BNIP1 Antibody
-
中文名稱:BNIP1兔多克隆抗體
-
貨號:CSB-PA623663ESR2HU
-
規格:¥440
-
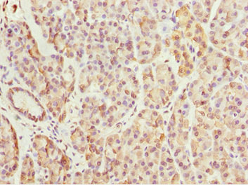
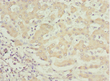
圖片:
-
其他:
產品詳情
-
產品名稱:Rabbit anti-Homo sapiens (Human) BNIP1 Polyclonal antibody
-
Uniprot No.:
-
基因名:BNIP1
-
別名:BCL2 adenovirus E1B 19kD interacting protein 1 antibody; BCL2/adenovirus E1B 19 kDa protein-interacting protein 1 antibody; BNIP1 antibody; MGC41600 antibody; Nip1 antibody; OTTHUMP00000161077 antibody; OTTHUMP00000161078 antibody; OTTHUMP00000161079 antibody; OTTHUMP00000223580 antibody; sec20 antibody; SEC20_HUMAN antibody; SEC20L antibody; Transformation-related gene 8 protein antibody; TRG-8 antibody; TRG8 antibody; Vesicle transport protein SEC20 antibody
-
宿主:Rabbit
-
反應種屬:Human
-
免疫原:Recombinant Human Vesicle transport protein SEC20 protein (1-200AA)
-
免疫原種屬:Homo sapiens (Human)
-
標記方式:Non-conjugated
-
克隆類型:Polyclonal
-
抗體亞型:IgG
-
純化方式:Antigen Affinity Purified
-
濃度:It differs from different batches. Please contact us to confirm it.
-
保存緩沖液:PBS with 0.02% sodium azide, 50% glycerol, pH7.3.
-
產品提供形式:Liquid
-
應用范圍:ELISA, IHC
-
推薦稀釋比:
Application Recommended Dilution IHC 1:20-1:200 -
Protocols:
-
儲存條件:Upon receipt, store at -20°C or -80°C. Avoid repeated freeze.
-
貨期:Basically, we can dispatch the products out in 1-3 working days after receiving your orders. Delivery time maybe differs from different purchasing way or location, please kindly consult your local distributors for specific delivery time.
-
用途:For Research Use Only. Not for use in diagnostic or therapeutic procedures.
相關產品
靶點詳情
-
功能:As part of a SNARE complex may be involved in endoplasmic reticulum membranes fusion and be required for the maintenance of endoplasmic reticulum organization. Plays also a role in apoptosis. It is for instance required for endoplasmic reticulum stress-induced apoptosis. As a substrate of RNF185 interacting with SQSTM1, might also be involved in mitochondrial autophagy (Probable).
-
基因功能參考文獻:
- The mitochondrial targeting domain (MTD) of Noxa has necrosis-inducing activity when conjugated with cell-penetrating peptide (CPP). In this study, we report another MTD-like motif, B1MLM, found in BNIP1, a pro-apoptotic BH3-only protein found in the endoplasmic reticulum membrane. The B1MLM peptide, conjugated with CPP, induced necrosis in a way similar to that of R8:MTD. PMID: 29222049
- BNip1 functions as a downstream modulator of RNF186 to direct endoplasmic reticulum stress-associated apoptotic signaling. PMID: 23896122
- three members of the BNIP family, BNIP1, BNIP3 and BNIP3L, are expressed in the developing brain with distinct brain region specificity PMID: 22639046
- ER-specific BNIP1 plays an important role in mitochondrial dynamics by modulating the mitochondrial fission protein Drp1 PMID: 22020994
- Human BNIP1 colocalizes with RNF185 at mitochondria and is polyubiquitinated by RNF185 through K63-based ubiquitin linkage in vivo. PMID: 21931693
- soluble N-ethylmaleimide-sensitive factor attachment protein may suppress apoptosis by competing with antiapoptotic proteins for the BH3 domain of BNIP1 PMID: 15272311
顯示更多
收起更多
-
亞細胞定位:Endoplasmic reticulum membrane; Single-pass type IV membrane protein. Mitochondrion membrane; Single-pass type IV membrane protein.
-
蛋白家族:SEC20 family
-
組織特異性:Isoform 1 is highly expressed in heart, brain, liver skeletal muscle and pancreas. Isoform 3 is moderately expressed in placenta, lung and kidney. Isoform 4 is highly expressed in testis and small intestine.
-
數據庫鏈接:
Most popular with customers
-
-
YWHAB Recombinant Monoclonal Antibody
Applications: ELISA, WB, IHC, IF, FC
Species Reactivity: Human, Mouse, Rat
-
Phospho-YAP1 (S127) Recombinant Monoclonal Antibody
Applications: ELISA, WB, IHC
Species Reactivity: Human
-
-
-
-
-















