can dispatch the products out in 1-3 working days after receiving your orders. Delivery time maybe differs from different purchasing way or location, please kindly consult your local distributors for specific delivery time.
-
用途:For Research Use Only. Not for use in diagnostic or therapeutic procedures.
相關產品
靶點詳情
-
功能:When associated with NACA, prevents inappropriate targeting of non-secretory polypeptides to the endoplasmic reticulum (ER). Binds to nascent polypeptide chains as they emerge from the ribosome and blocks their interaction with the signal recognition particle (SRP), which normally targets nascent secretory peptides to the ER. BTF3 is also a general transcription factor that can form a stable complex with RNA polymerase II. Required for the initiation of transcription.
-
基因功能參考文獻:
- Findings provide a novel understanding of the mechanism of gastric cancer and highlight the important role of BTF3/FOXM1 in tumor growth and BTF3/JAK2/STAT3 in EMT and metastasis PMID: 28276310
- BTF3, HINT1, NDRG1 and ODC1 protein over-expression in human prostate cancer tissue PMID: 24386364
- may have a functional role in protecting against caries PMID: 23363935
- BTF3 expression is associated with enhanced cell proliferation, reduced cell cycle regulation and apoptosis and its silencing decreased colony forming and proliferation of gastric cancer cells. PMID: 23901224
- BTF3 overexpression may be an early event in colorectal cancer development and could be useful biomarker for the early stage of colorectal cancers (CRC); BTF3 has positive correlations with NF-kappaB, RAD50, MRE11, NBS1 and AEG-1 and might influence complex signal pathways in CRC PMID: 23532689
- BTF3 is overexpressed in pancreatic ductal adenocarcinoma , where it acts as a transcriptional regulator rather than a direct modulator of apoptosis. PMID: 17312387
- BTF3 interacts with ERalpha that has been activated either by 17beta-estradiol (ligand-dependent activation) or by epidermal growth factor (ligand-independent activation). PMID: 18025262
- In addition to RNA polymerase II (otherwise RNA pol II, RNA polymerase B), four general transcription factors are required for initiation of transcription: BTF1 (also referred to as TFIID) which has recently been cloned from yeast, BTF2, BTF3 and STF. PMID: 2320128
顯示更多
收起更多
-
亞細胞定位:Cytoplasm. Nucleus. Note=The heterodimer with NACA is cytoplasmic.
-
蛋白家族:NAC-beta family
-
數據庫鏈接:
Most popular with customers
-
-
YWHAB Recombinant Monoclonal Antibody
Applications: ELISA, WB, IHC, IF, FC
Species Reactivity: Human, Mouse, Rat
-
Phospho-YAP1 (S127) Recombinant Monoclonal Antibody
Applications: ELISA, WB, IHC
Species Reactivity: Human
-
-
-
-
-















