BMPR2 Antibody
-
中文名稱:BMPR2兔多克隆抗體
-
貨號:CSB-PA962181
-
規格:¥1100
-
圖片:
-
The image on the left is immunohistochemistry of paraffin-embedded Human brain tissue using CSB-PA962181(BMPR2 Antibody) at dilution 1/35, on the right is treated with fusion protein. (Original magnification: ×200)
-
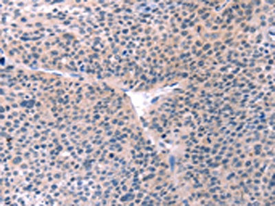
The image on the left is immunohistochemistry of paraffin-embedded Human liver cancer tissue using CSB-PA962181(BMPR2 Antibody) at dilution 1/35, on the right is treated with fusion protein. (Original magnification: ×200)
-
-
其他:
產品詳情
-
Uniprot No.:
-
基因名:
-
別名:BMP type II receptor antibody; BMP type-2 receptor antibody; BMPR 2 antibody; BMPR 3 antibody; BMPR II antibody; BMPR-2 antibody; BMPR-II antibody; Bmpr2 antibody; BMPR2_HUMAN antibody; BMPR3 antibody; BMPRII antibody; BMR 2 antibody; BMR2 antibody; Bone morphogenetic protein receptor type 2 antibody; Bone morphogenetic protein receptor type II antibody; Bone morphogenetic protein receptor type-2 antibody; Bone morphogenic protein receptor type II serine threonine kinase antibody; BRK 3 antibody; BRK3 antibody; PPH 1 antibody; PPH1 antibody; Serine threonine kinase type II activin receptor like kinase antibody; T ALK antibody; TALK antibody; Type II activin receptor like kinase antibody
-
宿主:Rabbit
-
反應種屬:Human,Mouse
-
免疫原:Fusion protein of Human BMPR2
-
免疫原種屬:Homo sapiens (Human)
-
標記方式:Non-conjugated
-
抗體亞型:IgG
-
純化方式:Antigen affinity purification
-
濃度:It differs from different batches. Please contact us to confirm it.
-
保存緩沖液:-20°C, pH7.4 PBS, 0.05% NaN3, 40% Glycerol
-
產品提供形式:Liquid
-
應用范圍:ELISA,IHC
-
推薦稀釋比:
Application Recommended Dilution ELISA 1:2000-1:5000 IHC 1:25-1:100 -
Protocols:
-
儲存條件:Upon receipt, store at -20°C or -80°C. Avoid repeated freeze.
-
貨期:Basically, we can dispatch the products out in 1-3 working days after receiving your orders. Delivery time maybe differs from different purchasing way or location, please kindly consult your local distributors for specific delivery time.
-
用途:For Research Use Only. Not for use in diagnostic or therapeutic procedures.
相關產品
靶點詳情
-
功能:On ligand binding, forms a receptor complex consisting of two type II and two type I transmembrane serine/threonine kinases. Type II receptors phosphorylate and activate type I receptors which autophosphorylate, then bind and activate SMAD transcriptional regulators. Binds to BMP7, BMP2 and, less efficiently, BMP4. Binding is weak but enhanced by the presence of type I receptors for BMPs. Mediates induction of adipogenesis by GDF6.
-
基因功能參考文獻:
- Heterozygous germline mutations in the gene coding bone morphogenetic receptor type 2 (BMPR2) are detectable in the majority of cases of heritable pulmonary arterial hypertension, and in approximately 20% of cases of idiopathic pulmonary arterial hypertension. [review] PMID: 29032562
- Tumour necrosis factor-alpha selectively reduces BMPR-II transcription and mediates post-translational BMPR-II cleavage via the sheddases, ADAM10 and ADAM17 in pulmonary artery smooth muscle cells. PMID: 28084316
- miR-23a facilitated cell proliferation and migration by targeting BMPR2/Smad1 signaling in hypoxia-induced human pulmonary artery smooth muscle cells. PMID: 29864909
- we employed an shRNA-encoding lentivirus system to inhibit SPG6 expression in AML cells including NB4 and MV4-11cells. Knockdown expression of SPG6 resulted in decreased cell growth and elevated apoptosis of these leukemia cells. Notably, SPG6 deficiency resulted in higher BMPR2 expression indicating that BMPR2 signaling contributes to AML pathogenesis. PMID: 29715457
- Sequencing of BMPR2, CAV1, and KCNK3 coding regions did not identify any pathogenic variants in these genes in infants with pulmonary hypoplasia and pulmonary hypertension. PMID: 28162765
- The present study showed that deletion-duplication mutations in the BMPR2 or ACVRL1 genes may not be associated with non-regression of Pulmonary arterial hypertension. PMID: 28290170
- BMPR2 mutation carriers are more prone to hemoptysis and that hemoptysis is closely correlated to bronchial arterial remodelling and angiogenesis; in turn, pronounced changes in the systemic vasculature correlate with increased pulmonary venous remodelling, creating a distinctive profile in pulmonary arterial hypertension patients harbouring a BMPR2 mutation. PMID: 27811071
- Studying the methylation pattern of the BMPR2 promoter region in pulmonary arterial hypertension patients and controls revealed a a CpG island, suitable for methylation, in the BMPR2 promoter region, in addition to NIT-2, sex-determining region Y, and heat shock factor transcription factor binding sites.No evidence of methylation was detected in this region in patients and controls. PMID: 26654628
- Mutations in the bone morphogenetic protein receptor type-2 gene (BMPR2) have been identified in patients with pulmonary arterial hypertension. PMID: 27248591
- Affected mutation carriers with heritable pulmonary hypertension have hypermethylation of the BMPR2 promotor compared with their unaffected relatives. PMID: 28170297
- increased BMPR2 signal transduction is linked to fragile X syndrome (FXS) and that the BMPR2-LIMK1 pathway is a putative therapeutic target in patients with FXS and possibly other forms of autism PMID: 27273096
- A burden of rare variants in BMPR2 significantly contributed to the risk of pulmonary arterial hypertension. In the remaining one family, the patient carried a pathogenic variant in a member of potassium channels, KCNK3, which was the first replicative finding of channelopathy in an Asian population. PMID: 28388887
- The SMYD2 may promote BMP signaling by directly methylating BMPR2, which, in turn, stimulates BMPR2 kinase activity and activation of the BMP pathway. PMID: 28588028
- This review focuses on recent advances in rescuing BMPRII expression, function or signaling to prevent and reverse pulmonary vascular remodeling in pulmonary arterial hypertension and its feasibility for clinical translation. Furthermore, it summarizes the role of described miRNAs that directly target the BMPR2 gene in blood vessels. [review] PMID: 28447104
- Endothelial BMPR2 signaling in pulmonary arterial hypertension is impaired by deletion of Vegfr3. PMID: 28356442
- Disrupting BMPR2 impairs TGFbeta1- and BMP4-mediated elastic fiber assembly and is of pathophysiologic significance in pulmonary arterial hypertension. PMID: 28619995
- Cav-1 depletion, oxidative stress-mediated reduction in BMPRII expression, and enhanced TGF-beta-driven SMAD-2/3 signaling promote pulmonary vascular remodeling in inflamed lungs. PMID: 28188225
- This analysis identified features of unaffected mutation carriers iPSC-induced pluripotent stem cell-derived endothelial cells related to modifiers of BMPR2 signaling or to differentially expressed genes. PMID: 28017794
- Decreased expression of bone morphogenetic protein receptor type 2 (BMPR2) is associated with all forms of PAH, and a mutation in this receptor is seen in 70% of patients with the heritable form of PAH (HPAH), and in 20% of sporadic cases of idiopathic PAH. PMID: 27779452
- HPAH-associated BMPRII mutation increases pulmonary microvascular endothelial cells adhesiveness for monocytes in response to inflammatory mediators. PMID: 27816994
- BMPR2 downregulation may have a role in neuroblastoma PMID: 27998774
- Bone morphogenetic protein 2 expression increases and may contribute to partitioning of energy storage into visceral and subcutaneous AT depots PMID: 27515773
- Depletion of BMPR2 mediated by a collection of miRs induced by IL6 and subsequent STAT3 phosphorylation is a novel mechanism participating to fibroproliferative and vascular injuries in idiopathic pulmonary fibrosis. PMID: 27317687
- Pathogenic BMPR2 mutations were identified in 8 of 72 (11.1%) patients with IPAH and 6 of 9 (66.7%) patients with HPAH. PMID: 27884767
- In a cohort with idiopathic or hereditary pulmonary arterial hypertension, a possibly associated mutation was found in 11.10% of the idiopathic cases (n = 16) and in 68.18% of the hereditary cases. There were 19 mutations found in BMPR2. PMID: 27453251
- Case Report: sarcoid-like reaction due to pulmonary hypertension in the context of the BMPR2 mutation. PMID: 27537724
- Patients with pulmonary arterial hypertension and bone morphogenetic protein receptor type II mutations present at a younger age with more severe disease, and are at increased risk of death, and death or transplantation, compared with those without BMPR2 mutations. PMID: 26795434
- Study of four patients with pulmonary arterial hypertension associated with human immunodeficiency virus infection found predisposing mutations in the BMPR2, ACVRL1 and ENG genes. PMID: 26897508
- BMPR2 mutations were identified in congenital heart disease-pulmonary vascular disease patients, with missense mutation of BMPR2 as the dominant mutation type. PMID: 27002414
- his study demonstrated that both rs6435156C > T and rs1048829G > T variants in BMPR2 contributed to increased susceptibility to hronic obstructive pulmonary disease PMID: 27077124
- Increased HMGA1 in pulmonary arterial endothelial cells resulting from dysfunctional BMPR2 signaling can transition endothelium to smooth muscle-like cells associated with pulmonary arterial hypertension. PMID: 27045138
- Pulmonary arterial hypertension patients carrying a BMPR2 mutation have decreased right ventricular function compared to patients without the mutation. PMID: 26984938
- the data in the present study support the notion that the expression levels and plasma membrane levels of BMPRII are determined by two molecular processes-translational regulation of protein synthesis (which provides the major contribution) and endocytosis/degradation (mild modulatory effect). PMID: 26739752
- In a group of pulmonary arterial hypertension patients, 25.4% harboured heterozygous mutation in the BMPR2 gene. PMID: 26541523
- establish the feasibility of combining NELL-1 with BMP2 to improve clinical bone regeneration and provide mechanistic insight into canonical Wnt pathway activity during NELL-1 and BMP2 osteogenesis PMID: 26772960
- Raf family members and ERK1/2 were constitutively activated after BMPR2 knockdown PMID: 26589479
- miR-153 is a mechano-sensitive miRNA that regulates osteoblast differentiation by directly targeting BMPR2, and that therapeutic inhibition of miR-153 may be an efficient anabolic strategy for skeletal disorders caused by pathological mechanical loading. PMID: 26151470
- study shows for the first time that in the regulatory region of the BMPR2 gene the promoter may be important for pulmonary arterial hypertension penetrance PMID: 26167679
- Correlations between C23, BMPRII expression and prognosis of gastric cancer patients. PMID: 25698539
- local gene transfection can up-regulate the expression of osteogenic mediators (BMP-2 and TGF-beta1), which may promote cell differentiation and proliferation and stimulate extracellular matrix synthesis and new bone formation in distraction gap. PMID: 25723654
- BMP2 decreased serum-induced proliferation and increased the pro-apoptotic Bax/Bcl-2 ratio. These effects were attenuated by endothelin-1 pre-treatment PMID: 25447587
- our results showed that GDF-5 and BMPRII expressed both in normal and degenerated intervertebral disc tissues, and GDF-5 might have an inhibition effect on degenerated lumbar intervertebral discs PMID: 25755766
- The BMPR2 protein containing Thr268fs, Ser863Asn, or Gln433X exhibited abnormal subcellular localization. PMID: 25187962
- Mutations in BMPR2 gene is associated with pulmonary arterial hypertension. PMID: 24936649
- Mutations in BMPR2 underlie most heritable cases and a small proportion of sporadic cases of idiopathic pulmonary arterial hypertension. Read More: http://www.atsjournals.org/doi/full/10.1164/rccm.201408-1528OC#.Viqgi9KFPyA PMID: 26030479
- BMP9 is identified as the preferred ligand for preventing apoptosis and enhancing monolayer integrity in endothelial cells from subjects with pulmonary arterial hypertension who bear mutations in the gene encoding BMPR2. PMID: 26076038
- Silencing BMPR2 promoted G2/M cell cycle arrest and apoptosis through caspase-3-dependent pathway via repression of XIAP and induced autophagy of chondrosarcoma cells via XIAP-Mdm2-p53 pathway. PMID: 25501832
- Mutations in BMPR2 encoding bone morphogenetic protein receptor type 2 (BMPRII) is the main genetic risk factor for heritable pulmonary arterial hypertension PMID: 25429696
- disrupted intracellular trafficking of BMPR2 is involved in the pathogenic mechanism underlying both cysteine and non-cysteine substitutions occurring in the extracellular ligand binding domain and kinase domain of BMPR2. PMID: 25688877
- Combining mutation detection in family members with parental identification, study described three cases of de novo mutation in the BMPR2 gene by different modes in a pulmonary arterial hypertension family. These de novo mutations may account for the wide variety of mutations in BMPR2. PMID: 25612240
顯示更多
收起更多
-
相關疾病:Pulmonary hypertension, primary, 1 (PPH1); Pulmonary venoocclusive disease 1, autosomal dominant (PVOD1)
-
亞細胞定位:Cell membrane; Single-pass type I membrane protein.
-
蛋白家族:Protein kinase superfamily, TKL Ser/Thr protein kinase family, TGFB receptor subfamily
-
組織特異性:Highly expressed in heart and liver.
-
數據庫鏈接:
Most popular with customers
-
-
YWHAB Recombinant Monoclonal Antibody
Applications: ELISA, WB, IHC, IF, FC
Species Reactivity: Human, Mouse, Rat
-
Phospho-YAP1 (S127) Recombinant Monoclonal Antibody
Applications: ELISA, WB, IHC
Species Reactivity: Human
-
-
-
-
-















