BMPR1A Antibody
-
中文名稱:BMPR1A兔多克隆抗體
-
貨號:CSB-PA002748LA01HU
-
規格:¥440
-
圖片:
-
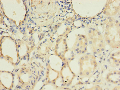
Immunohistochemistry of paraffin-embedded human kidney tissue using CSB-PA002748LA01HU at dilution of 1:100
-
Western Blot
Positive WB detected in: K562 whole cell lysate, 293 whole cell lysate
All lanes: BMPR1A antibody at 3.3µg/ml
Secondary
Goat polyclonal to rabbit IgG at 1/50000 dilution
Predicted band size: 61 kDa
Observed band size: 61 kDa -
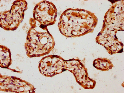
IHC image of CSB-PA002748LA01HU diluted at 1:1000 and staining in paraffin-embedded human placenta tissue performed on a Leica BondTM system. After dewaxing and hydration, antigen retrieval was mediated by high pressure in a citrate buffer (pH 6.0). Section was blocked with 10% normal goat serum 30min at RT. Then primary antibody (1% BSA) was incubated at 4°C overnight. The primary is detected by a biotinylated secondary antibody and visualized using an HRP conjugated SP system.
-
Immunofluorescence staining of HepG2 cells with CSB-PA002748LA01HU at 1:333, counter-stained with DAPI. The cells were fixed in 4% formaldehyde, permeabilized using 0.2% Triton X-100 and blocked in 10% normal Goat Serum. The cells were then incubated with the antibody overnight at 4°C. The secondary antibody was Alexa Fluor 488-congugated AffiniPure Goat Anti-Rabbit IgG(H+L).
-
-
其他:
產品詳情
-
產品名稱:Rabbit anti-Homo sapiens (Human) BMPR1A Polyclonal antibody
-
Uniprot No.:
-
基因名:
-
別名:10q23del antibody; Activin A receptor type II like kinase 3 antibody; Activin receptor like kinase 3 antibody; Activin receptor-like kinase 3 antibody; ACVRLK 3 antibody; ACVRLK3 antibody; ALK 3 antibody; ALK-3 antibody; ALK3 antibody; BMP type-1A receptor antibody; BMPR 1A antibody; Bmpr antibody; BMPR-1A antibody; Bmpr1a antibody; BMR1A_HUMAN antibody; Bone morphogenetic protein receptor type IA antibody; Bone morphogenetic protein receptor type IA precursor antibody; Bone morphogenetic protein receptor type-1A antibody; BR 1a antibody; BR1a antibody; CD 292 antibody; CD292 antibody; CD292 antigen antibody; EC 2.7.11.30 antibody; Serine threonine protein kinase receptor R5 antibody; Serine threonine protein kinase receptor R5 precursor antibody; Serine/threonine-protein kinase receptor R5 antibody; SKR 5 antibody; SKR5 antibody; zBMPR IA antibody; zBMPRIA antibody
-
宿主:Rabbit
-
反應種屬:Human
-
免疫原:Recombinant Human Bone morphogenetic protein receptor type-1A protein (177-532AA)
-
免疫原種屬:Homo sapiens (Human)
-
標記方式:Non-conjugated
本頁面中的產品,BMPR1A Antibody (CSB-PA002748LA01HU),的標記方式是Non-conjugated。對于BMPR1A Antibody,我們還提供其他標記。見下表:
-
克隆類型:Polyclonal
-
抗體亞型:IgG
-
純化方式:>95%, Protein G purified
-
濃度:It differs from different batches. Please contact us to confirm it.
-
保存緩沖液:Preservative: 0.03% Proclin 300
Constituents: 50% Glycerol, 0.01M PBS, PH 7.4 -
產品提供形式:Liquid
-
應用范圍:ELISA, WB, IHC, IF
-
推薦稀釋比:
Application Recommended Dilution WB 1:500-1:5000 IHC 1:100-1:1000 IF 1:200-1:500 -
Protocols:
-
儲存條件:Upon receipt, store at -20°C or -80°C. Avoid repeated freeze.
-
貨期:Basically, we can dispatch the products out in 1-3 working days after receiving your orders. Delivery time maybe differs from different purchasing way or location, please kindly consult your local distributors for specific delivery time.
-
用途:For Research Use Only. Not for use in diagnostic or therapeutic procedures.
相關產品
靶點詳情
-
功能:On ligand binding, forms a receptor complex consisting of two type II and two type I transmembrane serine/threonine kinases. Type II receptors phosphorylate and activate type I receptors which autophosphorylate, then bind and activate SMAD transcriptional regulators. Receptor for BMP2, BMP4, GDF5 and GDF6. Positively regulates chondrocyte differentiation through GDF5 interaction. Mediates induction of adipogenesis by GDF6.
-
基因功能參考文獻:
- Single nucleotide polymorphisms of the BMPR-1A gene were significantly associated with the development of ossification of the posterior longitudinal ligament of the cervical spine. PMID: 29458345
- BMPR1A mutation in superior coloboma PMID: 29522511
- Knockdown of BMPR1a of breast cancer cells suppresses their production of RANKL via p38 pathway and inhibits cancer-induced osteoclastogenesis. PMID: 29495003
- BMPR1A and the ubiquitous isoform of BMPR1B differed in mode of translocation into the endoplasmic reticulum; and (ii) BMPR1A was N-glycosylated while BMPR1B was not, resulting in greater efficiency of processing and plasma membrane expression of BMPR1A. PMID: 28357470
- Several germline variants in Hamartomatous Polyposis Syndrome genes were detected, among them three in ENG, two in BMPR1A, one in PTEN, and one in SMAD4. Although some of the detected variants have been reported previously none could be definitely pathogenic or likely pathogenic. PMID: 27146957
- The present study suggests that HNF-4alpha has a suppressive effect on hepcidin expression by inactivating the BMP pathway, specifically via BMPR1A, in HepG2 cells. PMID: 27660075
- Data show that protein kinase LKB1 physically interacts with BMP type I receptors and requires Smad7 protein to promote downregulation of the receptor. PMID: 26701726
- BMPR1A(+) ASCs show an enhanced ability for adipogenesis in vitro, as shown by gene expression and histological staining. PMID: 26585335
- Duplication of 10q22.3-q23.3 encompassing BMPR1A gene is associated with congenital heart disease, microcephaly, and mild intellectual disability PMID: 26383923
- Authors analyzed human databases from TCGA and survival data from microarrays to confirm BMPR1a tumor promoting functions, and found that high BMPR1a gene expression correlates with decreased survival regardless of molecular breast cancer subtype. PMID: 26274893
- About half of BMPR1A-related polyps displayed loss of heterozygosity, predominantly in the epithelial compartment, compatible with BMPR1A acting as a tumour suppressor gene. PMID: 26171675
- Results support a novel role for miR-885-3p in tumor angiogenesis by targeting BMPR1A, which regulates a proangiogenic factor. PMID: 24882581
- Decreased expression of BMPR1A was associated malignant gallbladder lesions. PMID: 23531103
- The mRNA/protein expressions of BMPR1alpha was higher in the stenotic colon segment tissue than in the normal colon segment tissue of Hirschsrung disease patients. PMID: 24966941
- High BMPR1A expression is associated with glioma tumorigenesis. PMID: 24480809
- Data show that USP15 enhances BMP-induced phosphorylation of SMAD1 by interacting with and deubiquitylating ALK3. PMID: 24850914
- This is the first case report to document coding exon 3 duplication in the BMPR1A gene in a patient with juvenile polyposis syndrome. PMID: 25129392
- results provide evidence that HFE induces hepcidin expression via the BMP pathway: HFE interacts with ALK3 to stabilize ALK3 protein and increase ALK3 expression at the cell surface. PMID: 24904118
- BMP15 down-regulates StAR expression and decreases progesterone production in human granulosa cells, likely via ALK3-mediated SMAD1/5/8 signaling. PMID: 24140593
- BMPR1a and BMPR2 are downregulated in cardiac remodeling and heart failure PMID: 24398041
- Bone morphogenetic protein receptor type 1A missense mutations occurring in patients with juvenile polyposis affected cellular localization in an in vitro model. PMID: 23433720
- findings show that a reduction in the expression of BMPRIA is associated with a poorer prognosis in pancreatic cancer PMID: 23969729
- BMP receptor antagonists and silencing of BMP type I receptors with siRNA induced cell death, inhibited cell growth, and caused a significant decrease in the expression of inhibitor of differentiation (Id1, Id2, and Id3) family members. PMID: 23593444
- Seventy-seven patients (13%) were found to have colorectal polyposis-associated mutations, including 20 in BMPR1A (3.3%) PMID: 23399955
- Results suggest that rs7922846 BMPR1A polymorphism may account for subtle variation in kidney size at birth, reflecting congenital nephron endowment. PMID: 22886282
- lack of associations between LVM, values of blood pressure, and the BMP4, BMPR1A, BMPR1B, and ACVR1 genotypes PMID: 22971142
- These data support the role of BMPR-1A as an indicator ofosteoarthritis progression in human knees with circumscribed cartilage lesions. PMID: 22519633
- Crystals of GDF5 and BMP receptor IA complex belonged to a monoclinic space group: either I2, with unit-cell parameters a = 63.81, b = 62.85, c = 124.99 A, beta = 95.9 degrees , or C2, with unit-cell parameters a = 132.17, b = 62.78, c = 63.53 A, beta = 112.8 degrees PMID: 21543859
- generation of TGF-beta and BMP receptor homo- and hetero-oligomers and its roles as a mechanism capable of fast regulation of signaling by these crucial cytokines [review] PMID: 22293501
- analysis of promiscuity and specificity in BMP receptor activation [review] PMID: 22710174
- Sp1 was found to be a candidate factor that likely plays a role in the transcriptional regulation of BMPR1A. PMID: 21872883
- Letter: Report the phenotypic spectrum of BMPR1A mutations in hereditary nonpolyposis colorectal cancer without mismatch repair deficiency. PMID: 21640116
- Data show that blocking both endogenous BMPR1A and BMPR1B almost offset the effect of BMP7 on the proliferation of NCI-H460 cell completely. PMID: 20673479
- Juvenile polyps with a SMAD4 germline mutation were predominantly type B, whereas type A was more common among juvenile polyps with a BMPR1A germline mutation. PMID: 21412070
- identified the promoter for BMPR1A, in which mutations may be responsible for as many as 10% of juvenile polyposis cases with unknown mutations PMID: 20843829
- BMPR1A were detected in the human retina and retinoblastoma cell lines. PMID: 21152263
- Crystals BMP receptor type IA bound to the antibody Fab fragment belonged to the monoclinic space group P2(1), with unit-cell parameters a=89.32, b=129.25, c=100.24 A, beta=92.27 degrees PMID: 20693682
- we describe the significance of a bone morphogenetic protein receptor type 1A gene mutation in an Irish family with hereditary mixed polyposis syndrome. PMID: 19438883
- Germline BMPR1A defect is the disease-causing mutation in 50% of the HMPS families. PMID: 19773747
- BMPR1A can act as a minor susceptibility gene for PTEN mutation negative Cowden syndrome PMID: 12620973
- BMPR-IA may interact with and modulate the activity of a developmentally relevant splicing factor PMID: 15351706
- A defect in BMPRIA internalization and increased activation of downstream signaling, suggesting that altered BMP receptor trafficking underlies ectopic bone formation in fibrodysplasia ossificans progressiva. PMID: 15940369
- BMPR1A is a promising marker for evaluating ganglion cells in the enteric nervous system. PMID: 16226113
- Human granulosa-like tumor cell line KGN expressed BMP type I (BMPR1A and BMPR1B) and type II receptors (BMPR2) and the BMP signaling molecules SMADs (SMAD1 and SMAD5). PMID: 16436528
- BMPR1A mutation accounts for hereditary mixed polyposis syndrome and inactivating this gene can initiate colorectal tumourigenesis PMID: 16525031
- Cooperation between this gene and PTEN gene is deleted on chromoome 10 in juvenile polyposis coli. PMID: 17101085
- SF3b4, known to be localized in the nucleus and involved in RNA splicing, binds BMPR-IA and specifically inhibits BMP-mediated osteochondral cell differentiation PMID: 17513295
- Linkage analysis suggested a cryptic BMPR1A mutation or the presence of another gene in close proximity to the BMPR1A locus. PMID: 17573831
- 5 nonsense, 2 frameshift, 4 missense and 2 splice site mutations were associated with juvenile polyposis syndrome. A 65-BP deletion in intron 4 included -2 of the splice acceptor side of exon 5. PMID: 17873119
- Large genomic deletions of SMAD4, BMPR1A and PTEN are a common cause of JPS. PMID: 18178612
顯示更多
收起更多
-
相關疾病:Juvenile polyposis syndrome (JPS); Polyposis syndrome, mixed hereditary 2 (HMPS2)
-
亞細胞定位:Cell membrane; Single-pass type I membrane protein. Cell surface.
-
蛋白家族:Protein kinase superfamily, TKL Ser/Thr protein kinase family, TGFB receptor subfamily
-
組織特異性:Highly expressed in skeletal muscle.
-
數據庫鏈接:
Most popular with customers
-
-
YWHAB Recombinant Monoclonal Antibody
Applications: ELISA, WB, IHC, IF, FC
Species Reactivity: Human, Mouse, Rat
-
Phospho-YAP1 (S127) Recombinant Monoclonal Antibody
Applications: ELISA, WB, IHC
Species Reactivity: Human
-
-
-
-
-















