BICC1 Antibody
-
中文名稱:BICC1兔多克隆抗體
-
貨號:CSB-PA872503LA01HU
-
規格:¥440
-
圖片:
-
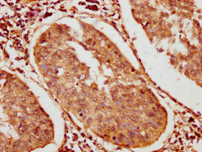
IHC image of CSB-PA872503LA01HU diluted at 1:400 and staining in paraffin-embedded human cervical cancer performed on a Leica BondTM system. After dewaxing and hydration, antigen retrieval was mediated by high pressure in a citrate buffer (pH 6.0). Section was blocked with 10% normal goat serum 30min at RT. Then primary antibody (1% BSA) was incubated at 4°C overnight. The primary is detected by a biotinylated secondary antibody and visualized using an HRP conjugated SP system.
-
Immunofluorescence staining of A549 cells with CSB-PA872503LA01HU at 1:133, counter-stained with DAPI. The cells were fixed in 4% formaldehyde, permeabilized using 0.2% Triton X-100 and blocked in 10% normal Goat Serum. The cells were then incubated with the antibody overnight at 4°C. The secondary antibody was Alexa Fluor 488-congugated AffiniPure Goat Anti-Rabbit IgG(H+L).
-
-
其他:
產品詳情
-
產品名稱:Rabbit anti-Homo sapiens (Human) BICC1 Polyclonal antibody
-
Uniprot No.:
-
基因名:BICC1
-
別名:Bic-C antibody; Bicaudal C homolog 1 (Drosophila) antibody; Bicc1 antibody; BICC1_HUMAN antibody; CYSRD antibody; Protein bicaudal C homolog 1 antibody
-
宿主:Rabbit
-
反應種屬:Human
-
免疫原:Recombinant Human Protein bicaudal C homolog 1 protein (682-849AA)
-
免疫原種屬:Homo sapiens (Human)
-
標記方式:Non-conjugated
本頁面中的產品,BICC1 Antibody (CSB-PA872503LA01HU),的標記方式是Non-conjugated。對于BICC1 Antibody,我們還提供其他標記。見下表:
-
克隆類型:Polyclonal
-
抗體亞型:IgG
-
純化方式:>95%, Protein G purified
-
濃度:It differs from different batches. Please contact us to confirm it.
-
保存緩沖液:Preservative: 0.03% Proclin 300
Constituents: 50% Glycerol, 0.01M PBS, pH 7.4 -
產品提供形式:Liquid
-
應用范圍:ELISA, IHC, IF
-
推薦稀釋比:
Application Recommended Dilution IHC 1:200-1:500 IF 1:50-1:200 -
Protocols:
-
儲存條件:Upon receipt, store at -20°C or -80°C. Avoid repeated freeze.
-
貨期:Basically, we can dispatch the products out in 1-3 working days after receiving your orders. Delivery time maybe differs from different purchasing way or location, please kindly consult your local distributors for specific delivery time.
-
用途:For Research Use Only. Not for use in diagnostic or therapeutic procedures.
相關產品
靶點詳情
-
功能:Putative RNA-binding protein. Acts as a negative regulator of Wnt signaling. May be involved in regulating gene expression during embryonic development.
-
基因功能參考文獻:
- The authors demonstrate that OFD1 cooperates with the mRNA binding protein Bicc1 to functionally control the protein synthesis machinery at the centrosome where also the PIC and eIF4F components were shown to localize in mammalian cells. PMID: 28450740
- genetic variants in BICC1 and RASGRF1 are closely associated with high myopia, which appears to be a potential candidate for high myopia in Chinese Han population. PMID: 29044055
- Suggest allelic changes in the regulation of the BICC1 gene in amygdala neurones may contribute to mood disorders. PMID: 26440730
- Results provide some support for the involvement of BICC1 and PCLO in late-life depressive disorders and preliminary evidence that these genetic variants may also influence brain structural volumes PMID: 26391493
- findings identify a role for increased levels of BICC1 in the pathophysiology of depressive behavior PMID: 25178406
- identify Bicc1 as a genetic determinant of osteoblastogenesis and BMD and suggest that it does so by regulating Pkd2 transcript levels PMID: 24789909
- Polymorphisms in intron 2 of BICC1 are associated with its expression and bone mineral density (BMD) PMID: 24789909
- The minor T-allele of BICC1 has a protective role against major depressive disorder and its known structural and functional brain changes. PMID: 22910460
- The nonsense mutation identified in BICC1 and associated with cystic renal dysplasia results in a complete loss of Wnt inhibitory activity. The point mutation in the SAM domain results in a 22% loss of activity. PMID: 21922595
顯示更多
收起更多
-
相關疾病:Renal dysplasia, cystic (CYSRD)
-
亞細胞定位:Cytoplasm.
-
蛋白家族:BicC family
-
數據庫鏈接:
Most popular with customers
-
-
YWHAB Recombinant Monoclonal Antibody
Applications: ELISA, WB, IHC, IF, FC
Species Reactivity: Human, Mouse, Rat
-
Phospho-YAP1 (S127) Recombinant Monoclonal Antibody
Applications: ELISA, WB, IHC
Species Reactivity: Human
-
-
-
-
-















