BPIFB2 Antibody
-
中文名稱:BPIFB2兔多克隆抗體
-
貨號:CSB-PA032305
-
規格:¥1100
-
圖片:
-
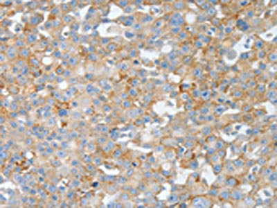
The image on the left is immunohistochemistry of paraffin-embedded Human breast cancer tissue using CSB-PA032305(BPIFB2 Antibody) at dilution 1/50, on the right is treated with synthetic peptide. (Original magnification: ×200)
-
Gel: 10%SDS-PAGE, Lysate: 80 μg, Lane: Human lung tissue, Primary antibody: CSB-PA032305(BPIFB2 Antibody) at dilution 1/530, Secondary antibody: Goat anti rabbit IgG at 1/8000 dilution, Exposure time: 10 minutes
-
-
其他:
產品詳情
-
Uniprot No.:
-
基因名:BPIFB2
-
別名:Bactericidal permeability increasing protein like 1 antibody; Bactericidal/permeability-increasing protein-like 1 antibody; BPI fold-containing family B member 2 antibody; BPI-like 1 antibody; BPIB2_HUMAN antibody; Bpifb2 antibody; C20orf184 antibody; dJ726C3.2 antibody; Long palate antibody; Long palate lung and nasal epithelium carcinoma associated 2 antibody; Long palate lung and nasal epithelium carcinoma associated protein 2 antibody; LPLUNC2 antibody; lung and nasal epithelium carcinoma-associated protein 2 antibody; OTTHUMP00000030612 antibody; RYSR antibody
-
宿主:Rabbit
-
反應種屬:Human,Mouse
-
免疫原:Synthetic peptide of Human BPIFB2
-
免疫原種屬:Homo sapiens (Human)
-
標記方式:Non-conjugated
-
抗體亞型:IgG
-
純化方式:Antigen affinity purification
-
濃度:It differs from different batches. Please contact us to confirm it.
-
保存緩沖液:-20°C, pH7.4 PBS, 0.05% NaN3, 40% Glycerol
-
產品提供形式:Liquid
-
應用范圍:ELISA,WB,IHC
-
推薦稀釋比:
Application Recommended Dilution ELISA 1:2000-1:10000 WB 1:1000-1:5000 IHC 1:25-1:100 -
Protocols:
-
儲存條件:Upon receipt, store at -20°C or -80°C. Avoid repeated freeze.
-
貨期:Basically, we can dispatch the products out in 1-3 working days after receiving your orders. Delivery time maybe differs from different purchasing way or location, please kindly consult your local distributors for specific delivery time.
-
用途:For Research Use Only. Not for use in diagnostic or therapeutic procedures.
相關產品
靶點詳情
-
基因功能參考文獻:
- BPIL1 maps to Chromosome 20q11; thus, these novel genes form a cluster with BPI and two other members of the LT/LBP gene family on the long arm of human Chr 20. AA sequence is reported. PMID: 12185532
-
亞細胞定位:Secreted.
-
蛋白家族:BPI/LBP/Plunc superfamily, BPI/LBP family
-
組織特異性:Highly expressed in tonsils, especially in hypertrophic tonsils. Detected at very low levels in fetal liver.
-
數據庫鏈接:
Most popular with customers
-
YWHAB Recombinant Monoclonal Antibody
Applications: ELISA, WB, IHC, IF, FC
Species Reactivity: Human, Mouse, Rat
-
Phospho-YAP1 (S127) Recombinant Monoclonal Antibody
Applications: ELISA, WB, IHC
Species Reactivity: Human
-
-
-
-
-
-















