BSG Antibody
-
中文名稱:BSG兔多克隆抗體
-
貨號:CSB-PA570608
-
規格:¥1100
-
圖片:
-
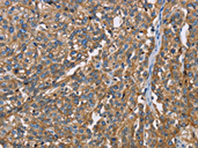
The image on the left is immunohistochemistry of paraffin-embedded Human esophagus cancer tissue using CSB-PA570608(BSG Antibody) at dilution 1/60, on the right is treated with fusion protein. (Original magnification: ×200)
-
The image on the left is immunohistochemistry of paraffin-embedded Human brain tissue using CSB-PA570608(BSG Antibody) at dilution 1/60, on the right is treated with fusion protein. (Original magnification: ×200)
-
Gel: 8%SDS-PAGE, Lysate: 40 μg, Lane 1-2: A549 cells, 231 cells, Primary antibody: CSB-PA570608(BSG Antibody) at dilution 1/430, Secondary antibody: Goat anti rabbit IgG at 1/8000 dilution, Exposure time: 12 seconds
-
-
其他:
產品詳情
-
Uniprot No.:
-
基因名:
-
別名:5A11 antigen antibody; 5F7 antibody; BASI_HUMAN antibody; Basigin (Ok blood group) antibody; Basigin antibody; Blood brain barrier HT7 antigen antibody; Bsg antibody; CD 147 antibody; CD147 antibody; CD147 antigen antibody; Collagenase stimulatory factor antibody; EMMPRIN antibody; Extracellular matrix metalloproteinase inducer antibody; Leukocyte activation antigen M6 antibody; M 6 antibody; M6 antibody; M6 leukocyte activation antigen antibody; Neurothelin antibody; OK antibody; OK blood group antibody; OK blood group antigen antibody; TCSF antibody; Tumor cell derived collagenase stimulatory factor antibody; Tumor cell-derived collagenase stimulatory factor antibody
-
宿主:Rabbit
-
反應種屬:Human
-
免疫原:Fusion protein of Human BSG
-
免疫原種屬:Homo sapiens (Human)
-
標記方式:Non-conjugated
-
抗體亞型:IgG
-
純化方式:Antigen affinity purification
-
濃度:It differs from different batches. Please contact us to confirm it.
-
保存緩沖液:-20°C, pH7.4 PBS, 0.05% NaN3, 40% Glycerol
-
產品提供形式:Liquid
-
應用范圍:ELISA,WB,IHC
-
推薦稀釋比:
Application Recommended Dilution ELISA 1:2000-1:5000 WB 1:500-1:2000 IHC 1:50-1:200 -
Protocols:
-
儲存條件:Upon receipt, store at -20°C or -80°C. Avoid repeated freeze.
-
貨期:Basically, we can dispatch the products out in 1-3 working days after receiving your orders. Delivery time maybe differs from different purchasing way or location, please kindly consult your local distributors for specific delivery time.
-
用途:For Research Use Only. Not for use in diagnostic or therapeutic procedures.
相關產品
靶點詳情
-
功能:Essential for normal retinal maturation and development. Acts as a retinal cell surface receptor for NXNL1 and plays an important role in NXNL1-mediated survival of retinal cone photoreceptors. In association with glucose transporter SLC16A1/GLUT1 and NXNL1, promotes retinal cone survival by enhancing aerobic glycolysis and accelerating the entry of glucose into photoreceptors. May act as a potent stimulator of IL6 secretion in multiple cell lines that include monocytes.; Signaling receptor for cyclophilins, essential for PPIA/CYPA and PPIB/CYPB-dependent signaling related to chemotaxis and adhesion of immune cells. Plays an important role in targeting monocarboxylate transporters SLC16A1/GLUT1, SLC16A11 and SLC16A12 to the plasma membrane. Acts as a coreceptor for vascular endothelial growth factor receptor 2 (KDR/VEGFR2) in endothelial cells enhancing its VEGFA-mediated activation and downstream signaling. Promotes angiogenesis through EPAS1/HIF2A-mediated up-regulation of VEGFA (isoform VEGF-165 and VEGF-121) and KDR/VEGFR2 in endothelial cells. Plays a key role in regulating tumor growth, invasion, metastasis and neoangiogenesis by stimulating the production and release of extracellular matrix metalloproteinases and KDR/VEGFR2 by both tumor cells and stromal cells (fibroblasts and endothelial cells).; (Microbial infection) Erythrocyte receptor for P.falciparum RH5 which is essential for erythrocyte invasion by the merozoite stage of P.falciparum isolates 3D7 and Dd2.; (Microbial infection) Erythrocyte receptor for P.falciparum RH5 which is essential for erythrocyte invasion by the merozoite stage of P.falciparum isolates 3D7, Dd2, 7G8 and HB3. Binding of P.falciparum RH5 results in BSG dimerization which triggers an increase in intracellular Ca(2+) in the erythrocyte. This essential step leads to a rearrangement of the erythrocyte cytoskeleton required for the merozoite invasion.; (Microbial infection) Can facilitate human SARS coronavirus (SARS-CoV-1) infection via its interaction with virus-associated PPIA/CYPA.; (Microbial infection) Can facilitate HIV-1 infection via its interaction with virus-associated PPIA/CYPA.; (Microbial infection) First described as a receptor for severe acute respiratory syndrome coronavirus 2 (SARS-CoV-2), it is not required for SARS-CoV-2 infection.; (Microbial infection) Acts as a receptor for measles virus.; (Microbial infection) Promotes entry of pentamer-expressing human cytomegalovirus (HCMV) into epithelial and endothelial cells.
-
基因功能參考文獻:
- ectopic CD147-polarized distribution on basolateral membrane promotes hepatocyte depolarization by activation of the CD147-integrin alpha5beta1-E-cadherin ubiquitination-partitioning defective 3 decrease and beta-catenin translocation signaling cascade, replenishing a molecular pathway in hepatic carcinogenesis PMID: 29356040
- CD147 and the beta2-adrenergic receptor form hetero-oligomeric complexes.Actinin-4 directly binds to the cytosolic tail of CD147 and governs the assembly of CD147-beta2-adrenergic receptor complexes in highly ordered clusters at bacterial adhesion sites. PMID: 28569760
- Plasma sCD147 levels are elevated in breast cancer patients. Soluble CD147 is also associated with tumour size, lymph node metastasis, high recurrent risk, and chemoresistance. PMID: 29807951
- overexpression of CD147 may promote OSF progression. PMID: 29457855
- these findings show that CD147 is a novel and key mediator of IL-22-induced psoriatic alterations in the epidermis and might be a therapeutic target in patients with psoriasis. PMID: 28272440
- Data indicate that CD147 promotes breast cancer cell proliferation, metastasis, and invasion by modulating matrix metalloproteinase 9 (MMP-9) and vascular endothelial growth factor (VEGF) expression. PMID: 29901696
- BSG expression is indicative of a poor prognosis in pulmonary adenocarcinoma PMID: 29431238
- CD147 expression was associated with clinicopathological features and biomarkers related to triple-negative breast cancer, particularly basal-like breast cancer. PMID: 30099407
- Characterization of the role of CD147 in the development of tumors should lead to a better understanding of the changes occurring at the molecular level during the development and progression of primary human bone cancer. PMID: 30043854
- Results find CD147 expression level increased in colorectal cancer (CRC) tumors and cell lines and inversely correlated with mir-485 expression. Also, CD147 is a target gene of miR485 which negatively regulates its gene expression. PMID: 29532886
- Our results indicate that concomitant stimulation and colocalization of galectin-3 with CD147 are associated with increased gelatinolytic activity in the actively ulcerating human cornea PMID: 29340650
- These findings reveal an important cytomegalovirus mechanism for evading antiviral innate immunity through its encoded microRNA US25-1-5p by targeting transmembrane glycoprotein CD147. PMID: 29194430
- on a major part of fibroblastic cells in encapsulating peritoneal sclerosis PMID: 28551820
- Review: Bsg is an extracellular receptor for CyPA that promotes cell proliferation and inflammation. Thus, the CyPA/Bsg system is potentially a novel therapeutic target for cardiovascular diseases. PMID: 28993547
- protein-protein interaction studies on TRAF6 and BSG to get molecular level insights of the reactions. PMID: 28612997
- results showed that the rs4919862 SNP of CD147 was closely associated with carotid atherosclerotic plaques formation; thus, polymorphisms of the CD147 gene may be related to the tendency for carotid atherosclerotic plaques PMID: 28582638
- Results indicated that higher expression of CD147/EMMPRIN potentially may be a prognostic marker for most cancers. CD147/EMMPRIN overexpression predicted a high risk for chemotherapy drugs resistance. CD147/EMMPRIN is a central player in tumor progression and predicts a poor prognosis. [review] PMID: 27608940
- BSG mutation is associated with early-onset high myopia. PMID: 28373534
- Cancer cells and fibroblasts interaction promotes breast cancer cells showing stem-like cell properties through up-regulation of EMMPRIN. PMID: 27325313
- Cholesterol depletion inhibits the endocytosis of CD147 but that the constitutive shedding of CD147 mediated by ADAM10 is enhanced. PMID: 28703811
- Overexpression of CD147 support the metabolic reprograming in papillary renal cell carcinoma PMID: 28028797
- This research found that CD147 is correlated with aggressiveness of the glioma, tumor grades, tumor size, necrosis, overall survival, and recurrence rate. PMID: 28560663
- Upregulation of CD147 Promotes Metastasis of Cholangiocarcinoma by Modulating the Epithelial-to-Mesenchymal Transitional Process PMID: 28244853
- Our retrospective analysis demonstrated CD147 protein expression was significantly associated with clinical N stage, and tumor stage. Meanwhile, it can also serve as an independent prognosis biomarker. PMID: 28427166
- miR-492 may be involved in the regulation of OK antigen expression on red blood cells with the BSG rs8259 TT genotype. PMID: 28981932
- Our findings show that emmprin is released through microvesicle shedding in sarcoma cells, and emmprin in microvesicles regulates MMP-2 production by influencing the activity of fibroblasts located at sites distant from the tumor cells. PMID: 28498412
- enhancement of the effect of trastuzumab on HER2-positive cells following CD147 knockdown might be attributed to increased apoptosis and decreased phosphorylation of signaling proteins PMID: 27363028
- this study shows that CD147 silencing inhibits tumor growth by suppressing glucose transport in melanoma PMID: 27556188
- Fucosylation of CD147 by Lewis y antigen enhanced the survival ability by promoting basic autophagy activity and restraining autophagic cell death in ovarian cancer. PMID: 27863372
- Review/Meta-analysis: up-regulation of CD147 was effectively predictive of worse prognosis in gastrointestinal cancer. PMID: 27768590
- Suggest a central role for CD147 in pancreatic cancer metabolic reprogramming, particularly with respect to amino acid anabolism and calcium signaling. PMID: 28039486
- combined CA9-/CD147-capture antibodies demonstrated high efficiency for capturing circulating renal cell carcinoma cells PMID: 27494883
- important factor in the aggressive behaviour of melanoma PMID: 27060463
- Xkr8-BSG/NPTN complex is required for phosphatidylserine scrambling in apoptotic cell membranes. PMID: 27503893
- Our study provides new evidence that interaction of KLF6 and Sp1 regulates basigin-2 expression in hepatocellular carcinoma PMID: 27057625
- EMMPRIN/MMPs/VEGF pathway is involved in PDR angiogenesis. PMID: 27860331
- study identified novel interactions between CD147 and RING1, recovered CD147 nuclear envelope distribution in melanoma cells, and suggested a new mechanism underlying how cytoplasmic CD147 promotes melanoma development PMID: 28832687
- Immunohistochemistry was employed to analyze cFos, cJun and CD147 expression in 41 UCB cases and 34 noncancerous human bladder tissues. PMID: 28358415
- High BSG expression is associated with multiple myeloma. PMID: 28017969
- report that a phosphoserine (pSer) in CD147 (pSer252) is responsible for this interaction and inhibition of the Smad4/p21(WAF1) signal that promotes cell proliferation PMID: 28684116
- findings indicate that Rab22a enhances recycling of CD147, which is required for lung cancer cell migration and invasion,and targeting CD147 recycling may be a rational strategy for lung cancer therapy PMID: 28433697
- Studied expression of CD147 in both ALK+ and ALK- anaplastic large-cell lymphoma; found CD147 to be a downstream target for activation by C/EBPbeta. PMID: 28581487
- this studies identify potential signaling routes of CD147 affecting T cell growth and function PMID: 28148733
- Our results highlight the important role of the TGF-beta1-CD147 self-sustaining network in driving HCC development by regulating differentiation plasticity, which provides a strong basis for further investigations of the differentiation therapy of HCC targeting TGF-beta1 and CD147. PMID: 27041581
- rs8259 polymorphism failed to exhibit an association with cardiovascular mortality (p = 0.283). BSG rs8259 polymorphism may contribute to decreased risk of Chronic Heart Failure in a Chinese Han population PMID: 28230811
- This study suggests that CD44 and CD147 together improve the prognostic efficacy of tumor differentiation; in vitro results further point out that these markers might be determinant of differentiation characteristics, imparting properties of increased self-renewal, migration, and invasion. PMID: 28631562
- Results suggest that CD147 promotes chemoresistance by activating MAPK/ERK signaling pathway in head and neck squamous cell carcinoma (HNSCC). PMID: 28062212
- PvTRAg38 binds to two erythrocyte receptors basigin and band 3 through P2 and P4 regions, respectively, to facilitate parasite growth. PMID: 27881677
- phosphatidylinositol 3-kinase/Akt pathway may be the probable signaling pathway underlying CD147 induced up-regulation of VEGF in U937-derived foam cells PMID: 27619643
- D147 expression is potentially closely related to Hepatocellular Carcinoma survival and associated clinicopathological parameters, paving the way for further research PMID: 28386553
顯示更多
收起更多
-
亞細胞定位:Melanosome.; [Isoform 1]: Cell membrane; Single-pass type I membrane protein. Photoreceptor inner segment. Cell projection, cilium, photoreceptor outer segment.; [Isoform 2]: Cell membrane; Single-pass type I membrane protein. Endosome. Endoplasmic reticulum membrane; Single-pass type I membrane protein. Basolateral cell membrane; Single-pass type I membrane protein.; [Isoform 3]: Cell membrane; Single-pass type I membrane protein.; [Isoform 4]: Cell membrane; Single-pass type I membrane protein.
-
組織特異性:[Isoform 1]: Retina-specific. Expressed in retinal cone photoreceptors (at protein level).; [Isoform 2]: Expressed in erythrocytes (at protein level). Highly expressed in melanoma cell lines (at protein level). Highly expressed in the heart, kidney, skele
-
數據庫鏈接:
Most popular with customers
-
-
YWHAB Recombinant Monoclonal Antibody
Applications: ELISA, WB, IHC, IF, FC
Species Reactivity: Human, Mouse, Rat
-
-
-
-
-
-















