BNIP3 Antibody
-
中文名稱:BNIP3兔多克隆抗體
-
貨號:CSB-PA618642ESR1HU
-
規格:¥440
-
圖片:
-
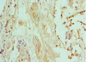
Immunohistochemistry of paraffin-embedded human prostate tissue using CSB-PA618642ESR1HU at dilution of 1:100
-
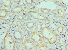
Immunohistochemistry of paraffin-embedded human kidney tissue using CSB-PA618642ESR1HU at dilution of 1:100
-
Immunofluorescent analysis of MCF-7 cells using CSB-PA618642ESR1HU at dilution of 1:100 and Alexa Fluor 488-congugated AffiniPure Goat Anti-Rabbit IgG(H+L)
-
-
其他:
產品詳情
-
產品名稱:Rabbit anti-Homo sapiens (Human) BNIP3 Polyclonal antibody
-
Uniprot No.:
-
基因名:
-
別名:BNIP3; NIP3; BCL2/adenovirus E1B 19 kDa protein-interacting protein 3
-
宿主:Rabbit
-
反應種屬:Human
-
免疫原:Recombinant Human BCL2/adenovirus E1B 19 kDa protein-interacting protein 3 protein (1-164AA)
-
免疫原種屬:Homo sapiens (Human)
-
標記方式:Non-conjugated
-
克隆類型:Polyclonal
-
抗體亞型:IgG
-
純化方式:Antigen Affinity Purified
-
濃度:It differs from different batches. Please contact us to confirm it.
-
保存緩沖液:PBS with 0.02% sodium azide, 50% glycerol, pH7.3.
-
產品提供形式:Liquid
-
應用范圍:ELISA, IHC, IF
-
推薦稀釋比:
Application Recommended Dilution IHC 1:20-1:200 IF 1:50-1:200 -
Protocols:
-
儲存條件:Upon receipt, store at -20°C or -80°C. Avoid repeated freeze.
-
貨期:Basically, we can dispatch the products out in 1-3 working days after receiving your orders. Delivery time maybe differs from different purchasing way or location, please kindly consult your local distributors for specific delivery time.
-
用途:For Research Use Only. Not for use in diagnostic or therapeutic procedures.
相關產品
靶點詳情
-
功能:Apoptosis-inducing protein that can overcome BCL2 suppression. May play a role in repartitioning calcium between the two major intracellular calcium stores in association with BCL2. Involved in mitochondrial quality control via its interaction with SPATA18/MIEAP: in response to mitochondrial damage, participates in mitochondrial protein catabolic process (also named MALM) leading to the degradation of damaged proteins inside mitochondria. The physical interaction of SPATA18/MIEAP, BNIP3 and BNIP3L/NIX at the mitochondrial outer membrane regulates the opening of a pore in the mitochondrial double membrane in order to mediate the translocation of lysosomal proteins from the cytoplasm to the mitochondrial matrix. Plays an important role in the calprotectin (S100A8/A9)-induced cell death pathway.
-
基因功能參考文獻:
- BNIP3 was mainly localized in the cytoplasm, and high expression of BNIP3 accounted for 31.9% (15/47) of the uveal melanoma patients in our study. High expression of BNIP3 was demonstrated to be significantly associated with more pigment (P=0.018) and deeper scleral invasion (P=0.013). PMID: 29982263
- lncRNA HULC up-regulated BNIP3. PMID: 29803927
- TUG1 overexpression aggravates hypoxia injury of cardiomyocytes by regulating miR-145-5p-Bnip3 axis to activate Wnt/beta-catenin pathways. PMID: 29207102
- In ESCC cells, although BNIP3-induced autophagy is protective, BNIP3 exerts a pro-death function under hypoxia. PMID: 28859361
- Silencing of BNIP3 suppressed free fatty acid synthesis in mesenchymal stem cells. BNIP3 induction by hypoxia stimulates FASN-dependent free fatty acid production. PMID: 28704726
- Apoptosis, but not autophagy, that is induced via p21-activated BNIP3 expression accounts for the efficacy of ICMT inhibition in sensitive pancreatic cancer cells in both in vitro and in vivo models. In contrast, cells resistant to ICMT inhibition demonstrated no mitochondria dysfunction or p21 signaling changes under ICMT suppression PMID: 28167504
- BNIP3 is a significant contributor to the pathogenesis of inflammation-induced heart failure pathologies [review] PMID: 27112557
- The authors find that KDM3A promotes anoikis through transcriptional activation of BNIP3 and BNIP3L, which encode pro-apoptotic proteins. PMID: 27472901
- BNIP3-induced autophagy. PMID: 28151469
- the results suggest that BNIP3 plays a vital role in regulating PINK1 mitochondrial outer membrane localization, the proteolytic process of PINK1 and PINK1/parkin-mediated mitophagy under physiological conditions. PMID: 27528605
- High BNIP3 expression is associated with chronic myelogenous leukemia. PMID: 27592257
- Results suggest that changes in mitochondrial morphology and transmembrane potential, induced by mutant htt protein, are dependent and linked to BNip3 and not to Bax/Bak activation. PMID: 26358776
- Hypoxia-induced autophagy contributes to the invasion of salivary adenoid cystic carcinoma through the HIF-1alpha/BNIP3 signaling pathway. PMID: 26323347
- The data indicated that BNIP3 plays a vital role in the tumorigenesis of adenoid cystic carcinoma and could be a new target for gene therapy of adenoid cystic carcinoma. PMID: 25769455
- BNIP3 deletion can be used as a prognostic marker of tumor progression to metastasis in human triple-negative breast cancer PMID: 26232272
- BNIP3 expression was found to be regulated by Sp3 in prostate cancer. PMID: 26012884
- phosphorylation of these C-terminal BNIP3 residues blocks cell death without preventing autophagy, providing evidence that the two functional roles of BNIP3 can be regulated independently PMID: 26102349
- Bnip3 dual-functionality and crosstalk between mitophagy and apoptosis pathways is presented here. PMID: 26253153
- these findings revealed that silibinin induced autophagic cell death through ROS-dependent mitochondrial dysfunction and ATP depletion involving BNIP3 in MCF7 cells. PMID: 25891311
- The findings of the present study reveal a novel survival pathway that functionally couples the unique glycolytic phenotype in cancer cells to hypoxia resistance via a PDK2-dependent mechanism that switches Bnip3 from cell death to survival. PMID: 26416963
- Mevalonate depletion through HMG-CoA reductase inhibition impairs the viability of primary human mesenchymal stells via NF-kappaB/Bnip3 signaling. PMID: 25547946
- protective role of BNIP3 in the form of autophagy inducer to reduce the misfolded proteins directly and prevention of neurodegenerative diseases indirectly PMID: 24928088
- our results bring the evidence of a mechanism that links apoptosis and ROS-induced BNIP3 expression in MG-63 cells with bacalein treatment and suggest that baicalein has a good potential as an anti-osteosarcoma drug. PMID: 25618603
- Results show that BNIP3 interacts with the voltage-dependent anion channel (VDAC) to directly induce mitochondrial release and nuclear translocation of EndoG. PMID: 25436615
- AT101 caused caspase-independent, non-apoptotic malignant peripheral nerve sheath tumor cell death, which was accompanied by autophagy and was mediated through HIF-1alpha induced expression of the atypical BH3-only protein BNIP3. PMID: 24824755
- BNIP3 shows low levels of promoter hypermethylation in invasive breast cancer, mostly lower than the proposed 15% threshold that supposedly discriminates "true" from background methylation. PMID: 20978322
- Low BNIP3 expression is associated with renal cancer. PMID: 23851496
- BNIP3 has a protective effect against UVB-induced apoptosis in keratinocytes PMID: 24402046
- the impact of Glutamate carboxypeptidase II (GCPII) haplotypes on the expression of PSMA, BNIP3, Ec-SOD, GSTP1 and RASSF1 genes were elucidated to understand the epigenetic basis of oxidative stress and prostate cancer risk. PMID: 23979608
- The upregulation of miR-210 directly suppresses BNIP3 expression to maintain the survival of NPCs under hypoxia. PMID: 23688833
- This paper aims to summarize the existing body of knowledge related to the role of BNIP3 in autophagy, as well as the importance of this process in tumorigenesis. PMID: 23667095
- BNIP3 is initially silenced by methylation, but upon re-expression remains under predominant control of Ras and the related MEK/MAPK pathway (as presented in DLD-1 and HT-29 cells). PMID: 24211581
- our data show for the first time that glucose availability significantly affects the hypoxia-induced HIF-1/BNIP3 response, and in particular glucose absence results in enhancing the oxidative phosphorylation rate. PMID: 23538299
- Both expression level and activity of DNMT1 were inversely correlated with the expression level of BNIP3 in colon carcinoma cells after treatment with chemotherapeutic agents and radiation PMID: 23364257
- ULK1-dependent autophagy degrades BNIP3 via MTORC1 and AMPK PMID: 23291726
- The accelerated autophagic status in non-small cell lung carcinoma is unrelated to Beclin 1 and BNIP3 expression, but does show significant association with Bcl-2 reactivity. PMID: 23216071
- results suggest aberrations in one-carbon metabolism appear to induce altered gene expression of EC-SOD, GSTP1, and BNIP3, and thus contribute to the increased oxidative stress and increased susceptibility to coronary artery disease PMID: 23160801
- pro-survival Bcl-x(L) positively regulated Bnip3 binding to LC3B, sequestration, and mitochondrial autophagy, further supporting an anti-apoptotic role for Bnip3-induced mitophagy PMID: 23209295
- BNIP3 expression induced autophagosome accumulation with lysosome consumption in cardiomyocytes. PMID: 22302006
- BNIP3 expression and TGM2 expression are independent prognostic factors in laryngeal SCC patients receiving postoperative radiotherapy. PMID: 22458929
- Bnip3 induced removal of both ER (ERphagy) and mitochondria (mitophagy) via autophagy. The clearance of these organelles was mediated in part via binding of Bnip3 to LC3 on the autophagosome. PMID: 22505714
- The expression of both HIF-1alpha and VEGF were not significantly increased in BNIP3 positive clear cell renal cell carcinoma in comparison with BNIP3 negative tumors. PMID: 22455137
- The physical interaction of Mieap, BNIP3 and NIX at the mitochondrial outer membrane may play a critical role in the translocation of lysosomal proteins from the cytoplasm to the mitochondrial matrix. PMID: 22292033
- The detection of genes selectively methylated in high-grade Intraductal papillary mucinous neoplasms (IPMNs) such as BNIP3 may have use in the clinical evaluation of IPMNs PMID: 22173550
- MTRR A66G and cSHMT C1420T polymorphisms influence CpG island methylator phenotype of BNIP3, thus epigenetically regulating BNIP3 in breast cancer PMID: 21987236
- The BNIP3 promoter is methylated in both human hepatoma and colon carcinoma cells and tumor specimens. PMID: 21911457
- proapoptotic regulator Bcl2/adenovirus EIB 19 kDa-interacting protein 3 has an effect on radiosensitivity of cervical cancer PMID: 21711117
- Hypermethylation of BNIP3 gene is associated with advanced gastric cancer. PMID: 21409489
- p53 suppressed BNIP3 expression by directly binding to the p53-response element motif and recruiting corepressor mSin3a to the BNIP3 promoter. PMID: 21792176
- DNA methylation of the BNIP3 promoter is responsible for the inhibition of BNIP3 induction PMID: 21573703
顯示更多
收起更多
-
亞細胞定位:Mitochondrion. Mitochondrion outer membrane; Single-pass membrane protein. Note=Coexpression with the EIB 19-kDa protein results in a shift in NIP3 localization pattern to the nuclear envelope. Colocalizes with ACAA2 in the mitochondria. Colocalizes with SPATA18 at the mitochondrion outer membrane.
-
蛋白家族:NIP3 family
-
數據庫鏈接:
Most popular with customers
-
YWHAB Recombinant Monoclonal Antibody
Applications: ELISA, WB, IHC, IF, FC
Species Reactivity: Human, Mouse, Rat
-
Phospho-YAP1 (S127) Recombinant Monoclonal Antibody
Applications: ELISA, WB, IHC
Species Reactivity: Human
-
-
-
-
-
-















