BRCA1 Antibody
-
中文名稱:BRCA1兔多克隆抗體
-
貨號:CSB-PA291937
-
規格:¥1100
-
圖片:
-
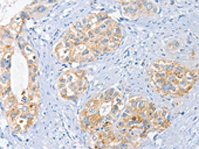
The image on the left is immunohistochemistry of paraffin-embedded Human liver cancer tissue using CSB-PA291937(BRCA1 Antibody) at dilution 1/35, on the right is treated with fusion protein. (Original magnification: ×200)
-
The image on the left is immunohistochemistry of paraffin-embedded Human cervical cancer tissue using CSB-PA291937(BRCA1 Antibody) at dilution 1/35, on the right is treated with fusion protein. (Original magnification: ×200)
-
-
其他:
產品詳情
-
Uniprot No.:
-
基因名:
-
別名:BRCA 1 antibody; BRCA1 antibody; BRCA1 DNA repair associated antibody; BRCA1/BRCA2 containing complex subunit 1 antibody; BRCA1/BRCA2-containing complex; subunit 1 antibody; BRCA1_HUMAN antibody; BRCAI antibody; BRCC 1 antibody; BRCC1 antibody; Breast and ovarian cancer susceptibility protein 1 antibody; Breast Cancer 1 antibody; Breast Cancer 1 Early Onset antibody; Breast cancer type 1 susceptibility protein antibody; BROVCA1 antibody; FANCS antibody; IRIS antibody; PNCA4 antibody; PPP1R53 antibody; Protein phosphatase 1 regulatory subunit 53 antibody; PSCP antibody; RING finger protein 53 antibody; RNF53 antibody
-
宿主:Rabbit
-
反應種屬:Human
-
免疫原:Fusion protein of Human BRCA1
-
免疫原種屬:Homo sapiens (Human)
-
標記方式:Non-conjugated
-
抗體亞型:IgG
-
純化方式:Antigen affinity purification
-
濃度:It differs from different batches. Please contact us to confirm it.
-
保存緩沖液:-20°C, pH7.4 PBS, 0.05% NaN3, 40% Glycerol
-
產品提供形式:Liquid
-
應用范圍:ELISA,IHC
-
推薦稀釋比:
Application Recommended Dilution ELISA 1:1000-1:5000 IHC 1:50-1:200 -
Protocols:
-
儲存條件:Upon receipt, store at -20°C or -80°C. Avoid repeated freeze.
-
貨期:Basically, we can dispatch the products out in 1-3 working days after receiving your orders. Delivery time maybe differs from different purchasing way or location, please kindly consult your local distributors for specific delivery time.
-
用途:For Research Use Only. Not for use in diagnostic or therapeutic procedures.
相關產品
靶點詳情
-
功能:E3 ubiquitin-protein ligase that specifically mediates the formation of 'Lys-6'-linked polyubiquitin chains and plays a central role in DNA repair by facilitating cellular responses to DNA damage. It is unclear whether it also mediates the formation of other types of polyubiquitin chains. The BRCA1-BARD1 heterodimer coordinates a diverse range of cellular pathways such as DNA damage repair, ubiquitination and transcriptional regulation to maintain genomic stability. Regulates centrosomal microtubule nucleation. Required for appropriate cell cycle arrests after ionizing irradiation in both the S-phase and the G2 phase of the cell cycle. Required for FANCD2 targeting to sites of DNA damage. Inhibits lipid synthesis by binding to inactive phosphorylated ACACA and preventing its dephosphorylation. Contributes to homologous recombination repair (HRR) via its direct interaction with PALB2, fine-tunes recombinational repair partly through its modulatory role in the PALB2-dependent loading of BRCA2-RAD51 repair machinery at DNA breaks. Component of the BRCA1-RBBP8 complex which regulates CHEK1 activation and controls cell cycle G2/M checkpoints on DNA damage via BRCA1-mediated ubiquitination of RBBP8. Acts as a transcriptional activator.
-
基因功能參考文獻:
- We conclude that BRCA1 and BRCA2 could be used as clinicopathological biomarkers to evaluate the prognosis of digestive system cancers. PMID: 29126833
- RAP80-BRCA1 complex foci formation is regulated by USP13.BRCA1 role in the DNA damage response. PMID: 28569838
- RANK/RANKL were identified as crucial regulators for BRCA1 mutation-driven breast cancer. Current prevention strategies for BRCA1 mutation carriers are associated with wide-ranging risks; therefore, the search for alternative, non-invasive strategies is of paramount importance PMID: 29241686
- Neither the patients tested nor the control subjects showed germline hypermethylation of the BRCA1 and BRCA2 promoter regions analyzed PMID: 29404838
- Male carrying BRCA mutations have significantly lower QMAX than healthy men. BRCA1 patients have on average larger prostate glands and higher PSA than BRCA2 patients. PMID: 28577930
- Results provide evidence that BRCA1 undergoes intronic premature polyadenylation (pPA) following large internal exons, and that N(6)-methyladenosine levels in this exon are reduced in pPA-activated breast cancer cells. PMID: 29362392
- The combination of immunohistochemical expression of BRCA1, ER, PR, and HER-2/neu and clinicopathological details may be helpful in predicting the individuals more likely to carry BRCA1 mutations and thus selecting the candidate and family members for genetic screening for BRCA1 mutations. PMID: 29567881
- methylation of BRCA1 was found to be significantly associated with tumor grade PMID: 30049201
- The IRIS-driven metastatic mechanism results from IRIS-dependent suppression of phosphatase and tensin homolog (PTEN) transcription, which in turn perturbs the PI3K/AKT/GSK-3beta pathway leading to prolyl hydroxylase-independent HIF-1alpha stabilization and activation in a normoxic environment. PMID: 30254159
- Both BRCA1 and BRCA2 mutations are associated with an increased risk for Prostate cancer(PC). BRCA2 in particular confers a more aggressive PC phenotype with a higher probability of locally advanced and metastatic disease, and should be considered a prognostic marker associated with poorer survival PMID: 29242595
- Among BRCA mutation( BRCA1 or BRCA2) carriers, the mortality benefit of preventive mastectomy at age 25 is substantial, but the expected benefit declines rapidly with increasing age at surgery. PMID: 28914396
- Significant increase in frequencies ofTP53 (rs1042522 G/C), BRCA1 (rs71361504 -/GTT, rs3092986T/C) genotypes and alleles in polycystic ovary patients compared to controls. PMID: 29860059
- BRCA1 Interacting Protein COBRA1 Facilitates Adaptation to Castrate-Resistant Growth Conditions. PMID: 30036938
- this family depicts the intertwining cancer spectrum of with hereditary breast and ovarian cancer (HBOC) and familial pancreatic cancer (FPC) in BRCA1 families and raises awareness for the significance of considering pancreatic (head) adenocarcinoma (PAC)as differential phenotypic representation of the HBOC tumor spectrum. (Fig. 1a) and one pancreatic (head) adenocarcinoma (PAC) PMID: 28900739
- High BRCA1 promoter methylation is linked to tumor grade and lymph node metastasis in breast cancer. PMID: 29970689
- The present study demonstrates a clear protective effect of early first pregnancy on breast cancer risk in both BRCA1 and BRCA2 mutation carriers. PMID: 29116468
- BRCA1 deficiency was recurrent in early-onset triple-negative breast cancer in Brazilian patients and associated with improved survival PMID: 29116469
- Overall, 5152 oncogenetic tests were reviewed in the present study, of which 4452 had no a priori known familial mutation. The majority of participants (68.6%) were genotyped because of personal history of cancer; 20.6% were tested because of family history of cancer, and details for the remaining 10.7% were missing. Overall, 256/4452 (5.8%) carriers were detected, 141 BRCA1 and 115 BRCA2 mutation carriers. PMID: 29086229
- CLDN3 expression and negative EGFR expression are associated with BRCA1 mutations in triple-negative breast cancers. PMID: 30142017
- The present study aimed to clarify the clinicopathological features, including the level of p53 protein expression and BRCA mutations, of primary fallopian tube cancer (PFTC) in Japanese women. PMID: 29982601
- Authors found that BRCA1/2 germline mutations in China exhibit distinct characteristics compared to those in Western populations. PMID: 29681614
- analysis confirmed association between BRCA1 promoter methylation and breast cancer in Asia PMID: 29693332
- A novel electrochemical DNA (E-DNA) biosensing strategy was designed and used for the detection of breast cancer susceptibility gene (BRCA-1). PMID: 29698810
- Data suggest that targeting of breast cancer 1, early onset protein (BRCA1)-ribonucleotide reductase regulatory subunit M2 (RRM2) axis may represent a paradigm for therapeutic intervention in glioblastoma (GBM). PMID: 27845331
- We show a strong association between Triple Negative Breast Cancer and mutations in BRCA1/2 genes and the poor outcome of these patients. The survival curve analysis showed that the presence of AKT1, TP53, KDR, KIT, BRCA1 and BRCA2 mutations is correlated with a poor prognosis. PMID: 29202330
- Germline Mutation in the BRCA1 3'UTR Variant is associated with Breast Cancer. PMID: 29582646
- Homozygous loss of function BRCA1 variant causes a Fanconi-anemia-like phenotype. PMID: 29133208
- In summary, Nestin was strongly associated with germline BRCA1 related breast cancer, a basal-like phenotype, reduced survival, and stemness characteristics. PMID: 28439082
- Homozygous nonsense mutations in the tumor suppressor gene BRCA1 is associated with breast and ovarian cancer. PMID: 29712865
- Low BRCA1 expression is associated with radioresistance of glioma. PMID: 29286157
- BRCA1 germ line mutation is associated with unilateral triple-negative breast cancer. PMID: 29514593
- BRCA1 germ line mutation is associated with ovarian cancer. PMID: 29506471
- High Promoter Methylation of BRCA1 gene is associated with Breast Cancer. PMID: 29480000
- Ewing sarcoma cells display alterations in regulation of damage-induced transcription, accumulation of R-loops and increased replication stress; homologous recombination is impaired in Ewing sarcoma owing to an enriched interaction between BRCA1 and the elongating transcription machinery; also, a role is found for EWSR1 in the transcriptional response to damage, suppressing R-loops and promoting homologous recombination PMID: 29513652
- Data indicate that BRCA1/2 mutations are not uncommon among selected Jordanian females with breast cancer. PMID: 29409476
- Data show that male BRCA1/2 mutation carriers with breast and prostate cancer indicated a favorable 5-year survival. PMID: 29433453
- findings provided the evidence that gBRCA1/2 mutation was not associated with survival in Chinese EOC patients, which possibly attributed to more than 37% of the patients without gross residual disease. Survival benefit of gBRCA1/2 mutation was prominent in ovarian cancer patients with gross residual disease. PMID: 29975922
- BRCA1 SNP rs1799950 is associated with Enhanced response rate to pegylated liposomal doxorubicin in high grade serous ovarian carcinomas. PMID: 29298688
- The results of Ion PGM with OTG-snpcaller, a pipeline based on Torrent mapping alignment program and Genome Analysis Toolkit, from 75 clinical samples and 14 reference DNA samples were compared with Sanger sequencing for BRCA1/BRCA2. PMID: 28392550
- Reduced BRCA1 expression was associated with ER and PR negative status resulting in Breast Carcinoma. PMID: 29286222
- In this study, we used comprehensive multigene panels that included 35 known or suspected cancer susceptibility genes to examine BRCA1/2 mutation-negative Korean patients who had clinical features indicative of hereditary breast cancer PMID: 29338689
- Pre-menopausal BRCA1/2 mutation carriers aged 30 to 47years chose screening, RRSO, or BS/DO. For those undergoing BS/DO, the delayed oophorectomy was recommended at age 40years for BRCA1 and age 45years for BRCA2 patients. PMID: 29735278
- Based on a cumulative risk of 0.55% to age 35 for BRCA1 mutation carriers and of 0.56% to age 45 for BRCA2 mutation carriers, we recommend bilateral salpingo-oophorectomy before age 40, but by age 35, for women with a BRCA1 mutation and by age 45 for those with a BRCA2 mutation to maximize prevention and to minimize adverse effects. PMID: 29793803
- We demonstrate that homologous recombination deficiency (HRD)mutation signatures may offer clinically relevant information independently of BRCA1/2 mutation status and hope this work will guide the development of clinical trials PMID: 29246904
- Overall, 65/648 (10%) study participants were BRCA1/2 mutation carriers. PMID: 30061222
- BRCA1*R1699Q confers an intermediate risk for breast cancer and ovarian cancer. PMID: 28490613
- patient-derived xenografts capture the molecular and phenotypic heterogeneity of triple-negative breast cancer . Here we show that PARP inhibition can have activity beyond germline BRCA1/2 altered tumors, causing regression in a variety of molecular subtypes. These models represent an opportunity for the discovery of rational combinations with targeted therapies and predictive biomarkers PMID: 29093017
- BRCA methylation is rare in breast and ovarian carcinomas of BRCA germline mutation carriers, although the frequency of BRCA promoter methylation may be underestimated. This could have major implications for clinical practice, including referral for genetic testing and BRCAness analysis for treatment decision-making. PMID: 29891109
- Carboplatin and talazoparib showed efficacy in DNA damage mutation carriers, but hematologic toxicity was more pronounced in gBRCA(gBRCA1/2) carriers. Carboplatin is best combined with intermittent talazoparib dosing differentiated by germline and somatic DNA damage mutation carriers PMID: 28790114
- Putative BRCA1/2 reversion mutations can be detected by cfDNA sequencing analysis in patients with ovarian and breast cancer. Our findings warrant further investigation of cfDNA sequencing to identify putative BRCA1/2 reversion mutations and to aid the selection of patients for PARP inhibition therapy PMID: 28765325
顯示更多
收起更多
-
相關疾病:Breast cancer (BC); Breast-ovarian cancer, familial, 1 (BROVCA1); Ovarian cancer (OC); Pancreatic cancer 4 (PNCA4)
-
亞細胞定位:Nucleus. Chromosome. Cytoplasm.; [Isoform 3]: Cytoplasm.; [Isoform 5]: Cytoplasm.
-
組織特異性:Isoform 1 and isoform 3 are widely expressed. Isoform 3 is reduced or absent in several breast and ovarian cancer cell lines.
-
數據庫鏈接:
Most popular with customers
-
-
YWHAB Recombinant Monoclonal Antibody
Applications: ELISA, WB, IHC, IF, FC
Species Reactivity: Human, Mouse, Rat
-
Phospho-YAP1 (S127) Recombinant Monoclonal Antibody
Applications: ELISA, WB, IHC
Species Reactivity: Human
-
-
-
-
-















