BOD1 Antibody
-
中文名稱:BOD1兔多克隆抗體
-
貨號:CSB-PA911937
-
規格:¥1100
-
圖片:
-
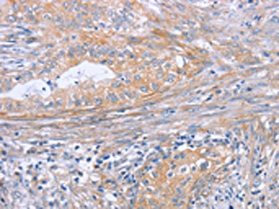
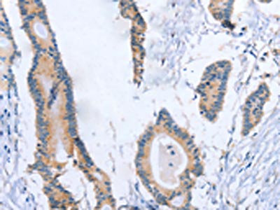
The image on the left is immunohistochemistry of paraffin-embedded Human cervical cancer tissue using CSB-PA911937(BOD1 Antibody) at dilution 1/30, on the right is treated with synthetic peptide. (Original magnification: ×200)
-
The image on the left is immunohistochemistry of paraffin-embedded Human colon cancer tissue using CSB-PA911937(BOD1 Antibody) at dilution 1/30, on the right is treated with synthetic peptide. (Original magnification: ×200)
-
-
其他:
產品詳情
-
Uniprot No.:
-
基因名:BOD1
-
別名:BOD1 antibody; FAM44BBiorientation of chromosomes in cell division protein 1 antibody; Biorientation defective protein 1 antibody; Protein FAM44B antibody
-
宿主:Rabbit
-
反應種屬:Human,Mouse,Rat
-
免疫原:Synthetic peptide of Human BOD1
-
免疫原種屬:Homo sapiens (Human)
-
標記方式:Non-conjugated
-
抗體亞型:IgG
-
純化方式:Antigen affinity purification
-
濃度:It differs from different batches. Please contact us to confirm it.
-
保存緩沖液:-20°C, pH7.4 PBS, 0.05% NaN3, 40% Glycerol
-
產品提供形式:Liquid
-
應用范圍:ELISA,IHC
-
推薦稀釋比:
Application Recommended Dilution ELISA 1:1000-1:5000 IHC 1:25-1:100 -
Protocols:
-
儲存條件:Upon receipt, store at -20°C or -80°C. Avoid repeated freeze.
-
貨期:Basically, we can dispatch the products out in 1-3 working days after receiving your orders. Delivery time maybe differs from different purchasing way or location, please kindly consult your local distributors for specific delivery time.
-
用途:For Research Use Only. Not for use in diagnostic or therapeutic procedures.
相關產品
靶點詳情
-
功能:Required for proper chromosome biorientation through the detection or correction of syntelic attachments in mitotic spindles.
-
基因功能參考文獻:
- Kinetochore targeting of Bod1 depends on Ndc80 and not PP2A-B56. Bod1 depletion functionally affects Ndc80 phosphorylation at S55. PMID: 29142109
- these results suggest that radiation alters miR-142-3p and Bod1 expression in carcinoma cells, and thus contributes to early stages of radiation-induced genomic instability PMID: 27527863
- we established two Drosophila models, where neuron-specific knockdown of BOD1 caused pronounced learning deficits and significant abnormalities in synapse morphology. Together our results reveal novel postmitotic functions of BOD1 as well as pathogenic mechanisms that strongly support a causative role of BOD1 deficiency in the aetiology of intellectual disability. PMID: 27166630
- Bod1 regulates protein phosphatase 2A at mitotic kinetochores. PMID: 24157919
- Bod1 is a novel kinetochore protein that is required for the detection or resolution of syntelic attachments in mitotic spindles. PMID: 17938248
- siRNA depeletion of Fam44B (named Bod1 - Biorientation Defective 1 in this publication) resulted in persistent chromosome congression defects in metaphase. PMID: 17938248
顯示更多
收起更多
-
亞細胞定位:Cytoplasm, cytoskeleton, microtubule organizing center, centrosome. Chromosome, centromere, kinetochore. Note=Localizes at the centrosomes throughout the cell cycle, only dissociating during cytokinesis. Localizes at the kinetochore from prometaphase until anaphase.
-
蛋白家族:BOD1 family
-
數據庫鏈接:
Most popular with customers
-
-
YWHAB Recombinant Monoclonal Antibody
Applications: ELISA, WB, IHC, IF, FC
Species Reactivity: Human, Mouse, Rat
-
Phospho-YAP1 (S127) Recombinant Monoclonal Antibody
Applications: ELISA, WB, IHC
Species Reactivity: Human
-
-
-
-
-















