BPIFB3 Antibody
-
中文名稱:BPIFB3兔多克隆抗體
-
貨號:CSB-PA080665
-
規格:¥1100
-
圖片:
-
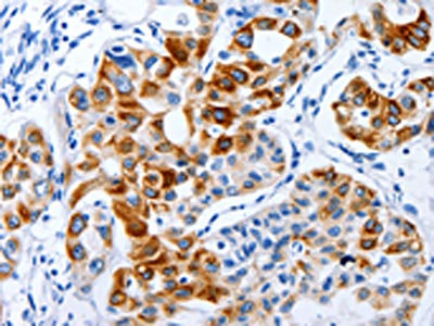
The image on the left is immunohistochemistry of paraffin-embedded Human colon cancer tissue using CSB-PA080665(BPIFB3 Antibody) at dilution 1/120, on the right is treated with synthetic peptide. (Original magnification: ×200)
-
The image on the left is immunohistochemistry of paraffin-embedded Human lung cancer tissue using CSB-PA080665(BPIFB3 Antibody) at dilution 1/120, on the right is treated with synthetic peptide. (Original magnification: ×200)
-
Gel: 8%SDS-PAGE, Lysate: 40 μg, Lane: Human lung cancer tissue, Primary antibody: CSB-PA080665(BPIFB3 Antibody) at dilution 1/1600, Secondary antibody: Goat anti rabbit IgG at 1/8000 dilution, Exposure time: 30 seconds
-
-
其他:
產品詳情
-
Uniprot No.:
-
基因名:BPIFB3
-
別名:BPIFB3 antibody; C20orf185 antibody; LPLUNC3 antibody; BPI fold-containing family B member 3 antibody; Ligand-binding protein RYA3 antibody; Long palate antibody; lung and nasal epithelium carcinoma-associated protein 3 antibody
-
宿主:Rabbit
-
反應種屬:Human
-
免疫原:Synthetic peptide of Human BPIFB3
-
免疫原種屬:Homo sapiens (Human)
-
標記方式:Non-conjugated
-
抗體亞型:IgG
-
純化方式:Antigen affinity purification
-
濃度:It differs from different batches. Please contact us to confirm it.
-
保存緩沖液:-20°C, pH7.4 PBS, 0.05% NaN3, 40% Glycerol
-
產品提供形式:Liquid
-
應用范圍:ELISA,WB,IHC
-
推薦稀釋比:
Application Recommended Dilution ELISA 1:2000-1:10000 WB 1:1000-1:5000 IHC 1:100-1:300 -
Protocols:
-
儲存條件:Upon receipt, store at -20°C or -80°C. Avoid repeated freeze.
-
貨期:Basically, we can dispatch the products out in 1-3 working days after receiving your orders. Delivery time maybe differs from different purchasing way or location, please kindly consult your local distributors for specific delivery time.
-
用途:For Research Use Only. Not for use in diagnostic or therapeutic procedures.
相關產品
靶點詳情
-
功能:May have the capacity to recognize and bind specific classes of odorants. May act as a carrier molecule, transporting odorants across the mucus layer to access receptor sites. May serve as a primary defense mechanism by recognizing and removing potentially harmful odorants or pathogenic microorganisms from the mucosa or clearing excess odorant from mucus to enable new odorant stimuli to be received.
-
基因功能參考文獻:
- Overexpression of BPIFB3 inhibits coxsackievirus B replication, dramatically alters the morphology of LC3B-positive vesicles, and suppresses autophagy in response to rapamycin. PMID: 25491355
- Observational study of gene-disease association. (HuGE Navigator) PMID: 20237496
-
亞細胞定位:Secreted. Cytoplasm. Note=According to PubMed:12837268, it is cytoplasmic.
-
蛋白家族:BPI/LBP/Plunc superfamily, BPI/LBP family
-
組織特異性:Detected in nasal septal epithelium.
-
數據庫鏈接:
Most popular with customers
-
-
YWHAB Recombinant Monoclonal Antibody
Applications: ELISA, WB, IHC, IF, FC
Species Reactivity: Human, Mouse, Rat
-
Phospho-YAP1 (S127) Recombinant Monoclonal Antibody
Applications: ELISA, WB, IHC
Species Reactivity: Human
-
-
-
-
-















