BNIP2 Antibody
-
中文名稱:BNIP2兔多克隆抗體
-
貨號:CSB-PA103726
-
規格:¥1100
-
圖片:
-
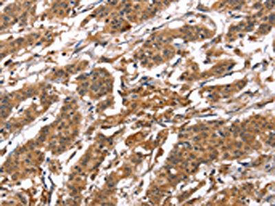
The image on the left is immunohistochemistry of paraffin-embedded Human breast cancer tissue using CSB-PA103726(BNIP2 Antibody) at dilution 1/50, on the right is treated with synthetic peptide. (Original magnification: ×200)
-
The image on the left is immunohistochemistry of paraffin-embedded Human gastric cancer tissue using CSB-PA103726(BNIP2 Antibody) at dilution 1/50, on the right is treated with synthetic peptide. (Original magnification: ×200)
-
-
其他:
產品詳情
-
Uniprot No.:
-
基因名:BNIP2
-
別名:BCL2/adenovirus E1B 19 kDa protein interacting protein 2 antibody; BCL2/adenovirus E1B 19 kDa protein-interacting protein 2 antibody; BCL2/adenovirus E1B 19kDa interacting protein 2 antibody; BNIP 2 antibody; Bnip2 antibody; BNIP2_HUMAN antibody; NIP2 antibody
-
宿主:Rabbit
-
反應種屬:Human,Mouse
-
免疫原:Synthetic peptide of Human BNIP2
-
免疫原種屬:Homo sapiens (Human)
-
標記方式:Non-conjugated
-
抗體亞型:IgG
-
純化方式:Antigen affinity purification
-
濃度:It differs from different batches. Please contact us to confirm it.
-
保存緩沖液:-20°C, pH7.4 PBS, 0.05% NaN3, 40% Glycerol
-
產品提供形式:Liquid
-
應用范圍:ELISA,IHC
-
推薦稀釋比:
Application Recommended Dilution ELISA 1:2000-1:5000 IHC 1:50-1:200 -
Protocols:
-
儲存條件:Upon receipt, store at -20°C or -80°C. Avoid repeated freeze.
-
貨期:Basically, we can dispatch the products out in 1-3 working days after receiving your orders. Delivery time maybe differs from different purchasing way or location, please kindly consult your local distributors for specific delivery time.
-
用途:For Research Use Only. Not for use in diagnostic or therapeutic procedures.
相關產品
靶點詳情
-
功能:Implicated in the suppression of cell death. Interacts with the BCL-2 and adenovirus E1B 19 kDa proteins.
-
基因功能參考文獻:
- BNIP-2 is a kinesin-1 adapter involved in vesicular transportation in the cytoplasm and that association with cargos depends on interaction of the CRAL-TRIO domain with membrane phosphatidylserine. PMID: 25472445
- BNIP-2 directly interacted with the motor and tail domains of KIF5B via its BCH domain. PMID: 25378581
- Data imply that SIRT1 may mediate MPP(+)-induced cytotoxicity, possibly through the regulation of BNIP2. PMID: 21130087
- Inhibition of BNIP-2 expression did not affect the susceptibility to NK cell-mediated killing. PMID: 20704564
- Transfection of the bnip2 cDNA in neuroblastoma cell line results in massive cell death counteracted by Bcl-2 overexpression; bnip2 is the mediator of the anti-apoptotic activity of estrogens in a variety of cells PMID: 11744098
- BNIP-2 has a role in regulating cell dynamics with a novel Rho GTPase-activating protein, BPGAP1 PMID: 12944407
- BNIP-2 in vivo induces cell dynamics by recruiting Cdc42 PMID: 15652341
- Our results suggest that the caspase-mediated cleavage of BNIP-2 and BNIP-XL could result in the release of the BCH domain or smaller fragments that are crucial for their proapoptotic activities. PMID: 17961507
顯示更多
收起更多
-
亞細胞定位:Cytoplasm. Cytoplasm, perinuclear region. Note=Localizes to the nuclear envelope region and to other cytoplasmic structures.
-
數據庫鏈接:
Most popular with customers
-
-
YWHAB Recombinant Monoclonal Antibody
Applications: ELISA, WB, IHC, IF, FC
Species Reactivity: Human, Mouse, Rat
-
Phospho-YAP1 (S127) Recombinant Monoclonal Antibody
Applications: ELISA, WB, IHC
Species Reactivity: Human
-
-
-
-
-















