BICD2 Antibody
-
中文名稱:BICD2兔多克隆抗體
-
貨號:CSB-PA844723LA01HU
-
規格:¥440
-
圖片:
-
Western Blot
Positive WB detected in: Hela whole cell lysate, K562 whole cell lysate, HL60 whole cell lysate, A549 whole cell lysate
All lanes: BICD2 antibody at 4µg/ml
Secondary
Goat polyclonal to rabbit IgG at 1/50000 dilution
Predicted band size: 94, 97 kDa
Observed band size: 94 kDa -
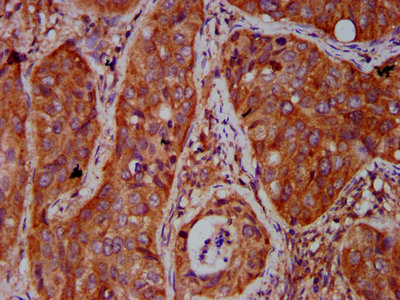
IHC image of CSB-PA844723LA01HU diluted at 1:500 and staining in paraffin-embedded human cervical cancer performed on a Leica BondTM system. After dewaxing and hydration, antigen retrieval was mediated by high pressure in a citrate buffer (pH 6.0). Section was blocked with 10% normal goat serum 30min at RT. Then primary antibody (1% BSA) was incubated at 4°C overnight. The primary is detected by a biotinylated secondary antibody and visualized using an HRP conjugated SP system.
-
Immunofluorescence staining of Hela cells with CSB-PA844723LA01HU at 1:166, counter-stained with DAPI. The cells were fixed in 4% formaldehyde, permeabilized using 0.2% Triton X-100 and blocked in 10% normal Goat Serum. The cells were then incubated with the antibody overnight at 4°C. The secondary antibody was Alexa Fluor 488-congugated AffiniPure Goat Anti-Rabbit IgG(H+L).
-
-
其他:
產品詳情
-
產品名稱:Rabbit anti-Homo sapiens (Human) BICD2 Polyclonal antibody
-
Uniprot No.:
-
基因名:BICD2
-
別名:bA526D8.1 antibody; Bic D 2 antibody; Bic-D 2 antibody; Bicaudal D homolog 2 (Drosophila) antibody; Bicaudal D homolog 2 antibody; Bicd2 antibody; BICD2_HUMAN antibody; Coiled coil protein BICD2 antibody; Cytoskeleton like bicaudal D protein homolog 2 antibody; Homolog of Drosophila bicaudal D antibody; KIAA0699 antibody; Protein bicaudal D homolog 2 antibody
-
宿主:Rabbit
-
反應種屬:Human
-
免疫原:Recombinant Human Protein bicaudal D homolog 2 protein (511-625AA)
-
免疫原種屬:Homo sapiens (Human)
-
標記方式:Non-conjugated
本頁面中的產品,BICD2 Antibody (CSB-PA844723LA01HU),的標記方式是Non-conjugated。對于BICD2 Antibody,我們還提供其他標記。見下表:
-
克隆類型:Polyclonal
-
抗體亞型:IgG
-
純化方式:>95%, Protein G purified
-
濃度:It differs from different batches. Please contact us to confirm it.
-
保存緩沖液:Preservative: 0.03% Proclin 300
Constituents: 50% Glycerol, 0.01M PBS, pH 7.4 -
產品提供形式:Liquid
-
應用范圍:ELISA, WB, IHC, IF
-
推薦稀釋比:
Application Recommended Dilution WB 1:500-1:5000 IHC 1:500-1:1000 IF 1:50-1:200 -
Protocols:
-
儲存條件:Upon receipt, store at -20°C or -80°C. Avoid repeated freeze.
-
貨期:Basically, we can dispatch the products out in 1-3 working days after receiving your orders. Delivery time maybe differs from different purchasing way or location, please kindly consult your local distributors for specific delivery time.
-
用途:For Research Use Only. Not for use in diagnostic or therapeutic procedures.
相關產品
靶點詳情
-
功能:Acts as an adapter protein linking the dynein motor complex to various cargos and converts dynein from a non-processive to a highly processive motor in the presence of dynactin. Facilitates and stabilizes the interaction between dynein and dynactin and activates dynein processivity (the ability to move along a microtubule for a long distance without falling off the track). Facilitates the binding of RAB6A to the Golgi by stabilizing its GTP-bound form. Regulates coat complex coatomer protein I (COPI)-independent Golgi-endoplasmic reticulum transport via its interaction with RAB6A and recruitment of the dynein-dynactin motor complex. Contributes to nuclear and centrosomal positioning prior to mitotic entry through regulation of both dynein and kinesin-1. During G2 phase of the cell cycle, associates with RANBP2 at the nuclear pores and recruits dynein and dynactin to the nuclear envelope to ensure proper positioning of the nucleus relative to centrosomes prior to the onset of mitosis.
-
基因功能參考文獻:
- BICD2 facilitates infection by promoting the trafficking of viral cores to the nucleus, thereby promoting nuclear entry of the viral genome and infection PMID: 29180435
- BICD2 missense mutations were identified in patients with severe muscular atrophy with arthrogryposis and asymptomatic individuals with subclinical features. PMID: 28635954
- Data suggest that BICD1 and BICD2 are highly expressed in the nervous system during development and are important in neuronal homeostasis. [REVIEW] PMID: 28215293
- results reveal that dominant mutations in BICD2 hyperactivate DDB motility and suggest that an imbalance of minus versus plus end-directed microtubule motility in neurons may underlie spinal muscular atrophy. PMID: 28883039
- These findings give further insight into the clinical and pathoanatomical consequences of BICD2 mutations. PMID: 26998597
- several analyses of vesicular transport demonstrated that Rab6A and BICD2 play crucial roles in Golgi tubule fusion with the endoplasmic reticulum (ER) in brefeldin A (BFA)-treated cells PMID: 25962623
- the features of BICD2 spinal muscular atrophy, lower extremity predominant are consistent with a pathological process that preferentially affects lumbar lower motor neurons PMID: 25497877
- This study identified BICD3 significantly associated loci with a biologically plausible role in schizophrenia. PMID: 24507884
- Mutations in BICD2 cause congenital autosomal-dominant spinal muscular atrophy and massive Golgi fragmentation in affected cells. PMID: 23664116
- BICD2 mutations cause non-5q linked spinal muscular atrophy in humans PMID: 23664119
- Disease causing mutations resulting in amino acid substitutions in two binding regions of BICD2 increase its binding affinity for the cytoplasmic dynein-dynactin complex. PMID: 23664120
- Data suggest that ASUN promotes perinuclear enrichment of dynein at G2/M that facilitates BICD2- and CENP-F-mediated anchoring of dynein to nuclear pore complexes. PMID: 23097494
- isolation, cloning, and characterization of human Nek8, a new mammalian NIMA-related kinase, and its candidate substrate Bicd2 PMID: 11864968
顯示更多
收起更多
-
相關疾病:Spinal muscular atrophy, lower extremity-predominant 2, autosomal dominant (SMALED2)
-
亞細胞定位:Golgi apparatus. Cytoplasm, cytoskeleton. Cytoplasm. Nucleus envelope. Nucleus, nuclear pore complex.
-
蛋白家族:BicD family
-
組織特異性:Ubiquitous.
-
數據庫鏈接:
Most popular with customers
-
-
YWHAB Recombinant Monoclonal Antibody
Applications: ELISA, WB, IHC, IF, FC
Species Reactivity: Human, Mouse, Rat
-
Phospho-YAP1 (S127) Recombinant Monoclonal Antibody
Applications: ELISA, WB, IHC
Species Reactivity: Human
-
-
-
-
-















